@kleary818 I think the NT scan is pretty standard practice. Insurance does usually cover it, although I don’t know your plan...you can call and ask your insurance?? If not, and you need more peace of mind, you can always go get an elective ultrasound!
@kleary818 the ~18 week ultrasounds is an anatomy scan where they take a detailed look and measurement at all the body parts to make sure there everything looks OK. Then you'd likely have an ultrasound around 35 weeks or so to confirm the position is ready for birth. Usually those are the only "medically necessary" ultrasounds for a normal, healthy pregnancy.
The earlier ultrasounds are to confirm dates, and to check any number of things in high-risk women...and "high risk" can mean many different things. Simply being over 35, for example, can result in more ultrasounds. I had about a million with my last pregnancy--the early ultrasound around 7 weeks to check viability, then a few weeks later to check growth, and then the genetic testing came with an ultrasound I think, then the regular anatomy scan, then I was diagnosed with gestational diabetes so they wanted to check the size more frequently! I think in the last trimester I was in the office every 2 weeks, and alternated a stress-test (where they basically just use a strap-on doppler on your belly) with an ultrasound at every visit. It was exhausting!
Different insurance plans cover different prenatal tests, and the coverage may differ if it's a "nice to have" or if your doctor prescribes it. For instance, mothers under 35 may have to pay for extra testing, but mothers over 35 might have it covered. I suggest calling your insurance company to see what's covered.
Finally, most doctors won't do any extra medical interventions (including ultrasound) if you don't need it. But "need it" is really subjective. Some doctors will prescribe with a very low threshold, others have a higher threshold.
@kleary818 *TW* Insurance covered genetic testing for the POC (products of conception) for one of my losses, and then my RE ordered genetic testing for me, and that was covered because of my recurrent losses. Every insurance company/plan is a little different, but it doesn't hurt to ask about it. Some drs can bill it as preventive prenatal care and you might just have a co-pay. Others pay out of pocket. Depending on the tests you want you could pay as little as $25 if there is a copay and it's covered, or up to $5,000.
As far as ultrasounds go, all drs are different. A friend of mine didn't have one until the end of the first tri. Because of my history, I will have 1 next week (at 5 weeks), another one the following week, and then 1 or 2 more during the first tri once I graduate to my OB. But again, it never hurts to ask for one. You might just be looking at a little out of pocket. We won't be telling people until 13 or 14 weeks because of this.
I guess I am lucky. My OB does an ultrasound at every visit, starting with the 1st (8 weeks). I love all the pics I have of DD growing inside of me. At the anatomy scan, they also do some videos and we got one of her yawning.
Thought I was 8 weeks yesterday turned out im 7 weeks and 4 days as of today. I have to go back in two weeks to make sure baby is okay and growing. That made me nervous but as long as I get to see her/him again and hear her/his beautiful hb I'm okay with that. Is it normal to have to go back tho? just curious
I had my first ultrasound and we finally got to date this little one since we didn’t have a LMP. Measured 6w6d so official EDD is 9/7!!!! Baby looked great and HR was 140. We were so blessed for a good scan. Next US in 4 weeks.
got our ultrasound but the technician wouldn't give is any info on heartbeat and size of fetus. But she did show is the heartbeat. Going to see the doc on Monday for all the juicy details. Here is the ultrasound, according to my last period it should be 7 weeks and 1 day in this pic. Kind of worried the tech didn't want to give us any information
I've never shared a pic before so hope I did it right. Shock of my life last week when we saw 2 babies (di/di twins) measuring on track at 6w1d with flickering hearts, 119bpm and 120bpm. We see them again the 31st!
BFP #2 4/3/15= ectopic treated with methotrexate 5/1, YET ruptured 5/18/15= One Tube Wonder!
2 Cycles of Femara, Ovidrel, & Progesterone= BFP #3 DS born 5/17/16 TTC #2 March 2017 (initially med free) BFP #4 8/14/17 *natural cycle* EDD= 4/25/18, MC @5-6w D&C 9/22/17 BFP #5 12/29/17 w/ Femara/Ovidrel/Progesterone/Synthroid, EDD= 9/11/18 found out 1/18 ITS di/di TWINS!!! DS and DD born 8/21/18
The ultrasound was great and all but man, hearing that heartbeat really hit me! 130bpm and 8.46mm at 6 weeks 6 days. I don't know what to do with that info but the doctor seemed pleased!
I had my first u/s on the 15th with my RE office (IVF baby). Baby was measuring 7 weeks and one day. We were able to see and hear the heartbeat at 145 bpms. After 5 years of trying with no previous BFPs it was such a relief to finally see that little baby in there!! ❤️
So we had our first appointment last thursday and went in thinking I was at least 8 weeks along but turns out I am just 7w4d today ! My cycles are longer so that makes sense. But we’re so excited ! We got to hear the heartbeat! We don’t get another ultrasound until 20 weeks though
Umm still in shock but wanted to share, had my first ultrasound today at 6w4d, was nervous as i had a MMC before. We saw two heartbeats! My husband and I are in shock, this does not run in our family and no fertility meds involved. I did however get some fertility promoting acupuncture so maybe that did it lol
Me: 34 | DH: 33 Married Aug. 2013 TTC #1 Sep. 2016 ***TW***
BFP Jan. 15, 2017; MMC Mar. 4, 2017 at 10w6d BFP Jun. 5, 2017; MMC Aug. 2, 2017 at 11w6d BFP Nov. 20, 2017; ended in CP All the tests. Everything normal except treated for ureaplasma and DH potentially has high DNAF. BFP Dec. 25, 2017; EDD Sep. 5, 2018; DD arrived Aug. 26th My chart: https://www.fertilityfriend.com/home/63f71d
Silly, silly question...Had our first appt and ultrasound this morning! But I’m confused...I just realized she gave me two pics. One doesn’t look like a normal US pic, and the other (on the right) has a big white blur. Is that the “normal” one? I want to make copies to announce to family but I am having trouble deciphering what’s what!
Silly, silly question...Had our first appt and ultrasound this morning! But I’m confused...I just realized she gave me two pics. One doesn’t look like a normal US pic, and the other (on the right) has a big white blur. Is that the “normal” one? I want to make copies to announce to family but I am having trouble deciphering what’s what!
The white blob is probably the yolk sac. My US looked weird because baby was on top of the yolk sac, and you could see it around the sides.
So happy for all of you. I don't think I get an ultrasound with the local midwife I'm just hoping she has a way to confirm I am and that it's only one. First appointment tomorrow. Fingers crossed.
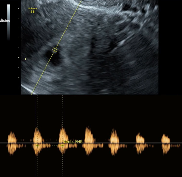
First official US today! I'm 6w3d but measured 6w1d so not too far off. Heartbeat 150. CRL 0.43cm. It was such a relief to see the little heartbeat. It's becoming really real, there's a little one growing in there! We're both so excited if you couldn't tell
We got to watch our little one's heartbeat thumping away today! Heartbeat of 119 at 6 weeks and 3 days...they said it's a strong little heartbeat!!! Tears were streaming down my face; I couldn't believe how big my heart grew during this moment. It's completely real to me now!!! ❤️
Ultrasound yesterday, 8 weeks 4 days. Measuring right where I should be. HR 171. Our first pregnancy ended w/miscarriage at almost 7 weeks so hearing that heartbeat was the biggest relief!
9w0days.. Heart rate is at 169.. Everything looks great. OB told me due to my 2 prev C-Sections, this too will have to be a scheduled C-Section at 39 weeks
PGAL. AMA. Measuring on target. Heart rate 179. There isn't a word in English that captures the level of relief I'm feeling. Still have Mat21 test in a few weeks, but I am over the moon!
“My darling girl, when are you going to realize that being normal is not necessarily a virtue? It rather denotes a lack of courage." - Aunt Frances”
My appointment was a bit of a surprise as we expected to be 8 weeks but turns out I'm just 6w2d... putting our due date at 9/23... however I'll have baby around 35 weeks so mid august... but heartbeat of 122 so I felt good to see that! Looks so blurry and blobby right now!!
Things are done a lot different in my country I think! I've had 4 check ups already and it's completely the norm here. Baby is 9w2d today, but that ultrasound was last week at 8w2d but baby measured bigger at 8w6d. I'm a natural worrier so I think this is a good thing we do here haha!
I might be biased, but how cute!!! You can see its little arm buds! I am 7w5d, but the baby measured at 8w1d. Bpm was 171. So far so good! Today was such a happy day!
Re: AW: ***Ultrasound Thread***
The earlier ultrasounds are to confirm dates, and to check any number of things in high-risk women...and "high risk" can mean many different things. Simply being over 35, for example, can result in more ultrasounds. I had about a million with my last pregnancy--the early ultrasound around 7 weeks to check viability, then a few weeks later to check growth, and then the genetic testing came with an ultrasound I think, then the regular anatomy scan, then I was diagnosed with gestational diabetes so they wanted to check the size more frequently! I think in the last trimester I was in the office every 2 weeks, and alternated a stress-test (where they basically just use a strap-on doppler on your belly) with an ultrasound at every visit. It was exhausting!
Different insurance plans cover different prenatal tests, and the coverage may differ if it's a "nice to have" or if your doctor prescribes it. For instance, mothers under 35 may have to pay for extra testing, but mothers over 35 might have it covered. I suggest calling your insurance company to see what's covered.
Finally, most doctors won't do any extra medical interventions (including ultrasound) if you don't need it. But "need it" is really subjective. Some doctors will prescribe with a very low threshold, others have a higher threshold.
As far as ultrasounds go, all drs are different. A friend of mine didn't have one until the end of the first tri. Because of my history, I will have 1 next week (at 5 weeks), another one the following week, and then 1 or 2 more during the first tri once I graduate to my OB. But again, it never hurts to ask for one. You might just be looking at a little out of pocket. We won't be telling people until 13 or 14 weeks because of this.
TTC #2 March 2017 (initially med free)
BFP #4 8/14/17 *natural cycle* EDD= 4/25/18, MC @5-6w D&C 9/22/17
BFP #5 12/29/17 w/ Femara/Ovidrel/Progesterone/Synthroid, EDD= 9/11/18 found out 1/18 ITS di/di TWINS!!!
DS and DD born 8/21/18
Married Aug. 2013
TTC #1 Sep. 2016
***TW***
BFP Jun. 5, 2017; MMC Aug. 2, 2017 at 11w6d
BFP Nov. 20, 2017; ended in CP
All the tests. Everything normal except treated for ureaplasma and DH potentially has high DNAF.
BFP Dec. 25, 2017; EDD Sep. 5, 2018; DD arrived Aug. 26th
My chart: https://www.fertilityfriend.com/home/63f71d
I might be biased, but how cute!!! You can see its little arm buds! I am 7w5d, but the baby measured at 8w1d. Bpm was 171. So far so good! Today was such a happy day!