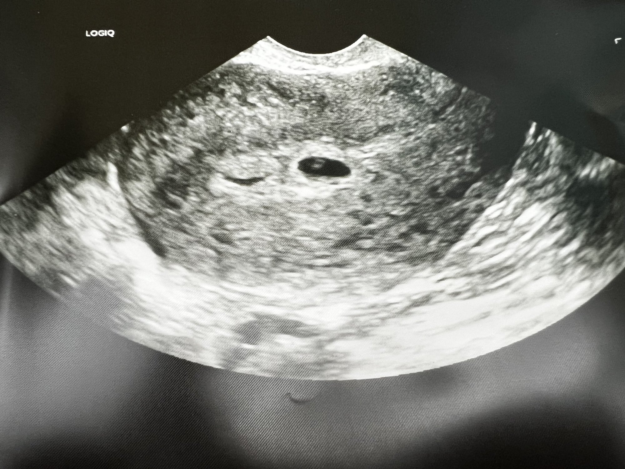
We had an early viability ultrasound due to previous complications. Not much to see at 5 weeks 2 days but everything that they should be able to see is there! Gestational sac and tiny little yolk sac. ❤️
Super frustrated. I went into my first OB appointment to realize that they don’t do ultrasounds in the office and I needed to schedule one at our advance radiology. I had an appointment for tomorrow and they just canceled on me. 😭 I’ve been so anxious to see the ultrasound.
@knottie90af72ff37d47f3c The office I was going said they won’t do any ultrasounds before 20 weeks unless they determine you are high risk… I’m looking for a new doctor because I find that unacceptable. I’ve also been hearing horror stories of people who should have been high risk but were missed by this practice until the 20 week ultrasound bc they didn’t do normal monitoring properly…
Me: 33 | DH: 34 Married: October, 19, 2015 EDD 2/22/17 DS1 born on 3/2/17 EDD 3/8/20 DS2 born on 3/10/20 EDD 11/24/23 (Formerly Marriedhamstermom Feb ‘17)
Yeah, i was super disappointed at my first OB appointment. They gave me an order to go to a radiology place to get my first ultrasound (that’s who canceled on me tomorrow) then at 12 weeks, I have an ultrasound at their MFM. So I am getting ultrasounds but just not in the actual office.
I have had three early miscarriages and at least two were blighted ovums so I was not expecting a positive test and DEFINITELY wasn’t expecting to see a heartbeat but here we are holding strong at 6 weeks 2 days!
Still early so with my history I’m not out of the woods but I have never seen a baby or heartbeat in my previous pregnancies, so I am very cautiously optimistic.
Got to see our little baby today! Measuring right on track, 7 weeks 1 day, and saw a beautiful little heartbeat of 144bpm! ❤️ I’m so relieved, we still have weeks to go to be out of the first trimester, but we never got to see the heartbeat with our previous loss.
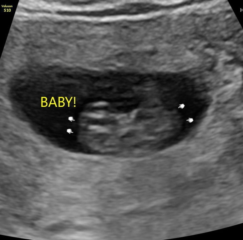
All went well for my first US. I was correct in thinking I ovulated a week early! I usually go for ultrasounds a little later, and I see a little gummy bear but had to go a bit early this time (7w) and got to see a little shrimp 🤪
Third kid: Due 11/6 Second kid: Dec 2021 First kid: Sept 2019
SAME! When our OB got taken over by a bigger hospital they stopped doing it. I was so upset. The initial appointment was a week out but luckily I called a different location and they have one tomorrow.
I’ve been sooo nervous! Just wanna hear a heart beat
It's really real. They adjusted my due date by 1 day so I guess I'm now 9 weeks on the dot and due 11/2. Strong heartbeat at 178 bpm. Had a fun appointment explaining to all the new doctors that this is my 4th total pregnancy (2 viable, 1 mc) and we already have 4 kids. It took them a minute. 🤣
My sweet little bean! Heartbeat 170. It was in 150s for my boy and 170s for my girl is this the same for anyone else? Curious how true the old wives tale is, or if it was just a coincidence for my 2.
Got to see little bb for the first time today and hear their heartbeat. That was sooo cool. I'm so glad they are doing well in there. Measuring right on target for a Nov 4th due date. Heartrate was 157bpm.
@ashsowers2020 I was definitely not expecting that today. This is my first time going to this OB office and they went above and beyond. It was such a great experience!
Had my first US at 5w2d as my obgyn was suspecting an ectopic pregnancy due my history of loss. Saw a gestational sac and yolk sac no fetal pole tough! I have my next US up at week 7. So nervous!
FTM and I just had my first ultrasound and baby’s heart rate is strong. When I was leaving with the photos, it was so heartwarming all these other couples were smiling at us at the office.
Anyone else measuring behind now or did in a previous pregnancy? Based on my LMP and conception date (which I’m certain of), I should have been 6w6d yesterday, but the ultrasound showed 5w4d. No heartbeat yet. They did blood work to check progesterone, and if that’s low they’ll prescribe that to me. I checked my online labs, and it is low (9.86), but they haven’t called yet. Just wanted to ask about other’s experiences with this.
@alliegato920 I was (and still am) measuring behind. At our first ultrasound on March 28th I was 8 weeks 2 days from LMP and there were 2 sacs measuring at 6 weeks and the other at 5 weeks, 3 days. We went back for another ultrasound on Monday the 10th and the sacs both grew (one by 6 days and the other by 1 day) we couldn’t get heartbeats on either one. I’ve been having blood work throughout this time to monitor my HCG levels and they are rising. I have more blood work on Monday to see where they are at. Things seem pretty uncertain and I’m prepared for the worst and hoping for the best.
No pics because I can't do the bump on mobile but I got to see my little seahorse looking thing today. Measuring right on track at 7 weeks 1 day and a healthy heartbeat What are RELIEF
@alliegato920 my last pregnancy at the first ultrasound I was measuring a week behind (I was very sure of conception date). My doctor said she wasn’t concerned at that point because lots of things can happen to affect actual implantation dates. She had me come back two weeks later and said if baby was growing appropriately but still a week behind, she would change the due date. The concern wasn’t being behind, it would just be if the growth wasn’t on track. So hopefully you can go back soon and see appropriate growth. I know it’s so nerve wracking. Good luck!
I had my first appointment today! Didn’t realize this satellite office didn’t have anything but a portable type ultrasound thing, the doc said we wouldn’t see anything with it so early but - WE SEEN THE LITTLE NUGGET! I forgot to get a picture - but it was real y’all! More legit appointment at the hospital on 5/16 at 12.5 weeks… also - they poked me with the needle and I did not die. Cried a bit - but still alive so that’s a plus!
Re: Ultrasound Thread
Married: October, 19, 2015
EDD 2/22/17
EDD 3/8/20
EDD 11/24/23
(Formerly Marriedhamstermom Feb ‘17)
Crazy to see how big my uterus is in comparison lol.
Second kid: Dec 2021
First kid: Sept 2019
but the same was to my OB not doing ultrasounds in office -_-
Second kid: Dec 2021
First kid: Sept 2019
FTM and I just had my first ultrasound and baby’s heart rate is strong. When I was leaving with the photos, it was so heartwarming all these other couples were smiling at us at the office.
Honestly made me so emotional.