@beff12 - No bleeding since yesterday before the ER even. No cramping. Not even any brown spotting anymore - just normal. Still nauseous as all get out. So all good signs, just mentally frustrated. I'm REALLY hoping it was just difficult to measure the fetus because of my tipped uterus or something. DH and I are planning on showing up to the OB tomorrow at 8am and asking to get worked in asap. We'll just bring stuff to do until they can see us. Thank you for checking in. My fingers and toes are still crossed
Good luck with everything. Last week my baby had a heartbeat of 113 and measures 6w4d and doctor wasn't worried. So 120 sounds great! Also baby looked like a blob and I could mostly see the yolk sac with a flicker, which was the heartbeat. Please keep us updated. We are all hoping for good news.
@LinziLoo09 Thinking of you! So sorry that you are having to deal with this, but it's not over until it's over for sure. Hold on to that hope as hard as it may be. When we had a very early loss two years ago while trying for our first holding on to any shred of hope kept me sane and from wondering every second of the day if there was something I could do. Crossing my fingers that you get some positive answers soon. Please keep us in the loop as we are all thinking of you!
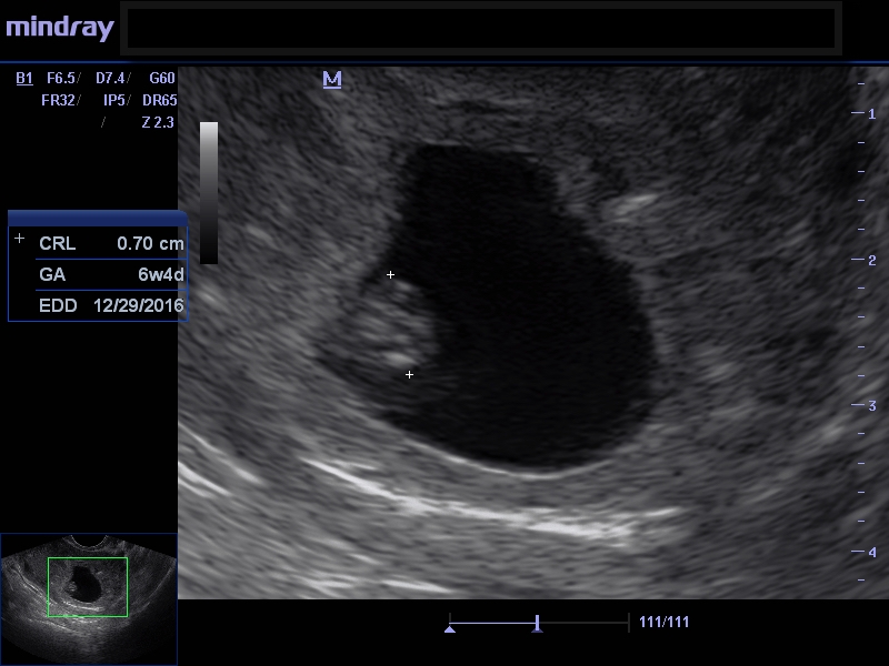
UPDATE!!! The ER doctors in Maine are complete morons. So our OB was amazing - they worked us in first thing this morning. We saw little baby blob again, and it has a heartbeat of 123. Measuring just three days short of my estimate based on ovulation, which is perfectly normal. They did find a subchorionic hemorrhage, which has been causing the bleeding. They're doing lab work to test my progesterone to see if I need supplements, but he said that most of these will resolve their own. We have another ultrasound in two weeks to check on the progress.
So let's talk about the complete idiocy of the ER doctors. They told me the baby "wasn't where it needs to be developmentally". The OB said that all you can check for at this point is cardiac function - which is what I had thought - that we can't really see any anatomy yet. He said, "I won't even tell you all of the crazy things they said in their message to me, but they claimed that the baby's heart was on the outside of its body." This would be a one in a million odds unicorn of a pregnancy, and he said you CAN'T SEE THAT if it were the case until around 12 weeks. He was baffled that they seemed to so confident in their analysis of the situation. They also DIDN'T SEE the subchorionic hemorrhage, which was so evident on the screen that I thought it was the baby at first.
I have never been so relieved at medical error in my life, and I am furious at the ER clinicians, particularly since we have a boatload of bills for completely unhelpful service coming our way. It baffles me that they would confidently tell me I'm having a probable miscarriage based on a super rare diagnosis that can't be made at 7 weeks made by a radiologist who wasn't even onsite for the ultrasound - he reviewed pictures via email. If this baby makes it to term, I plan on sending them a picture of my "probable early miscarriage" with a note that says FUCK YOU <please excuse my hormones...my baby has a temper>. In the meantime, I'm going to have our OB draft a letter on their misdiagnosis and the unnecessary stress it caused, and I will be angrily contesting any charges we may have based on their medical incompetency. But however that turns out, I'm just SO relieved to have a happy ending and a healthy baby! <will post this update in OP also>
OMG @LinziLoo09 - I am so happy you got good news today and that your OB was so helpful, but I am so mad for you that you had to go through all of that. Fingers crossed that this is the last of the drama for this pregnancy!
That goodness @LinziLoo09 I am so happy for your great news! Not to hate on Maine, but...they are not known for their medical care. I hope the stress leaves you quickly - creepy internet hugs!
Me: 38, DH: 36 Married Jan 2008 DD Baby Bells born Dec 2016 5 lbs, 12 oz, 18" so in love Due with #2 Baby Arya EDD February 2020
OMG @LinziLoo09what a relief!!!!! I'm so glad you were able to find out what was truly causing all that bleeding and it's something that will probably resolve itself. I work with doctors and doctor offices on a daily basis, so I can attest some of them I wonder how the heck they got medical degrees, but this certainly takes the cake. I'm so sorry for all the stress it's caused you, but so happy your OB was able to reassure you everything is fine.
Married 4/12/13 TTC since 6/13 Diagnosed w/ PCOS 4/9/15 - R/E recommended lifestyle change BFP 4/10/16 - DS born 12/16/2016 SURPRISE! BFP 3/8/18
Amazing update! So happy to hear that babe looks ok Fingers crossed that the problem resolves itself. As to the idiocy of the ER doctors...wow. I hope that you don't end up having to pay the bills.
That is a wonderful update!! I am blown away by those ER doctors! I'm so sorry you had to deal with those idiots but I'm so thankful that you got a good update from your wonderful OB!
That makes me so angry on what information they were telling you in the ER. These "doctors" are supposed to be there to help, and they made things worse with review and obvious lack of knowledge on the whole thing. I am surprised they don't have an on-call ER OB for situations like this; someone who actually DEALS with this stuff. This is why I hate going to the doctor for anything, unless it's my own doctor or a specialist.
Me: 37 years old
DH: 39 years old
Married: October 17, 2014 TTC Since: November 2015 BFP: March 31, 2016 DS: November 21, 2016
December'16 December Siggy Challenge: Elf on the Shelf Fails **winner**
@LinziLoo09 So happy for you! It's so weird, because I don't know you at all, but I kept thinking of you this weekend, hoping everything would turn out, haha!
Thank you all SO much for the support over the past weekend. However it turned out, you really helped calm my nerves to make it to today. Your support has been invaluable. <hugs>
Wooooo!!! I just knew there would be a positive update! I'm so thankful your OB was able to give you an accurate representation of what was going on. the whole Maine ER ordeal is infuriating and I'm glad your OB is sending them a letter. Now, take a deep breath and enjoy that m/s.... Because at least now you know you're sick with a purpose❤️ Hugs, momma!
Oh my goodness!! I am so happy to see your update, but I am so sorry for what you had to go through!! Sending prayers your way for a continually growing, healthy little bean!
Re: Not so good news... **UPDATED**
DD born 7.27.2014
BFP 09.2015 - m/c 10.21.2015
Baby #1
Baby #2
~04/19/16 EDD 12/26/16~
SaveSaveSaveSave
Baby #1
Baby #2
~04/19/16 EDD 12/26/16~
SaveSaveSaveSave
TTC since 6/13
Diagnosed w/ PCOS 4/9/15 - R/E recommended lifestyle change
BFP 4/10/16 - DS born 12/16/2016
SURPRISE! BFP 3/8/18
DD born 7.27.2014
BFP 09.2015 - m/c 10.21.2015
HSG - All clear, ectopic kidney didn't affect uterus (yay!)
CT Adrenal Scan - no tumors!
SA - sperm count excellent, 2% Morphology
March/April IUI scheduled - surprise BFP w/ help of Progesterone - 3/18/2016
Beta #1 @ 11dpo - 45.7 #2 @ 14dpo - 163 #3 @ 18dpo - 997 #4 @ 21dpo - 3799
EDD 12/1 based on O, 11/28 per Ob/Gyn (but he's wrong lol).
*TEAM BLUE!*
Married Jan 2008
DD Baby Bells born Dec 2016 5 lbs, 12 oz, 18"
Due with #2 Baby Arya EDD February 2020
So let's talk about the complete idiocy of the ER doctors. They told me the baby "wasn't where it needs to be developmentally". The OB said that all you can check for at this point is cardiac function - which is what I had thought - that we can't really see any anatomy yet. He said, "I won't even tell you all of the crazy things they said in their message to me, but they claimed that the baby's heart was on the outside of its body." This would be a one in a million odds unicorn of a pregnancy, and he said you CAN'T SEE THAT if it were the case until around 12 weeks. He was baffled that they seemed to so confident in their analysis of the situation. They also DIDN'T SEE the subchorionic hemorrhage, which was so evident on the screen that I thought it was the baby at first.
I have never been so relieved at medical error in my life, and I am furious at the ER clinicians, particularly since we have a boatload of bills for completely unhelpful service coming our way. It baffles me that they would confidently tell me I'm having a probable miscarriage based on a super rare diagnosis that can't be made at 7 weeks made by a radiologist who wasn't even onsite for the ultrasound - he reviewed pictures via email. If this baby makes it to term, I plan on sending them a picture of my "probable early miscarriage" with a note that says FUCK YOU <please excuse my hormones...my baby has a temper>. In the meantime, I'm going to have our OB draft a letter on their misdiagnosis and the unnecessary stress it caused, and I will be angrily contesting any charges we may have based on their medical incompetency. But however that turns out, I'm just SO relieved to have a happy ending and a healthy baby! <will post this update in OP also>
Baby #1
Baby #2
~04/19/16 EDD 12/26/16~
SaveSaveSaveSave
Married Jan 2008
DD Baby Bells born Dec 2016 5 lbs, 12 oz, 18"
Due with #2 Baby Arya EDD February 2020
TTC since 6/13
Diagnosed w/ PCOS 4/9/15 - R/E recommended lifestyle change
BFP 4/10/16 - DS born 12/16/2016
SURPRISE! BFP 3/8/18
As to the idiocy of the ER doctors...wow. I hope that you don't end up having to pay the bills.
TTC since June 2015
September Football Siggy
That makes me so angry on what information they were telling you in the ER. These "doctors" are supposed to be there to help, and they made things worse with review and obvious lack of knowledge on the whole thing. I am surprised they don't have an on-call ER OB for situations like this; someone who actually DEALS with this stuff. This is why I hate going to the doctor for anything, unless it's my own doctor or a specialist.
TTC Since: November 2015
BFP: March 31, 2016
DS: November 21, 2016
Me:27 H:30
Till death do us part: 7.2.2011
Trying to conceive since 01.2014
Low AFC and azoospermia
IVF #1 03.2016 - BFP 03.28.2016
Due: 12.05.2016
TTC #1 January 2016
BFP April 18 2016 | EDD December 29, 2016
Welcome baby A! January 9, 2017
TTC#2 March 2018
BFP March 30, 2018 | EDD December 12, 2018
Baby #1
Baby #2
~04/19/16 EDD 12/26/16~
SaveSaveSaveSave
Now, take a deep breath and enjoy that m/s.... Because at least now you know you're sick with a purpose❤️ Hugs, momma!
ETA: In the MS...if I wasn't clear. Just enjoying all of my totally purposeful symptoms!
Baby #1
Baby #2
~04/19/16 EDD 12/26/16~
SaveSaveSaveSave
Me: 25 | Him: 31
Married: September 2014
DSS Born 2/2/08
TTC our 1st since December 2015
BFP 3/18/16 - EDD 12/1/16
Proud Parents of a 5 year old Miniature Dachshund