How are you feeling? sick in the morning, tired in the afternoon, icky in the evening
Doing anything baby related today? Browsing some of the magazines I got in my goody bag at the doc yesterday. They kind of suck, and all seem like they are just pushing over priced baby products/maternity clothes. $150 for a dress? In what universe?? We can't all be Kate Middleton, people.
R/R/R? Just excited for the weekend when I don't have to do things except keep my toddler alive and entertained.
Questions? *TMI alert*Anyone else getting constipated from unisom?
GTKY: What was the last movie you watched and how would you rate it? "The Hateful Eight". I love Tarantino, but this one was too much for me. The most violent of his films that I've ever seen. The whole thing was just blood, death, and more blood. There was a little bit of good, witty dialogue in there, but some of it came across trying too hard. Also only one female character makes me sad. Not his best.
ETA: We went to see "The Big Short" also, and it was incredible. 9/10
How far along are you? 6weeks+, EDD around 9/6 for now
How are you feeling? Good overall. Still have a head cold kicking around (along with my husband and 1 year old), get super exhausted by the afternoon but pick up the energy (or at least pretend to) from 4-7:30 until my little guy goes to bed, then I'm pretty useless on the couch until bed at 10.
Doing anything baby related today? Nope, just creeping around on here
R/R/R? My MIL is coming over on Sunday night. I can't stand her. Prepare for rants.
Questions?
GTKY: What was the last movie you watched and how would you rate it? The Spectacular Now? Or Pitch Perfect 2? I can't quite remember... haven't been to the theater since Trainwreck. I think it was Pitch Perfect 2, which was entertaining but I didn't enjoy it nearly as much as the first (which I love). I've read The Martian and would really like to see that, along with a few movies that are still in theaters... if I can find a night my husband and I are both off maybe get my parents to babysit! Woopwoop!
How are you feeling? -Half way human after 3 days of barely being able to function. My dr upped my declegis.
Doing anything baby related today? -nope.
R/R/R? -My mom is coming up today (we live 2 hrs from my family) and is spending the weekend helping me out with my 4yr old and catching me up on house chores. She's the best.
Questions?
GTKY: What was the last movie you watched and how would you rate it? -I haven't watched an adult movie in a long time. The most recent watched is Meet the Robinsons. It's a cute movie.
How are you feeling? Still feeling good. Sore boobs occasionally.
Doing anything baby related today? bump
R/R/R? DH mentioned spontaneous date night tonight! So I'm excited to have that to look forward to now.
Questions?
GTKY: What was the last movie you watched and how would you rate it? Concussion with Will Smith. It was amazing! Smith was a great actor and portrayed his role beautifully, at points I forgot he was an actor and believed he was a Doctor from Africa. I'm really surprised he wasn't up for Best Actor for the Oscars. I highly recommend for anyone who loves sports, especially football. It's very eyeopening.
How are you feeling ? Yawning a ton at work, but still panicking that the nausea is coming soon !
Rants/raves : Celebrating my 30th in NYC tomorrow with great friends. Can't wait
Questions:
What is the last movie you've seen ? Sadly ninja turtles last summer. My husband and I used to be movie goers !! Like1-2 x a week before my son. I miss that dearly !
How are you feeling? I've been pretty queasy and tired and in a terrible horrible no good very mad mood these past few days. Week 6 has not been easy on me.
Doing anything baby related today? Going for my last beta hcg. Enough with the poking! And then to the chiropractor.
R/R/R? It's annoying not being able to tell people quite yet because I know it's for the best
Questions? Anyone else waiting to tell people (other than family) after the first trimester screenings?
GTKY: What was the last movie you watched and how would you rate it? We saw Creed in the theaters and I loved it!
@mom2adoodle- plan is to tell parents/my sister after we see a heartbeat on the US, so hopefully get a dating one around 8-10 weeks. Will wait until our following appointment at the end of the 1st tri to tell the rest of the world
How are you feeling? Pretty good overall. A bit of sore boob. I feel run down and want to crawl into bed earlier, but I don't actually fall asleep any earlier.
Doing anything baby related today? nope
R/R/R? ---
Questions? @mom2adoodle - We're waiting under after the first trimester screenings to tell most people. Family and my circle of close friends will find out after the u/s.
GTKY: What was the last movie you watched and how would you rate it? How terrible is it that I don't even know. I think the last movie I saw in theaters was Trainwreck? I don't make it to the theaters nearly as often as others; but we watch (and re-watch) a lot of movies at home.
@LakeR2014 - I'm glad Concussion is good. I really want to see it.
** December BMB Siggy Challenge - Animals in Pools **
Me: 31+ H: 32 TTC Since 11/2015 #1 - MMC 6.5 weeks (2/16); #2 - MC due to cystic hygroma at 20 weeks (10/16); #3 CP (2/17); #4 - Due 12.16.17
How are you feeling? Still tired, nauseous first thing in the mornings. I feel really hormonal, everything is making me want to cry.
Doing anything baby related today? Nope
R/R/R? My parents are coming over to watch DD tomorrow night so DH and I can go to his work party. 1) I am super frustrated with his work right now and want to protest by not going to the stupid party, but he really wants to go 2) We haven't told my parents yet that we're expecting #2, so I'm going to have to scour the house for clues and bury everything in the basement because I feel like my mom will do a cursory snoop (not to be nosy, but looking for food, or a blanket etc). But, I did meet with my OB yesterday for my first intro meeting and I forgot how much I love him! So, yay for that
Questions?
GTKY: What was the last movie you watched and how would you rate it? DH and I went and saw Star Wars a couple of weeks ago and I really enjoyed it. I am almost positive it was the first movie I've seen in theaters since Avatar.
How far along are you? 7 weeks! We've upgraded to blueberry!
How are you feeling? Tired and nauseous. I went to target yesterday and bought gingerale, ginger tea, gingersnaps, crackers and sweat pants. I want to hide and eat ginger until 2nd trimester!!
Doing anything baby related today? just hanging around the house with DS
R/R/R? My bday was yesterday and I spent the majority of the day laying in bed wiling myself to do something and not vom. That prompted the target trip, then right back to the couch! Not a very exciting bday!
Questions? Any tips for keeping up your energy w/o caffeine?
GTKY:What was the last movie you watched and how would you rate it? Ha! The only movies I watch now are cartoons. I saw Dispicable Me for the first time a few weeks ago with DS and it was quite cute Totally understand the minion craze now I give it a 10
GTKY: What was the last movie you watched and how would you rate it? I can't think of the last movie I watched! Maybe Jenny's Wedding. It was really sloooooooooow, but I watched the whole thing, so 2/10 stars.
How are you feeling? Pretty good. Just some fatigue here and there.
Doing anything baby related today? Nope.
R/R/R? Nothing fun or interesting going on today. Crazy busy at work and I just want to go home and sleep.
GTKY: What was the last movie you watched and how would you rate it? The Big Short. It was a good movie but it was depressing.
Married 9/19/09 Me (32) Dx PCOS, DH (32) SA = Normal/mild morph issues TTC#5 July 2017 - 3rd cycle TTC = BFP on 11/12/17 at 9dpo Beta #1 = 96 at 13dpo - Beta #2 = 207 at 15dpo
TTC#1 starting Nov. 2009 3 rounds of Clomid + TI and 3 rounds of 7.5 mg Femara + IUI before our BFP on 11/8/10 at 12dpiui TTC #2 3rd cycle of Femara 7.5mg+Ovidrel+TI = 4 follies = BFP on 10/12/12 TTC#3 July 2014 - Metformin +TI = BFP at 9dpo - Twins, one baby lost at 5.5 weeks Macy Annabelle born at 37w4d on 4/29/15. Diagnosed with Cri du Chat and passed away on 6/6/15. Forever in our hearts. TTC#4 3rd cycle of Metformin + Femara 7.5mg+Ovidrel+TI = 3 follies = BFP on 12/24/16
GTKY: What was the last movie you watched and how would you rate it? I can't think of the last movie I watched! Maybe Jenny's Wedding. It was really sloooooooooow, but I watched the whole thing, so 2/10 stars.
How are you feeling? Nausea, super sore boobs and tiredness.....apparently the new norm for so many of us.
Doing anything baby related today? I'm trying to think of cute ways to tell our parents if it is twins. Our US is Thursday. Ideas welcome
R/R/R? Rave: I caved and bought a Bella Band to help with the bloating / work pant combo. It is a lifesaver. So much more comfortable!
Rant: I have an older brother who I'm not super close to, but my mom told him that we are pregnant. He called to congratulate us, that's all fine. But then I got a text from his GF (I've met her for the first time last Christmas when they were visiting my parents for about a week, and I had to grit my teeth not to cause a scene with all of her craziness) how excited she is to be an Auntie. Ummmmmm no. I'm so glad they live far away so that I don't have to deal with her on a daily basis. I should have known, she was incessantly referring to my parents as Mom and Dad from the first moment she arrived. LOL my DH doesn't even call them mom and dad and he's been in our family for almost 10 years.
Questions? nothing that I can think of
GTKY: What was the last movie you watched and how would you rate it? Theater- James Bond, it was ok, just typical James Bond.
Married since 9/2014 TTC since 7/2015 BFP 12/24/2015 Miscarriage 3/4/2015 at 14 weeks Baby Girl BFP 9/10/2016 EDD 5/23/17
How are you feeling? So sleepy today, but I also didn't go to bed until after 11 and woke up at 4:30.
Doing anything baby related today? Nope
R/R/R? DS peed the bed, my babysitter was stuck in Chicago, and I was on the road for 1.5 hours today to get to work. Give me some chocolate.
Questions? Anyone tell their sitter yet about new baby?
GTKY: What was the last movie you watched and how would you rate it? The last movie I actually watched was The Minions since I have a 4 and 3 year old, but a couple weeks ago DH and I actually stayed up long enough to watch Southpaw together. I liked it and DH did not. He thought it was too emotional.
@JasonKristenWe have not told our daycare that we are expecting yet but will probably do so soon. It is a small in-home daycare so she has limited infant spots. She is holding one for us as she knew we were trying so I'm not worried about not having a spot for baby #2. But I do want to tell her sooner rather than later because her holding that spot for us is losing her money and I want to let her know it hopefully won't be for too much longer. My thought was to wait until after our ultrasound next week. I should be around 8 weeks by then and, if everything looks good on u/s, I'd like to let her know.
Better today! Not actually better, but better able to cope. This is the first day all week that I haven't felt incredibly sorry for myself and wondered how the hell I will survive the next 10 weeks. So yay! Happy Friday!!
Doing anything baby related today?
Nope
R/R/R?
I'm wearing maternity pants at work today It's Friday so we dress down and none of my jeans fit. So I'm wearing maternity jeans because of bloat.
Questions?
None
GTKY: What was the last movie you watched and how would you rate it?
We just re-watched the first and second Matrix movies for fun. The first one is still awesome and I'm totally impressed by how well it aged. The special effects still look great. the second one was awful. I'd forgotten how awful it was.
@JasonKristen We have private babysitter for our son and we have not told her yet. We have a lot of friends in common so I will be telling her right before I start telling friends. Because we do pay her to watch our son, I want her to find out from me and not someone else, but that's the only reason we will be telling her so early. I don't think you have any obligation to tell them early. You'll be showing long before the baby is born and I think 2-3 months is reasonable notice for them to find a new child to fill the space. Don't feel pressured!
@JennM624 and @0SeaMonkey0 we also go to a small in-home daycare and she is holding a spot for us so she knew we were trying. I kind of want to tell her right away because my friend has a 15 month who will be starting soon and she said he will start going full-time in summer is pregnant with her second and due in July. I don't know if she plans on taking the baby there too so I would like to give my sitter an early heads up. If I wait until my first appointment with my OB it won't be until March that she knows.
ETA: Daycare is very slim around my parts so getting in is hard!
How are you feeling? Good, just tired. Like I had to struggle to get out of bed tired. It's killing me that my only real symptoms are sore boobs, increased urination and fatigue. I know everyone and every pregnancy is different, I just think back on when I had my girls and I was always sick. If it wasn't a migraine, it was horrible morning sickness. Of course, my PGAL brain believes something is going wrong.
Doing anything baby related today? Nope
R/R/R? We are getting ready to spend the weekend downtown. My daughter really wanted to stay in a hotel for her birthday. To us, it was way easier going to a hotel then throwing a family birthday party. I'm really looking forward to it...once I get through packing, that is.
Questions? I had one last night and now I can't remember it for the life of me.
GTKY: What was the last movie you watched and how would you rate it? I hardly ever watch movies. On New Years Day, I watched Jurassic World with my husband. I thought it was ok. I thought the acting was cheesy and it was predictable. I'm no movie expert though.
How are you feeling? Meh. Sorta tired. My boobs sorta hurt. I'm kinda feeling nauseous. Just overall meh.
Doing anything baby related today? just bumpin' again.
R/R/R? Not much exciting is happening so no r/r/r. Ugh we're boring people.
Questions? Nope.
GTKY: What was the last movie you watched and how would you rate it? Star Wars: The Force Awakens. Amazing! It's what The Phantom Menace should have been. A great re-boot to the series! But I shall give away no more spoilers to those who haven't seen it!
How far along are you? 6w today! (Joined the BMB today, we found out Christmas morning but I was scared after a loss and was just lurking)
How are you feeling? Yucky. Nausea kicked in just before 5w and I've thrown up yesterday and today. My boobs are killing me, I'm sooo tired, gassy, bloated and get headaches off and on throughout the day. All the things.
Doing anything baby related today? Went to our second ultrasound this morning! I had the first due to some spotting and my doctor wanted me to go back to put my PGAL mind at ease. Love him! Heartbeat was strong and we're already head over heels in love with baby!
R/R/R? I hate feeling sick but I love it because it gives my PGAL brain reassurance (crazy but yeah). I was bummed this morning because I didn't feel nauseous when I woke up but ended up having to stop at a Starbucks on the way to the doctor's to throw up. Classy, I know -.-
Questions? Not today.
GTKY: What was the last movie you watched and how would you rate it? Can't remember! I think last time I went to the movies was to see Inside Out.
How far along are you? According to LMP 6+4 according to US 6+0
How are you feeling? Physically I'm feeling tired and the nausea comes and goes. My boobs hurt and I'm getting heartburn again. Mentally, I'm feeling better today now that I've seen my baby.
Doing anything baby related today? Just taking it easy now. Had an ultrasound this morning.
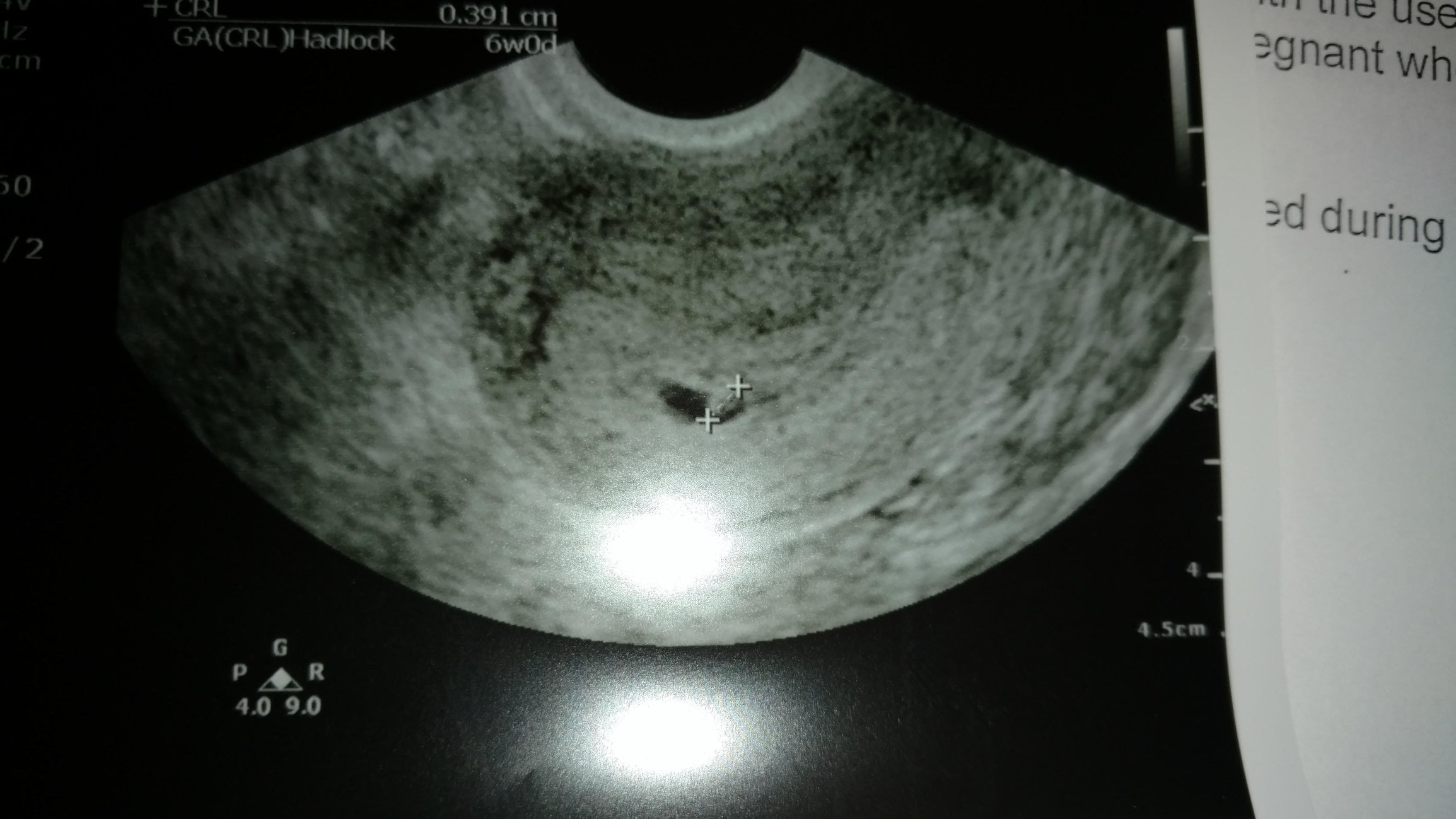
R/R/R? It was amazing to see my little baby on the ultrasound even tho there wasn't much to see. I am still very nervous but I feel comfortable enough now to start using our nn for baby. "Pez" is measuring 6w0d today and has a heartbeat pumping away at 116bpm. The nurse didn't seem the least bit concerned about Pez measuring a little small so I'm not going to dwell on it. We have another scan in about 2 weeks (Feb 2) and will actually see the RE that day too. She didn't say if we were adjusting our edd so I'm going to just wait for the next scan to figure that out.
Questions? Not today.
GTKY: What was the last movie you watched and how would you rate it? I was sad about David Bowie so I watched The Labyrinth Wednesday night. Still one of my all time favorite movies.
How are you feeling? Hungry. Had some very lightly brown tinted CM. I know it's likely nothing and I have an appointment next Thursday, so I'm going to try to keep my ish together 'til then.
Doing anything baby related today? Finally got my records faxed from Planned Parenthood to my new OB.
R/R/R? In my FFFC I mentioned that I had purchased a box of Clearblue digis with weeks predictor. Those birches are $10 each and one was a dud. Womp womp.
Questions?
GTKY: What was the last movie you watched and how would you rate it? I watched 'The Intern' on our plane back from Europe. I have a really inappropriate crush on Robert De Niro, so 10/10!
FKA alicedavid2013
Me: 30 & DH: 37
Married: September 2013 TTC #1 since September 2015 BFP 1/8/16 - MC 1/20/16
How are you feeling? Good right now but nauseous in the mornings and evenings so guessing it's coming
Doing anything baby related today? Nope
R/R/R? Getting our carpet replaced so we can sell our place. Time for more space
Questions? Nope
GTKY: What was the last movie you watched and how would you rate it? Star Wars. I'm not a SW huge fan but I thought the new one was great! Was really happy I saw it. I have seen all of them thanks to DH.
How are you feeling? Tired and bloated, my boobs finally don't feel like they were used for punching bags. The bloat makes me look like I am 5 months along first thing in the morning. Sucking it in is hard.
Doing anything baby related today? Nope
R/R/R? Nothing
Questions? @TheTamedShrew have you tried Colace? It is safe during pregnancy. You can also add fiber like metamucil, just increase the water intake even more. If you don't drink more water when you get more fiber it will clog you up even more.
GTKY: What was the last movie you watched and how would you rate it? Get Hard and it was like a 2. So bummed since I like Kevin Hart.
@tamedshrew 1) I totally agree with your review of "Hateful Eight". I was very disappointed and thought it was claustrophobic and slow. 2) Unisom is very anticholinergic and therefore causes constipation. Nothing you can really do about that except drink lots of water and try to decrease to smallest dose possible.
@mom2adoodle We haven't told anyone and will probably tell my sister the day of the U/S and my parents that weekend. Will let our close friends know probably around 12 weeks. I will likely shut down social media though because I do not want my work to find out until as close to 20 weeks as I can get.
How far along are you? 7w1d
How are you feeling? Evenings are the worst. Just got home from work and trying to eat so the nausea will die down. I also have no appetite in the evening and feel gross over all. Boobs are getting increasingly sore and growing. No more brown spotting since Monday so happy about that.
Doing anything baby related today? Nope
R/R/R? My husband is out of town tonight and tomorrow and I am secretly kind of excited to have the house to myself. Not usually like me but I think it will help me relax.
Questions? Not really.
GTKY: What was the last movie you watched and how would you rate it? My husband and I go to the theater a lot and love movies. We saw Star Wars, Hateful Eight and The Big Short over the past few weekends. We still have Joy, The Revenant and 13th Hour on our list for the rest of the month. Will see what we see this weekend? Husband is for 13th Hour and I am rooting for Joy.
How far along are you? 4w5d
How are you feeling? Hungry. Had some very lightly brown tinted CM. I know it's likely nothing and I have an appointment next Thursday, so I'm going to try to keep my ish together 'til then.
Doing anything baby related today? Finally got my records faxed from Planned Parenthood to my new OB.
R/R/R? In my FFFC I mentioned that I had purchased a box of Clearblue digis with weeks predictor. Those birches are $10 each and one was a dud. Womp womp.
Questions?
GTKY: What was the last movie you watched and how would you rate it? I watched 'The Intern' on our plane back from Europe. I have a really inappropriate crush on Robert De Niro, so 10/10!
I may be nuts, but I contacted Clearblue after I had a dud. I did the clean catch method exactly as the instructions say. It blinked like it was working, then it went totally blank. They said it was a battery issue. They took my info and sent out a new pack of tests. It was worth the 5 minute call. Those things are crazy expensive!
How are you feeling? Hungry. Had some very lightly brown tinted CM. I know it's likely nothing and I have an appointment next Thursday, so I'm going to try to keep my ish together 'til then.
Doing anything baby related today? Finally got my records faxed from Planned Parenthood to my new OB.
R/R/R? In my FFFC I mentioned that I had purchased a box of Clearblue digis with weeks predictor. Those birches are $10 each and one was a dud. Womp womp.
Questions?
GTKY: What was the last movie you watched and how would you rate it? I watched 'The Intern' on our plane back from Europe. I have a really inappropriate crush on Robert De Niro, so 10/10!
I may be nuts, but I contacted Clearblue after I had a dud. I did the clean catch method exactly as the instructions say. It blinked like it was working, then it went totally blank. They said it was a battery issue. They took my info and sent out a new pack of tests. It was worth the 5 minute call. Those things are crazy expensive!
@LizC216, thanks! I'm definitely going to call. I mean, I don't know what I'm going to do with a new box of pregnancy tests now, but those things are $10 each! I took one out, dipped it in the cup for 20 seconds, as instructed, and nothing happened. At all. I watched it for 5 minutes and nada. The other one was fine. ::insert formerly available shrugging emoji::
FKA alicedavid2013
Me: 30 & DH: 37
Married: September 2013 TTC #1 since September 2015 BFP 1/8/16 - MC 1/20/16
@lovelylauren86 R/R is rants/raves. I'm not really sure what the 3rd R is since it's usually only 2.
Randoms. In case you don't have anything to rant or rave about and have random thoughts you'd like to discuss. I guess I got lazy when I posted it this morning.
I am 5w5d. Feeling nervous, exhausted and hungry. Going to a local baby store to check out stuff for baby. No r/r/r. Just feeling happy to be starting my family
How are you feeling? Sore (my hips and back and abdomen are all hurting me right now), nauseous on an off and sick with a cold. Generally feeling crummy.
Doing anything baby related today? Had our second ultrasound to check on our little beans.
R/R/R? Baby B had a heartbeat today (last time just Baby A had a visible one) and we got to hear both! So exciting! Also, we're being released to our new OB(s) in two weeks after one more appointment in a week with my RE. Excited but sad about that.
Questions? None today.
GTKY: What was the last movie you watched and how would you rate it? The last movie I actually watched (as opposed to DH having it playing on his computer and me more or less ignoring it) was The Martian. I didn't expect to like it (not my kind of movie and I normally can't stand Matt Damon), but it was really good. Definitely a pleasant surprise.
How are you feeling? Like total crap...nausea really reared its head today and it's really hard to fake perky teacher when you want to lay on the bathroom floor
Doing anything baby related today? Nope
R/R/R?
Questions?
GTKY: What was the last movie you watched and how would you rate it? Let's see...we watched Sicario (sp?) and I loved it...my husband said there wasn't enough action and blood, but it was a character study and extremely interesting in my opinion
Impressed at all of you who can stay awake through movies! I've seen the first 30 minutes of several of those mentioned, but then it's lights out for me while DH finishes them on his own. Ha!
How are you feeling? Sofa-king tired and nausea is serious. I just started wearing SeaBands and they're helping a little.
Doing anything baby related today? Rubbing my bloated belly
R/R/R?not sure what that means (ditto)
Questions? Does everyone get a routine pap smear the first visit? I can't remember last time with DS. All of the poking and prodding makes me nervous this early in the game. I understand they need to check for stds etc but sheesh!
For the movie, I would also have to rate "Get Hard" with a fat 2. So disappointing!
Re: Thank God It's Friday!! (check-in 1/15)
How are you feeling? sick in the morning, tired in the afternoon, icky in the evening
Doing anything baby related today? Browsing some of the magazines I got in my goody bag at the doc yesterday. They kind of suck, and all seem like they are just pushing over priced baby products/maternity clothes. $150 for a dress? In what universe?? We can't all be Kate Middleton, people.
R/R/R? Just excited for the weekend when I don't have to do things except keep my toddler alive and entertained.
Questions? *TMI alert*Anyone else getting constipated from unisom?
GTKY: What was the last movie you watched and how would you rate it? "The Hateful Eight". I love Tarantino, but this one was too much for me. The most violent of his films that I've ever seen. The whole thing was just blood, death, and more blood. There was a little bit of good, witty dialogue in there, but some of it came across trying too hard. Also only one female character makes me sad. Not his best.
ETA: We went to see "The Big Short" also, and it was incredible. 9/10
How are you feeling? Good overall. Still have a head cold kicking around (along with my husband and 1 year old), get super exhausted by the afternoon but pick up the energy (or at least pretend to) from 4-7:30 until my little guy goes to bed, then I'm pretty useless on the couch until bed at 10.
Doing anything baby related today? Nope, just creeping around on here
R/R/R? My MIL is coming over on Sunday night. I can't stand her. Prepare for rants.
Questions?
GTKY: What was the last movie you watched and how would you rate it? The Spectacular Now? Or Pitch Perfect 2? I can't quite remember... haven't been to the theater since Trainwreck. I think it was Pitch Perfect 2, which was entertaining but I didn't enjoy it nearly as much as the first (which I love). I've read The Martian and would really like to see that, along with a few movies that are still in theaters... if I can find a night my husband and I are both off maybe get my parents to babysit! Woopwoop!
-6w2d September 7th.
How are you feeling?
-Half way human after 3 days of barely being able to function. My dr upped my declegis.
Doing anything baby related today?
-nope.
R/R/R?
-My mom is coming up today (we live 2 hrs from my family) and is spending the weekend helping me out with my 4yr old and catching me up on house chores. She's the best.
Questions?
GTKY: What was the last movie you watched and how would you rate it?
-I haven't watched an adult movie in a long time. The most recent watched is Meet the Robinsons. It's a cute movie.
How are you feeling? Still feeling good. Sore boobs occasionally.
Doing anything baby related today? bump
R/R/R? DH mentioned spontaneous date night tonight! So I'm excited to have that to look forward to now.
Questions?
GTKY: What was the last movie you watched and how would you rate it? Concussion with Will Smith. It was amazing! Smith was a great actor and portrayed his role beautifully, at points I forgot he was an actor and believed he was a Doctor from Africa. I'm really surprised he wasn't up for Best Actor for the Oscars. I highly recommend for anyone who loves sports, especially football. It's very eyeopening.
How are you feeling ? Yawning a ton at work, but still panicking that the nausea is coming soon !
Rants/raves : Celebrating my 30th in NYC tomorrow with great friends. Can't wait
Questions:
What is the last movie you've seen ? Sadly ninja turtles last summer. My husband and I used to be movie goers !! Like1-2 x a week before my son. I miss that dearly !
How are you feeling? Pretty good overall. A bit of sore boob. I feel run down and want to crawl into bed earlier, but I don't actually fall asleep any earlier.
Doing anything baby related today? nope
R/R/R? ---
Questions? @mom2adoodle - We're waiting under after the first trimester screenings to tell most people. Family and my circle of close friends will find out after the u/s.
GTKY: What was the last movie you watched and how would you rate it? How terrible is it that I don't even know. I think the last movie I saw in theaters was Trainwreck? I don't make it to the theaters nearly as often as others; but we watch (and re-watch) a lot of movies at home.
@LakeR2014 - I'm glad Concussion is good. I really want to see it.
** December BMB Siggy Challenge - Animals in Pools **
Me: 31+ H: 32
TTC Since 11/2015
#1 - MMC 6.5 weeks (2/16); #2 - MC due to cystic hygroma at 20 weeks (10/16); #3 CP (2/17); #4 - Due 12.16.17
How are you feeling? Still tired, nauseous first thing in the mornings. I feel really hormonal, everything is making me want to cry.
Doing anything baby related today? Nope
R/R/R? My parents are coming over to watch DD tomorrow night so DH and I can go to his work party. 1) I am super frustrated with his work right now and want to protest by not going to the stupid party, but he really wants to go 2) We haven't told my parents yet that we're expecting #2, so I'm going to have to scour the house for clues and bury everything in the basement because I feel like my mom will do a cursory snoop (not to be nosy, but looking for food, or a blanket etc).
But, I did meet with my OB yesterday for my first intro meeting and I forgot how much I love him! So, yay for that
Questions?
GTKY: What was the last movie you watched and how would you rate it? DH and I went and saw Star Wars a couple of weeks ago and I really enjoyed it. I am almost positive it was the first movie I've seen in theaters since Avatar.
July: Patriotic Fails
How are you feeling? Tired and nauseous. I went to target yesterday and bought gingerale, ginger tea, gingersnaps, crackers and sweat pants. I want to hide and eat ginger until 2nd trimester!!
Doing anything baby related today? just hanging around the house with DS
R/R/R? My bday was yesterday and I spent the majority of the day laying in bed wiling myself to do something and not vom. That prompted the target trip, then right back to the couch! Not a very exciting bday!
Questions? Any tips for keeping up your energy w/o caffeine?
GTKY: What was the last movie you watched and how would you rate it? Ha! The only movies I watch now are cartoons. I saw Dispicable Me for the first time a few weeks ago with DS and it was quite cute
How are you feeling? a bit like this
Doing anything baby related today? Nope.
R/R/R?
Questions?
GTKY: What was the last movie you watched and how would you rate it? I can't think of the last movie I watched! Maybe Jenny's Wedding. It was really sloooooooooow, but I watched the whole thing, so 2/10 stars.
How are you feeling? Pretty good. Just some fatigue here and there.
Doing anything baby related today? Nope.
R/R/R? Nothing fun or interesting going on today. Crazy busy at work and I just want to go home and sleep.
GTKY: What was the last movie you watched and how would you rate it? The Big Short. It was a good movie but it was depressing.
Me (32) Dx PCOS, DH (32) SA = Normal/mild morph issues
TTC#5 July 2017 - 3rd cycle TTC = BFP on 11/12/17 at 9dpo Beta #1 = 96 at 13dpo - Beta #2 = 207 at 15dpo
3 rounds of Clomid + TI and 3 rounds of 7.5 mg Femara + IUI before our BFP on 11/8/10 at 12dpiui
TTC #2 3rd cycle of Femara 7.5mg+Ovidrel+TI = 4 follies = BFP on 10/12/12
TTC#3 July 2014 - Metformin +TI = BFP at 9dpo - Twins, one baby lost at 5.5 weeks
Macy Annabelle born at 37w4d on 4/29/15. Diagnosed with Cri du Chat and passed away on 6/6/15. Forever in our hearts.
TTC#4 3rd cycle of Metformin + Femara 7.5mg+Ovidrel+TI = 3 follies = BFP on 12/24/16
How are you feeling? Nausea, super sore boobs and tiredness.....apparently the new norm for so many of us.
Doing anything baby related today? I'm trying to think of cute ways to tell our parents if it is twins. Our US is Thursday. Ideas welcome
R/R/R? Rave: I caved and bought a Bella Band to help with the bloating / work pant combo. It is a lifesaver. So much more comfortable!
Rant: I have an older brother who I'm not super close to, but my mom told him that we are pregnant. He called to congratulate us, that's all fine. But then I got a text from his GF (I've met her for the first time last Christmas when they were visiting my parents for about a week, and I had to grit my teeth not to cause a scene with all of her craziness) how excited she is to be an Auntie. Ummmmmm no. I'm so glad they live far away so that I don't have to deal with her on a daily basis. I should have known, she was incessantly referring to my parents as Mom and Dad from the first moment she arrived. LOL my DH doesn't even call them mom and dad and he's been in our family for almost 10 years.
Questions? nothing that I can think of
GTKY: What was the last movie you watched and how would you rate it? Theater- James Bond, it was ok, just typical James Bond.
TTC since 7/2015
BFP 12/24/2015 Miscarriage 3/4/2015 at 14 weeks
Baby Girl BFP 9/10/2016 EDD 5/23/17
How are you feeling? So sleepy today, but I also didn't go to bed until after 11 and woke up at 4:30.
Doing anything baby related today? Nope
R/R/R? DS peed the bed, my babysitter was stuck in Chicago, and I was on the road for 1.5 hours today to get to work. Give me some chocolate.
Questions? Anyone tell their sitter yet about new baby?
GTKY: What was the last movie you watched and how would you rate it? The last movie I actually watched was The Minions since I have a 4 and 3 year old, but a couple weeks ago DH and I actually stayed up long enough to watch Southpaw together. I liked it and DH did not. He thought it was too emotional.
We have private babysitter for our son and we have not told her yet. We have a lot of friends in common so I will be telling her right before I start telling friends. Because we do pay her to watch our son, I want her to find out from me and not someone else, but that's the only reason we will be telling her so early. I don't think you have any obligation to tell them early. You'll be showing long before the baby is born and I think 2-3 months is reasonable notice for them to find a new child to fill the space. Don't feel pressured!
ETA: Daycare is very slim around my parts so getting in is hard!
How are you feeling? Good, just tired. Like I had to struggle to get out of bed tired. It's killing me that my only real symptoms are sore boobs, increased urination and fatigue. I know everyone and every pregnancy is different, I just think back on when I had my girls and I was always sick. If it wasn't a migraine, it was horrible morning sickness. Of course, my PGAL brain believes something is going wrong.
Doing anything baby related today? Nope
R/R/R? We are getting ready to spend the weekend downtown. My daughter really wanted to stay in a hotel for her birthday. To us, it was way easier going to a hotel then throwing a family birthday party. I'm really looking forward to it...once I get through packing, that is.
Questions? I had one last night and now I can't remember it for the life of me.
GTKY: What was the last movie you watched and how would you rate it? I hardly ever watch movies. On New Years Day, I watched Jurassic World with my husband. I thought it was ok. I thought the acting was cheesy and it was predictable. I'm no movie expert though.
How are you feeling? Meh. Sorta tired. My boobs sorta hurt. I'm kinda feeling nauseous. Just overall meh.
Doing anything baby related today? just bumpin' again.
R/R/R? Not much exciting is happening so no r/r/r. Ugh we're boring people.
Questions? Nope.
GTKY: What was the last movie you watched and how would you rate it? Star Wars: The Force Awakens. Amazing! It's what The Phantom Menace should have been. A great re-boot to the series! But I shall give away no more spoilers to those who haven't seen it!
DH: 31
TTC #1 10/2015
BFP 1/2/2016 -- EDD - 9/11/2016
How are you feeling? Yucky. Nausea kicked in just before 5w and I've thrown up yesterday and today. My boobs are killing me, I'm sooo tired, gassy, bloated and get headaches off and on throughout the day. All the things.
Doing anything baby related today? Went to our second ultrasound this morning! I had the first due to some spotting and my doctor wanted me to go back to put my PGAL mind at ease. Love him! Heartbeat was strong and we're already head over heels in love with baby!
R/R/R? I hate feeling sick but I love it because it gives my PGAL brain reassurance (crazy but yeah). I was bummed this morning because I didn't feel nauseous when I woke up but ended up having to stop at a Starbucks on the way to the doctor's to throw up. Classy, I know -.-
Questions? Not today.
GTKY: What was the last movie you watched and how would you rate it? Can't remember! I think last time I went to the movies was to see Inside Out.
How are you feeling? Physically I'm feeling tired and the nausea comes and goes. My boobs hurt and I'm getting heartburn again. Mentally, I'm feeling better today now that I've seen my baby.
Doing anything baby related today? Just taking it easy now. Had an ultrasound this morning.
R/R/R? It was amazing to see my little baby on the ultrasound even tho there wasn't much to see. I am still very nervous but I feel comfortable enough now to start using our nn for baby. "Pez" is measuring 6w0d today and has a heartbeat pumping away at 116bpm. The nurse didn't seem the least bit concerned about Pez measuring a little small so I'm not going to dwell on it. We have another scan in about 2 weeks (Feb 2) and will actually see the RE that day too. She didn't say if we were adjusting our edd so I'm going to just wait for the next scan to figure that out.
Questions? Not today.
GTKY: What was the last movie you watched and how would you rate it? I was sad about David Bowie so I watched The Labyrinth Wednesday night. Still one of my all time favorite movies.
How are you feeling? Hungry. Had some very lightly brown tinted CM. I know it's likely nothing and I have an appointment next Thursday, so I'm going to try to keep my ish together 'til then.
Doing anything baby related today? Finally got my records faxed from Planned Parenthood to my new OB.
R/R/R? In my FFFC I mentioned that I had purchased a box of Clearblue digis with weeks predictor. Those birches are $10 each and one was a dud. Womp womp.
Questions?
GTKY: What was the last movie you watched and how would you rate it? I watched 'The Intern' on our plane back from Europe. I have a really inappropriate crush on Robert De Niro, so 10/10!
Me: 30 & DH: 37
TTC #1 since September 2015
BFP 1/8/16 - MC 1/20/16
How are you feeling? Good right now but nauseous in the mornings and evenings so guessing it's coming
Doing anything baby related today? Nope
R/R/R? Getting our carpet replaced so we can sell our place. Time for more space
Questions? Nope
GTKY: What was the last movie you watched and how would you rate it? Star Wars. I'm not a SW huge fan but I thought the new one was great! Was really happy I saw it. I have seen all of them thanks to DH.
How are you feeling? Tired and bloated, my boobs finally don't feel like they were used for punching bags. The bloat makes me look like I am 5 months along first thing in the morning. Sucking it in is hard.
Doing anything baby related today? Nope
R/R/R? Nothing
Questions? @TheTamedShrew have you tried Colace? It is safe during pregnancy. You can also add fiber like metamucil, just increase the water intake even more. If you don't drink more water when you get more fiber it will clog you up even more.
GTKY: What was the last movie you watched and how would you rate it? Get Hard and it was like a 2. So bummed since I like Kevin Hart.
5/13 Married
8/13 DD
9/16 DS
@mom2adoodle We haven't told anyone and will probably tell my sister the day of the U/S and my parents that weekend. Will let our close friends know probably around 12 weeks. I will likely shut down social media though because I do not want my work to find out until as close to 20 weeks as I can get.
How far along are you? 7w1d
How are you feeling? Evenings are the worst. Just got home from work and trying to eat so the nausea will die down. I also have no appetite in the evening and feel gross over all. Boobs are getting increasingly sore and growing. No more brown spotting since Monday so happy about that.
Doing anything baby related today? Nope
R/R/R? My husband is out of town tonight and tomorrow and I am secretly kind of excited to have the house to myself. Not usually like me but I think it will help me relax.
Questions? Not really.
GTKY: What was the last movie you watched and how would you rate it? My husband and I go to the theater a lot and love movies. We saw Star Wars, Hateful Eight and The Big Short over the past few weekends. We still have Joy, The Revenant and 13th Hour on our list for the rest of the month. Will see what we see this weekend? Husband is for 13th Hour and I am rooting for Joy.
BFP #2 12/22/15, EDD 9/1/16
@LizC216, thanks! I'm definitely going to call. I mean, I don't know what I'm going to do with a new box of pregnancy tests now, but those things are $10 each! I took one out, dipped it in the cup for 20 seconds, as instructed, and nothing happened. At all. I watched it for 5 minutes and nada. The other one was fine. ::insert formerly available shrugging emoji::
Me: 30 & DH: 37
TTC #1 since September 2015
BFP 1/8/16 - MC 1/20/16
How far along are you?3w5d
How are you feeling?excited and nauseous
Doing anything baby related today?just forming new cells nbd
R/R/R?not sure what that means
Questions?what does R/R/R mean
How far along are you? 6 weeks today!!!
How are you feeling? Fine, I think I may have seen the start to nausea. I had some evening nausea and broke open the prego pop candies to suck on.
Doing anything baby related today? My 6 week photo!
R/R/R? I just want it to be Jan 27th. It's my first appointment.
Questions?
GTKY: What was the last movie you watched and how would you rate it? What a Girl Wants with Amanda Bynes.
It always make me cry because I have a shotty relationship with my father. I rate it an 8/10 only because its relatable and quirky.
Me:24 ~~~~~ DH:26
High school Sweethearts 03/29/07
Engaged 11/29/2009
Married 09/04/2012
TTC#1-06/01/2015
BFP 12/27/2015 EDD 9/8/2016
It's a BOY!
How are you feeling? Sore (my hips and back and abdomen are all hurting me right now), nauseous on an off and sick with a cold. Generally feeling crummy.
Doing anything baby related today? Had our second ultrasound to check on our little beans.
R/R/R? Baby B had a heartbeat today (last time just Baby A had a visible one) and we got to hear both! So exciting! Also, we're being released to our new OB(s) in two weeks after one more appointment in a week with my RE. Excited but sad about that.
Questions? None today.
GTKY: What was the last movie you watched and how would you rate it? The last movie I actually watched (as opposed to DH having it playing on his computer and me more or less ignoring it) was The Martian. I didn't expect to like it (not my kind of movie and I normally can't stand Matt Damon), but it was really good. Definitely a pleasant surprise.
● IUI #2: BFP - early M/C :'(
● IUI #3: BFN
● IUI #4: BFN
● IVF/FET #1 (2 transferred): BFP! TWINS!
● FET #2 (1 transferred): BFP! BOY #3!
● Natural #1: BFP - M/C @ 8 weeks :'(
● Natural #2: BFP - M/C @ 5w5d :'(
How are you feeling? Like total crap...nausea really reared its head today and it's really hard to fake perky teacher when you want to lay on the bathroom floor
Doing anything baby related today? Nope
R/R/R?
Questions?
GTKY: What was the last movie you watched and how would you rate it? Let's see...we watched Sicario (sp?) and I loved it...my husband said there wasn't enough action and blood, but it was a character study and extremely interesting in my opinion
How far along are you? 6w5d
How are you feeling? Sofa-king tired and nausea is serious. I just started wearing SeaBands and they're helping a little.
Doing anything baby related today? Rubbing my bloated belly
R/R/R?not sure what that means (ditto)
Questions? Does everyone get a routine pap smear the first visit? I can't remember last time with DS. All of the poking and prodding makes me nervous this early in the game. I understand they need to check for stds etc but sheesh!
For the movie, I would also have to rate "Get Hard" with a fat 2. So disappointing!
@izzetoot - Happy Birthday!