Here is our LO from our dating u/s yesterday (measuring 6w6d then, 7w today). It was so amazing & surreal to see its heart beating. I now fully understand "love at first sight." (So corny, I know lol)
We had our first ultrasound on wednesday November 4th and to our suprise! It's twins! The tech turned to us almost immediately and said ummm there is two in there lol. Both babies 7wks 1day. Baby A heartbeat 158, Baby B hb 151
We went to the doctor on Friday and had our first u/s! It was the most amazing thing seeing our little one's heart beating away!! Baby measured at 6w6d
Had our first scan today at 9w5d HB 178!! My OB had trouble with the machine so the measurement is a little smaller than what baby really is, going for NT scan in a few weeks
Got our first ultrasound today, and it was measuring 7w5d (I was supposed to b 7w1d) so we r a few more days ahead than we thought!!! The heart rate was 145, and they said everything looked great!!! Praise the Lord!!!! I was gonna post a pic but I don't see how to (pregnancy brain I'm sure, I've done it before.) lol
Today was my first ultrasound! I feel so relieved now that everything went well. I'm measuring as I should be. I'm 10w1d. The baby's heart beat was 163! I'm so in love! I can't stop looking at my pictures. I also got to see 3D and it was amazing. Feels so much more real now! I'll have to wait I guess to post my pic
Had our first US today! Exactly 8w (LMP had me at 7w6d) and heart beat was a strong 163. All looks healthy & good. Next US is at 12w (NT scan). A bit relieved that all is well.
Transferred to the OB and got a external scan. Didn't think he'd do another one but I was so excited to see the LO again, and it's grown so much in just 4 days! This is 8+4!
I'm so jealous of all of you with more than blobs to look at. Here is our little bean at 7w4d, not sure if there are potential arm and leg buds on there or if I'm just seeing things. Can't wait until the NT at 12 weeks to see how much they've grown.
First u/s today! As soon as the tech put it on my belly and I saw the sac I cried haha then again when I saw the little bean and it's flickering heart beat! Coming in at a healthy 168bpm here it is!
I love seeing everyone's pictures! So excited to have our first ultrasound yesterday at 8w5d. We saw the flickering heartbeat and our little peanut nodded it's head for us!
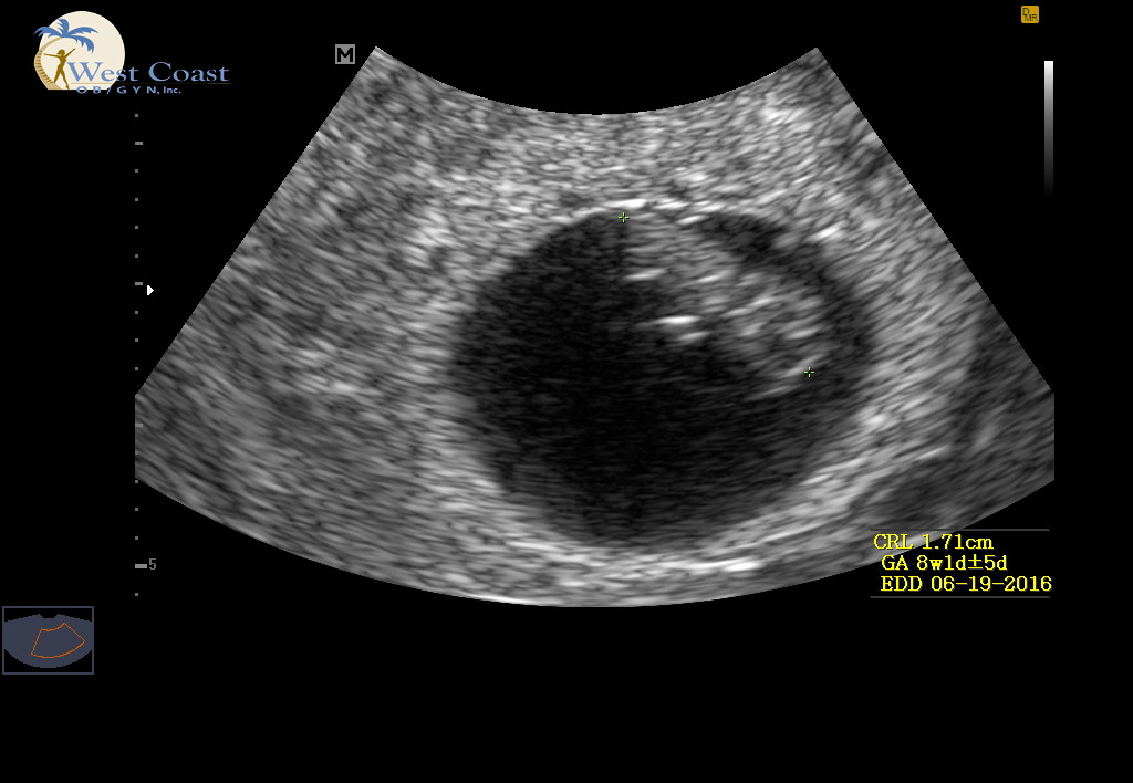
Had my first appointment on November 10th. Thought I was 9 weeks but baby measured at 8 weeks so my EDD was pushed back to June 21st. It was pretty amazing to hear The heartbeat!
I plan to go to a 3D/4D ultrasound place near my house to have an ultrasound done to find out the sex. They said they can do it as early as 14 weeks. Has anyone else done this?
Hey all. This little bean is already the live of my life. This is 8+5. I am currently at 10+1. This was a transabdominal scan found literally as soon as she plopped the probe on my tummy. I am already in love.
Had my first appointment on November 10th. Thought I was 9 weeks but baby measured at 8 weeks so my EDD was pushed back to June 21st. It was pretty amazing to hear The heartbeat!
I plan to go to a 3D/4D ultrasound place near my house to have an ultrasound done to find out the sex. They said they can do it as early as 14 weeks. Has anyone else done this?
My due date is June 21st, as well! We had a 3D ultrasound at 14 weeks to find out the sex with DS2 and they had no problems telling that he was a boy. We are going to do that again two days before Christmas right after I hit 14 weeks this time, so that we can have DS1 open a box and we all find out what this one is on Christmas Day!
Was measuring at 8w3d instead of 8w6d based on LMP but they are keeping me at the latter with the original due date for now because of margin of error. So relieved.
We had our first ultrasound today at 7w5d after IVF with transfer of ONE embryo. Imagine our surprise when we saw TWO babies! Identical twins - we are still in shock and yet so excited! We saw both heartbeats, which was indescribably amazing. We will have another US on 11/20 (8w6d) before graduating from our RE to our OB.
The nurses nor the dr could find a heartbeat with the Doppler today (11 weeks tomorrow). They sent me for my FOURTH ultrasound this pregnancy. I was terrified but thankfully we saw our little lime jumping around with a hb of 186 and measuring 11w0d.. Right on track! So relieved!
Here's my ultrasound from yesterday at 9w5d. My OB told me that they normally don't have ultrasounds in his office this early unless there's something worrisome- I all but begged for one since I'm still nervous 2 years after a loss. He got me in with the ultrasound tech within 2 minutes. I love my OB.
LO has a heartbeat of 166 and it's finally becoming real that there's a baby inside instead of a horrible stomach bug.
@Liesvg my Ob doednt typically do an us until 18 weeks for the anatamy scan unless there are problems. In my case, I had constant red blood with cramping and no heartbeat was detected with a dr today at 10+6. If you don't get one before 20 weeks, consider yourself lucky for having a smooth pregnancy
Just had my first ultrasound on Wednesday and was so happy to see the heartbeat. The tech also said Baby is measuring 8 weeks 3 days which is 5 more days than I'd thought!
Re: Ultrasound Thread!
SaveSave
Born May 25, 2016
Angel Baby January 20th, 2017
Baby #2 Due December 6th 2017
Born May 25, 2016
Angel Baby January 20th, 2017
Baby #2 Due December 6th 2017
I plan to go to a 3D/4D ultrasound place near my house to have an ultrasound done to find out the sex. They said they can do it as early as 14 weeks. Has anyone else done this?
My due date is June 21st, as well! We had a 3D ultrasound at 14 weeks to find out the sex with DS2 and they had no problems telling that he was a boy. We are going to do that again two days before Christmas right after I hit 14 weeks this time, so that we can have DS1 open a box and we all find out what this one is on Christmas Day!
DS2 5-18-2014
DD1 EDD 6-21-2016
1st u/s yesterday! Heard the heartbeat - 159!
Was measuring at 8w3d instead of 8w6d based on LMP but they are keeping me at the latter with the original due date for now because of margin of error. So relieved.
Have the NT U/S on 12/16.
BFP #4: 8/20/15 EDD: 4/26/18