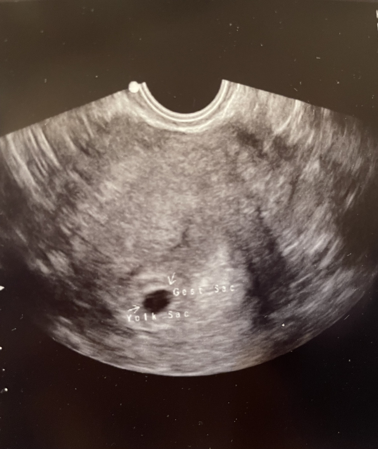
We had our first US on Friday, and I left feeling mixed emotions. Growth wise our EDD was updated to 8/1/22 from 7/30/22 (based on last period start date), but doc said that was well within normal limits, and we were able to see the HR at a nice 151. Unfortunately, our yolk sac is measuring very large (~9mm). While my provider did not seem overly concerned about the large yolk sac given the reassuring HR, fetal pole and growth, the available information online regarding large yolk sacs is pretty scary. We are going to go back in one week for a follow-up up US rather than waiting for our first regular OB appointment January 5th. I can't seem to upload a picture, but hopefully by the time we have a repeat scan next Friday I'll have an update and the ability to add a picture...
Got our ultrasound on the 21st at 7 weeks! 160 bpm and measuring exactly at 7 weeks! Next appt is in January and getting bloodwork done and to find out the gender 🤩
Had first US on 12-28. I thought I was 8wk3d but they dropped it all the way back to 6wk5d. It was quite disheartening to go back that much. But happy to see that everything and baby looks healthy. Was able to see the little flutter of a heart beat.💜 But didn’t get to hear it.
Fertility Treatments with risk of ectopic so I got my ultrasound early. Ended up being 6 weeks, 2 days and able to see the heartbeat at 115. Normal for the gestation since babes heart literally started beating 24-48 hours prior. Due Date August 6th!
After 5 losses, doc had me in at 6 weeks 1 day for early scan! First time seeing a heartbeat❤️ he said it looked great at 126 bpm! I have my 8 week scan in about a week and I cannot wait to see my lil bean again!
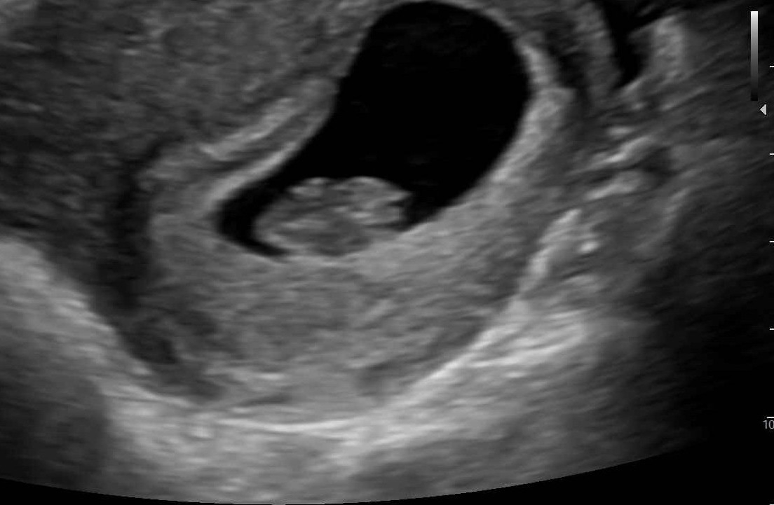
Had an elective ultrasound because I couldn't get into OB u til 10 weeks BUUUUT baby had a beautiful little heartbeat of 162 and the cutest little arm and leg buds. For an abdominal ultrasound, I was happy to see pretty decent detail 💙
Thought I was 7+3 but measured 8 weeks on 12/23 with heart rate of 169 and lots of movement. Going back tomorrow for follow up U/S given the hazy fluid in the uterus. Amniotic fluid looks fine. OB thought I might have had a small subchorionic bleed. Anyone who’s had this experience please let me know.
@knottie9ba7327950f667ce I have a SCH in early pregnancy last time. It started small and grew to maybe 2cm which was pretty big for the gestational age at the time (around 8-11 weeks). By the 20w scan it had resolved itself. One thing my OB said that I appreciated was that a lot of the time, people have SCHs but don’t get Ultrasounds until 12 or even 20 weeks. So we don’t even know those people have the SCH because it has resolved. Can a SCH be bad? For sure, but at least in my case it was one of those things that if I hadn’t had an early scan I would not have known about it.
So I went to the doctor today for some paperwork and standard test, blood pressure, etc. And the technician comes on Monday for the ultrasound so that’s when I invited my partner. He’s really upset right now because the doctor surprised me because she wanted to run blood test early (since I’m geriatric and I am positive for brca1 mutation). And she gave me a 1 minute ultrasound and I saw the baby on the monitor and she saw the heartbeat.
I told my partner and he was upset bc I told him he didn’t need to come to this since it wasn’t the ultrasound yet and he missed out on it. I don’t know how to make him feel better I keep telling him I didn’t get a print out or anything or exact measurements and the dr sprung it on me bc she wanted blood work done asap.
@lmn823 I’m sorry. Just tell him he can come to all the other visits. He will see plenty baby pics in the future. I had an unplanned u/s with my last pregnancy. My husband planned to meet me there but got stuck a few minutes in traffic and they wouldn’t wait for him. I was more upset because what if it was bad news and he wasn’t there.
Of course, I would be upset at that too but luckily there was no bad news. Just still shocked I got to see the baby on the screen! It just happened to fast to soak it in and I guess, maybe I imagined my first time not to be rushed! Just a quick few seconds and the doctor said ok the baby is there so we can give you a blood test! Ahhh
Just wanted to share two different ultrasound results in case it helps any of you. The doctor we saw for the first ultrasound came in right after and basically said we had a "slow" heartrate and could expect miscarriage. My research and instincts told me that was incorrect, and I pushed back. I had a blighted ovum last year, which was basically an empty sac at the same time (6 wks, 2 days) so seeing fetal pole and heartbeat seemed great to me! I was honestly shocked at the doctor's reaction.
The second doctor (we saw her today after the second ultrasound) told me it was irresponsible for them to flag anything over 100 at 6 weeks and that my first measurements were fine. It goes to show that there is variation among medical professionals, as well as different approaches, and on the earlier side, assuming certain elements are in place, it's ok to be optimistic!
SECOND ULTRASOUND Ultrasound date: 1/5/23 Gestational Age: 9 wks, 2 days Elements Present: Yolk sac, fetal pole, heartbeat CRL (crown rump length): 2.5cm Heart rate = 167 (per doctor, range should be 150-170) Due date = 8/8/23
For reference here are the previous ultrasound notes / measurements: Ultrasound date: 12/19/22 Gestational Age: 6 wks, 3 days Elements Present: Yolk sac, fetal pole, heartbeat CRL (crown rump length): .67 cm Heart Rate = 107 Due date = 8/10/23
P.S. For what it's worth, I have not had any cramps or bleeding, except a bit of pink spotting when my second period would have been due.
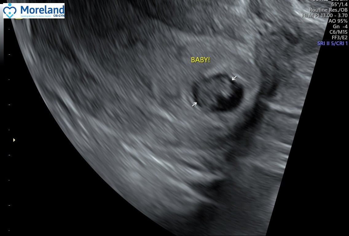
First ultrasound went well, I almost cried from relief. Baby is measuring 8+2 so due date has been adjusted to 8/16. Heart rate 176. Pic of the little bean attached.
Finally got my ultrasound today! My EDD changed from 8/6 to 8/1 (but I love the crew in the august discussions board, it tried to get me to the July board but I’m sticking here)
Baby is 10w6d today! I’m a week ahead and a week closer from getting away from this damn morning sickness!!
Little peanut’s heartbeat is 165. I edited the photo to describe it. Look at that chunky belly!! And yes I cried too! My partner looked like a deer in headlights happy.
Re: Ultrasound Thread
PG #2: EDD 8/15/23 Miscarried 9w1d 1/11/23
PG #3: EDD 12/15/23
I think we got a poser, lol. 6 weeks and 5 days.
PG #2: EDD 8/15/23 Miscarried 9w1d 1/11/23
PG #3: EDD 12/15/23
the other visits. He will see plenty baby pics in the future. I had an unplanned u/s with my last pregnancy. My husband planned to meet me there but got stuck a few minutes in traffic and they wouldn’t wait for him. I was more upset because what if it was bad news and he wasn’t there.
Of course, I would be upset at that too but luckily there was no bad news. Just still shocked I got to see the baby on the screen! It just happened to fast to soak it in and I guess, maybe I imagined my first time not to be rushed! Just a quick few seconds and the doctor said ok the baby is there so we can give you a blood test! Ahhh
The second doctor (we saw her today after the second ultrasound) told me it was irresponsible for them to flag anything over 100 at 6 weeks and that my first measurements were fine. It goes to show that there is variation among medical professionals, as well as different approaches, and on the earlier side, assuming certain elements are in place, it's ok to be optimistic!
SECOND ULTRASOUND
Ultrasound date: 1/5/23
Gestational Age: 9 wks, 2 days
Elements Present: Yolk sac, fetal pole, heartbeat
CRL (crown rump length): 2.5cm
Heart rate = 167 (per doctor, range should be 150-170)
Due date = 8/8/23
For reference here are the previous ultrasound notes / measurements:
Ultrasound date: 12/19/22
Gestational Age: 6 wks, 3 days
Elements Present: Yolk sac, fetal pole, heartbeat
CRL (crown rump length): .67 cm
Heart Rate = 107
Due date = 8/10/23
P.S. For what it's worth, I have not had any cramps or bleeding, except a bit of pink spotting when my second period would have been due.
Baby is measuring 8+2 so due date has been adjusted to 8/16. Heart rate 176. Pic of the little bean attached.