November 2018 Moms

Ultrasound pics <3

12467

Re: Ultrasound pics <3

  • Loading the player...
  • @wildrainbow ❤️❤️❤️
  • Oh goodness yes mine literally tilts towards my back its the equivalent of being left vs right handed a simple anatomical difference no biggie at all. It will tilt forward around 12 weeks
  • edited April 2018
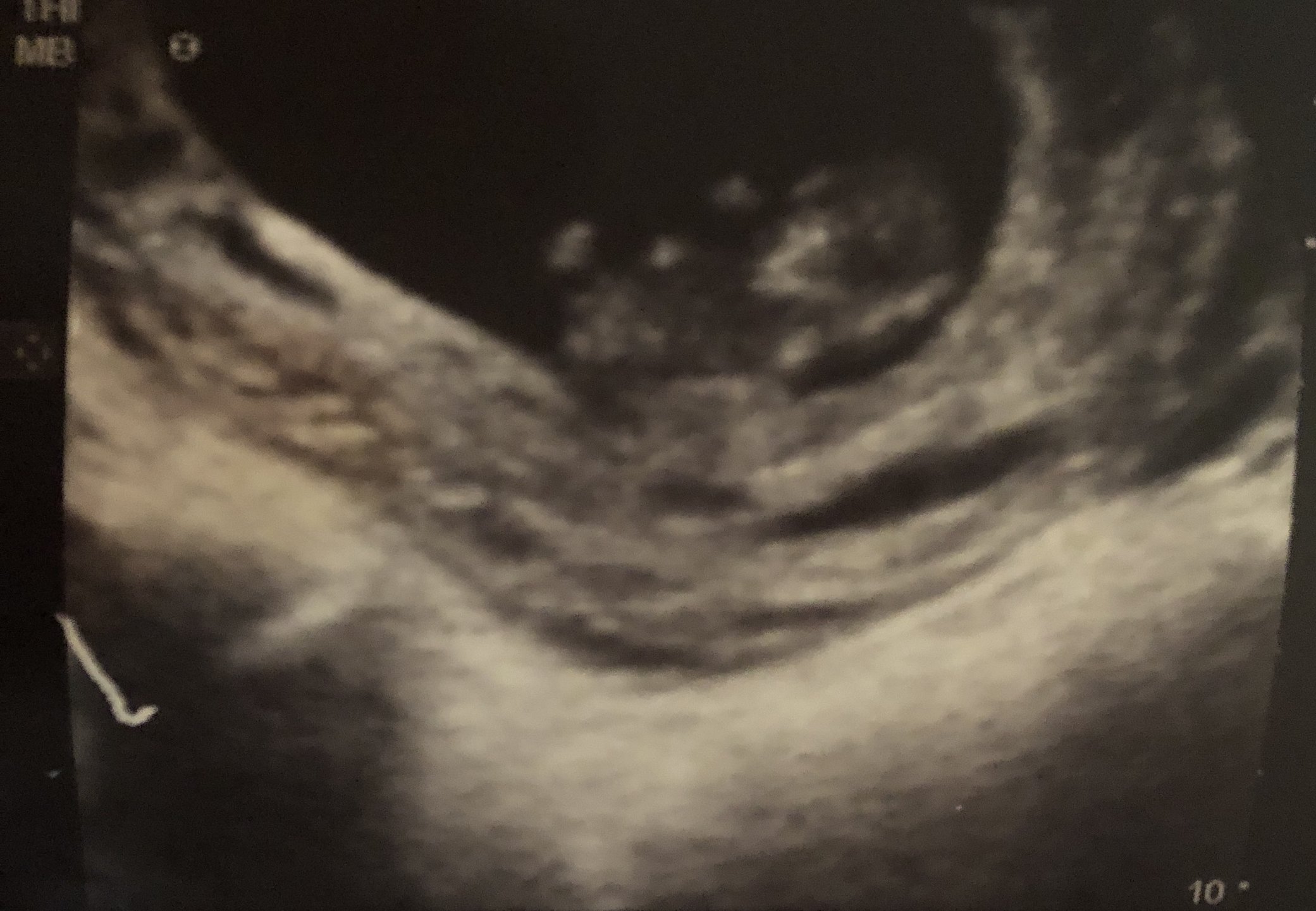
    Hi everyone, 6 weeks ultrasound. I’m scheduled back for an 8 weeks ultrasound. Doctor said it’s twins but one is smaller than the other one that we had to wait and see if the other progresses. Has anyone had a similar situation? This is my 3rd pregnancy but first time twins. 
  • @wittymom I have a tilted uterus too. It makes cervix checks and other things of that nature very uncomfortable for me, but it has never bothered my pregnancies. 
    Pregnancy Ticker

  • @offtoneverland congrats! Crazy how big they get in just a few weeks!!
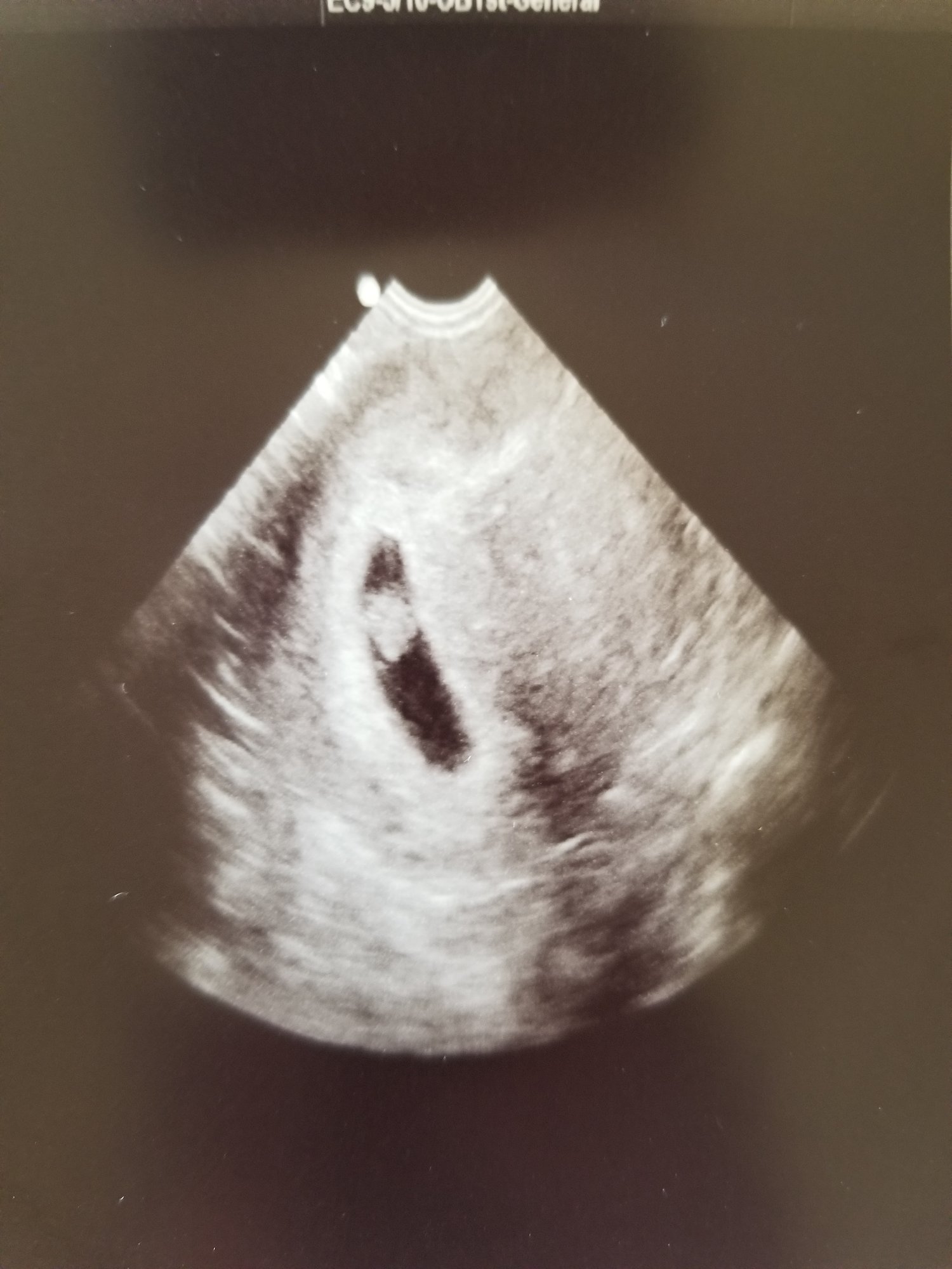
  • I had my first ultrasound on Monday! I'm not as far along as I thought - I thought I was past 10 weeks but I'll be just 10 weeks tomorrow. So glad I decided to have an early ultrasound - last pregnancy I just had one at 20 weeks. This time around I was having cramping and bleeding and something seemed off. I guess this is why!!!! Seeing double!! They think identical but can't quite be certain yet as I only wanted an abdominal ultrasound this visit. Needless to say I'm freaking out! New due date of November 8th instead of the 3rd...but I'm sure with twins it may be October!

    Holy cow, identical twins!! Congratulations! The hospitals I've worked at deliver identical twins no later than 36 weeks (which I believe is the recommendation) due to the increased risks if you go past that. FX for a smooth pregnancy for you!
    *TW*
    Me:35 DH:35
    Dx: PCOS
    DS1 born 11/2014
    DS2 born 11/2018
    3 previous losses
    Rainbow baby due 12/2021 - Team Green

Sign In or Register to comment.
Choose Another Board
Search Boards
"
"