(Taken from June 2019)
When posting your pictures, please be aware of any personal information that might be visible, such as date of birth, full name, name of hospital/OB practice, or SSN.
**Please keep additional comments to a minimum. Feel free to show your love and support by giving lovetits (clicking the "Love It" button)**
Re: Post Ultrasound Pics Here!
Found out yesterday, I am having twins.. EDD 12.7.19
omg congrats!!!!!!!
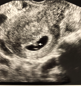
7w0d heartbeat 120
**Please keep additional comments to a minimum. Feel free to show your love and support by giving lovetits (clicking the "Love It" button)**
Please keep this thread for ultrasound pics only. This thread is going to get huge over time, so that way we don’t have to scroll through a bunch of comments to find photos. If you want to write a longer congratulations message, you can congratulate people in the randoms thread. Thanks!
CP 3/2019
6w1d HB: 111 ♥️ little blob
[spoiler]
Me: 28 Him: 30
Married: 11/15/14
TTC: 02/2016
IF DX: MFI (low count & morphology) & mild PCOS
June 2016 BFP - MC @8w2d
August 2016 BFP - MC @6w1d
June 2017 - 50 mg Clomid + Ovidrel + IUI = BFP 7/6/17!!
Beta #1 = 422 (14dpo), Beta #2 = 810, prog - 12.3 (16dpo), Beta #3 = 5023, prog - 18.9 (20dpo)
[/spoiler]
Not too much to see but there's a little baby there with a heartbeat of 122 BPM
The two black dots to the right are the hematoma bleeds😥 Pic was taken far away like this because they are more focused on the SCH.
Since I am very high risk i will be getting weekly ultrasounds to watch the bleed. Praying next week the baby will have grown and the hematoma will be smaller. Keeping faith.
Married 12/2014
TTC#1: 4/2017
6w2d EDD 12/18!! HR 112
little bean (: