Had my ultrasound today!! Haven't seen the baby since 10 weeks. I am 18w2d. I'm jealous of the profile shots I've seen on here.. This is definitely our baby and is stubborn like us!! Lol the tech tried everything to get it to flip over since it was laying face down. Oh well! Everything looked great, heartbeat was 139 and my due date is still June 6th. She could tell the gender but we had her write it in an envelope and we have the gender reveal on Saturday.
Had my ultrasound today!! Haven't seen the baby since 10 weeks. I am 18w2d. I'm jealous of the profile shots I've seen on here.. This is definitely our baby and is stubborn like us!! Lol the tech tried everything to get it to flip over since it was laying face down. Oh well! Everything looked great, heartbeat was 139 and my due date is still June 6th. She could tell the gender but we had her write it in an envelope and we have the gender reveal on Saturday.
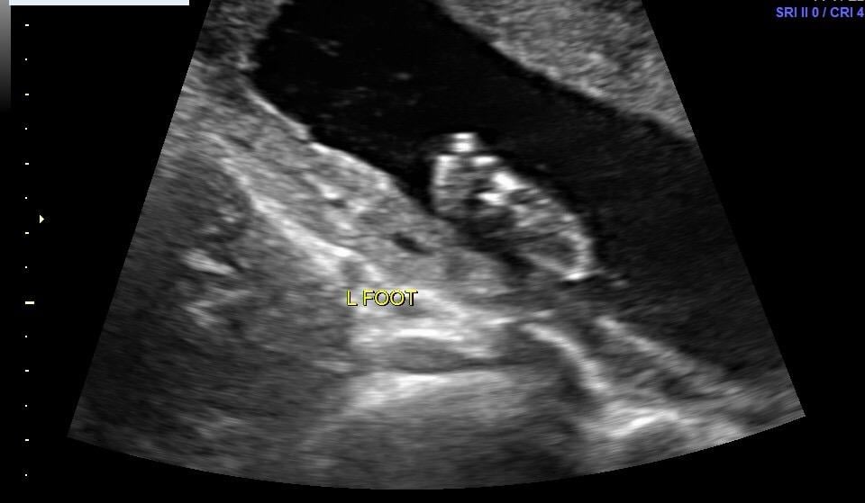
I love the 20-week scan! Baby clearly looks like a real baby and still all fits on the screen. We are team green, but baby's legs were crossed anyway (you can see the feet together at the top left). The tech also said he/she had its boxing gloves on because its hands were up by its face, but every once in a while the face would poke out. So much fun and super cute!
Hoping this works-ive never uploaded on here from a phone. This is sweet baby at 17+5 for our anatomy scan. We aren't finding out sex, so still using interchangeable pronouns and avoiding calling the baby "it". Babies nickname has been Batman since the beginning (cause....why not). Since we didn't get a great face shot to do measurements, I get to go back in 8 weeks for another. Which I am secretly thrilled about. This picture is SUCH a change from babies first photo shoot at 5+6!
I'll spare you all the crotch shot. The tech gave it to us and I was like....um thanks? (We found out via blood test so why I'd need a close up of his penis I have no clue!) but the profile got me all choked up, here's our first anatomy scan, 18+3!
I finally get to post on this thread!! Had our first ultrasound yesterday at 20+2 and got to see the little ninja for the first time. We are in love! Team green here.
Here's my little girl from our 18w5d ultrasound. Everything looks good! Was really hard to get a profile shot. She loves to wiggle and 90% of my ultrasound pictures are blurry for that reason. The cord was also in her face most of the scan. Curled up in a little ball.
Baby boy at 19w1d! He was not being too cooperative in showing the tech everything she needed to see so it took a while and a lot of moving and jiggling. He had no problem mooning us and showing us his penis though!
Did you guys all go to anywhere special for these ultra sounds? I just had mine done on Tuesday and our babe is a skeleton swimming around in there, did I have to ask for a 3D picture from them or go somewhere else for one?
Did you guys all go to anywhere special for these ultra sounds? I just had mine done on Tuesday and our babe is a skeleton swimming around in there, did I have to ask for a 3D picture from them or go somewhere else for one?
I haven't seen but maybe one or two people post a 3D pic. Mine (above yours) is just a 2D. Nowhere special. Maybe your tech just wasn't able to get a good profile shot?? That's what all of these are. You may have a very active baby
19 weeks! I love my little peanut...even if it is a little alien looking here! We weren't able to get the gender cuz he or she is a little wiggle worm! *Edited because I'm a dummy and accidently posted a Google pic that I was looking at to compare mine to....this one is mine. I've already mixed my kid up with someone else's....I know who's NOT getting mother of the year...
Had my anatomy scan yesterday and i literally thought I was going to pee my pants from not being able to use the restroom after drinking 32 ounces of water
I had my 20 week scan Monday and we found out we are having a little girl! She was is perfectly healthy and looked adorable. She wasn't very cooperative and wanted to face away, then keep her legs crossed which made determining the gender a little tough. But, here she is! Love the little open mouth, looks like she's laughing
Here's our tiny one from our 20 week anatomy scan yesterday! Found out she's a girl! Side note - our NT scan also provided us with a 3D image but it didn't yet look human. Happy to say she is looking more like a baby now!
20 week anatomy scan with our healthy little baby girl. She was as stubborn as she was at the NT scan and wouldn't give a clean profile shot, instead all we got are pictures with her mouth all up in the placenta.
Re: Ultrasound Thread!
17+4, had our anatomy scan today and found out it's a girl. We are so excited!
Triplets at 14w1d
Triplets due 6/29/16 also from an IUI!
Triplets due 6/29/16 also from an IUI!
It's a boy!!! I had a fair amount of belly pokes to get these photos, so worth it.
*Edited because spelling is hard...
Me - 33, DH - 33
Married - May 2014
DH - Low Count/Motility/Morph - Varicocele vein x 2 - surgery (8/11) - success!
BFP - 10/10/15, EDD - 6/20/16 - It's a BOY!
Baby #1 - 6/29/16 - Lucas Christopher, 10 lbs 3 oz, 22.25 inches
Baby #2 - TTC May 2017
BFP - 9/10/17, EDD - 5/26/18 - It's a GIRL! - RCS May 22nd
My Chart
Had our anatomy scan today and found out we are having a baby boy!!
My baby girl.. Getting ready to kick me at our 20 week scan with the perinatologist.
19 weeks! I love my little peanut...even if it is a little alien looking here! We weren't able to get the gender cuz he or she is a little wiggle worm!
*Edited because I'm a dummy and accidently posted a Google pic that I was looking at to compare mine to....this one is mine. I've already mixed my kid up with someone else's....I know who's NOT getting mother of the year...
Married 9/1/13
Off OCP 3/1/14
TTC 6/1/14
DX Endometriosis in 2002
Laparoscopy 2002 and 2007
HSG 8/2014, right tube partially blocked
1st BFP 1/5/15 EDD 9/12/15- miscarried 1/8/15
BFP 8/4/16 EDD 3/2/18- trisomy 18 girl- no heartbeat 8/25/17 at 13 weeks d&c 8/28/17
BFP 12/4/17 EDD 8/19/18
SaveSave
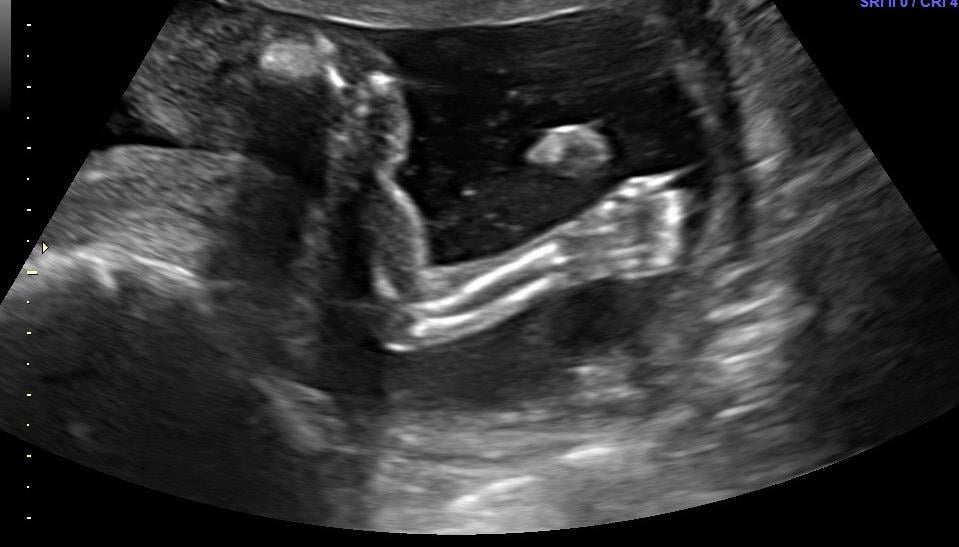
My baby giving the ultrasound tech a hard time, wouldn't keep their little toes out of their mouth☺️
Team Green
Baby #2 Due 3/7/20
Side note - our NT scan also provided us with a 3D image but it didn't yet look human. Happy to say she is looking more like a baby now!