Absolutely the most surreal moment of mine and my husband's life! Our baby's first picture!! Yesterday at 8w1d ... by far the most exciting thing we've ever seen!! Our little raspberry/peanut!!
Had our first ultrasound today. Baby measured one day ahead, so exactly 9 weeks. My new edd is March 31st. Heart beat was 189 BPM. We got to see and hear its little heart beating!
Had an unexpected US today due to some cramping. I was so expecting the worst... I am my own worst enemy but, baby has once again doubled in size from last Friday 8.21.15 to today 8.28.15!! Heartbeat today was up from 165 to 182!!!! We also got to see he/she wiggle which brought tears to my fiancées eyes... And in turn I cried. Tears of joy!! Keeping all of you in my thoughts! Positive vibes your way!
Heard our twins' heartbeats today. It feels so surreal!! Then the doc said uh-oh....there's a third sac! Unbelievable! No heartbeat but it definitely has us on the edge of our seats!
First Sono today and baby is measuring exactly what we thought, 7w3d. Due date 4/15/15. The bottom blob is the baby and the head is on the left with tiny little appendages. Everything looked good, HR 134. So far it's been a good pregnancy, not a lot of symptoms.
This was last Tuesday. Baby measured 6 w 3 days and had a strong heart rate of 128. I have another tomorrow. The only reason I'm getting all these ultrasounds is because I am a fertility patient. Although I conceived naturally this time, I am still being monitored by my RE because of a history of MC.
YAY! I finally get to play! Went this morning at estimated 8 weeks- measured 7 weeks 3 days and everything looks great (tax day baby)! That little flicker of a heartbeat was going strong!
We had an ultrasound last week as I had some bleeding. Measured at 7 weeks. Baby's heart rate was 146. We're having another on Wednesday for my first OB appointment. I'm considered high risk at this point. So we're seeing how it plays out.
Here is our little Bean! The ultrasound tech thinks the due date is around 4/13/16 (originally thought it was 4/6/16). That puts me at about 7 weeks, 5 days now. Heart rate was 141 and baby measures about 1.5 cm long. We also got to see and hear the heart beat, which is the coolest thing ever!
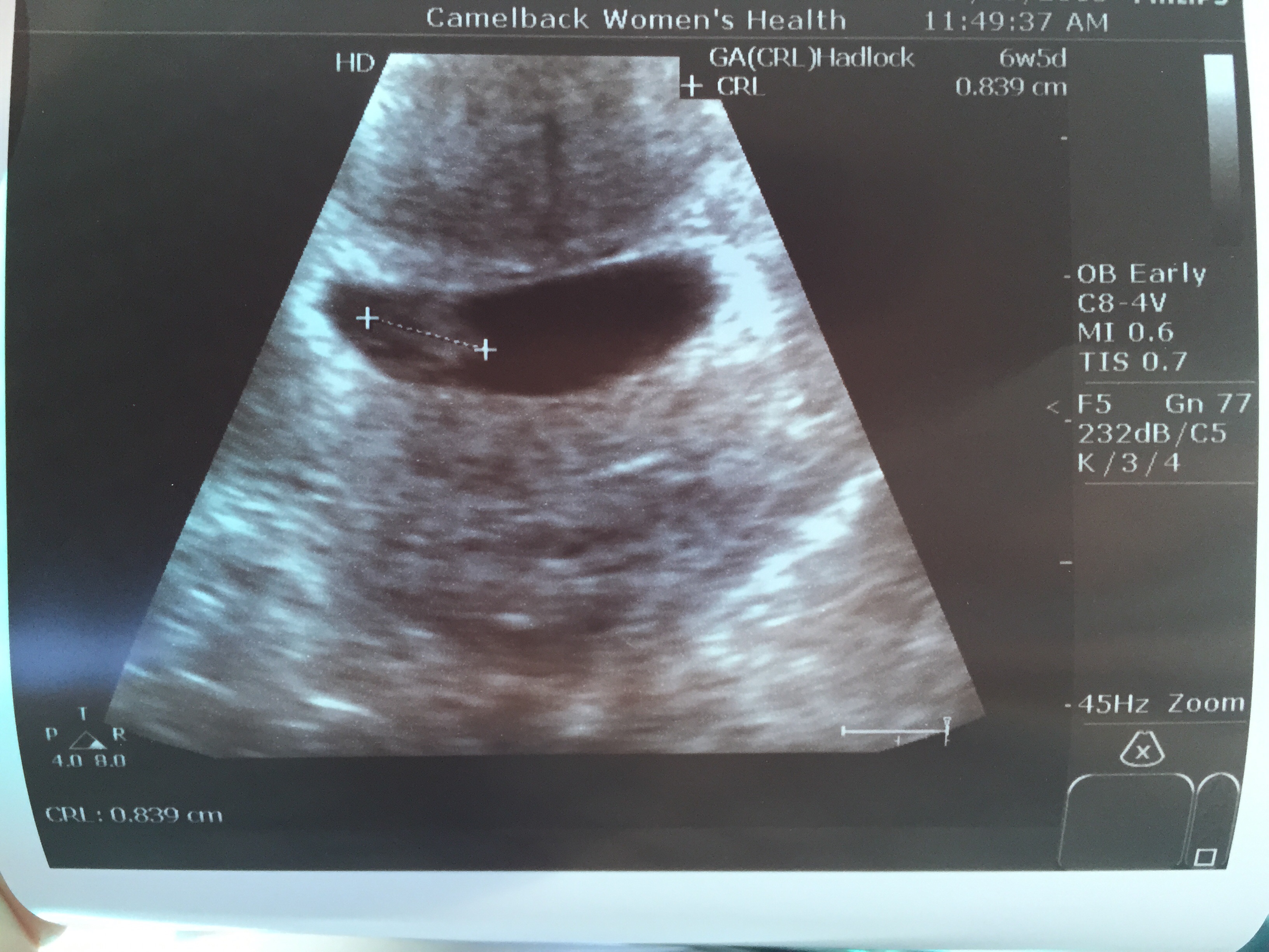
Today I get to add mine too!! 1 week less than estimated according to size. Good strong heartbeat. All looking good. 0.788cm at 6w 5days according to monitor.
I get my first U/S tomm with this baby. Sooo excited will be 9 weeks 2 days, I tried googleing it but didn't find much, will they do a vaginal or tummy U/S. With my son I had an U/S at 8 weeks and it was vaginal but it was at a different practice. Any ladies have a belly U/S at 9 weeks or sooner?
Had my official first prenatal visit today and saw the little heart working away. This was a huge relief! There was no sound and Dr. didn't tell us the heart-rate. Must have been a different machine than most of yours. Hopefully at our next one.
Just got this yesterday our first ultrasound of our babe! The little black dot in the white space on the left. I was on 5w3d. I go back next Tuesday so I'll be 6w4d and hopefully we'll get to see/hear the heartbeat then!
Am I the only one who's Dr does the 20 week ultrasound only? I'm always so sad I have to wait so long!
That's how mine is too and other ob/gyn Drs I have worked for .I wish I didn't have to have so many ultrasounds but due to problems with my last pregnancy I have to.
Appt was today and we saw a cute little bean with a HR of 160. My due date was moved back 4 days, boo, but so happy to see a heartbeat. Now at 7 weeks 2 days with a due date of 4/17/16
@abigi1022 and @jonesl12 - most doctors will at least offer a scan at around 12 weeks. A lot of people associate it as a "downs syndrome exam" and elect not to have it, but I would personally get it no matter what your choice would be, because it can tell you a lot of other things too that may be important at birth, and you get to see the baby! LOL.
ETA: I would question doctors that don't offer the 12 week exam as protocol. They can leave it as an option for patients but I would be really surprised and change practices if my doctor didn't offer it.
First BFP 12/2012, MMC at 9 weeks
Second BFP 6/2013, resulted in DS, born 2/23/14 :-)
Third BFP 5/2015, natural MC at 6 weeks
Fourth BFP 8/2015, hoping for sticky little brother or sister to H!
Proud SAHM to our little monkey H.
Pro Vax, extended breasftfeeder, ring sling and stroller loving mama. I don't judge you unless you don't vaccinate!
Had my second ultrasound today. Measuring 9w+2d. Baby was moving around so much! Looked like it was doing the robot It was my husband's first time seeing and hearing the heartbeat (167). Feeling so relieved since my morning sickness had really gotten better and I was getting worried..
Went back for our second u/s and heard an amazing little heartbeat of 144! Back to our original due date 4/15. (Last u/s they put us at 4/21) Oh and he/she is hanging out upside down lol
Re: Ultrasound thread!!
I love seeing all the pictures, but internet safety is real and important.
LFAF April Siggy: TV/Movie BFFs
BFP #4 1/2016, DD born 10/2016