June 2016 Moms

Ultrasound Thread!

1235789

Re: Ultrasound Thread!

  • Had another US yesterday! Measured 8w6d (right on track!), heart rate 174 and got to see our little gummy bear moving around. Next week is my last weekly ultrasound and then I will be every 2-4 weeks. So glad my OB takes us seriously and likes to keep my anxiety down a bit. Hoping at the next one he's able to do a clear abdominal ultrasound! The vaginal gets a bit old.
  • Loading the player...
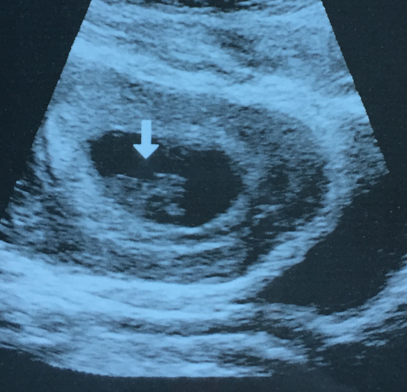
  • We had our first ultrasound today at 7w5d after IVF with transfer of ONE embryo.  Imagine our surprise when we saw TWO babies! Identical twins - we are still in shock and yet so excited!  We saw both heartbeats, which was indescribably amazing.  We will have another US on 11/20 (8w6d) before graduating from our RE to our OB.


    Congrats!!! Could they see a membrane separating them? My ID twins are almost two. :) It's fun having twins!
    BFP 5/2/11 DS born 1/19/12. 
    BFP #2 12/29/12, EDD 9/6/13, MC 1/2/13.
    BFP #3 5/4/13, EDD 1/9/14  Twin Boys! L&L born 12/18/13
    BFP #4 10/10/15 - Surprise!  Boy #4!.  EDD 6/19/16

  • AJTaylor16AJTaylor16 member
    edited November 2015
    8wks & 5days... & I heard the heart beat... soooooo cute. Wish I could get ultrasounds every other week now!
  • Had my first yesterday at 8 weeks! They said baby is measuring 7 weeks (I'm not surprised as I thought I ovulated later) all is well & we heard baby's heart beat!! Here's a grainy copy of our little one!!
    TTM - EDD 4/23 - Team Green <3 
  • @theatremandy - they didn't see a membrane but thought it might still be too early. I'll be getting another scan next week, so I guess we'll know by then! We are nervous but looking forward to the twin adventure! DW is an identical twin herself, so it'll be fun having another set in the family.
    <a href="http://www.thebump.com/?utm_source=ticker&utm_medium=HTML&utm_campaign=tickers" title="Ovulation Calculator"><img src="http://global.thebump.com/tickers/tt1d1ea1" alt=" Pregnancy Ticker" border="0"  /></a>
  • I still can't get over the difference a few days makes. Up there ^^^ I posted 6 weeks and 8 weeks (thursday) and this was today at 8.5 weeks. Look at the little arms!!! And already 2 inches long???

    Was yours internal or external? Mine was external, 9w4d and looks like a little blob. She was supposed to do both so trying to decide if I should have internal done also.
  • lzablockilzablocki member
    edited November 2015
  • I guess I can get in on the fun here! My ultrasound isn't very exciting - I thought I was over 8 weeks when I went in but US showed me at 6 weeks. This was almost three weeks ago now but I probably won't get another look until 19 weeks!


  • ALueb said:

    I still can't get over the difference a few days makes. Up there ^^^ I posted 6 weeks and 8 weeks (thursday) and this was today at 8.5 weeks. Look at the little arms!!! And already 2 inches long???

    Was yours internal or external? Mine was external, 9w4d and looks like a little blob. She was supposed to do both so trying to decide if I should have internal done also.
    My first three were internal (6 weeks, 8 weeks, 8.5 weeks). They are much much more clear than my external I had this week (11 weeks).

    April Sig Challenge: Why my kid is crying

     Baby Birthday Ticker Ticker
    Pregnancy Ticker
  • Liesvg said:
    How do you get an ultrasound this early? My ob gyn said someone will call me to set up an appt for when I'm 20 weeks.
    Are you Canadian by chance? It seems like the Americans on this board get tons of early ultrasounds as a matter of protocol, but in Canada it's normal protocol to do one ultrasound only (at about 20 weeks) unless there's some sort of concern. I only had an early ultrasound because we were unsure of my cycle length and didn't know how far along I was.
  • mrscrosby53mrscrosby53 member
    edited November 2015
    I just found out I was pregnant this week and we had our first ultrasound yesterday to find out how far along. I am 8 weeks and 3 days due June 22nd. Heart rate was 156.
  • No not american. I live in CA. I didn't ask for one during my last appt cuse I didn't know if you ask for one or not. I asked if everything was ok and she felt my stomach and said everthing is looking good. So that was that.
  • I am having such a hard time waiting to find out the gender. Due June 9th. This is my second child. And my fiancé and I could not be happier.
  • BabyBing21BabyBing21 member
    edited November 2015
    Had a family member do a quick ultrasound. We are so excited! Got to see our little nugget and the heartbeat. Measured at 7w2d, spot on. Our first official OB appt is 18 Nov. excited to see how much s/he has grown. Due June 21st!
  • Had our first appointment on Friday and everything looks great :D We just had a bedside ultrasound so the picture quality isn't great but we got to see that there is only one little smudge in there. Measured exactly 8 weeks and 2 days on Friday just where we thought we should be and the heart rate was 160 BPM. Very excited! 
  • This was at 7w4d. HR was 163 and we could see and hear it! This is our first and we are so excited! Cant wait til our 12w appt on the 30th!
  • These all make me so sad I just found out I won't have an ultrasound tomorrow at my first appt. and I'll be 8 weeks 4 days :(
    April Siggy Challenge Social Distancing


  • Here's our little bean, measuring 8 weeks 3 days. Beautiful HR of 175. So thankful!
    Pregnancy Ticker
  • 2nd doc apt today! Baby measured 10w 3d with a heartbeat of 160. Woo hoo!
    image BabyFruit Ticker
  • So I had my first appointment today.. turns out my midwife doesn't do US. I got a referral to their affiliate office (boo!) So I'm going to set that appointment up tomorrow. she also gave me my 20 week referral.. which means I'm only getting 2 ultrasounds this whole pregnancy. (double BOO!)
  • 9 weeks exactly! My little nugget is good moving around and has a strong 168 heartbeat
  • My little one last week at 8w1d with a heartbeat of 167. Measuring a little bigger than original but sticking with my due date of 6.21. It's amazing how much I love my baby already!
  • My little pickle 8 weeks 3 days. 
    Pregnancy Ticker 
  • 9wk 4d. Baby stretched out for us! Just Hangin out :)
  • @CopperLane how beautiful your little is!! Love the 12 week scans with profile. Magic! Congrats!
  • Aw, thanks @HBamama2B!! We almost didn't get this shot. Baby was sleepy and had his/her back to us the majority of the time. There was a lot of frustrated poking and jiggling by the tech and she almost gave up. Luckily the little bub decided to roll over, so she could get the NT measurement and get a nice profile shot for us.

    Now the countdown to the 21 week anatomy scan begins!
  • Went in yesterday because of some cramping. I'm supposed to be 11w1d but I was measuring right at 12 w. Baby was movin and groovin. So good to see. ❤️
  • CandacenellieCandacenellie member
    edited November 2015
    This is 10w5days 174 bpm! Now 11wk days
    Can't wait to see him/her again!!
  • Had first ultrasound yesterday and baby measured exactly at 8w 3d. Could see the little heart beating away! <3 Am I weird for thinking it was just the cutest little thing? 
    Pregnancy Ticker
  • Had my NT scan today. Such a huge difference from my 7 week ultrasound. It actually had arms and legs this time!!

    12w 1d

    Question! Are you finding out the sex?
Sign In or Register to comment.
Choose Another Board
Search Boards
"
"