I stole this from December. (Who stole it from November, thanks guys!)
This thread is for pictures from our ultrasounds throughout the next nine months!!!
**If you have an upcoming u/s appointment, please don't tell us here. You can share that in the weekly appointment thread and/or your ticker change thread to help us keep this one relatively clean.

**
Please check your picture before sharing to make sure that any personal information you don't want to share with everyone is covered up.Some love to start their own threads to AW happy moments. That is fine too! Also please share the picture in here if you feel so inclined. There are never too many places to celebrate these little ones and their mamas.
@bumpAdmin can we sticky this thread please.
DS1: Nov. 2013
DS2: Jan. 2016
DS3: Dec. 2017
Baby #4 on the way!
Re: Ultrasounds!
I posted this in the weekly appointment thread, but I'll put it here too! Look at that little sea horse! Was thrilled! Measured 6 weeks 6 days (to the DAY of ovulation!) and had a HR of 128. DDs was higher when I had my first with her (she was also two days older), so I wonder if that means anything. Doctor said the heart rate was good though, so it must not be too low
DD1 EDD 9/29/2015, Born 9/24/2015
DS1 EDD 1/3/2018, Born 12/26/2017
BFP #3 3/21/2019, EDD 11/29/2019, MMC/D&C 5/7/2019
BFP #4 6/28/2019, EDD 3/12/2020
7 IUIs, 7 BFNs.
2 IVF attempts, both cancelled and converted to IUI, both BFNs.
Decided that my tired old ovaries are ready to retire.
Next step- reciprocal IVF, using my wife's eggs, my uterus!
fresh 5 day transfer (2 embryos) 4/17/17- BFP!
Identical twins "due" 1/2/17 (but anticipated arrival sometime December)
Our tiny one! 7 weeks 5 days. Measuring right on track with a HB of 163. LO was moving around a ton, which seemed to surprise the tech. But DD was exactly the same, so I'm not surprised at all. My official due date is now 12/31, but I hope you ladies don't mind if I stay here in January with you!
Married 5/14/13
TTC #1 since 5/14
TTC #1 w/ treatments since 5/15
BFN 7/15
BFP 8/15-MMC 9/15
BFP 10/15- Diagnosed BO 12/15
BFP 2/16-EDD 11/18/2016
Just Kidding
Jan 18 December Siggy Challenge: Christmas Movies
Ps...this post has a LOT of exclamation points...!
DD1 EDD 9/29/2015, Born 9/24/2015
DS1 EDD 1/3/2018, Born 12/26/2017
BFP #3 3/21/2019, EDD 11/29/2019, MMC/D&C 5/7/2019
BFP #4 6/28/2019, EDD 3/12/2020
Second ultrasound today. Sweet little peanut is doing good. Heart beat strong at 150 bpm.
BFP #1 Dec 2015 - CP Dec 2015
BFP #2 Jan 2016 - MC March 2016
BFP #3 May 2017 - Down Syndrome dx @ 12 wks - MC August 2016
BFP #4 November 2017
SD: 21 & SS: 17
BFP #2 6/3/2020
*Trigger Warning*
DD1 EDD 9/29/2015, Born 9/24/2015
DS1 EDD 1/3/2018, Born 12/26/2017
BFP #3 3/21/2019, EDD 11/29/2019, MMC/D&C 5/7/2019
BFP #4 6/28/2019, EDD 3/12/2020
Cats added for privacy.
Little baby love! Measuring a few days bigger, but they won't change my due date (which I prefer, buys you a little time). And a nice strong heartbeat!
DS2: Jan. 2016
DS3: Dec. 2017
Baby #4 on the way!
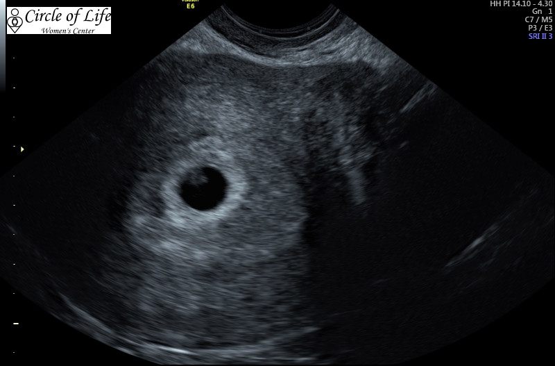
Can't tell its a baby right now but the head is on the left (black space is part of the brain. Yolk sac is the oval on the right.
- Concieved Through IVF and PGD to screen out genetic disorder (Neurofibromatosis 1)
BFP #1 Dec 2015 - CP Dec 2015
BFP #2 Jan 2016 - MC March 2016
BFP #3 May 2017 - Down Syndrome dx @ 12 wks - MC August 2016
BFP #4 November 2017
@aimsforyou2014 you might want to crop/edit your picture so your full personal info isn't visible.
First ultrasound today! Yolk sac on the left. Heartbeat was strong at 155 bpm. I totally cried when I heard it-surprised myself. Also I miscalculated my due date so I'll be joining the ladies on tomorrow's ticker change!
Enjoying seeing everyone's pictures. Thanks for sharing!