Had a high risk appt and NT scan on Wed. Had some bleeding two weeks ago and they found a subchoronic hematoma(which they said is pretty normal). As of Wed the Hematoma seems to have dissolved on its own and everything is looking good! Genetic testing blood work was done so now I just wait for the results. We also decided to be team green again!! So excited!
Lil Bean 11w1d 164 heart rate. Just chilling laid back feet up! :-)
Here is sweet baby Hayes. Boy or girl that will be the name even if it means divorcing my husband lol. Baby measured 8.1 but I was supposed to be 8.6 I typically ovulate late and this was the same case with my last pregnancy. Since Owen was 7.11 at 38 weeks she decided to keep my due date 6/21 and just monitor baby from here. Heart rate was 179. Owen's was 172 at 10 weeks. I can't wait to find out what baby is! We go for our NST Dec 9th.
9w5d measuring at 10w1d. HR 167. Our little gummy bear was wiggling all around and even kicked for us quite a bit. They also kept bringing their hand to their mouth...it's so crazy to see what's happening inside! It's starting to look like a real human.
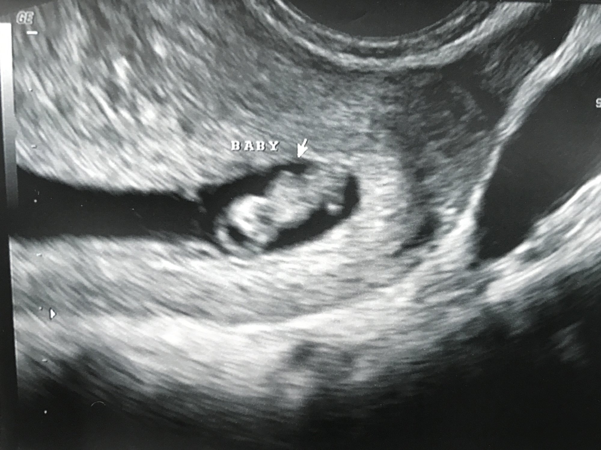
Hi guys, I've already posted my ultrasound, but I have a question that I was wondering if any of you knew the answer to. What is the other black space on the right side? I'm just curious as to what the heck it is haha btw this was an internal ultrasound.
Saw little jellybean for the first time Friday afternoon. Measure 9w3 and got an official due date of June 20. So relieved and happy to sneak a peak of this little guy or gal.
Just had my NT scan and blood drawn for materni21 test. I'm currently 12w1d. Baby is measuring 12w5d!! 138 bpm... I think it's a boy but I guess we'll know for sure next week.
@merrylea I didn't notice it until after I got home, but I was a little curious about that too. You can see that little piece coming down in both of the pictures I have. She didn't mention anything during the ultrasound and didn't look around after she found the baby. I'm assuming because this was my second ultrasound she didn't think to look for another one. I'm guessing there's just the one in there, but I won't be able to find out until December 19! It's quite a big space for just one
Ultrasound from yesterday at 10weeks 4days. Measuring two days ahead! They did a quick 3D scan and photo! Also finally heard the heartbeat and it was healthy at 171!
Finally had my first ultrasound today, and said it could not have looked better
Baby is measuring 12 weeks 4 days, just a day ahead of schedule! So they are leaving the due date at June 9th. Heart beat is 165 and the tech gave a guess and thinks it's a boy but we will see if it really is by the 20week scan. Baby also bounced all over the place during the exam. We are beyound happy that everything is good!
Had the 12 week scan and holy shit, there is a real baby in there. More tears for sure. Baby is measuring ahead at 13w1 day, all the NT stuff looked great, and he was kicking and flailing and moving so much it was hard to get a good picture. We are so so over the moon!!!
@merrylea the 3D u/s is amazing so early on because, yes, it really drives home that there is a real baby in there!! It's just amazing that they already look like that at 13w!
Me: 36; DH: 38 DD: 7; DS1: 4; DS2 due 6-21-17! **TW** MMC & D&C Aug 2016
Screening ultrasound at the new doc today. MUCH better. Love them. The tech was great and played the heartbeat a few times, showed us lots of angles and pointed out all the structures. Got to actually spend some time with the little one. Wish I could have a video of those kicking legs!! Love my little one so much already. Everything was perfect. Heart rate 167. 12+6. ❤️
NT scan yesterday. Everything looks great! I said something about me thinking this one might be a girl, and both my husband and I got the distinct impression that the tech had a good guess. She said "We're not supposed to tell the patient at this point, it's only 80% accuracy. Afterwards I was thinking I should have said "what if I promise I understand that 80% is not a sure thing and I won't get mad?" I would love to know her guess.
Went in today for another dating scan. Dates changed to July 2, but I'll probably keep hanging here since they won't let me go past 25 June anyway. Go back in 2 weeks for NT scan and Harmony. Baby was wiggling away on the scan today.
I had my first ultrasound and appointment today. Official due date is June 17 so farther along then I thought. Baby looked good with a heartbeat of 166. So thrilled to finally have had my first appointment and know that everything really is ok.
Had my NT today and was soooo relieved to see a heartbeat and an active baby. HB 167. EDD based on LMP was 6/8. Dating ultrasound said 6/17. Today, baby was measuring to be due 6/11. FX that my midwife moves it! Everything is looking great so far. I am starting to call relatives tonight to let them know.
Had my NT scan yesterday, I'm 12 weeks 3 days. All looks good with our little boy I've now told my whole family and announced on FB too, it's all so real now I'm so excited!!
Re: AW Ultrasounds! (Post em here!)
Lil Bean 11w1d 164 heart rate.
~Declare it..Claim it..It will be!!~
5/9/09
Here We Go Again!!
Hi guys, I've already posted my ultrasound, but I have a question that I was wondering if any of you knew the answer to. What is the other black space on the right side? I'm just curious as to what the heck it is haha btw this was an internal ultrasound.
Me: 36; DH: 38
DD: 7; DS1: 4; DS2 due 6-21-17!
**TW**
MMC & D&C Aug 2016
Measuring 7w4d at what we thought was 8w4d.
DS1 - 7/2011, DD 12/2012, DS2 - 4/2014, MMC - 12/2015
Wee#3 - Miscarried 11/2015
Rainbow Wiggles Due 06/29/2017
11 weeks 1 day, baby is measuring a week or so ahead of what I thought. New due date : June 13. Internal ultrasound, HB was 150.
Ultrasound from yesterday at 10weeks 4days. Measuring two days ahead! They did a quick 3D scan and photo! Also finally heard the heartbeat and it was healthy at 171!
Baby is measuring 12 weeks 4 days, just a day ahead of schedule! So they are leaving the due date at June 9th. Heart beat is 165 and the tech gave a guess and thinks it's a boy but we will see if it really is by the 20week scan. Baby also bounced all over the place during the exam.
We are beyound happy that everything is good!
TTC #1 July 2013
Clomid w/ IUI
Clomid w/ timed intercourse - BFP #1, MC Oct 2015
Clomid w/ IUI
Clomid w/ timed intercourse
IVF Sept 2016 - BFP #2 EDD June 20, 2017
Me: 36; DH: 38
DD: 7; DS1: 4; DS2 due 6-21-17!
**TW**
MMC & D&C Aug 2016
DS1 - 7/2011, DD 12/2012, DS2 - 4/2014, MMC - 12/2015
Had my NT scan yesterday, I'm 12 weeks 3 days. All looks good with our little boy
I've now told my whole family and announced on FB too, it's all so real now I'm so excited!!
MC#1
This is my favorite pic from our u/s this morning. It's got its little mouth open! 13w1d but measuring at 13w5d.