I have an ultrasound/first appt scheduled with a new OB at 8 weeks (2 weeks from tomorrow), but my friend mentioned her OB does ultrasounds and first appts at 6 weeks. Is there value in me switching OBs and going for my first appt sooner? I do have slightly elevated blood pressure and am 35, but otherwise healthy.
@knottie with my first I didn't have an appointment until 8 weeks. This time, bc of prior MMC, I had an ultrasound at 7 weeks but my first appointment is not until I am 9. Honestly, for me, the further along I am when I know baby is okay makes me feel better. I would rather a US at 8 weeks than 6, but maybe that is just me.
TTC History:
Started dating DH 2006 . Married 2015
TTC July 2015-November 2015
BFP November 2015 Baby boy born August 2016
Oops BFP February 2021 MMC March 2021
Back on BC for a year to decide what we want to do.
I don’t like to share pictures on this app, but had my first ultrasound at 7+6 and baby was in there measuring right on schedule with a heartbeat in the 160s!
First pregnancy and what a magical moment to see the lil bean for the first time! Measuring at 1.9cm, heart beat 169bpm and updated due date of June 4th 🥰
First scan today and baby is measuring right on track and got to see the heartbeat! This is my first pregnancy so it was surreal to actually see them on the screen. Made it all feel even more real! Estimated due date is 6/22!
@potato3000 oh thank you that means a lot! My appointment was the last one of the day so it was quite a long wait but super worth it for everything to be fine. Sigh of relief for sure 🙌🏻
Got an unexpected ultrasound today with my favorite nurse practitioner! Baby’s measuring a few days ahead at 9w4d and heartbeat sounds great! They were in there moving all around just boogying
Yesterday I had a ultrasound and measured 9wks exact which means baby is 2 days ahead but when doing my ultrasound my doctor said she saw a blood clot under the baby she also said it common if I have had heavy bleeding before pregnancy now she didn't seem to concerned but have never had this occur with my other pregnancy she asked to do another ultrasound in 3 weeks should I be concerned.
@mommaclaudes I'm struggling to remember the medical name, I think it's subchorionic hematoma (SCH) that you're describing? It's basically just a pocket of blood if I recall correctly that can pop and bleed a lot, but is not a risk to you or baby. If she didn't seem concerned, you probably don't need to be. But it never hurts to call and ask.
@mommaclaudes did she say it was a subchorionic hemorrhage? If it was I know most SCH aren't a cause for concern, they just monitor them and sometimes they go away and sometimes they stay, I think what they don't want to see is the blood clot growing.
@mommaclaudes I had one of those on the placenta with one of my pregnancies. It caused bleeding for a couple weeks at one point and then healed up. It stayed there kinda like a bruise, they said, but didn’t cause any problems.
Thank You ladies she didn't seem concerned and she said something with fibrosis or fibro something if I have had in the past I said no and she said if I ever had heavy periods before I did when I had my IUD but Thank You I will ask next ultrasound
10w3d ❤️ Had an ultrasound this morning and baby was wiggling all around and kicking it's long legs. My OB also said that there is no longer any sign of the subchorionic hematoma!
I was nervous today, but baby is looking great!! HR was 176, and she said baby was 1.6 cm, which according to her looks more like 8 weeks 1 day, instead of 8 weeks 5 days.
Baby totally looks like a little gummy bear in there and I’m so excited to have confirmation that everything’s normal and healthy!!!!
9 week ultrasound today! Heart rates at 175 and 176 and everything looks great. We graduate from our fertility clinic next week and I’m definitely going to miss the weekly updates.
> @mmmkayyyyyyy said: > 9 week ultrasound today! Heart rates at 175 and 176 and everything looks great. We graduate from our fertility clinic next week and I’m definitely going to miss the weekly updates.
I graduate from my fertility clinic tomorrow and I’m so sad. I want to ask them if I can have one more appointment before I move on because it’ll be like 3 1/2 weeks until I can see my OB but we’ll see. I’m so sad. The frequency of the ultrasounds really helped.
@danixyz I completely understand, I’m nervous to move on but excited to see my OB again because I haven’t seen her since my last loss and shes going to be shocked when she finds out we’re having twins
Hello mommas, this is my first time posting here! I recently had my 10 week ultrasound and the baby was measuring right on track. Everything looked good, heartbeat was flickering away. However, the next day i was reading the report and they said there is bowel located outside of the fetus, which could be normal. I was pretty scared at first and did some extra research. I found that it is typical that intestines actually grow outside of their body then retract back in between weeks 11-12. Has anyone else seen this before? I am trying to curb my worries!
Got to hear and see this tiny things heartbeat. 173! I was 8 weeks and 5 days at this ultrasound. I’m 10 weeks now but everything looks good. Measuring right on track.
We had our first U/S last week and baby looked great! Kept my due date of June 24 even though baby was a few days behind. The midwife I decided to use for our care has an ultrasound machine at her birth center so I can see baby whenever I want and I LOVE that. So probably going to get another peek at baby in a few weeks.
Had my first ultrasound today! Measuring on track at 8w1d with due date of June 28 like I expected. I was so nervous that something was going to be wrong so this was such a relief and peace of mind for me. HR was 171 and Dr said everything looked good. She even gave my husband a tour and showed him my ovaries and bladder lol. He really enjoyed that. I also didn't know that she could confirm what side I ovulated from, but apparently it was the left! Have to wait 2 more weeks to take the NIPT but i'm pretty sure time will fly by!
12 week ultrasound today, it was like a mini anatomy scan, I'd never gotten a Nuchal Translucency ultrasound before but it took over an hour to check and measure everything, it was so reassuring. Everything came back perfect and baby measured exactly on track thank goodness. Fhr was 172. I'll be interested to see if it's slowed down any next appointment. Also my placenta was fully fundal, they told me a few weeks ago it looked like baby was fundal but I had to wait till we could see the placenta to confirm it and yep, third fundal baby, my uterus definitely has a favorite spot 😅
Yesterdays scan. Baby measuring two days ahead at 11w4d. Heart rate was 168 which is exactly what it was last time at 7w5d. My doctor said he would hold his breath with me and we both took a big breath in before he placed it on my stomach. 🥺
TTC History:
Started dating DH 2006 . Married 2015
TTC July 2015-November 2015
BFP November 2015 Baby boy born August 2016
Oops BFP February 2021 MMC March 2021
Back on BC for a year to decide what we want to do.
I had my first appointment and ultrasound today at 10 weeks 4 days. Baby was measuring ahead at 11 weeks 1 day but the kept my due date the same, June 16th. Heart rate was 173. So exciting confirming everything is progressing well.
@kalesix3 we’re doing the Nuchal Translucency ultrasound + bloodwork too. Would love to hear more about how yours went. Were you looking at baby for an hour? Also, did they mention the gender at all? They told me they could tell the gender with the bloodwork they do for this. However, we like to be surprised and since I’m younger and not at risk my doctor suggested I opt for a less detailed blood test accompanying this so they don’t slip up and include the gender of baby in the lab work.
@abilbro yes mine went well and yes we were looking at baby for about an hour and 15/20 minutes, my baby was jumping and flipping around so much that at one point they had me get up and walk around for five minutes to settle it down. I asked if the scan was just that long because of that but the tech told me no they also do at least an hour to make sure they visualize everything. They looked at and measured the back of the baby's neck (actual nuchal translucency) the placenta, the cord, where the cord attached to the navel and placenta, the baby's nasal bone, spine, bladder, kidneys, heart, stomach, arms and legs, and a bunch of different heart things that I don't remember the abbreviations for to look them up. But it was basically a mini anatomy scan because they can't see and measure everything this early but they get everything they're able to since all the major systems are done forming. You can tell the sex from the NIPT bloodwork that you usually get around the same time. I opted to do the bloodwork this time but from the maternal fetal medicine specialists I see told me it only looks for trisomies and sex hormones, it doesn't tell you anything about abnormalities with the cord, placenta, other heart defects, down syndrome, organs growing outside the body or in the wrong place etc. One of my midwives told me I only needed to do the NIPT bloodwork to tell if everything was normal and she was dead wrong so I'm glad I asked for more details on the NT scan and didn't skip it based on bad advice! They marked on my paperwork for the NIPT twice that I didn't want to know the sex and they said if you check that option they don't even test for it so I'm hopeful that there's no accidents because I don't want to know either! Fingers crossed your NT scan goes well!
I still haven't had my dating ultrasound, but it's scheduled for next week. I'll be a day short of 12 weeks. So different from my first pregnancy when I had the ultrasound at 8 weeks. There is a shortage of ultrasound techs at my hospital right now, along with my own crazy work schedule. Luckily, my midwife's office have one of those little portable ultrasounds and she was able to see a heart beat and said it looked about the right size (9 weeks) and the umbilical cord was starting to form. I look forward to my official ultrasound to ease any more of my anxieties next Monday.
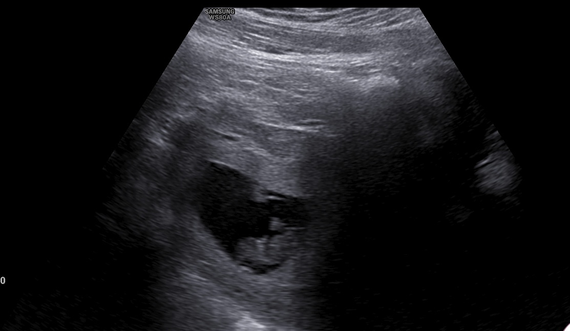
I went for my first US, apparently the placenta and the baby are both placed on the wrong positions. The placenta is below and the baby is up whereas it is supposed to be the other way round. It's called placenta previa. Has anyone ever came across such, is it something to worry about? The midwife was not too worried about it because i give birth through c-section. Below is the scan, the placenta can be seen down there that it has blocked the baby completely.
Knottie sometimes those placentas move and sometimes they don't but if you already wanted a c section that's the standard procedure for previa anyways.
Knottie I had a low lying placenta with my first at my 20 week ultrasound and it didn't move away from the cervix until 28 weeks. A lot of the times they move as the uterus grows. It this is only your first ultrasound it could very likely still move. If you plan on getting a c-section it wouldn't be an issue anyway. It becomes an issue for vaginal births being over or close to the cervix, because it can cause bleeding with dilation.
Re: Ultrasound Thread
TTC July 2015-November 2015
Baby boy born August 2016
Oops BFP February 2021
MMC March 2021
Back on BC for a year to decide what we want to do.
TTC Since March 2022
MMC June 2022
BFP September 2022 - Due June 2023!
> 9 week ultrasound today! Heart rates at 175 and 176 and everything looks great. We graduate from our fertility clinic next week and I’m definitely going to miss the weekly updates.
I graduate from my fertility clinic tomorrow and I’m so sad. I want to ask them if I can have one more appointment before I move on because it’ll be like 3 1/2 weeks until I can see my OB but we’ll see. I’m so sad. The frequency of the ultrasounds really helped.
TTC July 2015-November 2015
Baby boy born August 2016
Oops BFP February 2021
MMC March 2021
Back on BC for a year to decide what we want to do.
TTC Since March 2022
MMC June 2022
BFP September 2022 - Due June 2023!
@kalesix3 we’re doing the Nuchal Translucency ultrasound + bloodwork too. Would love to hear more about how yours went. Were you looking at baby for an hour? Also, did they mention the gender at all? They told me they could tell the gender with the bloodwork they do for this. However, we like to be surprised and since I’m younger and not at risk my doctor suggested I opt for a less detailed blood test accompanying this so they don’t slip up and include the gender of baby in the lab work.
They marked on my paperwork for the NIPT twice that I didn't want to know the sex and they said if you check that option they don't even test for it so I'm hopeful that there's no accidents because I don't want to know either! Fingers crossed your NT scan goes well!
I went for my first US, apparently the placenta and the baby are both placed on the wrong positions. The placenta is below and the baby is up whereas it is supposed to be the other way round. It's called placenta previa. Has anyone ever came across such, is it something to worry about? The midwife was not too worried about it because i give birth through c-section. Below is the scan, the placenta can be seen down there that it has blocked the baby completely.