April 2016 Moms

Ultrasound thread!!

1457910

Re: Ultrasound thread!!

  • BKNJN said:

    Here we are!!! I've been so excited to post this. My rainbow baby at 8w2d. Measured exactly as we thought with 165bpm. Baby looks a bit like a Lego character so I'm picturing "everything is awesome" playing on repeat as baby grows!!! Due April 13!

    I have the same due date :)
  • Loading the player...
  • Mine too, so unfair!!
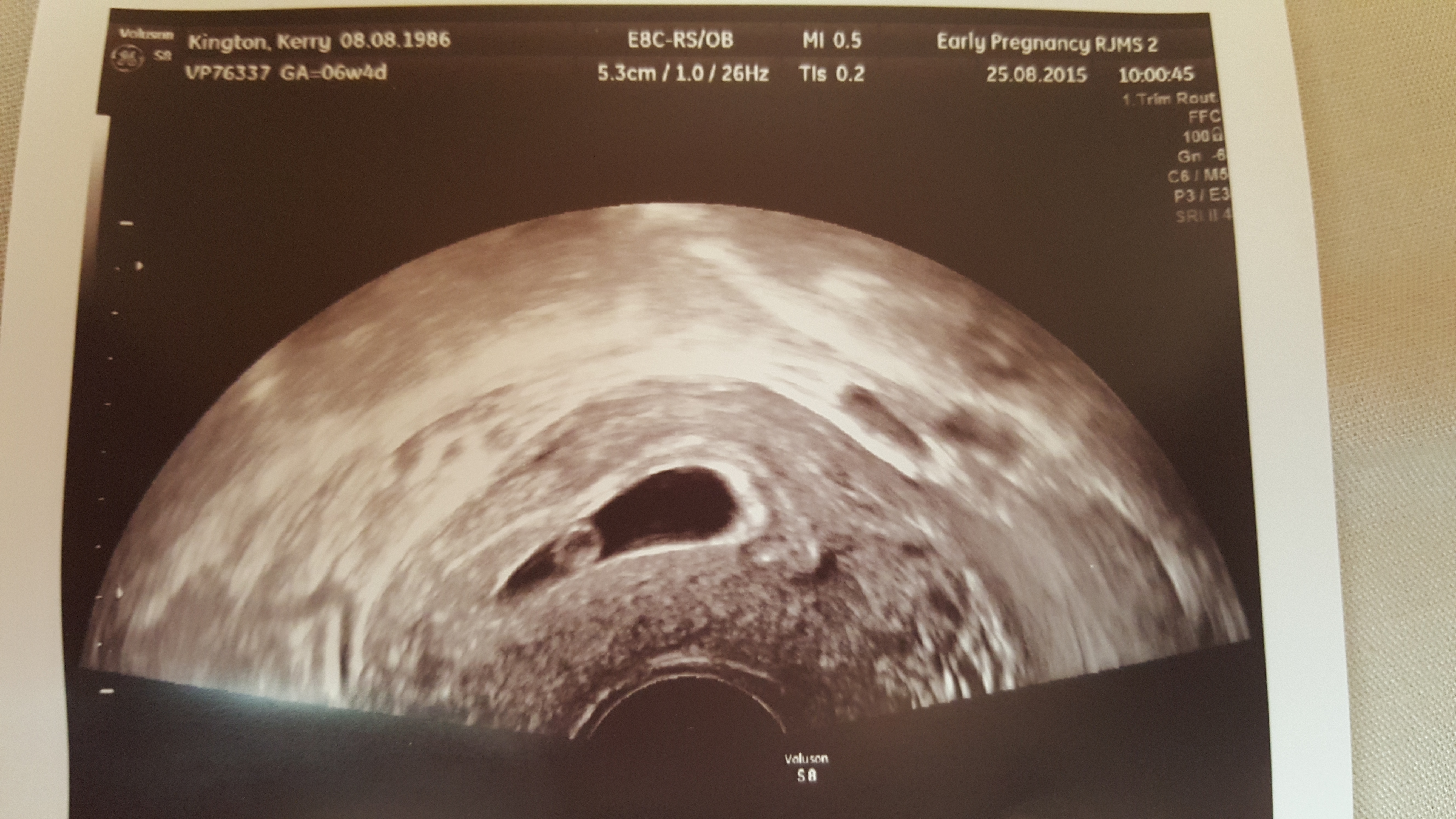
  • My doc told me today I'm 10w6d I thought I was 10w2d the ultrasound pic is not too good my boyfriend had to take the pic on his cell phone because the machine was from 1800 we also listened to the heartbeat which is not in the 150s!

  • I'm on the late April club but excited ! Heart beat 107 at 5w6d
  • I just had my first ultra sound yesterday and I got to hear my baby's heartbeat! I'm 7 weeks 1 day and heartbeat was at 140. Is there any truth to the heart beat telling you the gender?
  • Yay I can put one here! I had my ultrasound yesterday. I measured 7w4d and the heartbeat was 162! Here's a pic of my little bean!
    Baby Birthday Ticker Ticker

    It's a boy! Grow baby, grow! EDD: 4/22/2016

    Lilypie Third Birthday tickers

  • First ultrasound today, measuring 6wks 4days just as we thought! Seeing that flicker of a heartbeat was such an incredible moment. Still on cloud 9! Congrats to everyone! !
  • 7.5 weeks! The next is at 12 weeks.
  • I went to my second appt today! Our pod is measured normal at 6weeks and 5days (+/-2 days) with a heartbeat of 132bpm, and doc says I'm in good shape too! Phew.
    We are very happy. Hoping our next appt is also full of great news like today.
  • Our almost-7week pod!
  • We saw our little peanut!! We thought we were 6w6d but we measured 7w1d with a heartbeat of 131!!! We are so excited!!!
  • Same thing happened to me. My first US dated me 8w1d, thought I was 10 w. It stinks but as long as the bean is healthy I'm ok with it.
  • Me too! 4/13 ☺️
  • I can finally join the club! We were finally able to see and hear our little one today. We're measuring 10w, like we thought. Super relieved that all is well!
  • I have another ultrasound picture to share! Last time we were around 7 weeks, here I'm 8w6d!!! It was a crappy old machine, but she guessed the heartbeat was about 160 and we got to hear it again!!! So so so happy! For all you ladies that have symptoms that come and go, here's some hope for you because everything was fine even though my nausea and sore boobs have mostly stopped. Good luck!!!
  • Our little gummy bear today at 9w2d with a heart rate of 172 :)
  • We saw our little babe again on Tuesday! I was 6w4d and and measuring 6w1d. We got to see the heartbeat too! FHB 127! We are beyond excited! We're high risk until I get released to my regular ob so I have a few more appts before I leave my RE. So we have another ultrasound next week and we'll hopefully hear the babies heartbeat. :D
  • Saw our blob for the 3rd time today, at 8w6d. Measuring right on target and hb of 173. Teared up again as per usual, ha!
    image
  • I'm 10 weeks today. My due date is April 7th. This picture is actually from my second ultrasound that I got yesterday. I got my first one done at 7 weeks and 5 days due to some minor bleeding which they determined was from a small blood blister in my uterus. As of yesterday we got the good news that the blood blister has shrunk dramatically! So now my appointments will continue on as normal. The baby's heartbeat was 156 at my first appointment and yesterday it was 175. I'm not sure I can accurately describe how happy I was to see my little baby moving around on the screen yesterday! It's truly something magical.
  • We had our second ultrasound yesterday and got to hear the little heartbeat. It was so incredible!!!! Definitely made everything feel real. Especially after our miscarriage in April. Our friend pointed out he or she looks like a little yoshi :) the nerd in me loves it!
  • We had our second ultrasound yesterday and got to hear the little heartbeat. It was so incredible!!!! Definitely made everything feel real. Especially after our miscarriage in April. Our friend pointed out he or she looks like a little yoshi :) the nerd in me loves it!
    Super Yoshi indeed!!! <3
  • I am 7 weeks today and after doing 9 tests I think it is sinking in. :) I've had 2 losses in the past and also my gorgeous 5 year old boy in-between. Worried because it's been so long since I had a successful pregnancy so I have booked a scan for this Friday coming. Has anyone else had one at 7 weeks 5 days and what could you see? Want to know what I can expect lol x
  • I have had two one at 6 weeks and one at 8 weeks there is such a difference!
  • 1st u/s 8wks 6ds 180bpm I'm super excited this is my 1st baby can't wait to watch it grow
  • 9 weeks 6 days, still waiting to tell or families is going to make me crazy. Here's our very first little one.
  • I was 9W 6d during this ultra sound... Now I'm 10w and 3d
  • 8 weeks. :) the little bean is hanging out upside down. Monkey? Hehe.
  • I love seeing the US pics. Makes me feel positive. Im going for my US on Friday, wen Im 8 weeks. Feeling a bit anxious bcoz I had a miscarriage last year Aug.
  • Sending you good vibes @MissJohnson27 - look forward to your next sonogram :)
  • I can't play until I'm 12 weeks on the 6 th of October :(
  • @kimmecakes I feel your pain I get my u/s this Thursday at 11+6 and the wait is killing me! If I didn't have wonky cycles I'd have to wait another 8 weeks!! This is a dating u/s so I could be 13/14 weeks or 11. It'll be fun to see where my due date lands.
  • Another friendly reminder to edit your personal information out of your ultrasounds, mamas!!

    LFAF April Siggy: TV/Movie BFFs








    BFP #1 12/2012, DS born 8/2013
    BFP #2 7/2015, MMC and D&C 9/2015
    BFP #3 11/2015, CP
    BFP #4 1/2016, DD born 10/2016




  • Love seeing all of these posts! My first u/s isn't until 9/21, and I'll be 9+3.
    Pregnancy Ticker
    EDD - April 22, 2016
Sign In or Register to comment.
Choose Another Board
Search Boards
"
"