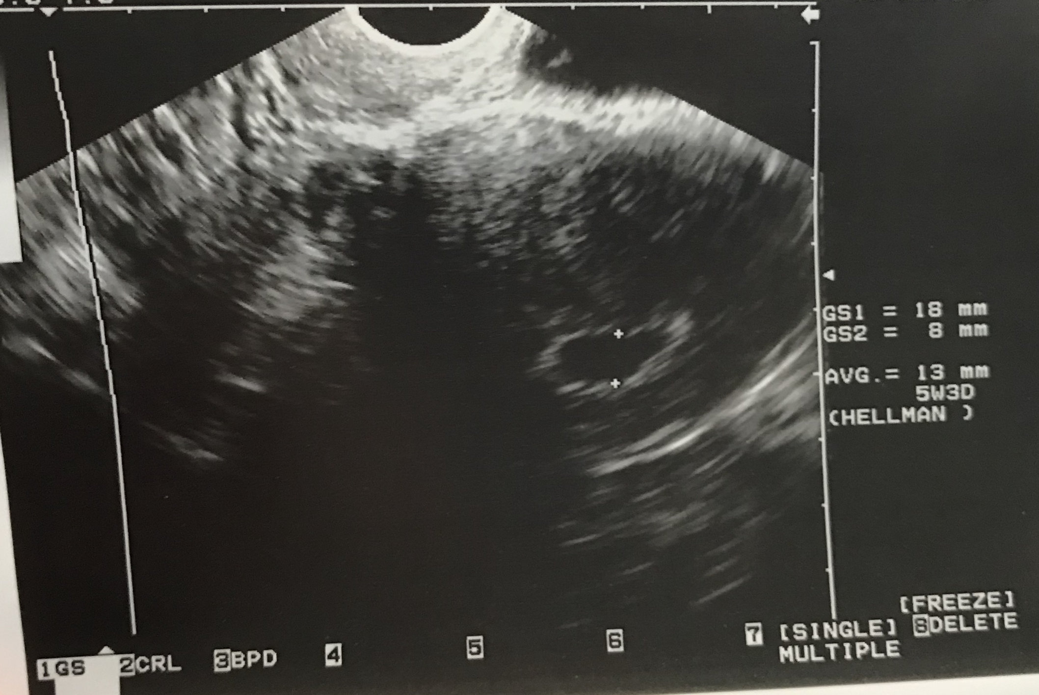
Well I went to my first appointment today and I thought I was 7w2d based on my LMP. Turns out I must have ovulated WAY later then I thought and I’m only 5w3d! He said everything looks totally normal for 5 weeks and he wants me back in 3 weeks to do another ultrasound. I’m so glad that everything looks good, but I’m sad that we couldn’t see baby yet or hear a heartbeat. Gah! I’m nervous and frustrated that I’m back 2 whole weeks. But anyway, here’s a picture of my gestational sac?
@fuscok88 from my understanding, I think it’s normal to have the first ultrasound anywhere from week 6-12, to confirm your due date. I would definitely try and go ahead and get one scheduled though. Depending on the doctor, they may be booked for weeks.
Also, some women don’t even get that first ultrasound, they just wait until around week 16-20, where you find out the gender of the baby.
Thanks for the info on timing of U/S. I thought that nowadays they can tell the gender a lot earlier through a blood test at like 10-12 weeks.
@fuscok88 from my understanding, I think it’s normal to have the first ultrasound anywhere from week 6-12, to confirm your due date. I would definitely try and go ahead and get one scheduled though. Depending on the doctor, they may be booked for weeks.
Also, some women don’t even get that first ultrasound, they just wait until around week 16-20, where you find out the gender of the baby.
Thanks for the info on timing of U/S. I thought that nowadays they can tell the gender a lot earlier through a blood test at like 10-12 weeks.
There is a blood test for genetic screening (NIPT) that is done at that time. At the same time they can tell you the sex. It is generally only covered by your insurance if you are AMA or have other risk factors though.
@fuscok88 from my understanding, I think it’s normal to have the first ultrasound anywhere from week 6-12, to confirm your due date. I would definitely try and go ahead and get one scheduled though. Depending on the doctor, they may be booked for weeks.
Also, some women don’t even get that first ultrasound, they just wait until around week 16-20, where you find out the gender of the baby.
Thanks for the info on timing of U/S. I thought that nowadays they can tell the gender a lot earlier through a blood test at like 10-12 weeks.
There is a blood test for genetic screening (NIPT) that is done at that time. At the same time they can tell you the sex. It is generally only covered by your insurance if you are AMA or have other risk factors though.
Ohhhhhh, gotcha. I'll check my insurance, but I'm gonna be 34 next month, not sure if AMA starts then or 35. Thank you, at least I won't be disappointed at the doctor's.
@dreamingof3 Thanks. Right now we are just taking it day by day. As of this moment we have two healthy identical twins, each with a good heartbeat and measuring on-track. We won't know for sure if they share an amniotic sac until between 10-20 weeks. If that happens we will deal with it. Right now? We have two strong looking twins and we are just holding on to that.
@missmcgonnagal I haven’t even introduced myself here yet (was waiting to hear a heartbeat) but wanted to send you hugs and support. I have 18 month old twins so I’m always reading/talking about multiples. I follow a woman on Instagram who had Mo-Mo twins AND a third in a separate sac — triplets! And they are healthy and happy. I’m thinking of you and hoping you get positive news soon.
@missmcgonnagal That sounds so overwhelming! Thinking of you and hoping they stay safe and keep growing! @keighty80 so sorry you got your date pushed back! That definitely feels like such a blow and it's hard not to be upset to have to "do over" those couple weeks.
*TW*
Me: 32 │ DH: 35 Married 8/16/13 BFP#1 DS 11/13/16 BFP# 2 MMC dx @ 13w 10/30/18 BFP# 3 Preemie DD born at 38w (IUGR) on 8/28/19 weighing 5.5lbs. Our little miracle
Went in for my first ultrasound today at 6W 6days! Baby measures 7W 1day. They did see a small (.65cm) bleed but she said that she isn't concerned because it is so small... I'm kinda worried. We go back again next week to make sure it is gone and all is well.
@mrssattes2015 First, congrats on baby!!! 🎉 Praying that your bleed goes away and all looks perfect at your next ultrasound!
Second, you may want to edit out your personal info from your ultrasound pic. I do believe that people are generally good and well intentioned. Sadly, we are on the internet, where everyone with less than noble motives also congregates! Better safe than sorry!
Had a wonderful first ultrasound today! Feeling very blessed. My PGAL brain had me terrified and anxious, but baby is measuring right on schedule at 8w exactly, and had a beautiful heart rate of 179 💗
I don't have my ultrasound until Oct 30th which is so far away but I want to let you all know how much I appreciate you sharing yours! It is so heartwarming to hear the stories and see them.
Haha @kvh22! DD looked way more like a little bean than this one but, our first u/s with her, she was measuring 7w3d instead of the 8 we thought she was based on LMP. And this one is just hanging out upside down lol. Sweet baby.
Here is our little bud from yesterday's u/s! SO relieved and excited to see that beautiful heartbeat (157 bpm). I was pretty on point with tracking my ovulation and knew I was 7w4d at the appointment. That's exactly what they measured me at too. However, they aren't budging on my O date and are going by my LMP, which according to them I'm more like 8w1d with a due date of May 6. I'm not budging on my end and will still be telling everyone my due date is May 10.
Me: 33 DH: 34 Married: Oct 2015 TTC #1: Sept 2016 BFP: 10/19/16 ~ blighted ovum ~ D&C 11/23/16 BFP: 3/24/17 DD1 born 12/2/17 TTC #2: July 2018 BFP: 8/26/18 DD2 born 5/16/19
@peachy13 My due date is off the other way because I have shorter cycles and based on LMP they are saying my due date will be 6/2. I am still saying 5/28 because I know it is wrong! Plus I like all you ladies too much to switch now.
I know Ive not been participating too much, more lurking I need case anything went wrong but now feel fine posting and getting more into this community! Ultrasound this morning at 7w6d, a day later than we thought pushing due date to May 9! Heartbeat at 154 bpm! Feeeeels real now!
@GeorgiaGirl1230 OMG that is the cutest most adorable U/S pic I've ever seen!!! I can't even tell you how cute it is! Congratulations and here's to a happy healthy rest of the pregnancy and delivery!
Still so tiny and on the yolk sac, but we got to see our sweet baby’s heartbeat today! Dr said the heartbeat was around 150. Such a huge relief since I was worrying about my lack of symptoms a couple of days ago! Baby is basically right on track with my last period. They said he/she was measuring at 6 weeks 3 days, but are staying with 6 weeks and due date of May 22nd. All the feels today! ❤️
@fifthemperorofthesea I'm interviewing my first midwife tonight and plan to ask her about it. My OB delivered my son. She's also my best friends OB and we happened into being pregnant together again. I'm shocked at the differences in our care by the same dr/practice. She saw the dr by 6wks, had an ultrasound at 8 and 10 and has seen the dr again already. I haven't even had my first appointment and I'm 8 weeks
@fuscok88 while every OB will be different, sometimes individual pregnancies also require different monitoring. That seems a bit odd with the same OB and I'm sure you would know, but maybe you friend has something else going on medically with her or the baby. An ultrasound at 8 and 10 weeks sounds like they were trying to check something as even if you'd have one at 8 weeks, usually it'd be another 4-5 until the next one. I had to have an extra ultrasound at 24 weeks because DD had a heart arrhythmia we could hear on the doppler.
Had our second ultrasound today, did one around 5 weeks due to a previous ectopic and boy did we get a shock!! TWINS 😳🤗 we are 6 weeks and 1 day, saw and heard BOTH heartbeats baby A 117 and baby B 125. Still in a state of shock but so excited and blessed 🙏🏼
Re: Ultrasounds
@msb615 thanks! These early weeks are so hard, I guess that’s why I’m bummed I have to do the last two weeks all over again (at least in my mind)
@keighty80 so sorry you got your date pushed back! That definitely feels like such a blow and it's hard not to be upset to have to "do over" those couple weeks.
Married 8/16/13
BFP#1 DS 11/13/16
BFP# 2 MMC dx @ 13w 10/30/18
BFP# 3 Preemie DD born at 38w (IUGR) on 8/28/19 weighing 5.5lbs. Our little miracle
@bpietronicco thinking of you and hoping that measurements start matching up soon and that all is well! I'm so glad your baby is strong!
@keighty80 the waiting can be so brutal. Time can just creep by. Thinking of you and hope that it gets here soon!
Second, you may want to edit out your personal info from your ultrasound pic. I do believe that people are generally good and well intentioned. Sadly, we are on the internet, where everyone with less than noble motives also congregates! Better safe than sorry!
ETA: working from home so I just went to check - she definitely looked like she was wrapped up in a cocoon. Your LO is so precious!
Here is our little bud from yesterday's u/s! SO relieved and excited to see that beautiful heartbeat (157 bpm). I was pretty on point with tracking my ovulation and knew I was 7w4d at the appointment. That's exactly what they measured me at too. However, they aren't budging on my O date and are going by my LMP, which according to them I'm more like 8w1d with a due date of May 6. I'm not budging on my end and will still be telling everyone my due date is May 10.
Married: Oct 2015
TTC #1: Sept 2016
BFP: 10/19/16 ~ blighted ovum ~ D&C 11/23/16
BFP: 3/24/17
TTC #2: July 2018
BFP: 8/26/18
Thank you so much @expandandcontract!!
Edited for spelling...grrr lol.
Still so tiny and on the yolk sac, but we got to see our sweet baby’s heartbeat today! Dr said the heartbeat was around 150. Such a huge relief since I was worrying about my lack of symptoms a couple of days ago! Baby is basically right on track with my last period. They said he/she was measuring at 6 weeks 3 days, but are staying with 6 weeks and due date of May 22nd. All the feels today! ❤️