Had an ultrasound today! Finally have a due date. 6-14-16. Both of my other babies were born on the 13th of the month. Wouldn't it be crazy if we went 3 for 3?
Me and all three of my brothers have 28th birthdays!! Easy to remember!
Had my first ultrasound today...5w3d and sure enough there is a sack and yolk sack....super excited!!!! Ill have another done in a couple weeks to look for a heartbeat!
My little bean. According to LMP I was 6wks+5d but baby is measuring 6wks+3. They aren't changing my date yet because the baby is so small the tech said she wasn't sure she was even measuring the whole baby. Hb was 118. I had a 2nd trimester MC in May so I'm going to get to see this bean a lot! ☺️
I can't believe this is real!!! Just got done with our first ultrasound awwwww. My little gummy bear with three weird antennas sticking out of his head lol. Due June 6th. I'm 8w3d here. Eek!
This thread is probably my most favorite one here in June 2016 Moms. I love love love seeing all your ultrasound pics! I'm looking forward to my first US two weeks from today when I'll be 7w5d!
So exciting seeing all the pictures and what to expect! My due date is between June 27 (based on O date) and July 1st (based on LMP). I had an ultrasound due to some spotting a couple nights ago and all you can see is the little sac. I have an appt on Tuesday but I don't know that I'll be getting another one.
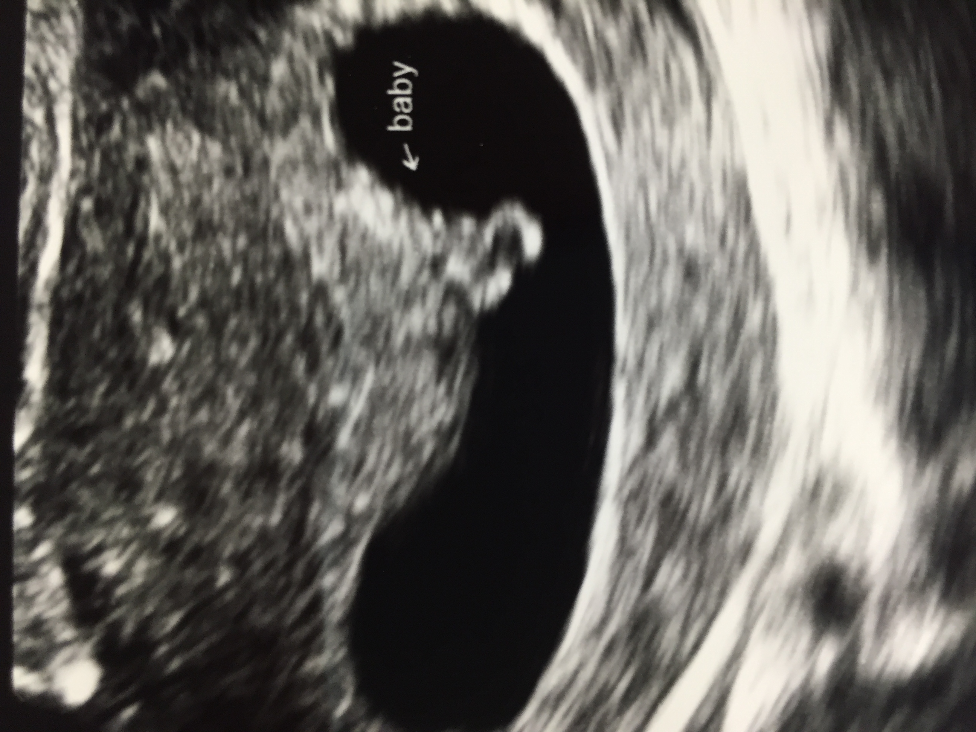
6wks 4days! Saw the little heartbeat flicker too. Thought it would all seem real after the US but it still seems so crazy ha! Cute lil pumpkin seed...due 6/17.
@mrsshmitty I just had my second u/s because I am considered high risk, one last Wednesday, one today. I'm 7 weeks today and will have a 3rd u/s in two weeks. My doc usually won't do them until at least 10 weeks. I'd rather not have so many, but after a late, 19 week, miscarriage in June... Here is my tadpole
I had my first prenatal visit this morning! I'm 8w4d. The doctor said everything looks great. He found a heartbeat. It was 177bpm. I'm just so glad the baby looks healthy.
I'm trying to post the ultrasound pic but it won't let me - anyone know what I might be doing wrong?
I love seeing all of these posts. Am I the only one that's afraid for their first ultrasound? My first one isn't until the 10th, I'll be 10 weeks. I'm so afraid they aren't going to find anything.
Well I just had my first ultrasound yesterday and I seen my peanuts heart beating at 127 bpm! So happy! Btw I'm 6 ws 5 days but according to the ultrasound I'm 6 wks 3 days, not a big difference. Now u have to figure out how to attach a pic if the ultrasounds lol
Here's my little pumpkin first scan today I had my dates as 7w2d but baby measured as 6w2d say baby and heartbeat can also see the yolk sac too feeding little one :x
I had some bleeding over the weekend and an abrupt end to ms. Because of a previous miscarriage, my Dr decided to do a whole bunch of blood tests and ordered an us too. I'm not complaining!!! I went into the appointment knowing it could go either way and was preparing myself to see an empty uterus. The tech immediately found baby and we got to watch it flutter around with its stubby little arms and legs. Strong heartbeat and everything is looking good. Of course I cried for joy. :x
I was estimating that I was 8wk3da based off lmp, or 8wk5da based on when I ovulated (i was temping). Baby measured right at 8wk4da, so smack in the middle!
Edit: I keep trying to add the pic, but it's saying the file format is not accepted. I'm pretty sure it's a jpg?? I might have to switch over to my computer, since I'm on my mobile right now.
Hi all! This thread is magic! Love seeing everyone's precious little beans. Had my second scan today at 7+0 (last was at 5+6). Will post both in case ladies want to see progression (I know I like seeing that) . Got to hear the hb (133bpm) and smile cried so hard my cheeks hurt. Next US is next Friday and I may be released to a normal OB then.
I had my first ultrasound today and it pushed my due date back about 4 days. It was so nice to be able to finally see the baby-- I had a MC in July so I've been a little nervous this time about everything going ok.
First ultrasound last week measuring 6w4d. After a mc in June, it was so nice to hear the heartbeat! I feel like I'm cautiously optimistic that all will go well this time. Prayers for all our healthy June babies!
Finally got mine from last week onto my computer! This is 8 weeks on the nose! HB 171. After a MMC in the spring, we were very happy to be right on target.
Re: Ultrasound Thread!
(Edited to add due date)
BFP1 04/24/2015 EDD Dec 2015 MMC 10W5d;
BFP 2 09/25/2015 EDD June 2016 MMC 9wks;
BFP 3 03/22/2016 EDD Dec 6th 2016
Here is my tadpole
Baby #2 Due 3/7/20
Heart rate was 163 bpm
Still can't believe I got to see that little heart beating away!
I was estimating that I was 8wk3da based off lmp, or 8wk5da based on when I ovulated (i was temping). Baby measured right at 8wk4da, so smack in the middle!
Edit: I keep trying to add the pic, but it's saying the file format is not accepted. I'm pretty sure it's a jpg?? I might have to switch over to my computer, since I'm on my mobile right now.
8w6d! Transvaginal. He/she was a little wiggle worm when the Dr first turned the machine on