@mama2b1974 Congrats! You're a fellow endo girl, right? I am really starting to wonder if endo causes more severe cramping in early pregnancy. My first two pregnancies where endo was not an issue, I don't remember getting bad cramps at all aside from that heavy, achy, pre-AF feeling. With my last 3 pregnancies in the last 18 months (plus this one) where endo is likely at play, I have had killer cramps. Like every so often I'll get this killer cramp that hurts so much it shoots down my legs and makes my eyes cross lol. It's not constant, and right now I've gone back to the achy, heavy ute feeling, but last week when implantation was happening I had a few days of on/off awful cramps that made me think no embryo was going to survive those! I also feel a lot of pulling/pinching but it's similar to adhesion pain so I'm wondering if some of the cramps/pulling is a result of the ute being attached to other tissues. I'm too scared to Google "early pregnancy cramping with endometriosis" but the increase in cramping for endo sufferers makes sense to me logically. The count down to beta is on!
Oct 16: Spontaneous BFP | m/c @ 9w1d (massive SCH) | D&C Apr 17: IUI #1 = BFN May 17: IUI #2 = BFN Jun 17: IUI #3 = Late BFP (18 DPO) | NMC 17Jul17 @ ~6w Aug 17: IUI #4 = Cancelled due to premature ovulation | TI = BFN Sep 17: IUI #5 = Cancelled due to overstimulation (10+ follies) Nov 17: IVF #1 = Cancelled due to non-IF related health issue | TI = BFN Dec 17: IVF #1 = Puregon 200, Menopur 75, Orgalutran, Suprefact trigger due to OHSS risk | 22R, 18M, 16F, 10B frozen Feb 18: FET #1 (medicated) = BFN Mar 18: FET #2 (natural cycle) = CP (beta 1: 54; beta 2: 0)
Apr 18: FET #3 (natural cycle) = cancelled due to missed ovulation
Apr 18: FET #3 (natural cycle) = BFP! Beta 1: 201 Beta 2: 585 Beta 3: 3254 Beta 4: 9715
U/S 19May - one bean measuring on track with a HB of 125! EDD: 07Jan2019 Team Green My Rainbow Baby Boy born 03Jan2019
tosh24 don't google it! I think we all get cramps too! For me they go in and out... some days no real cramping (at which time I think... ugh I'm sure its stopped growing). Then they come back and I'm luck ugh! I'm mc-ing! Cray!
@mcgeeva I don’t know the gender of the embryos so I’ll just transfer the better of the 2. Hopefully like @J1006 and @tosh24 said maybe the last one can be frozen again. Still hoping the doctor was confused. Thanks everyone.
AFM, at the vet again. My dog seemed to get better over the weekend, but woke up to bloody diarrhea up and down the hallway and living room of my house. When it rains it pours. I can’t just deal with one thing at a time.
Oh god @laurengon82 you are not catching a break im sorry. I know a lot of dog issues but that I have no clue what would cause that??? Ruptured anal glands? My dog has had that happen 8 years ago. Hopefully they figure out the cause.
Married: 5/09 ~ TTC Since: 10/10 ~ PCOS ~ Progesterone from 10/10 - 2/11 ~ HSG on 3/18 - Clear ~ Started Metformin 1000mg & Clomid 50mg 2/11 ~ Metformin upped to 1500mg 4/6 ~ 6/7 Now going to SG and put on Clomid, Ovidrel, Gonal F, Prometrium, Estrace ~ IUI #1 7/2 = BFP!!!!!! March 6th our little man was born.
6/17/13 - Ovidrel, Follistim, Prometrium ~ IUI #1 7/2 = BFP! March 17th our St. Pattys day baby arrived
10/29/17 - Started process for IVF, got pregnant & miscarried a 2nd time since summer. 2/22 started stims - Menopur, Gonal F, Cetrotide - retrieval 3/6 - , PIO, estrace 3xday - FET 4/18 = Beta 1: 616; Beta 2: 1342 = BFP
They think he has ulcers that are bleeding. He had to be hospitalized because he is dehydrated from the diarrhea. Basically he has always had a lot of issues due to allergies.
@dragonette505 it’s about time you listen to your own advice
and to make you feel better about lower beta compared to last time, read the spoiler below...
In my first pregnancy the beta was much much higher than this time around. And not only that, it was a much higher beta for 1 sac. Whereas in this pregnancy my beta was for 2 sacs.
But despite a lower beta, this pregnancy is already more advanced than my first pregnancy. So beta numbers are really not an indication for success. As long as the number doubles in 72 hours, you’re good.
Stay positive
TTC history in spoiler box:
Me: 42, single Hysteroscopy: 2013 IUI #1-2: 2013 BFN Surgery 10/2015: Planned to start trying again but had a surgery. (Not related to fertility) Surgery 5/2016: Planned to start trying again but had another surgery. (Not related to fertility) IUI #3-5 (with Clomid): summer 2016 BFN IVF #1: 11/2016. 30R; 21M; 20F; 8B (6 day5 & 2 day6); 4 normal after PGS Medicated FET #1: 1/31/2017 transferred 1 embryo 3AA. BFP. Embryo stopped growing at 6w 1d. MUA at 9w 3d. Medicated FET #2: June 2017 - cancelled... Hysteroscopy #2: June 2017 Medicated FET #2: 8/7/2017 transferred 1 embryo 5BB. BFP. Ended in CP. Medicated FET #3: 10/11/2017 transferred 1 embryo 3AA. BFN ERA: December 2017 - need an extra 12 hours of PIO Medicated FET #4: 1/24/2018 transferred 1 embryo 4AA. BFN Out of embryos. IVF #2: 03/2018.
@dragonette505 I haven’t joined any BMB. I’m taking it one week at the time at this point. But I did start posting at the PAIF board.
TTC history in spoiler box:
Me: 42, single Hysteroscopy: 2013 IUI #1-2: 2013 BFN Surgery 10/2015: Planned to start trying again but had a surgery. (Not related to fertility) Surgery 5/2016: Planned to start trying again but had another surgery. (Not related to fertility) IUI #3-5 (with Clomid): summer 2016 BFN IVF #1: 11/2016. 30R; 21M; 20F; 8B (6 day5 & 2 day6); 4 normal after PGS Medicated FET #1: 1/31/2017 transferred 1 embryo 3AA. BFP. Embryo stopped growing at 6w 1d. MUA at 9w 3d. Medicated FET #2: June 2017 - cancelled... Hysteroscopy #2: June 2017 Medicated FET #2: 8/7/2017 transferred 1 embryo 5BB. BFP. Ended in CP. Medicated FET #3: 10/11/2017 transferred 1 embryo 3AA. BFN ERA: December 2017 - need an extra 12 hours of PIO Medicated FET #4: 1/24/2018 transferred 1 embryo 4AA. BFN Out of embryos. IVF #2: 03/2018.
@dragonette505 not sure if they have PGAL board. I think I feel more comfortable at this point with ppl that went thru IVF like me. And many of them also experienced loss. So it’s 2 for the price of 1
TTC history in spoiler box:
Me: 42, single Hysteroscopy: 2013 IUI #1-2: 2013 BFN Surgery 10/2015: Planned to start trying again but had a surgery. (Not related to fertility) Surgery 5/2016: Planned to start trying again but had another surgery. (Not related to fertility) IUI #3-5 (with Clomid): summer 2016 BFN IVF #1: 11/2016. 30R; 21M; 20F; 8B (6 day5 & 2 day6); 4 normal after PGS Medicated FET #1: 1/31/2017 transferred 1 embryo 3AA. BFP. Embryo stopped growing at 6w 1d. MUA at 9w 3d. Medicated FET #2: June 2017 - cancelled... Hysteroscopy #2: June 2017 Medicated FET #2: 8/7/2017 transferred 1 embryo 5BB. BFP. Ended in CP. Medicated FET #3: 10/11/2017 transferred 1 embryo 3AA. BFN ERA: December 2017 - need an extra 12 hours of PIO Medicated FET #4: 1/24/2018 transferred 1 embryo 4AA. BFN Out of embryos. IVF #2: 03/2018.
Thanks
all! yes its good to have a + and I should be happy
@laurengon82
oh no your poor puppy, hope is a short stay at the vet.
@tosh24,
yes! Endo girl here!! That is a good theory, makes sense, bc is the same
pain/feeling as PMS and there is a lot going on there right now! I blame endo
Holy crap @prudence9-2 two babies?????? May I ask what your numbers have been?
Married: 5/09 ~ TTC Since: 10/10 ~ PCOS ~ Progesterone from 10/10 - 2/11 ~ HSG on 3/18 - Clear ~ Started Metformin 1000mg & Clomid 50mg 2/11 ~ Metformin upped to 1500mg 4/6 ~ 6/7 Now going to SG and put on Clomid, Ovidrel, Gonal F, Prometrium, Estrace ~ IUI #1 7/2 = BFP!!!!!! March 6th our little man was born.
6/17/13 - Ovidrel, Follistim, Prometrium ~ IUI #1 7/2 = BFP! March 17th our St. Pattys day baby arrived
10/29/17 - Started process for IVF, got pregnant & miscarried a 2nd time since summer. 2/22 started stims - Menopur, Gonal F, Cetrotide - retrieval 3/6 - , PIO, estrace 3xday - FET 4/18 = Beta 1: 616; Beta 2: 1342 = BFP
I’m sorry to hear about your pup @laurengon82. I hope they can sort out how to address the bleeding (more effectively).
AFM *TW*
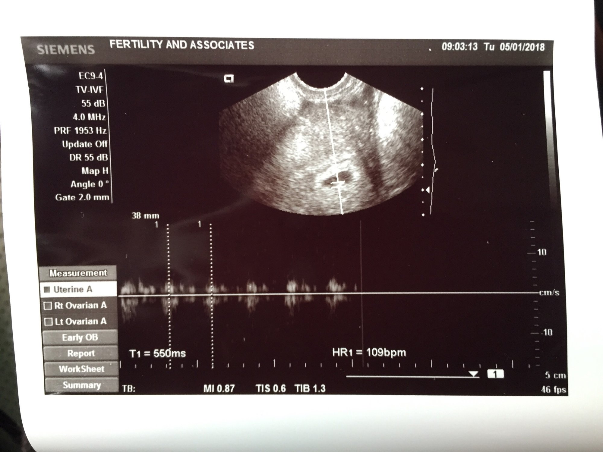
We have a heartbeat! I was so, so anxious this morning.
109 (ref range for now 80-120). She measured 5.3mm one time and 4.7mm another. One week at a time...
@dragonette505@prudence9-2 I’ve poked around on December just ‘cause I can. I don’t really feel like I fit in there (plus way too much activity of which to keep track) but there is a weekly PGAL check in and someone started a PAIF thread.
About me: Married 6/18/16 (Me 42, DH 44), TTC #2 ***TW***
Natural BFP 8/10/16 --> mc our NIPT-normal little girl at 11w5d on 10/1/16 As of 12/2016: AMH 1.42, FSH 6.1, AFC ~10 Self-benched Nov-Dec 2016 for IVF #1 Jan-Feb 2017 (OCP, testosterone primed antagonist w/HGH - ER 2/2/17 - 12R, 7M ICSI'd, 3F, 0B) IVF #2 Mar-Apr 2017 (testosterone primed agonist/luteal lupron w/HGH - ER 4/8/17 - 10R, 8M, 8F, 5B, 1 PGS normal) IVF #3 May-Jun 2017 (testosterone primed agonist/luteal lupron w/HGH - ER 6/4/17 - 14R, 5F, 3B, 0 normal) **New RE** IVF #4 Sept 2017 (natural start microdose lupron flare w/HGH - ER 9/28/17 - 33R, 18F, 10B, 4 PGS normals!) FET #1 (medicated) of one PGS normal 4AA XX 11/2/17 - Beta #1 11/11/17 (153), Beta #2 11/13/17 (324), mc at 5w1d on 11/19/17 IVF #5 Dec 2017 - Insemination of 9 frozen eggs from 2012 (8F, 1B, 0 normal) Jan 2018 - Natural cycle ERA (normal/receptive) & stimming for IVF #6 Jan-Feb 2018 (natural start microdose lupron flare w/HGH - ER 2/3/18 - 17R, 6M, 4F, 0 blasts) IVF #7 Feb 2018 (natural start microdose lupron flare w/HGH - ER 2/26/18 - 19R, 9M, 9F, 4B, 2 PGS normals) FET #2 Apr 2018 (natural cycle w/o trigger, w/P4 support) of one PGS normal 4AA- XX 4/5/18 - Beta #1 4/14/18 (67), Beta #2 4/16/18 (231) Rainbow baby girl born 12/16/2018 (via c-section, induced at 39 weeks)
----- TFAS! FET #3 Dec 2019 (natural cycle w/o trigger, w/P4 support) of one PGS normal 3BB XY 12/16/19 - Beta #1 12/24/19 (139), Beta #2 12/27/19 (482)
artemis618 OMG!!! My heart is literally bursting!!! That's the best news ever!!
Out of sheer arrogance (I mean who says I’ll even make it long enough to join) ive poked around in Jan 2019 but just like always I expect to not be able to relate to most of the girls on there who have all the confidence in the world that all will work out and for them it probably will. I few days before mc, a bunch of those girls were fighting over whether or not to have a second baby shower... I couldn’t deal with that nonsense then and even less so now
@dragonette505 That’s not arrogance - you’re pregnant! But yes, I’ve found that my participation over there has to be selective (for my sanity). So many youngin’s too
About me: Married 6/18/16 (Me 42, DH 44), TTC #2 ***TW***
Natural BFP 8/10/16 --> mc our NIPT-normal little girl at 11w5d on 10/1/16 As of 12/2016: AMH 1.42, FSH 6.1, AFC ~10 Self-benched Nov-Dec 2016 for IVF #1 Jan-Feb 2017 (OCP, testosterone primed antagonist w/HGH - ER 2/2/17 - 12R, 7M ICSI'd, 3F, 0B) IVF #2 Mar-Apr 2017 (testosterone primed agonist/luteal lupron w/HGH - ER 4/8/17 - 10R, 8M, 8F, 5B, 1 PGS normal) IVF #3 May-Jun 2017 (testosterone primed agonist/luteal lupron w/HGH - ER 6/4/17 - 14R, 5F, 3B, 0 normal) **New RE** IVF #4 Sept 2017 (natural start microdose lupron flare w/HGH - ER 9/28/17 - 33R, 18F, 10B, 4 PGS normals!) FET #1 (medicated) of one PGS normal 4AA XX 11/2/17 - Beta #1 11/11/17 (153), Beta #2 11/13/17 (324), mc at 5w1d on 11/19/17 IVF #5 Dec 2017 - Insemination of 9 frozen eggs from 2012 (8F, 1B, 0 normal) Jan 2018 - Natural cycle ERA (normal/receptive) & stimming for IVF #6 Jan-Feb 2018 (natural start microdose lupron flare w/HGH - ER 2/3/18 - 17R, 6M, 4F, 0 blasts) IVF #7 Feb 2018 (natural start microdose lupron flare w/HGH - ER 2/26/18 - 19R, 9M, 9F, 4B, 2 PGS normals) FET #2 Apr 2018 (natural cycle w/o trigger, w/P4 support) of one PGS normal 4AA- XX 4/5/18 - Beta #1 4/14/18 (67), Beta #2 4/16/18 (231) Rainbow baby girl born 12/16/2018 (via c-section, induced at 39 weeks)
----- TFAS! FET #3 Dec 2019 (natural cycle w/o trigger, w/P4 support) of one PGS normal 3BB XY 12/16/19 - Beta #1 12/24/19 (139), Beta #2 12/27/19 (482)
Married: 5/09 ~ TTC Since: 10/10 ~ PCOS ~ Progesterone from 10/10 - 2/11 ~ HSG on 3/18 - Clear ~ Started Metformin 1000mg & Clomid 50mg 2/11 ~ Metformin upped to 1500mg 4/6 ~ 6/7 Now going to SG and put on Clomid, Ovidrel, Gonal F, Prometrium, Estrace ~ IUI #1 7/2 = BFP!!!!!! March 6th our little man was born.
6/17/13 - Ovidrel, Follistim, Prometrium ~ IUI #1 7/2 = BFP! March 17th our St. Pattys day baby arrived
10/29/17 - Started process for IVF, got pregnant & miscarried a 2nd time since summer. 2/22 started stims - Menopur, Gonal F, Cetrotide - retrieval 3/6 - , PIO, estrace 3xday - FET 4/18 = Beta 1: 616; Beta 2: 1342 = BFP
AFM, blood drawn and now we wait. I took a digital this morning and it came up 1-2 weeks. I checked their reference ranges and it looks like 1-2 weeks goes from 10mIU/mL - 152 mIU/mL so I'm expecting my hcg level to be within that range. I see my RE at a satellite clinic location and only the main location in the city does betas. I didn't want to drive into the city this morning so I had to go to an outside lab, which means I probably won't get my results back until tomorrow Sometimes they're back before bed so I'll check the portal later tonight.
Oct 16: Spontaneous BFP | m/c @ 9w1d (massive SCH) | D&C Apr 17: IUI #1 = BFN May 17: IUI #2 = BFN Jun 17: IUI #3 = Late BFP (18 DPO) | NMC 17Jul17 @ ~6w Aug 17: IUI #4 = Cancelled due to premature ovulation | TI = BFN Sep 17: IUI #5 = Cancelled due to overstimulation (10+ follies) Nov 17: IVF #1 = Cancelled due to non-IF related health issue | TI = BFN Dec 17: IVF #1 = Puregon 200, Menopur 75, Orgalutran, Suprefact trigger due to OHSS risk | 22R, 18M, 16F, 10B frozen Feb 18: FET #1 (medicated) = BFN Mar 18: FET #2 (natural cycle) = CP (beta 1: 54; beta 2: 0)
Apr 18: FET #3 (natural cycle) = cancelled due to missed ovulation
Apr 18: FET #3 (natural cycle) = BFP! Beta 1: 201 Beta 2: 585 Beta 3: 3254 Beta 4: 9715
U/S 19May - one bean measuring on track with a HB of 125! EDD: 07Jan2019 Team Green My Rainbow Baby Boy born 03Jan2019
@dragonette505 that’s exactly why I feel more comfortable in the PAIF board than in the BMB.
TTC history in spoiler box:
Me: 42, single Hysteroscopy: 2013 IUI #1-2: 2013 BFN Surgery 10/2015: Planned to start trying again but had a surgery. (Not related to fertility) Surgery 5/2016: Planned to start trying again but had another surgery. (Not related to fertility) IUI #3-5 (with Clomid): summer 2016 BFN IVF #1: 11/2016. 30R; 21M; 20F; 8B (6 day5 & 2 day6); 4 normal after PGS Medicated FET #1: 1/31/2017 transferred 1 embryo 3AA. BFP. Embryo stopped growing at 6w 1d. MUA at 9w 3d. Medicated FET #2: June 2017 - cancelled... Hysteroscopy #2: June 2017 Medicated FET #2: 8/7/2017 transferred 1 embryo 5BB. BFP. Ended in CP. Medicated FET #3: 10/11/2017 transferred 1 embryo 3AA. BFN ERA: December 2017 - need an extra 12 hours of PIO Medicated FET #4: 1/24/2018 transferred 1 embryo 4AA. BFN Out of embryos. IVF #2: 03/2018.
Ladies.... drum roll.... beta is 616. Just got back to my office so now I need to cry and make myself do some work. Back Thursday to see if it keeps rising
Married: 5/09 ~ TTC Since: 10/10 ~ PCOS ~ Progesterone from 10/10 - 2/11 ~ HSG on 3/18 - Clear ~ Started Metformin 1000mg & Clomid 50mg 2/11 ~ Metformin upped to 1500mg 4/6 ~ 6/7 Now going to SG and put on Clomid, Ovidrel, Gonal F, Prometrium, Estrace ~ IUI #1 7/2 = BFP!!!!!! March 6th our little man was born.
6/17/13 - Ovidrel, Follistim, Prometrium ~ IUI #1 7/2 = BFP! March 17th our St. Pattys day baby arrived
10/29/17 - Started process for IVF, got pregnant & miscarried a 2nd time since summer. 2/22 started stims - Menopur, Gonal F, Cetrotide - retrieval 3/6 - , PIO, estrace 3xday - FET 4/18 = Beta 1: 616; Beta 2: 1342 = BFP
@dragonette505 - I don't think that's arrogance. Looks more like "hope" to me, and I think that's great!
But yeah, I dunno. Talk of a second baby shower would make me pretty batty too.
The other day, we were sitting with another couple who have two daughters - which is exactly what they wanted and dreamed of. And they were talking about another couple who'd was debating to have a third child, even though they didn't really seem like they were coping well with their existing two, and the whole conversation just seemed like too much to me. (Sometimes I find all those catty parenting conversations just so... Ugh.) So I said: "It must be so nice for you, and that other couple, to plan their families and then just have those dreams come true. It must be really nice for couples to be able to decide to stop at two or three kids, to be in a position like that where how many children they want is up to them."
I guess maybe they'd forgotten who we were or what we were dealing with? Anyway, so I hear you on being jaded.
@prudence9-2 - CONGRATULATIONS!!! I know you're not in this thread, and I don't know if I'd congratulated you yet, but I'm very happy to see your good news!
@funkykey thanks!!! And I know what you mean about those couples. Seems like I’m surrounded by couples like that at work!
@mcgeeva that’s an amazing first beta!! Congrats!!
TTC history in spoiler box:
Me: 42, single Hysteroscopy: 2013 IUI #1-2: 2013 BFN Surgery 10/2015: Planned to start trying again but had a surgery. (Not related to fertility) Surgery 5/2016: Planned to start trying again but had another surgery. (Not related to fertility) IUI #3-5 (with Clomid): summer 2016 BFN IVF #1: 11/2016. 30R; 21M; 20F; 8B (6 day5 & 2 day6); 4 normal after PGS Medicated FET #1: 1/31/2017 transferred 1 embryo 3AA. BFP. Embryo stopped growing at 6w 1d. MUA at 9w 3d. Medicated FET #2: June 2017 - cancelled... Hysteroscopy #2: June 2017 Medicated FET #2: 8/7/2017 transferred 1 embryo 5BB. BFP. Ended in CP. Medicated FET #3: 10/11/2017 transferred 1 embryo 3AA. BFN ERA: December 2017 - need an extra 12 hours of PIO Medicated FET #4: 1/24/2018 transferred 1 embryo 4AA. BFN Out of embryos. IVF #2: 03/2018.
@funkykey thanks!!! And I know what you mean about those couples. Seems like I’m surrounded by couples like that at work!
@mcgeeva that’s an amazing first beta!! Congrats!!
What was your first beta? I know your second was in the thousands. Just out of curiosity
Married: 5/09 ~ TTC Since: 10/10 ~ PCOS ~ Progesterone from 10/10 - 2/11 ~ HSG on 3/18 - Clear ~ Started Metformin 1000mg & Clomid 50mg 2/11 ~ Metformin upped to 1500mg 4/6 ~ 6/7 Now going to SG and put on Clomid, Ovidrel, Gonal F, Prometrium, Estrace ~ IUI #1 7/2 = BFP!!!!!! March 6th our little man was born.
6/17/13 - Ovidrel, Follistim, Prometrium ~ IUI #1 7/2 = BFP! March 17th our St. Pattys day baby arrived
10/29/17 - Started process for IVF, got pregnant & miscarried a 2nd time since summer. 2/22 started stims - Menopur, Gonal F, Cetrotide - retrieval 3/6 - , PIO, estrace 3xday - FET 4/18 = Beta 1: 616; Beta 2: 1342 = BFP
mcgeeva That's so amazing!!!! funkykey what an awesome and perfect come back to all that! People should just be grateful! And whose business is it if the other family wants more and can have them? UGh... this is the sort of thing that makes me super bitter
shae44 im so so sorry your going through this. I wish I could say something to make it better. Take some time to do stuff for you to lift your spirits lady.
Married: 5/09 ~ TTC Since: 10/10 ~ PCOS ~ Progesterone from 10/10 - 2/11 ~ HSG on 3/18 - Clear ~ Started Metformin 1000mg & Clomid 50mg 2/11 ~ Metformin upped to 1500mg 4/6 ~ 6/7 Now going to SG and put on Clomid, Ovidrel, Gonal F, Prometrium, Estrace ~ IUI #1 7/2 = BFP!!!!!! March 6th our little man was born.
6/17/13 - Ovidrel, Follistim, Prometrium ~ IUI #1 7/2 = BFP! March 17th our St. Pattys day baby arrived
10/29/17 - Started process for IVF, got pregnant & miscarried a 2nd time since summer. 2/22 started stims - Menopur, Gonal F, Cetrotide - retrieval 3/6 - , PIO, estrace 3xday - FET 4/18 = Beta 1: 616; Beta 2: 1342 = BFP
First pregnancy last year (1 sac) 14dp5dt: 2563 16dp5dt: 5201 18dp5dt: 8918
Second pregancy was CP.
Third pregnancy (current!) (2 sacs but only one developing) 12dp3dt: 281 (same as 10dp5dt) 16dp3dt: 884 (same as 14dp5dt) 18dp3dt: 1671 (same as 16dp5dt)
So my betas this time we’re much much lower than my first pregnancy and that pregnancy had only 1 sac!!!
TTC history in spoiler box:
Me: 42, single Hysteroscopy: 2013 IUI #1-2: 2013 BFN Surgery 10/2015: Planned to start trying again but had a surgery. (Not related to fertility) Surgery 5/2016: Planned to start trying again but had another surgery. (Not related to fertility) IUI #3-5 (with Clomid): summer 2016 BFN IVF #1: 11/2016. 30R; 21M; 20F; 8B (6 day5 & 2 day6); 4 normal after PGS Medicated FET #1: 1/31/2017 transferred 1 embryo 3AA. BFP. Embryo stopped growing at 6w 1d. MUA at 9w 3d. Medicated FET #2: June 2017 - cancelled... Hysteroscopy #2: June 2017 Medicated FET #2: 8/7/2017 transferred 1 embryo 5BB. BFP. Ended in CP. Medicated FET #3: 10/11/2017 transferred 1 embryo 3AA. BFN ERA: December 2017 - need an extra 12 hours of PIO Medicated FET #4: 1/24/2018 transferred 1 embryo 4AA. BFN Out of embryos. IVF #2: 03/2018.
@prudence9-2 I've actually never seen numbers that high in your first pregnancy. My CP was a 19. But makes me wonder why so high? Goes to show it's hard to tell anything by numbers.
Married: 5/09 ~ TTC Since: 10/10 ~ PCOS ~ Progesterone from 10/10 - 2/11 ~ HSG on 3/18 - Clear ~ Started Metformin 1000mg & Clomid 50mg 2/11 ~ Metformin upped to 1500mg 4/6 ~ 6/7 Now going to SG and put on Clomid, Ovidrel, Gonal F, Prometrium, Estrace ~ IUI #1 7/2 = BFP!!!!!! March 6th our little man was born.
6/17/13 - Ovidrel, Follistim, Prometrium ~ IUI #1 7/2 = BFP! March 17th our St. Pattys day baby arrived
10/29/17 - Started process for IVF, got pregnant & miscarried a 2nd time since summer. 2/22 started stims - Menopur, Gonal F, Cetrotide - retrieval 3/6 - , PIO, estrace 3xday - FET 4/18 = Beta 1: 616; Beta 2: 1342 = BFP
Re: APRIL FET
*TW loss and children mentioned*
Apr 17: IUI #1 = BFN
May 17: IUI #2 = BFN
Jun 17: IUI #3 = Late BFP (18 DPO) | NMC 17Jul17 @ ~6w
Aug 17: IUI #4 = Cancelled due to premature ovulation | TI = BFN
Sep 17: IUI #5 = Cancelled due to overstimulation (10+ follies)
Nov 17: IVF #1 = Cancelled due to non-IF related health issue | TI = BFN
Dec 17: IVF #1 = Puregon 200, Menopur 75, Orgalutran, Suprefact trigger due to OHSS risk | 22R, 18M, 16F, 10B frozen
Feb 18: FET #1 (medicated) = BFN
Mar 18: FET #2 (natural cycle) = CP (beta 1: 54; beta 2: 0)
EDD: 07Jan2019 Team Green
My Rainbow Baby Boy born 03Jan2019
@mama2b1974 congrats!
@mcgeeva I don’t know the gender of the embryos so I’ll just transfer the better of the 2. Hopefully like @J1006 and @tosh24 said maybe the last one can be frozen again. Still hoping the doctor was confused. Thanks everyone.
AFM, at the vet again. My dog seemed to get better over the weekend, but woke up to bloody diarrhea up and down the hallway and living room of my house.
Married: 5/09 ~ TTC Since: 10/10 ~ PCOS ~ Progesterone from 10/10 - 2/11 ~ HSG on 3/18 - Clear ~ Started Metformin 1000mg & Clomid 50mg 2/11 ~ Metformin upped to 1500mg 4/6 ~ 6/7 Now going to SG and put on Clomid, Ovidrel, Gonal F, Prometrium, Estrace ~ IUI #1 7/2 = BFP!!!!!! March 6th our little man was born.
6/17/13 - Ovidrel, Follistim, Prometrium ~ IUI #1 7/2 = BFP! March 17th our St. Pattys day baby arrived
10/29/17 - Started process for IVF, got pregnant & miscarried a 2nd time since summer. 2/22 started stims - Menopur, Gonal F, Cetrotide - retrieval 3/6 - , PIO, estrace 3xday - FET 4/18 = Beta 1: 616; Beta 2: 1342 = BFP
They think he has ulcers that are bleeding. He had to be hospitalized because he is dehydrated from the diarrhea. Basically he has always had a lot of issues due to allergies.
and to make you feel better about lower beta compared to last time, read the spoiler below...
But despite a lower beta, this pregnancy is already more advanced than my first pregnancy. So beta numbers are really not an indication for success. As long as the number doubles in 72 hours, you’re good.
Stay positive
Hysteroscopy: 2013
IUI #1-2: 2013 BFN
Surgery 10/2015: Planned to start trying again but had a surgery. (Not related to fertility)
Surgery 5/2016: Planned to start trying again but had another surgery. (Not related to fertility)
IUI #3-5 (with Clomid): summer 2016 BFN
IVF #1: 11/2016. 30R; 21M; 20F; 8B (6 day5 & 2 day6); 4 normal after PGS
Medicated FET #1: 1/31/2017 transferred 1 embryo 3AA. BFP. Embryo stopped growing at 6w 1d. MUA at 9w 3d.
Medicated FET #2: June 2017 - cancelled...
Hysteroscopy #2: June 2017
Medicated FET #2: 8/7/2017 transferred 1 embryo 5BB. BFP. Ended in CP.
Medicated FET #3: 10/11/2017 transferred 1 embryo 3AA. BFN
ERA: December 2017 - need an extra 12 hours of PIO
Medicated FET #4: 1/24/2018 transferred 1 embryo 4AA. BFN
Out of embryos.
IVF #2: 03/2018.
Hysteroscopy: 2013
IUI #1-2: 2013 BFN
Surgery 10/2015: Planned to start trying again but had a surgery. (Not related to fertility)
Surgery 5/2016: Planned to start trying again but had another surgery. (Not related to fertility)
IUI #3-5 (with Clomid): summer 2016 BFN
IVF #1: 11/2016. 30R; 21M; 20F; 8B (6 day5 & 2 day6); 4 normal after PGS
Medicated FET #1: 1/31/2017 transferred 1 embryo 3AA. BFP. Embryo stopped growing at 6w 1d. MUA at 9w 3d.
Medicated FET #2: June 2017 - cancelled...
Hysteroscopy #2: June 2017
Medicated FET #2: 8/7/2017 transferred 1 embryo 5BB. BFP. Ended in CP.
Medicated FET #3: 10/11/2017 transferred 1 embryo 3AA. BFN
ERA: December 2017 - need an extra 12 hours of PIO
Medicated FET #4: 1/24/2018 transferred 1 embryo 4AA. BFN
Out of embryos.
IVF #2: 03/2018.
Hysteroscopy: 2013
IUI #1-2: 2013 BFN
Surgery 10/2015: Planned to start trying again but had a surgery. (Not related to fertility)
Surgery 5/2016: Planned to start trying again but had another surgery. (Not related to fertility)
IUI #3-5 (with Clomid): summer 2016 BFN
IVF #1: 11/2016. 30R; 21M; 20F; 8B (6 day5 & 2 day6); 4 normal after PGS
Medicated FET #1: 1/31/2017 transferred 1 embryo 3AA. BFP. Embryo stopped growing at 6w 1d. MUA at 9w 3d.
Medicated FET #2: June 2017 - cancelled...
Hysteroscopy #2: June 2017
Medicated FET #2: 8/7/2017 transferred 1 embryo 5BB. BFP. Ended in CP.
Medicated FET #3: 10/11/2017 transferred 1 embryo 3AA. BFN
ERA: December 2017 - need an extra 12 hours of PIO
Medicated FET #4: 1/24/2018 transferred 1 embryo 4AA. BFN
Out of embryos.
IVF #2: 03/2018.
Thanks all! yes its good to have a + and I should be happy
@laurengon82 oh no your poor puppy, hope is a short stay at the vet.
@tosh24, yes! Endo girl here!! That is a good theory, makes sense, bc is the same pain/feeling as PMS and there is a lot going on there right now! I blame endo
Married: 5/09 ~ TTC Since: 10/10 ~ PCOS ~ Progesterone from 10/10 - 2/11 ~ HSG on 3/18 - Clear ~ Started Metformin 1000mg & Clomid 50mg 2/11 ~ Metformin upped to 1500mg 4/6 ~ 6/7 Now going to SG and put on Clomid, Ovidrel, Gonal F, Prometrium, Estrace ~ IUI #1 7/2 = BFP!!!!!! March 6th our little man was born.
6/17/13 - Ovidrel, Follistim, Prometrium ~ IUI #1 7/2 = BFP! March 17th our St. Pattys day baby arrived
10/29/17 - Started process for IVF, got pregnant & miscarried a 2nd time since summer. 2/22 started stims - Menopur, Gonal F, Cetrotide - retrieval 3/6 - , PIO, estrace 3xday - FET 4/18 = Beta 1: 616; Beta 2: 1342 = BFP
Congrats @J1006 and @dragonette505!!
GL today @shae44 @tosh24 @mcgeeva!!
I’m sorry to hear about your pup @laurengon82
AFM *TW*
109 (ref range for now 80-120). She measured 5.3mm one time and 4.7mm another. One week at a time...
@dragonette505 @prudence9-2 I’ve poked around on December just ‘cause I can. I don’t really feel like I fit in there (plus way too much activity of which to keep track) but there is a weekly PGAL check in and someone started a PAIF thread.
Married 6/18/16 (Me 42, DH 44), TTC #2
***TW***
As of 12/2016: AMH 1.42, FSH 6.1, AFC ~10
Self-benched Nov-Dec 2016 for
IVF #1 Jan-Feb 2017 (OCP, testosterone primed antagonist w/HGH - ER 2/2/17 - 12R, 7M ICSI'd, 3F, 0B)
IVF #2 Mar-Apr 2017 (testosterone primed agonist/luteal lupron w/HGH - ER 4/8/17 - 10R, 8M, 8F, 5B, 1 PGS normal)
IVF #3 May-Jun 2017 (testosterone primed agonist/luteal lupron w/HGH - ER 6/4/17 - 14R, 5F, 3B, 0 normal)
**New RE**
IVF #4 Sept 2017 (natural start microdose lupron flare w/HGH - ER 9/28/17 - 33R, 18F, 10B, 4 PGS normals!)
FET #1 (medicated) of one PGS normal 4AA XX 11/2/17 - Beta #1 11/11/17 (153), Beta #2 11/13/17 (324), mc at 5w1d on 11/19/17
IVF #5 Dec 2017 - Insemination of 9 frozen eggs from 2012 (8F, 1B, 0 normal)
Jan 2018 - Natural cycle ERA (normal/receptive) & stimming for
IVF #6 Jan-Feb 2018 (natural start microdose lupron flare w/HGH - ER 2/3/18 - 17R, 6M, 4F, 0 blasts)
IVF #7 Feb 2018 (natural start microdose lupron flare w/HGH - ER 2/26/18 - 19R, 9M, 9F, 4B, 2 PGS normals)
FET #2 Apr 2018 (natural cycle w/o trigger, w/P4 support) of one PGS normal 4AA- XX 4/5/18 - Beta #1 4/14/18 (67), Beta #2 4/16/18 (231)
Rainbow baby girl born 12/16/2018 (via c-section, induced at 39 weeks)
-----
TFAS!
FET #3 Dec 2019 (natural cycle w/o trigger, w/P4 support) of one PGS normal 3BB XY 12/16/19 - Beta #1 12/24/19 (139), Beta #2 12/27/19 (482)
Married 6/18/16 (Me 42, DH 44), TTC #2
***TW***
As of 12/2016: AMH 1.42, FSH 6.1, AFC ~10
Self-benched Nov-Dec 2016 for
IVF #1 Jan-Feb 2017 (OCP, testosterone primed antagonist w/HGH - ER 2/2/17 - 12R, 7M ICSI'd, 3F, 0B)
IVF #2 Mar-Apr 2017 (testosterone primed agonist/luteal lupron w/HGH - ER 4/8/17 - 10R, 8M, 8F, 5B, 1 PGS normal)
IVF #3 May-Jun 2017 (testosterone primed agonist/luteal lupron w/HGH - ER 6/4/17 - 14R, 5F, 3B, 0 normal)
**New RE**
IVF #4 Sept 2017 (natural start microdose lupron flare w/HGH - ER 9/28/17 - 33R, 18F, 10B, 4 PGS normals!)
FET #1 (medicated) of one PGS normal 4AA XX 11/2/17 - Beta #1 11/11/17 (153), Beta #2 11/13/17 (324), mc at 5w1d on 11/19/17
IVF #5 Dec 2017 - Insemination of 9 frozen eggs from 2012 (8F, 1B, 0 normal)
Jan 2018 - Natural cycle ERA (normal/receptive) & stimming for
IVF #6 Jan-Feb 2018 (natural start microdose lupron flare w/HGH - ER 2/3/18 - 17R, 6M, 4F, 0 blasts)
IVF #7 Feb 2018 (natural start microdose lupron flare w/HGH - ER 2/26/18 - 19R, 9M, 9F, 4B, 2 PGS normals)
FET #2 Apr 2018 (natural cycle w/o trigger, w/P4 support) of one PGS normal 4AA- XX 4/5/18 - Beta #1 4/14/18 (67), Beta #2 4/16/18 (231)
Rainbow baby girl born 12/16/2018 (via c-section, induced at 39 weeks)
-----
TFAS!
FET #3 Dec 2019 (natural cycle w/o trigger, w/P4 support) of one PGS normal 3BB XY 12/16/19 - Beta #1 12/24/19 (139), Beta #2 12/27/19 (482)
Married: 5/09 ~ TTC Since: 10/10 ~ PCOS ~ Progesterone from 10/10 - 2/11 ~ HSG on 3/18 - Clear ~ Started Metformin 1000mg & Clomid 50mg 2/11 ~ Metformin upped to 1500mg 4/6 ~ 6/7 Now going to SG and put on Clomid, Ovidrel, Gonal F, Prometrium, Estrace ~ IUI #1 7/2 = BFP!!!!!! March 6th our little man was born.
6/17/13 - Ovidrel, Follistim, Prometrium ~ IUI #1 7/2 = BFP! March 17th our St. Pattys day baby arrived
10/29/17 - Started process for IVF, got pregnant & miscarried a 2nd time since summer. 2/22 started stims - Menopur, Gonal F, Cetrotide - retrieval 3/6 - , PIO, estrace 3xday - FET 4/18 = Beta 1: 616; Beta 2: 1342 = BFP
Yes @artemis618!!!! Great news!
AFM, blood drawn and now we wait. I took a digital this morning and it came up 1-2 weeks. I checked their reference ranges and it looks like 1-2 weeks goes from 10mIU/mL - 152 mIU/mL so I'm expecting my hcg level to be within that range. I see my RE at a satellite clinic location and only the main location in the city does betas. I didn't want to drive into the city this morning so I had to go to an outside lab, which means I probably won't get my results back until tomorrow
Sometimes they're back before bed so I'll check the portal later tonight.
*TW loss and children mentioned*
Apr 17: IUI #1 = BFN
May 17: IUI #2 = BFN
Jun 17: IUI #3 = Late BFP (18 DPO) | NMC 17Jul17 @ ~6w
Aug 17: IUI #4 = Cancelled due to premature ovulation | TI = BFN
Sep 17: IUI #5 = Cancelled due to overstimulation (10+ follies)
Nov 17: IVF #1 = Cancelled due to non-IF related health issue | TI = BFN
Dec 17: IVF #1 = Puregon 200, Menopur 75, Orgalutran, Suprefact trigger due to OHSS risk | 22R, 18M, 16F, 10B frozen
Feb 18: FET #1 (medicated) = BFN
Mar 18: FET #2 (natural cycle) = CP (beta 1: 54; beta 2: 0)
EDD: 07Jan2019 Team Green
My Rainbow Baby Boy born 03Jan2019
@tosh24 FX for a good beta!!
@dragonette505 that’s exactly why I feel more comfortable in the PAIF board than in the BMB.
Hysteroscopy: 2013
IUI #1-2: 2013 BFN
Surgery 10/2015: Planned to start trying again but had a surgery. (Not related to fertility)
Surgery 5/2016: Planned to start trying again but had another surgery. (Not related to fertility)
IUI #3-5 (with Clomid): summer 2016 BFN
IVF #1: 11/2016. 30R; 21M; 20F; 8B (6 day5 & 2 day6); 4 normal after PGS
Medicated FET #1: 1/31/2017 transferred 1 embryo 3AA. BFP. Embryo stopped growing at 6w 1d. MUA at 9w 3d.
Medicated FET #2: June 2017 - cancelled...
Hysteroscopy #2: June 2017
Medicated FET #2: 8/7/2017 transferred 1 embryo 5BB. BFP. Ended in CP.
Medicated FET #3: 10/11/2017 transferred 1 embryo 3AA. BFN
ERA: December 2017 - need an extra 12 hours of PIO
Medicated FET #4: 1/24/2018 transferred 1 embryo 4AA. BFN
Out of embryos.
IVF #2: 03/2018.
Married: 5/09 ~ TTC Since: 10/10 ~ PCOS ~ Progesterone from 10/10 - 2/11 ~ HSG on 3/18 - Clear ~ Started Metformin 1000mg & Clomid 50mg 2/11 ~ Metformin upped to 1500mg 4/6 ~ 6/7 Now going to SG and put on Clomid, Ovidrel, Gonal F, Prometrium, Estrace ~ IUI #1 7/2 = BFP!!!!!! March 6th our little man was born.
6/17/13 - Ovidrel, Follistim, Prometrium ~ IUI #1 7/2 = BFP! March 17th our St. Pattys day baby arrived
10/29/17 - Started process for IVF, got pregnant & miscarried a 2nd time since summer. 2/22 started stims - Menopur, Gonal F, Cetrotide - retrieval 3/6 - , PIO, estrace 3xday - FET 4/18 = Beta 1: 616; Beta 2: 1342 = BFP
@artemis618 - great news! Congratulations!!
@dragonette505 - I don't think that's arrogance. Looks more like "hope" to me, and I think that's great!
But yeah, I dunno. Talk of a second baby shower would make me pretty batty too.
The other day, we were sitting with another couple who have two daughters - which is exactly what they wanted and dreamed of. And they were talking about another couple who'd was debating to have a third child, even though they didn't really seem like they were coping well with their existing two, and the whole conversation just seemed like too much to me. (Sometimes I find all those catty parenting conversations just so... Ugh.) So I said: "It must be so nice for you, and that other couple, to plan their families and then just have those dreams come true. It must be really nice for couples to be able to decide to stop at two or three kids, to be in a position like that where how many children they want is up to them."
I guess maybe they'd forgotten who we were or what we were dealing with? Anyway, so I hear you on being jaded.
@tosh24 - keeping FX for you.
@prudence9-2 - CONGRATULATIONS!!! I know you're not in this thread, and I don't know if I'd congratulated you yet, but I'm very happy to see your good news!
Married 6/18/16 (Me 42, DH 44), TTC #2
***TW***
As of 12/2016: AMH 1.42, FSH 6.1, AFC ~10
Self-benched Nov-Dec 2016 for
IVF #1 Jan-Feb 2017 (OCP, testosterone primed antagonist w/HGH - ER 2/2/17 - 12R, 7M ICSI'd, 3F, 0B)
IVF #2 Mar-Apr 2017 (testosterone primed agonist/luteal lupron w/HGH - ER 4/8/17 - 10R, 8M, 8F, 5B, 1 PGS normal)
IVF #3 May-Jun 2017 (testosterone primed agonist/luteal lupron w/HGH - ER 6/4/17 - 14R, 5F, 3B, 0 normal)
**New RE**
IVF #4 Sept 2017 (natural start microdose lupron flare w/HGH - ER 9/28/17 - 33R, 18F, 10B, 4 PGS normals!)
FET #1 (medicated) of one PGS normal 4AA XX 11/2/17 - Beta #1 11/11/17 (153), Beta #2 11/13/17 (324), mc at 5w1d on 11/19/17
IVF #5 Dec 2017 - Insemination of 9 frozen eggs from 2012 (8F, 1B, 0 normal)
Jan 2018 - Natural cycle ERA (normal/receptive) & stimming for
IVF #6 Jan-Feb 2018 (natural start microdose lupron flare w/HGH - ER 2/3/18 - 17R, 6M, 4F, 0 blasts)
IVF #7 Feb 2018 (natural start microdose lupron flare w/HGH - ER 2/26/18 - 19R, 9M, 9F, 4B, 2 PGS normals)
FET #2 Apr 2018 (natural cycle w/o trigger, w/P4 support) of one PGS normal 4AA- XX 4/5/18 - Beta #1 4/14/18 (67), Beta #2 4/16/18 (231)
Rainbow baby girl born 12/16/2018 (via c-section, induced at 39 weeks)
-----
TFAS!
FET #3 Dec 2019 (natural cycle w/o trigger, w/P4 support) of one PGS normal 3BB XY 12/16/19 - Beta #1 12/24/19 (139), Beta #2 12/27/19 (482)
@mcgeeva that’s an amazing first beta!! Congrats!!
Hysteroscopy: 2013
IUI #1-2: 2013 BFN
Surgery 10/2015: Planned to start trying again but had a surgery. (Not related to fertility)
Surgery 5/2016: Planned to start trying again but had another surgery. (Not related to fertility)
IUI #3-5 (with Clomid): summer 2016 BFN
IVF #1: 11/2016. 30R; 21M; 20F; 8B (6 day5 & 2 day6); 4 normal after PGS
Medicated FET #1: 1/31/2017 transferred 1 embryo 3AA. BFP. Embryo stopped growing at 6w 1d. MUA at 9w 3d.
Medicated FET #2: June 2017 - cancelled...
Hysteroscopy #2: June 2017
Medicated FET #2: 8/7/2017 transferred 1 embryo 5BB. BFP. Ended in CP.
Medicated FET #3: 10/11/2017 transferred 1 embryo 3AA. BFN
ERA: December 2017 - need an extra 12 hours of PIO
Medicated FET #4: 1/24/2018 transferred 1 embryo 4AA. BFN
Out of embryos.
IVF #2: 03/2018.
Married: 5/09 ~ TTC Since: 10/10 ~ PCOS ~ Progesterone from 10/10 - 2/11 ~ HSG on 3/18 - Clear ~ Started Metformin 1000mg & Clomid 50mg 2/11 ~ Metformin upped to 1500mg 4/6 ~ 6/7 Now going to SG and put on Clomid, Ovidrel, Gonal F, Prometrium, Estrace ~ IUI #1 7/2 = BFP!!!!!! March 6th our little man was born.
6/17/13 - Ovidrel, Follistim, Prometrium ~ IUI #1 7/2 = BFP! March 17th our St. Pattys day baby arrived
10/29/17 - Started process for IVF, got pregnant & miscarried a 2nd time since summer. 2/22 started stims - Menopur, Gonal F, Cetrotide - retrieval 3/6 - , PIO, estrace 3xday - FET 4/18 = Beta 1: 616; Beta 2: 1342 = BFP
@mcgeeva congrats!
funkykey what an awesome and perfect come back to all that! People should just be grateful! And whose business is it if the other family wants more and can have them? UGh... this is the sort of thing that makes me super bitter
Married 6/18/16 (Me 42, DH 44), TTC #2
***TW***
As of 12/2016: AMH 1.42, FSH 6.1, AFC ~10
Self-benched Nov-Dec 2016 for
IVF #1 Jan-Feb 2017 (OCP, testosterone primed antagonist w/HGH - ER 2/2/17 - 12R, 7M ICSI'd, 3F, 0B)
IVF #2 Mar-Apr 2017 (testosterone primed agonist/luteal lupron w/HGH - ER 4/8/17 - 10R, 8M, 8F, 5B, 1 PGS normal)
IVF #3 May-Jun 2017 (testosterone primed agonist/luteal lupron w/HGH - ER 6/4/17 - 14R, 5F, 3B, 0 normal)
**New RE**
IVF #4 Sept 2017 (natural start microdose lupron flare w/HGH - ER 9/28/17 - 33R, 18F, 10B, 4 PGS normals!)
FET #1 (medicated) of one PGS normal 4AA XX 11/2/17 - Beta #1 11/11/17 (153), Beta #2 11/13/17 (324), mc at 5w1d on 11/19/17
IVF #5 Dec 2017 - Insemination of 9 frozen eggs from 2012 (8F, 1B, 0 normal)
Jan 2018 - Natural cycle ERA (normal/receptive) & stimming for
IVF #6 Jan-Feb 2018 (natural start microdose lupron flare w/HGH - ER 2/3/18 - 17R, 6M, 4F, 0 blasts)
IVF #7 Feb 2018 (natural start microdose lupron flare w/HGH - ER 2/26/18 - 19R, 9M, 9F, 4B, 2 PGS normals)
FET #2 Apr 2018 (natural cycle w/o trigger, w/P4 support) of one PGS normal 4AA- XX 4/5/18 - Beta #1 4/14/18 (67), Beta #2 4/16/18 (231)
Rainbow baby girl born 12/16/2018 (via c-section, induced at 39 weeks)
-----
TFAS!
FET #3 Dec 2019 (natural cycle w/o trigger, w/P4 support) of one PGS normal 3BB XY 12/16/19 - Beta #1 12/24/19 (139), Beta #2 12/27/19 (482)
Married: 5/09 ~ TTC Since: 10/10 ~ PCOS ~ Progesterone from 10/10 - 2/11 ~ HSG on 3/18 - Clear ~ Started Metformin 1000mg & Clomid 50mg 2/11 ~ Metformin upped to 1500mg 4/6 ~ 6/7 Now going to SG and put on Clomid, Ovidrel, Gonal F, Prometrium, Estrace ~ IUI #1 7/2 = BFP!!!!!! March 6th our little man was born.
6/17/13 - Ovidrel, Follistim, Prometrium ~ IUI #1 7/2 = BFP! March 17th our St. Pattys day baby arrived
10/29/17 - Started process for IVF, got pregnant & miscarried a 2nd time since summer. 2/22 started stims - Menopur, Gonal F, Cetrotide - retrieval 3/6 - , PIO, estrace 3xday - FET 4/18 = Beta 1: 616; Beta 2: 1342 = BFP
14dp5dt: 2563
16dp5dt: 5201
18dp5dt: 8918
Second pregancy was CP.
Third pregnancy (current!) (2 sacs but only one developing)
12dp3dt: 281 (same as 10dp5dt)
16dp3dt: 884 (same as 14dp5dt)
18dp3dt: 1671 (same as 16dp5dt)
So my betas this time we’re much much lower than my first pregnancy and that pregnancy had only 1 sac!!!
Hysteroscopy: 2013
IUI #1-2: 2013 BFN
Surgery 10/2015: Planned to start trying again but had a surgery. (Not related to fertility)
Surgery 5/2016: Planned to start trying again but had another surgery. (Not related to fertility)
IUI #3-5 (with Clomid): summer 2016 BFN
IVF #1: 11/2016. 30R; 21M; 20F; 8B (6 day5 & 2 day6); 4 normal after PGS
Medicated FET #1: 1/31/2017 transferred 1 embryo 3AA. BFP. Embryo stopped growing at 6w 1d. MUA at 9w 3d.
Medicated FET #2: June 2017 - cancelled...
Hysteroscopy #2: June 2017
Medicated FET #2: 8/7/2017 transferred 1 embryo 5BB. BFP. Ended in CP.
Medicated FET #3: 10/11/2017 transferred 1 embryo 3AA. BFN
ERA: December 2017 - need an extra 12 hours of PIO
Medicated FET #4: 1/24/2018 transferred 1 embryo 4AA. BFN
Out of embryos.
IVF #2: 03/2018.
Married: 5/09 ~ TTC Since: 10/10 ~ PCOS ~ Progesterone from 10/10 - 2/11 ~ HSG on 3/18 - Clear ~ Started Metformin 1000mg & Clomid 50mg 2/11 ~ Metformin upped to 1500mg 4/6 ~ 6/7 Now going to SG and put on Clomid, Ovidrel, Gonal F, Prometrium, Estrace ~ IUI #1 7/2 = BFP!!!!!! March 6th our little man was born.
6/17/13 - Ovidrel, Follistim, Prometrium ~ IUI #1 7/2 = BFP! March 17th our St. Pattys day baby arrived
10/29/17 - Started process for IVF, got pregnant & miscarried a 2nd time since summer. 2/22 started stims - Menopur, Gonal F, Cetrotide - retrieval 3/6 - , PIO, estrace 3xday - FET 4/18 = Beta 1: 616; Beta 2: 1342 = BFP