June 2016 Moms

Ultrasound Thread!

1234689

Re: Ultrasound Thread!

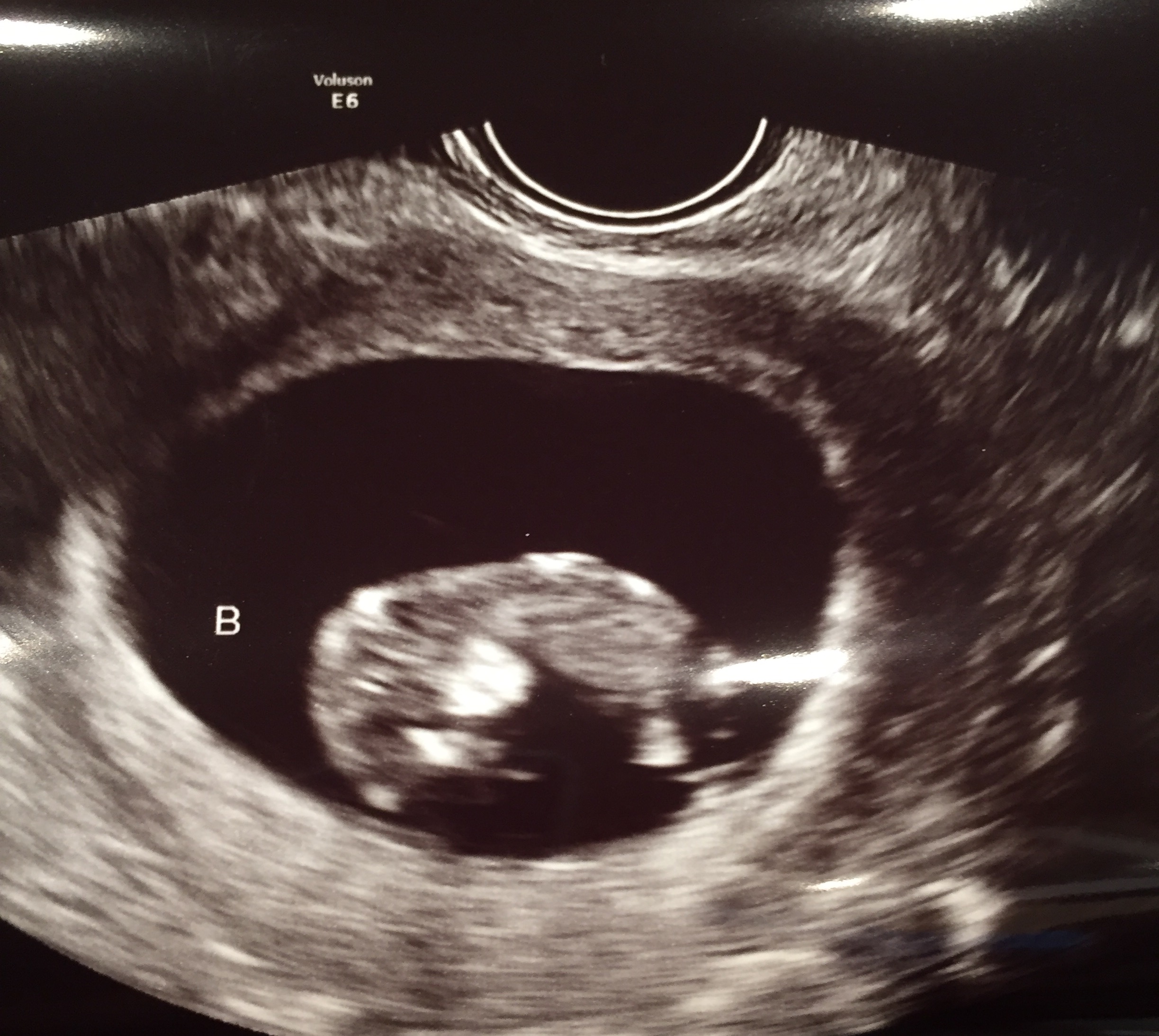
  • Bear14+ said:

    Had my NT scan today. Such a huge difference from my 7 week ultrasound. It actually had arms and legs this time!!

    12w 1d

    Question! Are you finding out the sex?
    At 21 weeks I will with the anatomy scan. I can't wait, but then I feel like I can because I like the suspense. It seems like most people go in earlier, but my clinic doesn't start the anatomy scans until 21 weeks.

    I've been keeping track of all the wives tales to see which hold true for the sex :) it's kind of fun.
  • Loading the player...
  • Bear14+ said:

    Had my NT scan today. Such a huge difference from my 7 week ultrasound. It actually had arms and legs this time!!

    12w 1d

    Question! Are you finding out the sex?
    At 21 weeks I will with the anatomy scan. I can't wait, but then I feel like I can because I like the suspense. It seems like most people go in earlier, but my clinic doesn't start the anatomy scans until 21 weeks.

    I've been keeping track of all the wives tales to see which hold true for the sex :) it's kind of fun.
    I ask because you have a textbook nub and didn't want to tell you if you if you didn't want to know lol it's basically one of the only theories that are pretty accurate. (I hope I don't get flamed)

    Check this out at the bottom:

    https://www.baby2see.com/gender/external_genitals.html
  • Bear14+ said:

    Bear14+ said:

    Had my NT scan today. Such a huge difference from my 7 week ultrasound. It actually had arms and legs this time!!

    12w 1d

    Question! Are you finding out the sex?
    At 21 weeks I will with the anatomy scan. I can't wait, but then I feel like I can because I like the suspense. It seems like most people go in earlier, but my clinic doesn't start the anatomy scans until 21 weeks.

    I've been keeping track of all the wives tales to see which hold true for the sex :) it's kind of fun.
    I ask because you have a textbook nub and didn't want to tell you if you if you didn't want to know lol it's basically one of the only theories that are pretty accurate. (I hope I don't get flamed)

    Check this out at the bottom:

    https://www.baby2see.com/gender/external_genitals.html
    I have actually been thinking about this but I have no clue if it's nub or leg (maybe even cord). We didn't notice it while we were in the scan, only after we got home. I told my husband about it because he's been convinced it's a boy since we got pregnant (his main reasoning was that since HE is a boy, baby will be a boy) :)

    I don't think you'll get flamed, at least not from me. I have some OB/GYN friends who actually told us about this method a few weeks ago, so I'd say it's pretty valid. It totally slipped our minds once we were at the appointment. I may have to run this picture by them.
  • Bear14+ said:

    Bear14+ said:

    Had my NT scan today. Such a huge difference from my 7 week ultrasound. It actually had arms and legs this time!!

    12w 1d

    Question! Are you finding out the sex?
    At 21 weeks I will with the anatomy scan. I can't wait, but then I feel like I can because I like the suspense. It seems like most people go in earlier, but my clinic doesn't start the anatomy scans until 21 weeks.

    I've been keeping track of all the wives tales to see which hold true for the sex :) it's kind of fun.
    I ask because you have a textbook nub and didn't want to tell you if you if you didn't want to know lol it's basically one of the only theories that are pretty accurate. (I hope I don't get flamed)

    Check this out at the bottom:

    https://www.baby2see.com/gender/external_genitals.html
    I have actually been thinking about this but I have no clue if it's nub or leg (maybe even cord). We didn't notice it while we were in the scan, only after we got home. I told my husband about it because he's been convinced it's a boy since we got pregnant (his main reasoning was that since HE is a boy, baby will be a boy) :)

    I don't think you'll get flamed, at least not from me. I have some OB/GYN friends who actually told us about this method a few weeks ago, so I'd say it's pretty valid. It totally slipped our minds once we were at the appointment. I may have to run this picture by them.
    I did a ton of research on this when I was pregnant with my son and I would be absolutely amazed if it wasn't a boy with how clear that image is. I'm curious to see what your friends say, keep me updated!
  • How bout mine? We are not finding out but I can't even find the nub so it's fun to take some guesses. image
  • mcashill said:

    Twins!!!!!! I had two ultrasounds, one week apart.

    I'm having twins too!! How far along are you?
  • Love all these littles as we close out the first tri!!! So many adorable arms and legs. :smiley: love seeing proof that everyone is doing well. Congrats mamas!
  • HBamama2B said:

    Saw baby tonight and it was dancing! All wiggly arms and legs. I wasn't expecting a scan and DH wasn't with me and I forgot to video tape. Sooo fired. I've officially dubbed my OB the 'Oprah of Ultrasounds.' 10+4

    Oh.. Exciting! We are 1 or 2 days apart. I am 10 plus 3. Have to wait 2 more weeks for my first scan. Can't wait!
  • @Atlast111 12 week scans are some of my favs! I love the profile pics where they all look like little tiny perfect babies. Which they are, lol.
  • So, my little cupcake looks like an absolute alien. The tech said that the part that looks like alien eyes is not the face. She said the part at the opposite end is the back of the head. Anybody know exactly what Im looking at here? This is a 12 almost 13 week scan.

  • This was at 7w1d, but baby was measuring at 6w5d. Next appointment is dec 11, and I will be 11 weeks. Hope we get another ultrasound then!!!!
  • 10 weeks US 176BPM it's amazing to see how much s/he moved!
    I have a gender determination 3D ultrasound scheduled for Dec 17th (14w5d). Any thoughts if that's too early? The office told me they can do it as early as 12 weeks!?
  • 10 weeks US 176BPM it's amazing to see how much s/he moved!
    I have a gender determination 3D ultrasound scheduled for Dec 17th (14w5d). Any thoughts if that's too early? The office told me they can do it as early as 12 weeks!?

    I called to schedule a 4D ultrasound at 16 weeks with gender determination and they told me that it's too early for 4D because the baby is so small it will look like an alien and some moms panic. She said if I really want to do it that early I can but she suggested waiting until 28 weeks when the baby has more fat and you can get better face shots. But she said they can do gender in 2d as early as 14 weeks and that they actually prefer doing it in 2D because it's easier to tell that early.

    Daisypath - nBGk

    Lilypie - GQnA

  • Atlast111Atlast111 member
    edited December 2015

    10 weeks US 176BPM it's amazing to see how much s/he moved!
    I have a gender determination 3D ultrasound scheduled for Dec 17th (14w5d). Any thoughts if that's too early? The office told me they can do it as early as 12 weeks!?


    Sounds really early to me. I was under the impression that the genitals didn't fully form until 13 weeks. I have heard of people being told the sex as early as 15 weeks but they usually recommend 16 for a better results. Because of this I'm just going to wait for the 20 week scan. I did read on a forum that a lady got a scan done at 13 or 14 weeks and they got the results wrong! Annoying as she went out and bought all her stuff. If you want 100% accuracy early on you will have to have a blood test.
  • We had our second appointment today and got to see baby again!! He/she looked great and we heard and saw the heartbeat! Baby was moving arms and legs like crazy!

    P.S.- Don't worry the words at the top are not my name
  • Just had my NT scan today and she did a 3d one. Here's my little alien! 12 wks
    BabyFruit Ticker BabyFetus Ticker


  • Hi All! I didn't like the paparazzi very much and only stayed on my side for these quick pictures. Luckily the woman taking my pictures was able to get my neck measurements and they look good! I was so wiggly and even kicked off of mommy's belly like I was Michael Phelps swimming!
  • First ultrasond at 12 weeks. This is my second baby. Totally in love!!!
Sign In or Register to comment.
Choose Another Board
Search Boards
"
"