Had my anatomy scan today. She's measuring a little on the small side, 9 oz at 19w 5 d, which they said is in the 12th percentile, but otherwise she's doing great!
Baby H at my 18w U/S yesterday... After over an hour of looking and measuring and not being able to see the sex due to LO keeping the legs crossed, I was told to empty my bladder and we would try again. LO not only uncrossed it's legs, but completely flipped over... It's a Girl!
Can't believe I have a living breathing tiny human being inside of me! Baby was swallowing and putting hands on head. I also measured a week ahead! I also think I accidentally saw a penis when we are supposed to be team green! I am so excited!
I gave his DH part of his bday present - a trip to the 3D & 4D scan and we were able to see features of our little love. She, so far, is looking more like her momma.
Our sweet boy taken at 26wks! Due September 10th. Weighing 1.78lb, HR at 140bpm. This is our 1st baby, so we are more than anxious to meet him now that we have a name with a face!
Baby girl at 27.3. She kept her hands and feet in front of her face the whole time, we even saw her sucking on her toe. Can't wait to meet this little one!
Re: Ultrasound pictures!!
Our precious baby girl at 12 wks. Heartbeat 165 bpm
My beautiful baby boy at 17 weeks! :-)
Evelyn (3.24.10), Graham (5.30.13) & Miles (8.28.16)
Baby H at my 18w U/S yesterday... After over an hour of looking and measuring and not being able to see the sex due to LO keeping the legs crossed, I was told to empty my bladder and we would try again. LO not only uncrossed it's legs, but completely flipped over... It's a Girl!
BFP #1 5/5/13 MC confirmed 5/9/13
BFP #5 5/16/18 EDD 1/29/19
DS1 -- 9/30/2016
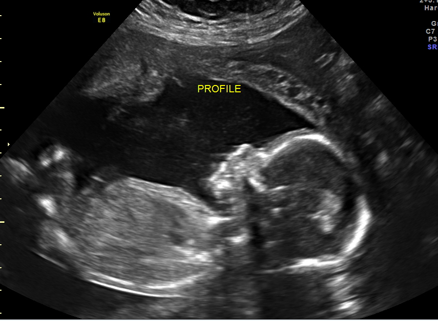
20w3d
November Siggy Challenge: Selfie Fails
Hidden for the sake of your eyes!
L
Sorry if giant. 3D ultrasounds are a bit weird but it was so cool to see his face. He has my lips for sure and his daddy's nose. Taken at 25w3d
First time mom to a human but have been a puppy mamma for over 12 years
she looks so content, almost like she's smiling