Anyone's patience with their other kids going down the drain?? I feel like all I do it grit my teeth these days and try my best not to show how distracted I am by completely normal toddler behavior. I think he is starting to notice though...
Yep. I feel horrible, I can go from 0-100 in about 3.2 seconds.
Pedi appt went well except Lucas isn't gain gong weight. He's lost an ounce. We have to go back for a weigh in on Friday. I feel like a terrible mother that I'm not providing something for him.
Went to a breast feeding support group and the LC gave us some good pointers. My supply in my left side is decreasing so we have to feed and pump after every feeding plus bottle feed some breast milk each feeding!
Feeling totally overwhelmed. However, the group was great!
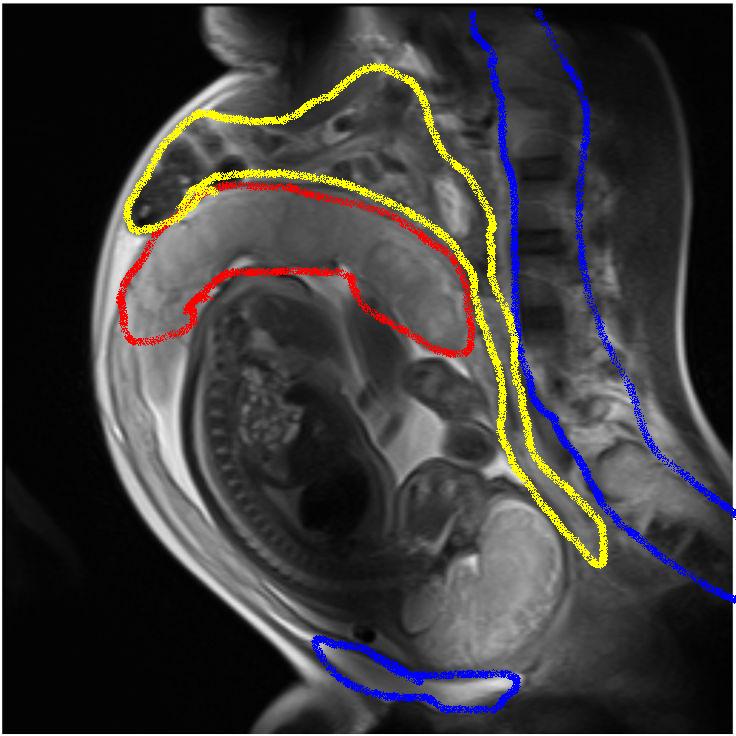
@avidkeo, that is so cool, but where are mom's organs? I realized they were scrunched, but not THAT scrunched!
Oh they are scrunched.!
If you like I can try to highlight things for you?
OK I'm bored so I did a highlighted version - please remember I don't work in MRI so I am not an expert.
The red is the placenta, the blue is the bones (pubic symphysis and spine, and the yellow is the intestines. ETA I think the scan was taken in a way to get the spine of the baby going by how it is aligned.
Yup, that's why you feel full after only a few mouthfuls! Because this image is through the middle of the patient (think a vertical slice through your nose, breastbone and between your legs) you cant see the other organs. Your stomach would show squashed as well.
I have some pee pads for dogs here. I am really thinking of putting then on my mattress under our mattress pad just im case my water breaks in bed. I don't think we will want to clean the matress in the moment and letting it sit there for a few days sounds awful. They are practically the same pad the hospital puts on your bed so that makes it ok right?
Pedi appt went well except Lucas isn't gain gong weight. He's lost an ounce. We have to go back for a weigh in on Friday. I feel like a terrible mother that I'm not providing something for him.
Went to a breast feeding support group and the LC gave us some good pointers. My supply in my left side is decreasing so we have to feed and pump after every feeding plus bottle feed some breast milk each feeding!
Feeling totally overwhelmed. However, the group was great!
Thoughts with you! Isn't it normal for NB to loose weight at first?
Please don't feel terrible, you are doing amazing and I think you are an inspiration! You are doing what you can for Lucas and that's awesome! I'm sure this is just a small blip and things will improve for you!
Big hugs!!!
Angel baby June 2013, DD born 22 April 2014, BFP 10 Sept 2015 - Due 22 May 2016
@mamamonzo I think can be pretty normal for BF babies to lose weight, at least that's what our ped said when DD lost weight at her first appointment. Don't feel defeated, you're doing all you can.
@avidkeo can you label whats what on that mri? like what part is the stomach, intestines etc... i just can't see them all!
I think because the image is of baby, and not mum, it is taken in an unusual angle. I don't see the stomach here, but can see a little bit of the liver (the dark area just above the top yellow line).
Its difficult to explain but to me it looks like this "slice" was taken off centre - slightly to the right, and on a bit of an angle, therefore the stomach doesn't show up. What you can see is small and large intestine squashed together. Sorry I can't be more help!!
Angel baby June 2013, DD born 22 April 2014, BFP 10 Sept 2015 - Due 22 May 2016
Pedi appt went well except Lucas isn't gain gong weight. He's lost an ounce. We have to go back for a weigh in on Friday. I feel like a terrible mother that I'm not providing something for him.
Went to a breast feeding support group and the LC gave us some good pointers. My supply in my left side is decreasing so we have to feed and pump after every feeding plus bottle feed some breast milk each feeding!
Feeling totally overwhelmed. However, the group was great!
Stop it. You are not a terrible mother! Babies lose weight at first, it happens. Especially pre-term babies. Have you checked out kellymom.com?
Yay @aviola329!!! That's so exciting. I know how important not being required to have a c section was for you. Does this mean you can go to the hospital you wanted? I forget if you've mentioned this already.
My count down says 17 days until April 3rd
Holy shit. But totally doable.
I feel bad for all of you whose term date is 40weeks... I am so thankful for the extra 3 weeks "off."
29 days until c-section day. I'm so flipping ready.
TDaP info: On October 24, 2012, the ACIP voted to recommend that health-care
personnel should administer a dose of Tdap during each pregnancy
irrespective of the patient's prior history of receiving Tdap. Optimal
timing for Tdap administration is at 27 through 36 weeks gestation.
I have SO little patience with DS anymore. And he's lately gotten it into his head that it's super fun to grab your hand and drag you around the house. Which is adorable, but my fat ass isn't getting up 94302543 times a day to go sit on the floor and play cars. Sorry kid.
Mine demands that I lie flat on the floor, on my stomach, to observe his train set from the right angle. (Everyone has to lie flat and yell "Go go go!" at Thomas.). He climbed on my shoulders trying to push me flatter today, and I was like, sorry kid, mommy doesn't make that shape anymore.
DS wants me to lay on the floor to read to him. Sorry kid, not happening. He was also fighting getting dressed this morning. He wanted to sleep, so he kept moving his feet away, making it deliberately difficult for me to get his pants and socks on. I had to fight my urge to yell. Ended up tickling him instead. Once he was laughing, he was much more compliant.
That's not to say I didn't threaten to put him in time out when he refused to leave the house to walk over to daycare.
Sigh, some day I'll have all the right answers, probably when DS and this LO have kids of their own.
Chase was born 4/23/2011
Carlene was born 4/18/2014 A14 siggy challenge: Junk Food
@Mamamonzo, I'm sorry your having difficulties breastfeeding. It is overwhelming, but it sounds like you are doing everything you can.
Have you tried nursing while laying on your back, with your son laying on your tummy like you are doing tummy time? This is a very relaxing position and worked great for me in the first couple of weeks when I would get stressed trying to get DS to latch. You can also nurse this way in the bathtub once he has lost his umbilical stump.
Chase was born 4/23/2011
Carlene was born 4/18/2014 A14 siggy challenge: Junk Food
Picked up Zoloft today and asked about safety during pregnancy.
I know med free is the safest but I'm not gonna make it.
Pharmacist is like its not recommended and seemed a little uncomfortable giving it to me. Now I'm a little freaked out about it.
I'm having awful images in my head though, like I used to get before I started Prozac.
On a "good" note... DH and I finally talked... And he admitted that he was overwhelmed. I just turned into a teary mess.
He promised that he'd just tell me when he's feeling overwhelmed from now on ( instead of calling me selfish and getting pissed at me ) but that it was going to take him a long time to get used to not feeling like my depression is his fault...
Hopefully the Zoloft helps, I've never tried it before. PPD terrifies me. I'd never forgive myself if something happened to my baby.
Picked up Zoloft today and asked about safety during pregnancy.
I know med free is the safest but I'm not gonna make it.
Pharmacist is like its not recommended and seemed a little uncomfortable giving it to me. Now I'm a little freaked out about it.
I'm having awful images in my head though, like I used to get before I started Prozac.
On a "good" note...
DH and I finally talked... And he admitted that he was overwhelmed. I just turned into a teary mess.
He promised that he'd just tell me when he's feeling overwhelmed from now on ( instead of calling me selfish and getting pissed at me ) but that it was going to take him a long time to get used to not feeling like my depression is his fault...
Hopefully the Zoloft helps, I've never tried it before. PPD terrifies me. I'd never forgive myself if something happened to my baby.
Thanks for listening.
I'm glad that you talked to your husband. It is so important to keep those lines of communication open, especially once your LO is here. Also good that your getting help for your depression. I hope the Zoloft works for you. Hugs!
Chase was born 4/23/2011
Carlene was born 4/18/2014 A14 siggy challenge: Junk Food
Picked up Zoloft today and asked about safety during pregnancy.
I know med free is the safest but I'm not gonna make it.
Pharmacist is like its not recommended and seemed a little uncomfortable giving it to me. Now I'm a little freaked out about it.
I'm having awful images in my head though, like I used to get before I started Prozac.
On a "good" note...
DH and I finally talked... And he admitted that he was overwhelmed. I just turned into a teary mess.
He promised that he'd just tell me when he's feeling overwhelmed from now on ( instead of calling me selfish and getting pissed at me ) but that it was going to take him a long time to get used to not feeling like my depression is his fault...
Hopefully the Zoloft helps, I've never tried it before. PPD terrifies me. I'd never forgive myself if something happened to my baby.
Thanks for listening.
I know its not scientific, but, two of my family members were on zoloft for all of their pregnancies. Between the two of them they delivered 6 healthy babies :-) Med free is only best when mother or mother to be is able to function and not have bad thoughts. :-D
Officially on bedrest.. Dr is uncomfortable with my contractions (they still don't hurt) and the fact I'll be 34 weeks tomorrow. Good news is he won't be high risk if he comes but he's growth restricted running out of room in there. I kinda always thought that your belly grows with baby apparently mine doesn't.. 3 cm dilated hopefully I can keep him in for 2 more weeks.
I have to let SO do the grocery shopping this is terrifying.
Officially on bedrest.. Dr is uncomfortable with my contractions (they still don't hurt) and the fact I'll be 34 weeks tomorrow. Good news is he won't be high risk if he comes but he's growth restricted running out of room in there. I kinda always thought that your belly grows with baby apparently mine doesn't.. 3 cm dilated hopefully I can keep him in for 2 more weeks.
I have to let SO do the grocery shopping this is terrifying.
I completely forgot about the earthquake until I got on the internet later today. I remember waking up to a noise and my dog giving a bark. I thought I felt the bed move and I remember telling her "quiet Zira, it's just an earthquake". Come to think of it we did have what the native Californians call "earthquake weather" yesterday, an unusually summer hot day in the middle of March. My shower was outdoors at a restaurant near the beach and the beach and PCH was packed like it was summertime.
Alllll the maternity pictures!
Am I the only one not getting maternity pictures done? Is this a mistake? :-?
Only HDBD pics! And those haven't been shared outside of all you internet strangers
I splurged on boudoir pics at 12 weeks. I was the skinniest I had been in 5+ years from MS (how ironic) and had enormous boobs...so I decided I would immortalize that (My husband was super excited-- I did it as a surprise)! So...as for maternity pics, I have lots of prego pics- just not professional!
May the Fourth Be With You: Our 5-4-14 Baby: Andrew Joseph
Alllll the maternity pictures!
Am I the only one not getting maternity pictures done? Is this a mistake? :-?
Only HDBD pics! And those haven't been shared outside of all you internet strangers
I splurged on boudoir pics at 12 weeks. I was the skinniest I had been in 5+ years from MS (how ironic) and had enormous boobs...so I decided I would immortalize that (My husband was super excited-- I did it as a surprise)! So...as for maternity pics, I have lots of prego pics- just not professional!
I wasn't going to do them, but I think I will regret it. I think it's one of those things too where you are more beautiful than you feel, and you might not realize it until you look back on them. (At least for me.) I'm having a friend with a good camera do them with me this week I hope, we get great light in our home between 4-6, so I'd like to use that. I feel like I should hurry up though because I still have no outie or stretchmarks, but I'm getting big fast now! I'm not into the retouched look.
Alllll the maternity pictures!
Am I the only one not getting maternity pictures done? Is this a mistake? :-?
Only HDBD pics! And those haven't been shared outside of all you internet strangers
I splurged on boudoir pics at 12 weeks. I was the skinniest I had been in 5+ years from MS (how ironic) and had enormous boobs...so I decided I would immortalize that (My husband was super excited-- I did it as a surprise)! So...as for maternity pics, I have lots of prego pics- just not professional!
DH got me a Groupon for boudoir pics that expire on 4/15. LO is due 4/20. I'm the heaviest I've ever been and, unlike my last pregnancy, this time I got stretch marks. Oh yeah, I'm feeling sexy. Oh well, I've decided I'm just going to have fun with it, and if they turn out horrible, at least I didn't pay for them.
There are a lot of nice looking boudoir maternity pics on Pinterest, so I'm going to try to use those as motivation.
Chase was born 4/23/2011
Carlene was born 4/18/2014 A14 siggy challenge: Junk Food
DH and I went to see 'Non-Stop' and I snarfed a whole bag of popcorn and a medium pop...okay and a Kit-Kat...all to myself.
Now I have gut-rot, but it really was delicious! Haha...aw. :-\"
That is one of the great joys in life, going to a movie and eating an entire bucket of popcorn for dinner (along with a few "sides"). I don't go to the movies that often, but when I do, I always get a bucket to myself.
Alllll the maternity pictures!
Am I the only one not getting maternity pictures done? Is this a mistake? :-?
Only HDBD pics! And those haven't been shared outside of all you internet strangers
I splurged on boudoir pics at 12 weeks. I was the skinniest I had been in 5+ years from MS (how ironic) and had enormous boobs...so I decided I would immortalize that (My husband was super excited-- I did it as a surprise)! So...as for maternity pics, I have lots of prego pics- just not professional!
DH got me a Groupon for boudoir pics that expire on 4/15. LO is due 4/20. I'm the heaviest I've ever been and, unlike my last pregnancy, this time I got stretch marks. Oh yeah, I'm feeling sexy. Oh well, I've decided I'm just going to have fun with it, and if they turn out horrible, at least I didn't pay for them.
There are a lot of nice looking boudoir maternity pics on Pinterest, so I'm going to try to use those as motivation.
All about the lighting. I have bad stretch marks on my butt and lots of moles, cellulite, etc... WITHOUT retouching-- my skin looked flawless. THAT was my fav part....just looking like I had creamy skin.
May the Fourth Be With You: Our 5-4-14 Baby: Andrew Joseph
Alllll the maternity pictures!
Am I the only one not getting maternity pictures done? Is this a mistake? :-?
Only HDBD pics! And those haven't been shared outside of all you internet strangers
I splurged on boudoir pics at 12 weeks. I was the skinniest I had been in 5+ years from MS (how ironic) and had enormous boobs...so I decided I would immortalize that (My husband was super excited-- I did it as a surprise)! So...as for maternity pics, I have lots of prego pics- just not professional!
DH got me a Groupon for boudoir pics that expire on 4/15. LO is due 4/20. I'm the heaviest I've ever been and, unlike my last pregnancy, this time I got stretch marks. Oh yeah, I'm feeling sexy. Oh well, I've decided I'm just going to have fun with it, and if they turn out horrible, at least I didn't pay for them.
There are a lot of nice looking boudoir maternity pics on Pinterest, so I'm going to try to use those as motivation.
All about the lighting. I have bad stretch marks on my butt and lots of moles, cellulite, etc... WITHOUT retouching-- my skin looked flawless. THAT was my fav part....just looking like I had creamy skin.
This is great to know!
Chase was born 4/23/2011
Carlene was born 4/18/2014 A14 siggy challenge: Junk Food
Re: Longest Thread EVER! (aka Random Thoughts Thread )
Went to a breast feeding support group and the LC gave us some good pointers. My supply in my left side is decreasing so we have to feed and pump after every feeding plus bottle feed some breast milk each feeding!
Feeling totally overwhelmed. However, the group was great!
Holy shit. But totally doable.
I feel bad for all of you whose term date is 40weeks... I am so thankful for the extra 3 weeks "off."
BFP#2 7/28/13 EDD 4/9/14 Birthday : 4/10/14 Adalyn Nanette
Eta: Tommy looks so cute!
Have you tried nursing while laying on your back, with your son laying on your tummy like you are doing tummy time? This is a very relaxing position and worked great for me in the first couple of weeks when I would get stressed trying to get DS to latch. You can also nurse this way in the bathtub once he has lost his umbilical stump.
I know med free is the safest but I'm not gonna make it.
Pharmacist is like its not recommended and seemed a little uncomfortable giving it to me. Now I'm a little freaked out about it.
I'm having awful images in my head though, like I used to get before I started Prozac.
On a "good" note...
DH and I finally talked... And he admitted that he was overwhelmed. I just turned into a teary mess.
He promised that he'd just tell me when he's feeling overwhelmed from now on ( instead of calling me selfish and getting pissed at me ) but that it was going to take him a long time to get used to not feeling like my depression is his fault...
Hopefully the Zoloft helps, I've never tried it before. PPD terrifies me. I'd never forgive myself if something happened to my baby.
Thanks for listening.
Im a FTM so no advice but hang in there! You are a good mom. Just keep at it one feeding at a time. I'm sure you and baby will be experts in no time
I have to let SO do the grocery shopping this is terrifying.
The dogs don't want anything to do with me today. I call them and they leave, I pet them and they leave...how mean
I wasn't going to do them, but I think I will regret it. I think it's one of those things too where you are more beautiful than you feel, and you might not realize it until you look back on them. (At least for me.) I'm having a friend with a good camera do them with me this week I hope, we get great light in our home between 4-6, so I'd like to use that. I feel like I should hurry up though because I still have no outie or stretchmarks, but I'm getting big fast now! I'm not into the retouched look.
That is one of the great joys in life, going to a movie and eating an entire bucket of popcorn for dinner (along with a few "sides"). I don't go to the movies that often, but when I do, I always get a bucket to myself.