I won't be getting an ultrasound until week 20, but I will be 12 weeks along this Friday and last night we got to hear and record baby's heartbeat at 170 bpm! Most incredible experience of my life thus far! Congrats, ladies!
This will be my 3rd child. Got to see my baby via handheld ultrasound! They didn't have this when I was pregnant with my first back in 2010. Due 09/30 and super excited!
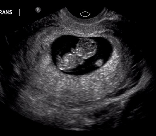
Our little baby!! 12 weeks 4 days and actually looking like a baby now it was so fun getting to watch it move around! This is my first pregnancy and due date is September 3rd!
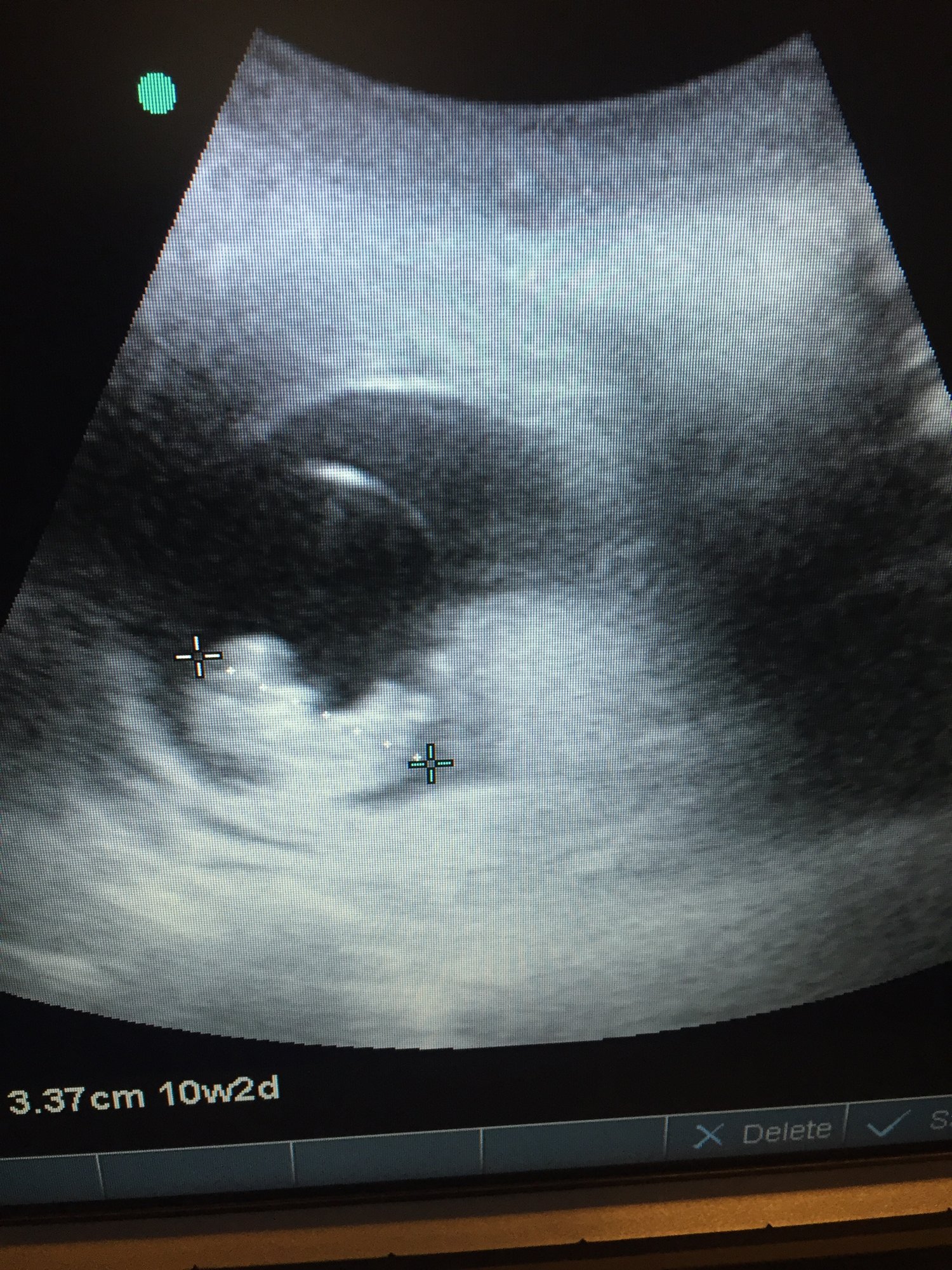
Finally! Met our rainbow baby yesterday, measuring spot on at 10w+1 and heartbeat at about 150/min. LO had the sweetest hiccups that we could see on the u/s, I'm in love!
had my 12 week appointment yesterday! baby was moving around so much that it was difficult to get a heartbeat. and then it just showed us it's back side, so no crotch shots to possibly see gender but look at that cute little tooshy!!
@superfudge00 So glad to see you back here! How exciting!
This is our little one looking more and more like a baby every day. Baby was facing the transducer and covering her face so we got some pics of her little hands and saw her cute face on the US! ETA: This was at 11w6d, baby measuring 12w3d.
@erinmarie86- at our 20 week ultrasound last time my little guy had his spine up and did not want to give up any good shots - hard to see his face and had has hands over his genitals for 90% of the appointment. We got 1 shot that was clear enough to decide boy (though I was still nervous to say so definitively). The US tech said "If they already have their hands down there.. it's safe to say it's a boy!!"
Hope your little one is a better poser down the road!
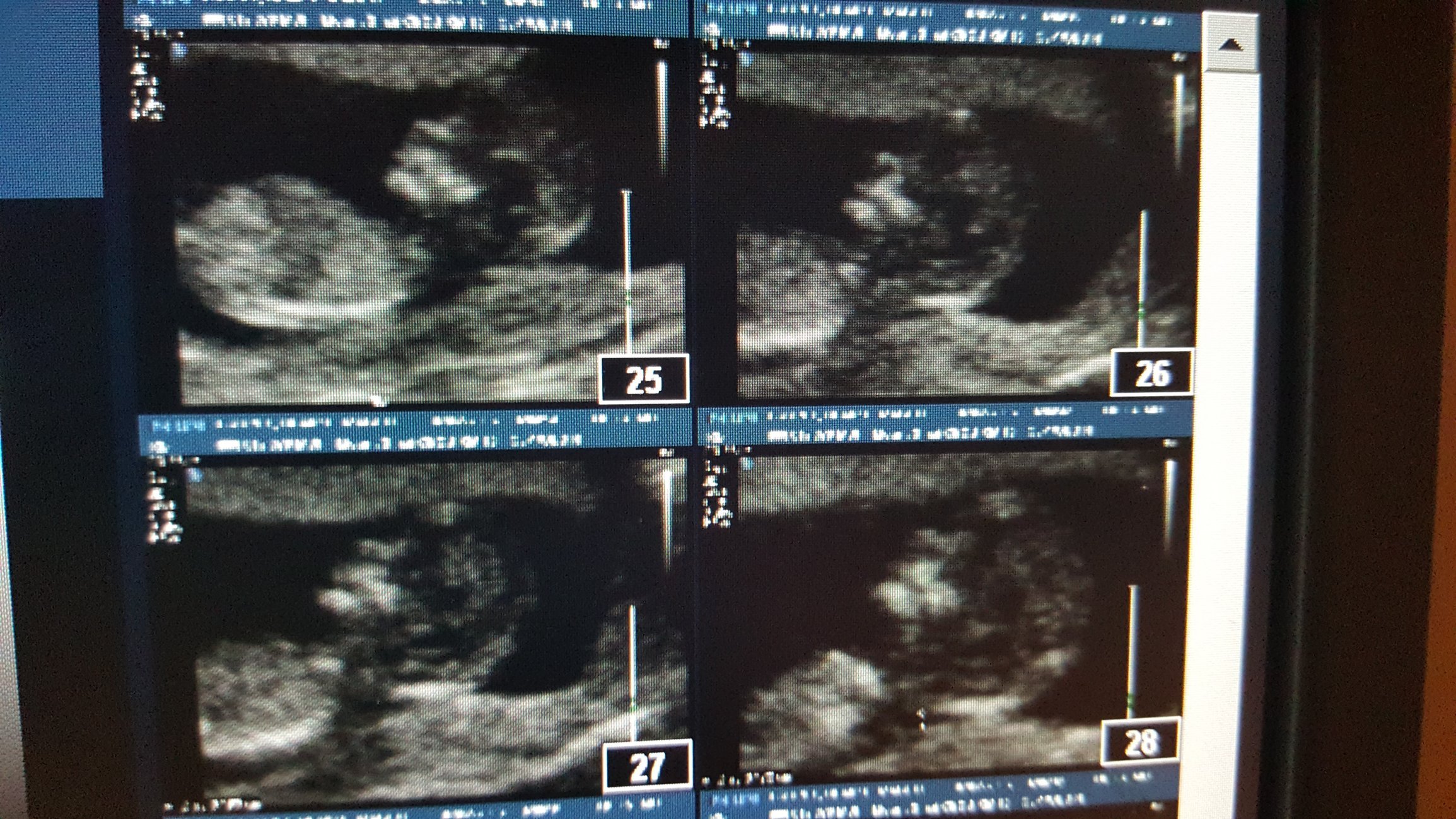
12w on the dot HR 167. Little stinker wouldn't sit still so the U/S took over an hour for the NT, and they ended up going from the external to internal U/S. Hey, you won't see me complaining that I got to watch the baby wiggle around for over an hour! Sorry the pics are so huge- I snapped a pic with my phone after cropping out my info
First transabdominal ultrasound. Supposedly 10 weeks but the nurse (not a certified sonographer) said LO measures for 9 weeks and she was unable to find baby B
15 week elective sono to find out the sex (it's a boy!!) he wouldn't hold still for any clear pics, but I liked this one as he looks like he is posing for an 80s glamour shot with his fist at his chin
My hubby and me both think we see a little boy part between the legs, our us tech wouldn't say anything other than its too soon (12 weeks) HELP! Do you think it's a boy??? lol
Re: Ultrasound pictures!!
12 weeks and 2 days. HR 161
Finally! Met our rainbow baby yesterday, measuring spot on at 10w+1 and heartbeat at about 150/min. LO had the sweetest hiccups that we could see on the u/s, I'm in love!
TTC since 7/2015
BFP 12/24/2015 Miscarriage 3/4/2015 at 14 weeks
Baby Girl BFP 9/10/2016 EDD 5/23/17
@superfudge00 So glad to see you back here! How exciting!
This is our little one looking more and more like a baby every day. Baby was facing the transducer and covering her face so we got some pics of her little hands and saw her cute face on the US! ETA: This was at 11w6d, baby measuring 12w3d.
Lmp says I'm 10 weeks 2 days! Waiting to see what my midwife says it actually is
Hope your little one is a better poser down the road!
First appt with our midwife. 10w2d. Tracking exactly where we thought we were. When the image came up our three year old said, "it's a baby!"
11w6d heart rate is 167 and we are in love!!! "She" (thinking pink) was moving around like crazy!!
Sorry the pics are so huge- I snapped a pic with my phone after cropping out my info
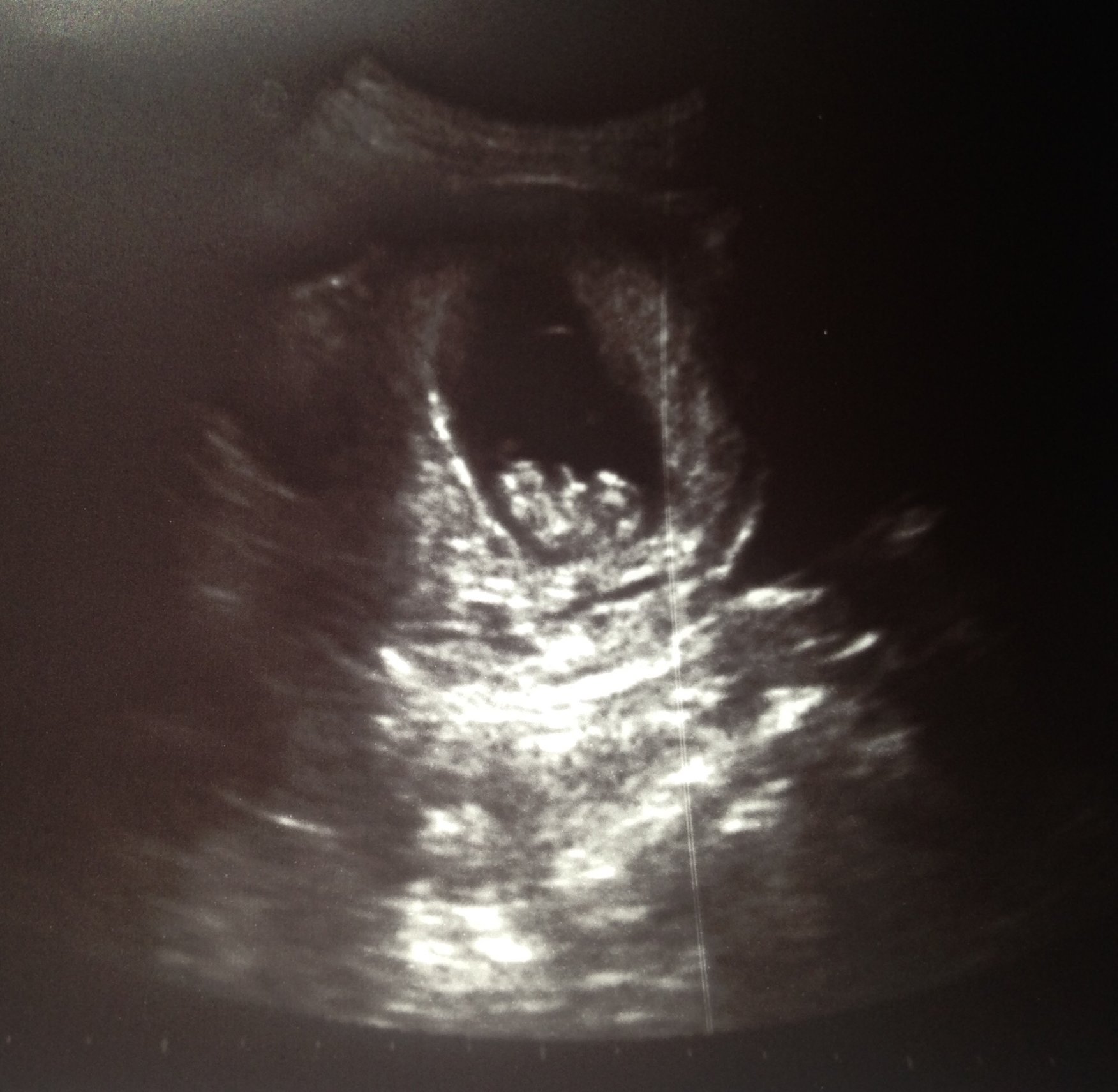
I was 10w4d and measured 10w6d. This was done abdominally. We saw the LO wiggling around a bit. I think you can see the foot and toes but am unsure.
12 weeks here!
and 14 here!
Any Gender guesses???
11 weeks 3 days, look at that precious face!!!!
Edd changed to 9.23 from 9.28. So glad the NT scan came back normal.