October 2015 Moms

Anyone else ask for an ultrasound at 6 weeks?

Hi,
I am due October 30th (barely made it into this birth month club!), and I have miscarried once before. I also have pcos and have been trying for over a year. So, I decided to request an early ultrasound that is set to take place this Monday, when I will be 6w3d along. The receptionist at the doctor's office acted like this was unheard of to request this appointment so early. Anyone else had an ultrasound this early? Am I crazy to do so?

Re: Anyone else ask for an ultrasound at 6 weeks?

  • I'm due Oct. 31st and just had mine. I'm 5 weeks! The doctor told me that its really early but its possible. They will do it transvaginally and check your tubes and ovaries. Its a little uncomfortable, but once you hear the heart beat and see the tiny baby, its worth it :) Congrats!

  • Loading the player...
  • I had mine today -- if you go from the date of my last period, my due date is October 26th so I should be 6 weeks and 2 days today. I have irregular periods though and wasn't tracking my ovulation so, they gave me an ultrasound to see if they could determine my exact due date. The results were inconclusive on the date and the ultrasound only showed a little circle (even vaginally). The machine told them 4 weeks and 6 days but my doc is having me do another ultrasound at my next appointment in 5 weeks to get a more solid date. They told me that if I was 4 weeks or less, they most likely wouldn't be able to see anything. It's totally not crazy to get an ultrasound this early! I wanted my due date and my doc was the one who suggested the ultrasound! :) Good luck and congrats!!
  • I am having one today at 5 weeks 5 days but it's to find the cause of last week's bleeding and rule out ectopic and if all goes well we plan to do our originally scheduled ultrasound next week at 6 weeks 5 days. Nothing weird about it. My doctor does them from 6-8 weeks for the first.
    Baby Birthday Ticker Ticker 

    BabyFetus Ticker




    Me: 25, DH: 28
    Married: July 2012
    DS: December 2013 
    TTC #2 since July 2014 
    M/C: March 2015 
    My Ovulation Chart
  • I'm due Oct. 31st and just had mine. I'm 5 weeks! The doctor told me that its really early but its possible. They will do it transvaginally and check your tubes and ovaries. Its a little uncomfortable, but once you hear the heart beat and see the tiny baby, its worth it :) Congrats!

    This gives me hope that if the baby is where it's supposed to be that I may see a heartbeat. I believe I'm due the 31st too.
    Baby Birthday Ticker Ticker 

    BabyFetus Ticker




    Me: 25, DH: 28
    Married: July 2012
    DS: December 2013 
    TTC #2 since July 2014 
    M/C: March 2015 
    My Ovulation Chart
  • I've had 2 so far & I'm 7+4 today. First was almost 5 weeks & second was almost 6 weeks. I have history of losses & ectopic so they keep a close eye on me.
  • Had my first at 5w3d due to bleeding.  No heartbeat but they think it was just to early.  hcg levels are rising and they want me to book for a few weeks from now.  Think I am going to wait until 8.5-9weeks to go again just so that it tells a little more.  I saw the yolk sac at 5w3d and it gave me a piece of mind, espically while waiting for the blood draws to come back to show that my levels were still going up.
    Married:09/27/14 
    Baby N-Born:10/29/15
    Our Angel: EDD: 05/11/17. MC at 6 weeks
    Baby #2- EDD: 07/18/17


  • I'm due Oct. 31st and just had mine. I'm 5 weeks! The doctor told me that its really early but its possible. They will do it transvaginally and check your tubes and ovaries. Its a little uncomfortable, but once you hear the heart beat and see the tiny baby, its worth it :) Congrats!

    This gives me hope that if the baby is where it's supposed to be that I may see a heartbeat. I believe I'm due the 31st too.
    My doctor did tell me not to be alarmed if you don't see a heart beat. Usually, you wont see one until 6 weeks. However the US will be able to tell you if its ectopic. From what I've heard, a little bit of bleeding is normal.  I'm sure you are fine! Stay positive :)

  • I'm due Oct. 31st and just had mine. I'm 5 weeks! The doctor told me that its really early but its possible. They will do it transvaginally and check your tubes and ovaries. Its a little uncomfortable, but once you hear the heart beat and see the tiny baby, its worth it :) Congrats!

    This gives me hope that if the baby is where it's supposed to be that I may see a heartbeat. I believe I'm due the 31st too.
    My doctor did tell me not to be alarmed if you don't see a heart beat. Usually, you wont see one until 6 weeks. However the US will be able to tell you if its ectopic. From what I've heard, a little bit of bleeding is normal.  I'm sure you are fine! Stay positive :)
    I'm trying to be considering I had no cramping but it's hard to not compare to other pregnancies you've had. I had no bleeding or spotting with my first so it's uncharted territory.
    Baby Birthday Ticker Ticker 

    BabyFetus Ticker




    Me: 25, DH: 28
    Married: July 2012
    DS: December 2013 
    TTC #2 since July 2014 
    M/C: March 2015 
    My Ovulation Chart
  • The earliest they can detect a heartbeat is 6 weeks and even than maybe not. 5 weeks is way too early

  • This gives me hope that if the baby is where it's supposed to be that I may see a heartbeat. I believe I'm due the 31st too.
    I didn't see a heartbeat at 5/3 but I did see a yolk sac and a gestational sac and that it was where it should be.  It was more relief than I could have imagined.  And a bonus that I get to go for a second early ultrasound to make sure there is a heart beat.  They kept up with blood tests to moniter my hcg levels after that as another piece of mind.  Good luck to you!
    Married:09/27/14 
    Baby N-Born:10/29/15
    Our Angel: EDD: 05/11/17. MC at 6 weeks
    Baby #2- EDD: 07/18/17

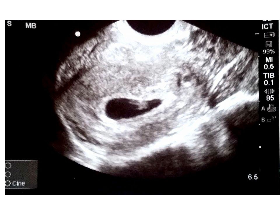
  • You're totally not crazy! It was my understanding that early ultrasounds are kind of standard when there has been a miscarriage.

    I personally also had an ultrasound at exactly 6w3d, but that's because I did IVF, so the fertility clinic monitors everything pretty closely. We were able to measure the heart rate and could see the yolk sac and fetal pole.

    I'm attaching the ultrasound from that day :)


  • I'm due Oct. 31st and just had mine. I'm 5 weeks! The doctor told me that its really early but its possible. They will do it transvaginally and check your tubes and ovaries. Its a little uncomfortable, but once you hear the heart beat and see the tiny baby, its worth it :) Congrats!

    This gives me hope that if the baby is where it's supposed to be that I may see a heartbeat. I believe I'm due the 31st too.
    My doctor did tell me not to be alarmed if you don't see a heart beat. Usually, you wont see one until 6 weeks. However the US will be able to tell you if its ectopic. From what I've heard, a little bit of bleeding is normal.  I'm sure you are fine! Stay positive :)
    I'm trying to be considering I had no cramping but it's hard to not compare to other pregnancies you've had. I had no bleeding or spotting with my first so it's uncharted territory.
    I bet it is! This is my first and I'm nervous over every little ache or pain lol I've been cramping like PMS on steroids. That's why they did the US on me to make sure I wasn't ectopic.
  • I'm due the 30th too. This is my 4th pregnancy and hopefully my 3rd LO. I had a mc 09/14 due to getting pregnant while using the mirena iud. The center that I go to doesn't do ur 1 st u/s until 7wks. We're scheduling tomorrow!
  • I woke up early 1 morning with severe pain & sweats so I saw the Ob for the first time that day. He did a vaginal u/s & we saw the yolk & the heart beat :-) I asked the ob how far along he thought I was based on what he saw & he said just shy of 6 weeks, so it is possible to see a heart beat that early. This was 1.5 weeks ago & our official dating scan is next Wednesday. So excited, this is our first :-)
  • casserole27casserole27 member
    edited March 2015
    I had mine at my first appt, thought I was 6w but was at 5w3d, and we did see the heartbeat. My doctor just did it I didn't ask and had no problems like bleeding.
    Oct15 October Siggy Challenge: Maternity Costumes
    image
    Image and video hosting by TinyPic  Image and video hosting by TinyPic  Image and video hosting by TinyPic
  • Hi! I had ivf and a 6 week ultrasound is pretty typical (I think) when you do ivf. Today I'll be having an 8 week, and I'm freaking out. If all goes well, I will be released from my ivf doctor & begin seeing a regular obgyn.
  • I had my 1st US at 6w2d but not by request. I went into the ER with horrible cramps and im a little terrified due to past losses...who cares if the receptionist sounded judgemental. As long as youre happy...baby is happy! Seeing that heartbeat will do wonders to your nerves!
  • I'm due Oct 30 as well! I'm paying out of pocket to get one at 8 weeks out in town. Only because once I verify it through my regular doctor I have a certain amount of days before I have to notify my work. Because of a previous loss I don't want to tell them until I'm in the safe zone.

    If you don't mind me asking, what are some of the symptoms you are having? I feel like at this point I want symptoms just so I know there really is a baby growing in there.
  • Hi, Thanks for your input. I have really tender breasts, nausea when I have an empty stomach, a super-human sense of smell, and some cramps and bloating. I have miscarried before, and I am prone to being hypothyroid and having low progesterone, so I am taking it one day at a time. Best of luck to you with your pregnancy!
  • Thank you so much! Congrats!
  • No choice here...multiple miscarriages at 6w and too many high risk factors, so my doc ordered a US at 6w to make sure it was a viable PG...saw the sac...then my perinatologist ordered another at 7w...saw a tiny embryo with a heartbeat. I have my third today at 9w...hoping to see a wiggly baby in there...but will just be relieved if everything is going well.

    But if you are high risk, your doc should be doing US earlier and more frequently...and you should also be getting referred to a perinatologist. Just something to consider...

    


<a href=

     

    Pregnancy Ticker

  • I am getting my first ultrasound Monday at 6 weeks 2 days. No issues or concerns. They said they usually schedule for 6-8 weeks and the doc will be out of town for 2 weeks after that. I was surprised it was so early but not complaining! :)
    Baby Birthday Ticker Ticker
  • I had 3 ultrasounds so far and I'm 6wks and 4days..... I'm having twins! Both have heart beats.....
  • I did! The earliest they'd let me come in was 6w6d...according to my LMP I am 7w2d today, but after my ultrasound they measured me at 6w6d, but let me keep my due date of 10/24.

    Felt so incredibly relieved to see the flutter of a little heartbeat (125bmp)...PCOS, 5 years of infertility and no symptoms had me super nervous. 

    Good luck & hang in there! 

    Attatched a pic from today :)
  • Just wanted to update everyone. Went into today at 6w3d and did the ultrasound. We were able to see the heartbeat! Feeling much relief! Thanks everyone for sharing all your stories, and much luck to all of you!

This discussion has been closed.
Choose Another Board
Search Boards
"
"