Congrats! I have my first appointment Monday, and I am worried - It is my normal family doctor - as I will need to be referred to an OB. Will they still do an ultra sound or like all the blood tests. I am really not sure what to expect.
This was the blob as of today, 8 weeks. This was my first regular ultrasound instead of vaginal. I actually think I prefer vaginal because it is much clearer. But either way so happy to see it again. Heart rate was 169.
@averageash a boutique place does it that early? I have never seen any don them that early!
8 weeks for a 15 minute hb view!
Married DH 12/31/13 BFP#1 1/21/14 ended in loss DNC 3/5/14 BFP#2 7/2014 Baby Girl born 4/15/15 BFP#3 2/10/2016 natural mc 2/27/2016 BFP#4 6/25/2016 Due 3/2/2017
Although, given my experience I can't say I recommend it.
Married DH 12/31/13 BFP#1 1/21/14 ended in loss DNC 3/5/14 BFP#2 7/2014 Baby Girl born 4/15/15 BFP#3 2/10/2016 natural mc 2/27/2016 BFP#4 6/25/2016 Due 3/2/2017
@mrsyimster hey don't worry...should be normal...I had some brown spotting one day and my doc told me to rest and gave Duphaston.. everything ok now...had a normal u/S yesterday...don't panic and just talk to your doc once.
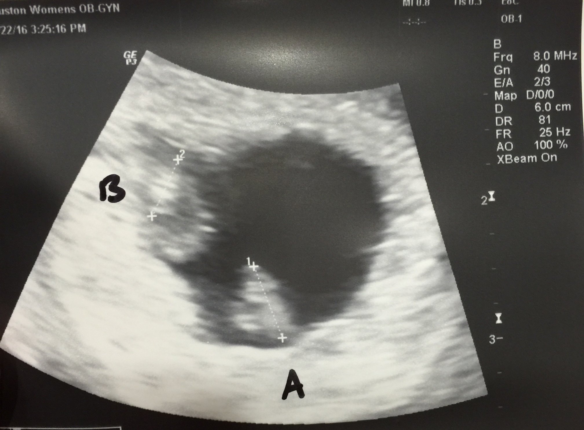
hi everyone! Thanks for all the best wishes! sooooo we heard the heart beats and...... 7 weeks exactly and we were beyond beyond beyond surprised when... She told us oh I see 2.... Wow I'm still in shock and *healthy and happy two little beans please* twins does not run in our families
little thing 2(B) is hiding a bit. So nervous y'all!!!! So surprised. Little miracles beans *healthy and happy*
This was at 4+4, but the gestational sac (pretty much all you can see) measured at 5+2, so they think I ovulated a few days early. You can't see much, but I still love being able to see what's going on!
7 weeks. She was zoomed in pretty tight to try to see a membrane. She's worried they are mono-mono since they are so close, but I know it's too early to see it
Sorry it's enormous but I suck at computers. I'm measuring exactly 8 weeks today and heart rate was 166. It was so nice to know that all the nausea and boob pain is not all in my head. There's a real person in there!
7 weeks. She was zoomed in pretty tight to try to see a membrane. She's worried they are mono-mono since they are so close, but I know it's too early to see it
Mine is worried too. Since she didn't see one. Going to see a MFM next week. Hopefully will see it then! been pretty worried.
Hi ladies! I went last week for a follow up dating US, my first I was too early to get a good view of the baby, and my dates were off based on my last AF, so based on the size of the baby, I was 7w1d last tuesday. Which means I'm 8 weeks today!
So excited to finally be able to post here!!! It's blurry since I'm in the car and took phone pic! But measuring 8W 2D right on schedule, EDD 3/4/17, HR 166!!!
This was from last week when I was 7 weeks 6 days....they didn't tell me the heart rate though I was curious and they found a fibroid that will hopefully not grow any larger. But we were thankful to see the little guy/girl
I had scheduled an appointment for my annual before finding out that we're prego for last Friday, so I went and told them that we had just found out that we were preggo through a urine test...yet due to insurance purposes they have to confirm the pregnancy through a blood test and sonogram. However, due to being 4w3d the technician was not able to see anything yet in the sonogram and we are schedule again in 2wks. Can't wait to share it with all of you!!!
Had my first ultrasound today! Based on LMP I'm at 6w5d and by O at 6w2d and baby is measuring right at 6w2d! Doctor said he is going to keep my DD based on LMP though. Gotta admit, was kinda sad I only saw one baby in there after seeing all the twinsies on here this last week, but I'm glad I have a healthy little baby growing! I go back next week for another ultrasound and consult with MFM
Married DH 12/31/13 BFP#1 1/21/14 ended in loss DNC 3/5/14 BFP#2 7/2014 Baby Girl born 4/15/15 BFP#3 2/10/2016 natural mc 2/27/2016 BFP#4 6/25/2016 Due 3/2/2017
Had our first scan today!! 8w 4d measuring right on schedule saw little peanut wiggle on the screen and saw a heartbeat. They didn't tell us what the heart rate was though. Oh well there's always next time Best. Day. Ever!!
Had our first scan today!! 8w 4d measuring right on schedule saw little peanut wiggle on the screen and saw a heartbeat. They didn't tell us what the heart rate was though. Oh well there's always next time Best. Day. Ever!!
Re: AW Ultrasounds
@AverageAsh I would have had a conniption! Way to advocate for yourself!
via GIPHY
Type 1 Diabetes since 2001, MTHFR hetero A1298T
Dogs: Raider 4 yrs, Dex 4 yrs
BFP #2 7/6/16 SCH, D&C 8/4/16
BFP #3 12/26/16 EDD: 9/6/17
My Chart / My Diabetes/Pregnancy Blog
My Type 1/TTC/Pregnancy Podcast:
Juicebox Podcast Episode 118
A1Cs:
1/12/16 6.7%
5/25/16 6.0%
11/2/16 6.1%
3/22/16 5.8%
4/27/17 5.4%
6/13/17 5.3%
"Sugar Fancy Tutu"
Me 28 DH 28 Married 2012
TTC #1 since March 2015
Metformin + Femara + Gonal F + Trigger = BFP 6/24/16
EDD 3/3/17
Found out it's a girl! 9/23/16
BFP#1 1/21/14 ended in loss DNC 3/5/14
BFP#2 7/2014 Baby Girl born 4/15/15
BFP#3 2/10/2016 natural mc 2/27/2016
BFP#4 6/25/2016 Due 3/2/2017
BFP#1 1/21/14 ended in loss DNC 3/5/14
BFP#2 7/2014 Baby Girl born 4/15/15
BFP#3 2/10/2016 natural mc 2/27/2016
BFP#4 6/25/2016 Due 3/2/2017
sooooo
we heard the heart beats
and...... 7 weeks exactly
and we were beyond beyond beyond surprised when... She told us oh I see 2.... Wow I'm still in shock and *healthy and happy two little beans please*
twins does not run in our families
little thing 2(B) is hiding a bit. So nervous y'all!!!! So surprised. Little miracles beans *healthy and happy*
SaveSaveThis was at 4+4, but the gestational sac (pretty much all you can see) measured at 5+2, so they think I ovulated a few days early. You can't see much, but I still love being able to see what's going on!
via GIPHY
Sorry it's enormous but I suck at computers. I'm measuring exactly 8 weeks today and heart rate was 166. It was so nice to know that all the nausea and boob pain is not all in my head. There's a real person in there!
SaveSaveType 1 Diabetes since 2001, MTHFR hetero A1298T
Dogs: Raider 4 yrs, Dex 4 yrs
BFP #2 7/6/16 SCH, D&C 8/4/16
BFP #3 12/26/16 EDD: 9/6/17
My Chart / My Diabetes/Pregnancy Blog
My Type 1/TTC/Pregnancy Podcast:
Juicebox Podcast Episode 118
A1Cs:
1/12/16 6.7%
5/25/16 6.0%
11/2/16 6.1%
3/22/16 5.8%
4/27/17 5.4%
6/13/17 5.3%
"Sugar Fancy Tutu"
New EDD 3/7/17! ❤
This was from last week when I was 7 weeks 6 days....they didn't tell me the heart rate though
Me: 27 - DH: 33
Married: June 2011
TTC #1: January 2016
BFP #1: February 22nd 2016 MC w/ Misoprostol: March 21st 2016 -Blighted Ovum
BFP #2: July 6th 2016 EDD: March 15th 2017
M17 October Siggy Challenge: Animals in Costumes
I had scheduled an appointment for my annual before finding out that we're prego for last Friday, so I went and told them that we had just found out that we were preggo through a urine test...yet due to insurance purposes they have to confirm the pregnancy through a blood test and sonogram. However, due to being 4w3d the technician was not able to see anything yet in the sonogram and we are schedule again in 2wks. Can't wait to share it with all of you!!!
Type 1 Diabetic
DS: Born 2/18/17
TTC #2: Jan. 2018 BFP: 3/27/18 EDD: 12/6/18
BFP#1 1/21/14 ended in loss DNC 3/5/14
BFP#2 7/2014 Baby Girl born 4/15/15
BFP#3 2/10/2016 natural mc 2/27/2016
BFP#4 6/25/2016 Due 3/2/2017
8w 4d measuring right on schedule
saw little peanut wiggle on the screen and saw a heartbeat. They didn't tell us what the heart rate was though. Oh well there's always next time
Best. Day. Ever!!
my goodness little peanut is cute!
SaveSave