I went in yesterday for another appointment and they told me since I already had an US there's no need to have another one until 20 weeks even tho I was told I would have another one so I could see my baby! So I have taken it upon myself to find a place that does elective scans purely to make the parents happy! So I will drive 3 hours to Louisiana in 5 weeks to see our cotton ball . Anyone else hate their hospital or am I alone here?!
Had another u/s done yesterday due to some bleeding during sex. Baby is great and right on schedule 7 weeks 2 days...can't wait for my next one on the 29th!!
I'm new to this site... How do I post in this forum? I wanted to share mine... I found out I was pg in Feb and I'm dying for an u/s. Not sure if the doc will give me one yet. I'm so snxious to find out how far along I am
Omg seriously excited my first ultrasound is in 3 hours!!!! Question tho... how do I upload my pic? Do I havta be on desktop not mobile? I've tried changing my profile pic on here but it just goes bk to generic one
Here is our second ultrasound! 8w0d to check on twins. Unfortunately we lost our second baby. On a good note, we have one strong healthy baby with a heartbeat of 178!!
I was so excited when I went to my first appointment on Tuesday and found out that my OB now does US between 8-10 week mark. I am scheduled for my US next week; should be 9w2d. Can't wait to see our little peanut!
This was taken at exactly 8 weeks! Which was April 7th. I was so happy to see a little baby because when my pregnancy first started we thought I was farther along than I was so when I got an ultrasound it was just a sac which was very scary at the time.
I had my first ultrasound on Wednesday when I was 9w6d. Baby was measuring at 10w3d. This picture isn't very clear because it's a picture of a picture.
Our 10 week scan that we had this last Tuesday 4/7. Baby measured 10w5d with a heartbeat of 160 bpm. It was a great day for husband and I, not to mention how adorable those little wiggle wiggles were. omgosh, just melted my heart. I am so in love
ssc831 I was scared also. But a lot of websites say that the first trimester most women don't believe anything is there. I saw my baby and heard the heart beat at 7 weeks and It's still hard for me to believe.
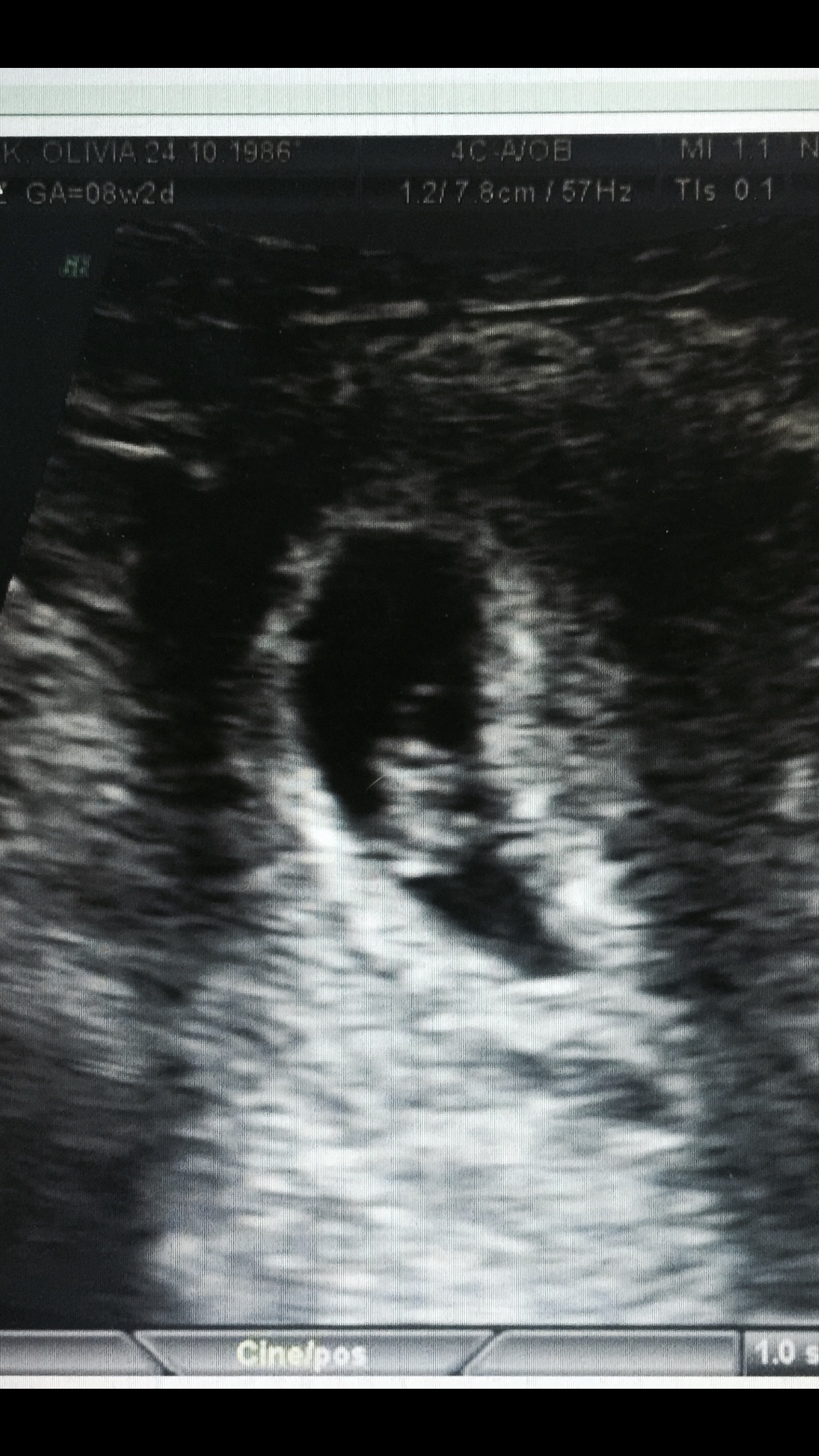
Im so excited to finally post my first ultra sound. Measuring at 8 weeks 2 days ( 4 days earlier than we thought) and having a heartbeat of 168, everything is looking awesome! And our little blob is thriving!
heres my new one on the left... and compared to my daughter who is now 2.5 yo on the right... im trying to use the Ramzi method to figure out gender now...
Warning
No formatter is installed for the format bbhtml
Re: Show me those ultrasound pics!