1st Trimester

Threatened Miscarriage?

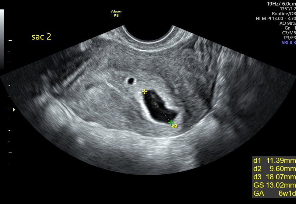
I am currently 7wks today. This is my first successful pregnancy after our 2nd embryo transfer. Went in for our first US on Monday. The nurse found 2 gestational sacs with only one looking promising. Even though I was 6wk4d going in, the sac measured 6wk1d. Unfortunately, they didn't find the yolk sac or fetal pole and stated it could be too early. The US to me didn't look entirely empty but I'm not an expert. My fertility doctor called with her opinion and stated that she was concerned that she didn't see the growth that "She" expected in the US and felt that we were behind. She then goes on to say that she feels that this may not be a viable pregnancy but to make an appointment next week and she'll be praying for us. Not a good feeling AT ALL. DH and I have been crying since then as we have waited a long time (3 years) for this moment. I now have period-like cramps that feel like my actual period is about to come on but no bleeding. My belly was a little tender before whenever I would get up from sitting but now it's not as tender since the US. Still using the bathroom every 1 or 2 hours. And my breast seems less tender than before. So I feel like my symptoms are subsiding. :'(

We are just concerned that come Monday we will see and get the worst news ever! Has anyone experienced this and still came out with a healthy baby?? Or is it possible that we may end up miscarrying? We really are hoping for a miracle and to prove our doom-and-gloom doctor wrong. Please any words of encouragement or anything would help.
Sign In or Register to comment.
Choose Another Board
Search Boards
"
"