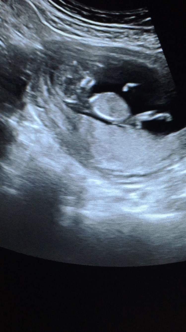
I already knew we were having a boy from the MaterniT21 blood test but we could clearly see the penis on today's ultrasound (12 weeks 3 days).
I'm high risk and have quick ultrasounds with every OB visit.
We weren't able to determine DD's sex until 15 weeks last time.
Anyway, the point of my post is that if any of you have a 12 week ultrasound coming up, and it's a boy, you may be able to see!
(Obviously quality of US machine, baby's position, uterine positioning, etc all come into play.)
Re: Penis sighting at 12 week ultrasound
Congrats on the baby boy!!!!! Go team blue!
Such a bummer about the tucked legs! That's how DD was last time and I was so disappointed.
EVERYTHING is making me laugh tonight.
https://www.baby2see.com/gender/external_genitals.html
Jamie
@redfallon she had the genetic test so she knew it was a boy, so it easier to tell
Jamie
Which one did you do, or are you doing?
Jamie
But, It's on both boys AND girls. So if anyone sees a small appendage protruding, it's not necessarily a boy...
I guarantee what you saw was this "nub".
There IS a "nub theory" some techs swear by. Depending on the angle of the nub (above 30 degrees means boy, I think) you can sometimes determine the gender but obviously it's not 100% accurate
Google nub theory and I'm sure you'll find more info somewhere
Which one did you do, or are you doing?
I didn't want to do any of them, but they didn't tell me about that one. I go back the 1st for an ultrasound I'll be 13 weeks so hopefully I get a flash lol
Jamie
According to the nub theory it does have an angle so we are probably having a boy.