I had my second ultrasound to check for growth. I was either earlier than I had originally thought or something was wrong and I was worried. But everything is perfect!!!!! Baby grew just like it should and we heard a HEARTBEAT!
Here's our little one, measuring one day behind our due date based on LMP, but Dr. didn't see the need to adjust it and confirmed I'm 6 wks 4 days. We didn't get to hear the heartbeat, but we got to see it flutter and beat on the screen, which was so magical to me! I can't believe this is real life.
Me: 32 | DH: 32 DSS: 5- starting kindergarten this fall! TTC since our wedding: October 22, 2016 BFP #1 5/10/2017!!! *Sadly, we lost our sweet babe on 6/19/17 at 9 weeks, 2 days. But we are made of hope, and we'll be back here soon.*
I had my first US at 7w6d and the heart rate was 132. The doctor said that was good but I feel like it's kinda low hearing how high some of yours were even around 6 weeks.
@whitta1218 OMG I am in the same boat as you--or was two weeks ago--I worried up and down because my doctor said the rate (128) was normal but I thought it was low. I did the deep dive and it isn't! There is a WIDE normal range, and 132 is totally in it! Many things can make it on the lower end--i.e. the embryo is in a restful state, the rate was fainter (because of positioning of the uterus/placenta/embryo) so it picked up a lower rate, and also maybe we are both having boys, because studies and old wives tales show that lower early heart rates are often boys I totally get the stress, but the doctor 100% would tell you if it was a concern! Hugs and CONGRATS!
@EmilyLove25 Glad I'm not alone! They did say my uterus was tilted backwards a little, so maybe that had something do with it. I go again on June 19 to have the Harmony test done and I'll get to hear the heartbeat again, so hopefully that'll put my mind at ease! Also, secretly hoping it's a boy! Congrats to you, too!
@whitta1218 Can you tell me more about the Harmony test? Does your insurance cover it? I asked my doc about cell-free DNA testing and she said that would only be done if we got a heightened risk assessment at our FTS/NT scan, but I'm not sure they're the same thing!
Me: 32 | DH: 32 DSS: 5- starting kindergarten this fall! TTC since our wedding: October 22, 2016 BFP #1 5/10/2017!!! *Sadly, we lost our sweet babe on 6/19/17 at 9 weeks, 2 days. But we are made of hope, and we'll be back here soon.*
@hunt_adventure_society Of course! My insurance doesn't cover all of it, but it's discounted down to $199, I believe. The Harmony test is a non-invasive (just a blood draw) genetics test that can be done as early as 10 weeks, but my doctor does it around 11-12 weeks. It tests for Down Syndrome, Trisomy 13, and Trisomy 18. Because it reads the baby's DNA, it can also tell you the gender, if you choose to have that information provided. My doctor's office still offers the second trimester testing, which would test for the same things plus any spinal deficiencies (spina bifida, fluid on the brain, etc). Harmony just lets you know a little sooner, and it's just a nice plus that you can find out the gender with it!
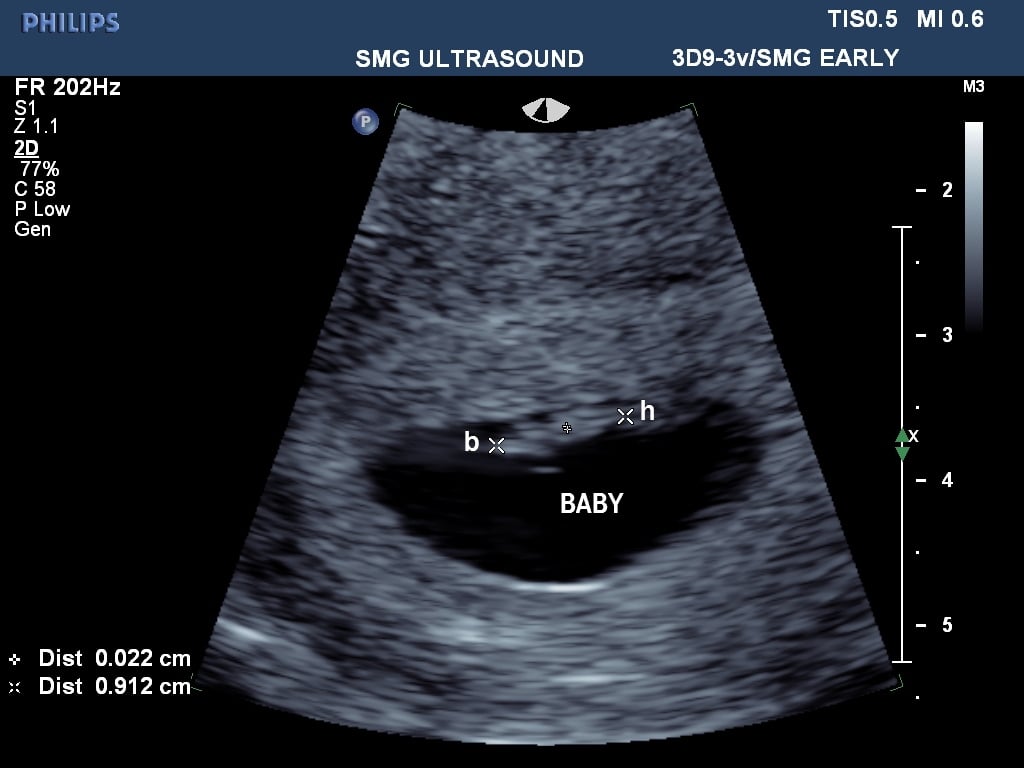
I had my second ultrasound today after my first one two weeks ago was only showing a gestational sack. I was worried something was wrong, but when I went in this morning the baby was measuring a week behind at about 7 weeks and had a heart rate of 141!! Silly me forgot to ask for a picture, though.
I had my second ultrasound today after my first one two weeks ago was only showing a gestational sack. I was worried something was wrong, but when I went in this morning the baby was measuring a week behind at about 7 weeks and had a heart rate of 141!! Silly me forgot to ask for a picture, though.
Same! My us isn't until June 26. So far away! I'll just continue to look at your ladies until mine comes
@TInman87 thank you! I couldn't believe it and that was a bad picture of it. The tech was moving around and I could even see it's little arms and it looked like we could make out a nose! Haha
@jakobaby - I also have a tilted uterus and the tech couldn't get a clear pic trans-vag so she had to do the stomach one @laurent90 - I couldn't hold it so I ended up going to the bathroom before the u/s and then drank more water for 20min and seemed like everything was fine. Plus I was coming from an hour outside the city, painful ride in the last 5 min. I almost jumped out of the car to go pee at a Tim Horton's
So happy to finally be able to post here!
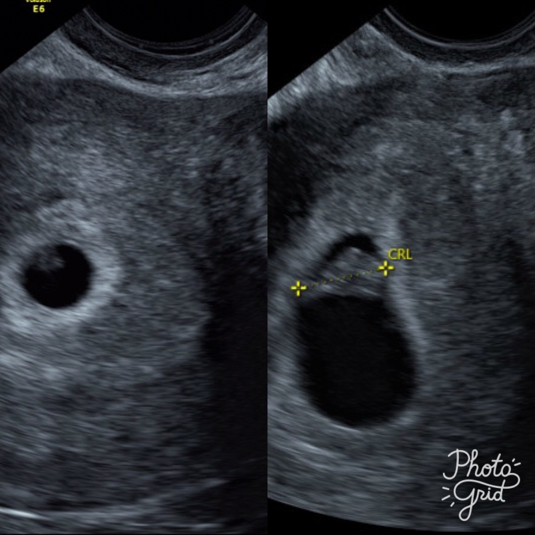
Happy to report that ultrasound looked normal, due date stayed the same, 6w+5d & Jan. 21 EDD. Going back in about a week for another ultrasound and some blood work. This is the best pic she could get (damn tilted uterus!). DH wasn't allowed back with me until the very end and we just got to see this on the screen. We saw a fluttering heartbeat but that's it. I was told it was too soon and dangerous to do a doppler
I started bleeding at 2 pm today. I had my ultrasound and there was no need for an internal. I'm 7 weeks but baby measured 6 weeks. There was a heartbeat and it was 130! I just wonder why I'm bleeding. Still waiting for doctor to call.
I'm loving all of these little nuggets! Our next US is Thursday and by our first dating scan we'll be at 8 weeks 5 days so I'm legit super excited about potentially seeing this much detail!
I don't have a photo to show, because they won't give me an ultrasound til week 8!! What's a girl gotta do to see her LO before then? I see most of your beautiful babes are around 6 weeks. Help?! DD Jan 25 2018
US Today. Single baby, strong heartbeat. Measuring normal. Another US in two weeks. Will try to post the picture DH took with his mobile later (doctor was an hour and a half late so was in a hurry).
I had my first appointment yesterday!!! We saw the heart beat!!! It was 153 beats per minute and the baby measured 1.25cm. I am 7 weeks 4 days. Such a relief to see our little one
I have my first US in a week, I will be nine weeks exactly if I ovulated on CD14. I have been so impatient, but seeing an US at nine weeks is so clear I think it will be worth the wait!
I had my third U/S on Friday. I was exactly 9 weeks. Baby measured right on track for 1/5 due date and had a heart rate of 182. My doctor was super pumped! You can even see baby's little arms and legs. Legs are to the left, head is to the right, little belly in the middle, and then a little arm sticking up. So cute!
*********************************** TW ***************************************** BFP #1 Dec 2015 - CP Dec 2015 BFP #2 Jan 2016 - MC March 2016 BFP #3 May 2017 - Down Syndrome dx @ 12 wks - MC August 2016
I just got an abdominal u/s at 7w 1d (guessing off of LMP) but the midwife could only get a quick glimpse of the gestational sac. Has this happened to anyone else! I'm going back to get a transvaginal one next week.
My little snowman! According to LMP I'm 7w4d but I'm measuring a few days ahead which I knew I would bc I ovulated day 10 of my cycle, but they aren't changing my due date. No biggie, baby comes when it wants to anyway
DD1: 2/28/12 DD2: 9/12/13 Baby #3: Due January 2018
@agalvarado It's pretty common to not see much on the abdominal ultrasound when you're this early. You should be able to see more with the transvaginal. In my case they couldn't see anything but the sac with the abdominal, but were able to see baby, heartbeat, etc, with the transvaginal (I was measuring 7 weeks at the time).
Measuring right on time at 7w5d! Heartbeat was 153. So in love already! They're letting me come back a week from today for another to ease my worries which is so wonderful!
@baileym9126 thank you, that puts my mind at ease a lot actually. This is my second but for some reason I'm more anxious, I think because now I'm more aware of things that could possibly go wrong and how lucky I was the first time around.
Re: Ultrasounds!
DSS: 5- starting kindergarten this fall!
TTC since our wedding: October 22, 2016
BFP #1 5/10/2017!!!
*Sadly, we lost our sweet babe on 6/19/17 at 9 weeks, 2 days. But we are made of hope, and we'll be back here soon.*
DD1 EDD 9/29/2015, Born 9/24/2015
DS1 EDD 1/3/2018, Born 12/26/2017
BFP #3 3/21/2019, EDD 11/29/2019, MMC/D&C 5/7/2019
BFP #4 6/28/2019, EDD 3/12/2020
DSS: 5- starting kindergarten this fall!
TTC since our wedding: October 22, 2016
BFP #1 5/10/2017!!!
*Sadly, we lost our sweet babe on 6/19/17 at 9 weeks, 2 days. But we are made of hope, and we'll be back here soon.*
mine comes
Hope it's not too big. It's been forever since I posted a pic to TB.
Our little nugget! Measuring a day ahead at 7w2d and a strong heartbeat of 151 bpm! I got to hear it and it was music to my ears!
@laurent90 - I couldn't hold it so I ended up going to the bathroom before the u/s and then drank more water for 20min and seemed like everything was fine. Plus I was coming from an hour outside the city, painful ride in the last 5 min. I almost jumped out of the car to go pee at a Tim Horton's
So happy to finally be able to post here!
Happy to report that ultrasound looked normal, due date stayed the same, 6w+5d & Jan. 21 EDD. Going back in about a week for another ultrasound and some blood work. This is the best pic she could get (damn tilted uterus!).
DH wasn't allowed back with me until the very end and we just got to see this on the screen. We saw a fluttering heartbeat but that's it. I was told it was too soon and dangerous to do a doppler
SD: 21 & SS: 17
BFP #2 6/3/2020
*Trigger Warning*
DD Jan 25 2018
I use Hypnobabies! http://www.hypnobabies-store.com/link.cgi?affiliateID=472
J18 December Siggy Challenge: Christmas Movies!
EDD: 1/6/2018
Eva Jane: 7/23/2014
Baby at 9 weeks. Measuring right on track and a healthy heartbeat. Baby was wiggly during the ultrasound.
FB- https://www.facebook.com/lauren.h.cass
IG- boymom1010
http://www.thebump.com/?utm_source=ticker&utm_medium=UBB&utm_campaign=tickers
http://www.thebump.com/?utm_source=ticker&utm_medium=HTML&utm_campaign=tickers" title="Parenting Tips"><img
BFP #1 Dec 2015 - CP Dec 2015
BFP #2 Jan 2016 - MC March 2016
BFP #3 May 2017 - Down Syndrome dx @ 12 wks - MC August 2016
BFP #4 November 2017
DD2: 9/12/13
Baby #3: Due January 2018
It's pretty common to not see much on the abdominal ultrasound when you're this early. You should be able to see more with the transvaginal. In my case they couldn't see anything but the sac with the abdominal, but were able to see baby, heartbeat, etc, with the transvaginal (I was measuring 7 weeks at the time).
reason I'm more anxious, I think because now I'm more aware of things that could possibly go wrong and how lucky I was the first time around.