Log in
My account
Log out
Pregnancy
Guides
1st Trimester
2nd Trimester
3rd Trimester
Pregnancy Safety
Pregnancy Symptoms
View all
Guides
Labor & Delivery
Twins & Multiples
Baby Showers
Maternity Fashion
Nursery Ideas
Tools
Weekly Pregnancy Updates
Baby Names
Chinese Gender Chart
How Big is Baby
View all
Baby & Toddler
Guides
My Newborn 0-6M
My Newborn 6-12M
Your Life
Breastfeeding
Post-Birth Recovery
View all
Guides
Baby Symptoms
Baby Food
Sleep Problems
Bottle Feeding
Best of Baby
Tools
Monthly Baby Updates
Baby Names
Baby Gear
View all
Parents
Getting Pregnant
Guides
Signs of Ovulation
Infertility
Adoption
View all
Tools
Fertility Chart
Ovulation Tracker
View all
Baby Names
Tools
All Baby Names
Baby Name Ideas
Unique Baby Names
Baby Girl Names
Baby Boy Names
Product Reviews
Registry
The Bump Baby Registry
Now is the perfect time to start your Baby Registry!
START A REGISTRY
Guides
Baby Registry Ideas
Baby Gear
Strollers
Breast Pumps
Diaper Bags
Tools
Manage Your Registry
Create a Registry
Find a Registry
Community
Getting Pregnant
Adoption
Babies on the Brain
Infertility
Secondary IF
Third-Party Reproduction
View all
Pregnancy
1st Trimester
2nd Trimester
3rd Trimester
High Risk Pregnancy
Natural Birth
View all
Baby
Babies: 0-3M
Babies: 3-6M
Babies: 6-9M
Toddlers: 12-24M
Toddlers: 24M+
View all
More
News
Tools and Resources
Black Maternal Health
LGBTQ+ Family
Want a personalized experience?
Download the free app
Community
›
The Bump Month Clubs
›
August 2015 Moms
Sign In
·
Register
August 2015 Moms
New Discussion
Any ultrasound techs on here?
eoosthoek84
member
April 2015
in
August 2015 Moms
I'm trying to figure out where my placenta was located with my first based on my photos.
Report
0
Reply to Post
Re: Any ultrasound techs on here?
ChristyM87
member
April 2015
Why don't you just ask your doctor at your next appointment?
Report
3
Reply
Loading the player...
eoosthoek84
member
April 2015
I won't have anymore ultrasounds so I won't see the tech. I'm not asking about this current pregnancy, but my first one. They never told me and I'm curious now.
Report
0
Reply
Miz_Liz
member
April 2015
You can bring the pics and show the Dr though...
Report
0
Reply
eoosthoek84
member
April 2015
I could, but that's 4 weeks away and I'm curious now
I was just there on Friday for my 20 week scan.
Report
1
Reply
Miz_Liz
member
April 2015
Well if you know where it is sitting this time, put the two pictures side by side and see where it is last time....
Report
1
Reply
eoosthoek84
member
April 2015
I tried that. I can't tell
Report
0
Reply
eoosthoek84
member
April 2015
Can you tell?
image.jpg
65K
Report
0
Reply
Miz_Liz
member
April 2015
I'm horrible at those things, sorry - all I can tell is the baby's head is on the right side of the image facing up. That's as crazy as I get.
Report
0
Reply
eoosthoek84
member
April 2015
Ha, same here. I swear I can tell on everyone's but my own.
Report
0
Reply
eoosthoek84
member
April 2015
This is current baby, with an anterior placenta.
image.jpg
1M
Report
0
Reply
eoosthoek84
member
April 2015
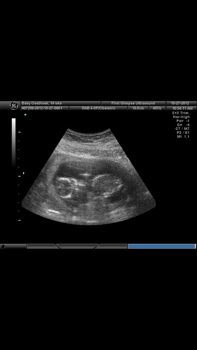
Here's her's at 14 weeks. A bit clearer
image.jpg
63.8K
Report
0
Reply
Miz_Liz
member
April 2015
You should crop your info off the photos.
Report
0
Reply
Sign In
or
Register
to comment.
Choose Another Board
The Bump Message Boards
Week-by-Week
The Bump Local Boards
The Bump Month Clubs
Private Groups
Search Boards
August 2015 Moms
The Bump Month Clubs
All Boards
"
"
Re: Any ultrasound techs on here?