@ashleykiger@alexxapplepiee@sonrisa21 just a heads up but you can see your personal information in the pictures you uploaded so you might want to crop them!
I got to see my two little ones and hear their heartbeats again this week at 7w4d. They are pretty clearly di/di. I "graduated" from the REs office and cried in the elevator leaving, it was really overwhelming. Sorry to keep posting all my ultrasound photos but staring at them is the only thing that keeps me from losing my mind with all the nausea and vomiting. And we haven't told anyone else so I have to keep telling you all!
she is concerned we have momo too. We've been pretty stressed out over it, googling doesn't help. Our Maternal Fetal Medicine Specialist (high risk obgyn) appointment is this Friday. She said a stationary ultrasound that is more high tech will be more clear, and determine the membrane. Hopefully! We see our regular obgyn every 2 weeks. So next week. I guess it is good thing is we will see our little peanuts every 1-2 weeks at this rate. Which is good. I wish I can see them all the time. sending good vibes to all of the march 17 twin mommies!! * & praying for healthy happy little nuggets for everyone here*
I'm right there with you - my first specialist appt is tomorrow too! Please keep me posted! I have all of my fingers and toes crossed for your little ones!!!
*TW*
TTC#1 - 6.3.16 BFP#1 - 7.1.16, (mo-di twins + singleton) due 3.15.17 MC singleton - 7.13.16 - 5w MMC identical twins - 8.5.16 - 8w+2d Misoprostol 4x D&C - 9.12.16 Hysteroscopy - 11.21.16 - Retained tissue filling half of uterus removed, blocked left tube, benched for 2 cycles, on estrogen/progesterone for 30 days HSG - 2.7.17 - Asherman's Syndrome. Both tubes open. Hysteroscopy 2.13.17 - Incomplete adhesiolysis for Asherman's, benched & on estrogen/progesterone for 30 days. At least two more surgeries needed... Hysteroscopy 3.21.17 - Adhesiolysis for Asherman's, benched & on estrogen/progesterone for 30 days. TTCAL #1: 4.24.17 Hysteroscopy 5.23.17 - Scars reformed. Adhesiolysis. Unsure what to do next... Fertility acupuncture - started 6.13.17
she is concerned we have momo too. We've been pretty stressed out over it, googling doesn't help. Our Maternal Fetal Medicine Specialist (high risk obgyn) appointment is this Friday. She said a stationary ultrasound that is more high tech will be more clear, and determine the membrane. Hopefully! We see our regular obgyn every 2 weeks. So next week. I guess it is good thing is we will see our little peanuts every 1-2 weeks at this rate. Which is good. I wish I can see them all the time. sending good vibes to all of the march 17 twin mommies!! * & praying for healthy happy little nuggets for everyone here*
I'm right there with you - my first specialist appt is tomorrow too! Please keep me posted! I have all of my fingers and toes crossed for your little ones!!!
Good luck to you too! this forum has been like my #1 support group! best. thing. ever.
Went to the doctor's for an early ultrasound because I thought I was miscarrying. Turns out that's not quite the case! It's still early, 6 weeks 4 days, but 3 heartbeats!
Oh and it does not run in the family, and all natural conception!!
@missmckee83 Wow wow wow!! Congrats, and yay for all healthy heart beats! I can understand freaking out --I would be too-and more than a bit. Hah. How's your SO doing?
https://www.fertilityfriend.com/home/683816 BFP 6/30/16, MC 8/21/16 BFP 05/04/17, 5/10/17 Emergency LAP due to ectopic. Right tube removed. BFP 07/12/17, ECDD 03/25/18 - Silver Orion Born 3/23/18 BFP 09/30/19, EDD 06/11/20
according to my last period I should be 7w1d but tech said I'm measuring 6w4d Heartrate was 134! I go back in two weeks for regular ultrasound and hopefully we'll get to hear the heartbeat, plus DH will be there too so I'm excited!
After crazy, intermittent pain the last 72 hours, I ended up with an ultrasound today. Should be about 6 weeks, measuring a little under at 5 weeks 3 days, but she said very typical for measurements to me off this early. We could see the heart beat at 114. It will be more accurate when I go at 8 weeks. Oh and the pain they are pretty sure was a kidney stone... Baby is just fine! It's the little blub under the word!
I survived the first ultrasound, though not without blubbering like an idiot once I saw the picture on screen! Based on my LMP, I am 7w1d, but since I temped and took OPKs, I knew I should be 7w3d. When I informed the OB this, he called me an overachiever. I don't care though. I'm over the moon and SO happy that baby is measuring precisely as I'd hoped with a HB of 158!
@JAGinMI just go to a women's clinic. They are free and they will do one around 10 week. 18weeks is not right times to prepare for twins. Plus I'm sure you will have a bigger belly than if you ate having a single at that point so that may bee your only clue
Married DH 12/31/13 BFP#1 1/21/14 ended in loss DNC 3/5/14 BFP#2 7/2014 Baby Girl born 4/15/15 BFP#3 2/10/2016 natural mc 2/27/2016 BFP#4 6/25/2016 Due 3/2/2017
Yay! Just had my first ultrasound and therere's a baby and a beating heart in the sac. I was too in shock to remember what she said the heart rate was. After my last blighted ovum I'm so relieved! I thought I'd be 6w6 but baby is measuring 6w2. Trying hard not to worry even though doc says she's not. 2 weeks and 1 day till I get to see her again with a FU ultrasound.
FINALLY!!!! Got to see our little jelly bean! Measuring 7 weeks on the dot and heart rate was strong 137!! So in love and it definitely has made reality set in!
Here is Baby Rick at 8w4d measuring in at 9w0d at our US last Thursday! The little one was swimming around and moving those arms and legs! It was amazing to see as first time parents. Can't wait to see him/her again in a little over 5 weeks
Whoa...seriously rad. 8 1/2 weeks & almost an inch, heart rate is 159. It's little arm & leg nubbins were waving like crazy - looked like it was dancing! So amazing to see it start to look like a baby...
Re: AW Ultrasounds
Me: 26 Hubs: 28
Married: 6/6/15
Baby Girl: 3/22/2017
I got to see my two little ones and hear their heartbeats again this week at 7w4d. They are pretty clearly di/di. I "graduated" from the REs office and cried in the elevator leaving, it was really overwhelming. Sorry to keep posting all my ultrasound photos but staring at them is the only thing that keeps me from losing my mind with all the nausea and vomiting. And we haven't told anyone else so I have to keep telling you all!
March 2017 August Siggy Challenge- Summer Fails
Married to DH since May 2009
FET#1 Transfer: 6/30/16
7/7/16 BFP
Initial Beta 396!
Beta 2- 1007
Beta 3- 2952
Official Due Date 3/18/17!
Me: 26 Hubs: 28
Married: 6/6/15
Baby Girl: 3/22/2017
TTC#1 - 6.3.16
BFP#1 - 7.1.16, (mo-di twins + singleton) due 3.15.17
MC singleton - 7.13.16 - 5w
MMC identical twins - 8.5.16 - 8w+2d
Misoprostol 4x
D&C - 9.12.16
Hysteroscopy - 11.21.16 - Retained tissue filling half of uterus removed, blocked left tube, benched for 2 cycles, on estrogen/progesterone for 30 days
HSG - 2.7.17 - Asherman's Syndrome. Both tubes open.
Hysteroscopy 2.13.17 - Incomplete adhesiolysis for Asherman's, benched & on estrogen/progesterone for 30 days. At least two more surgeries needed...
Hysteroscopy 3.21.17 - Adhesiolysis for Asherman's, benched & on estrogen/progesterone for 30 days.
TTCAL #1: 4.24.17
Hysteroscopy 5.23.17 - Scars reformed. Adhesiolysis. Unsure what to do next...
Fertility acupuncture - started 6.13.17
Good luck to you too! this forum has been like my #1 support group! best. thing. ever.
SaveSaveTTC Since: Nov. 2015
Dx: PCOS
Clomid + Ovidrel, Round I: BFN
Clomid + Ovidrel, Round II: BFN
Clomid+Ovidrel, Round III: BFP! 7/5/16
Oh and it does not run in the family, and all natural conception!!
Freaking out a bit now!
Me: 39 DH: 40
Married: 12/6/2014
BFP#2: 10/28/15 MC: 11/24/15
BFP#3: 3/20/16 MC: 4/26/16
BFP#4: 7/15/16 DD: 3/18/17
BFP#5: 5/1/18 EDD: 1/12/19
**TW in Spoiler**
BFP 6/30/16, MC 8/21/16
BFP 05/04/17, 5/10/17 Emergency LAP due to ectopic. Right tube removed.
BFP 07/12/17, ECDD 03/25/18 - Silver Orion Born 3/23/18
BFP 09/30/19, EDD 06/11/20
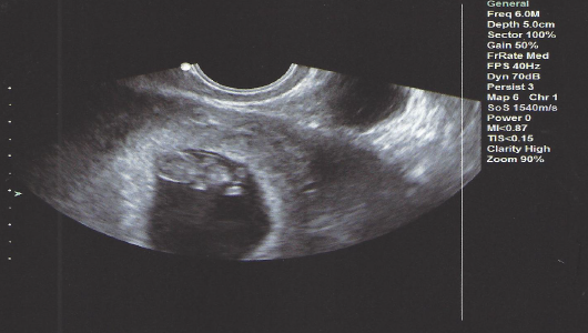
update: since I get to go to the doctor every 1-2 weeks, this is from last Friday.
this is from the high risk obgyn with the better ultrasound machine. good news. she thinks they are monodi but will confirm again in a few weeks
although she is measuring them to be smaller than LMP. by 5-7 days.. due date still in march, ill ask my regular obgyn what she thinks this Friday .
2 little nuggets. good heart rates
147 and 153
SaveSaveBFP#1 1/21/14 ended in loss DNC 3/5/14
BFP#2 7/2014 Baby Girl born 4/15/15
BFP#3 2/10/2016 natural mc 2/27/2016
BFP#4 6/25/2016 Due 3/2/2017
FINALLY!!!! Got to see our little jelly bean! Measuring 7 weeks on the dot and heart rate was strong 137!! So in love and it definitely has made reality set in!
I love seeing all these pictures! I feel so connected to you mamas and praying we all have jumping beans soon!
Me: 26 Hubs: 28
Married: 6/6/15
Baby Girl: 3/22/2017