@Worldtravler0522 So sorry to hear this....I know it's terrifying. You are absolutely in my thoughts and I'm hopeful that tomorrow you'll find out that it was nothing after all
Trigger warning in signature...
Me: 33 DH: 37 Together since 2010, Married August 2014 TTC: Off and on since April 2015 Diagnosis: Severe MFI 1/15/2017: FET #1, successful. Baby boy delivered via c-section 9/30/17 1/2/2018: FET #2: BFN
@Worldtravler0522 I'm so sorry you are dealing with this! I am praying for you and hope that you aren't out of anything yet!
AFM: My first beta was today, and it was a pretty low number 4.1. But as it is only 5dp5dt the nurse said a low number like that is to be expected and as long as it keeps increasing everything should be fine, so I am ever hopeful for a much higher number on Monday.
Met 2004, Married 2011, Trying since 2013. Info in spoiler:
Me: 30 Diagnosed with PCOS, later changed to unexplained anovulation due to high prolactin and normal testosterone levels Him: 31 High sperm count (yay!) but also super high fluid volume (boo!) First IUI, Clomid and Follistim: 11/29-BFN Second IUI, Femara and Follistim: 12/29-BFN Third IUI, Femara and Gonal-F (and Follistim): 1/28 BFN Fourth IUI, Femara and Gonal-F: 7/23 BFN IVF 1: Femara and Gonal-F: 1/23/2017 Beta Study: Beta #1: 1/28/2017 4.1 Beta #2: 1/30/2017 34 Beta #3: 2/1/2017 131 Beta #4: 2/3/2017 476 Ultrasound: 2/14/17-Twin Etopic Pregnancy, surgery to remove right fallopian tube on 2/17/2017 FET 2: Femara, Gonal-F, and Clomid: Cycle Canceled due to low progesterone FET 3: July 7, Femara, Gonal-F, Clomid-BFP!!!!!! Due March 2018
@Worldtravler0522 I'm so sorry. Did you ask your RE any advice or were they not there since it's Sunday? I am all too familiar with the stuck in limbo feeling, it's awful to just feel helpless. Try to remain hopeful that you aren't out yet. Sending hugs.
Married to DH since 8/15
TTC since 5/15
PCOS, 35+, diagnosed with pre-diabetes TI for 4 cycles: 1 round of femara; 2 rounds femara/ injectables: all ended in BFN. 3 IUI Cycles: letrozole/Follistim with HCG Trigger,all resulted in BFN. FET #1: Baseline appt 4/28/16, Gonal-F/Menopur stims, Centrotide 5/4/16, ER 5/11/16; 6/8/16 ET, BFN FET #2: Baseline appt 6/22/16, Estrace/PIO shots: 7/12/16 ET, 1st beta 7/21/16: 83 BFP, 2nd beta 7/23/16: 315. 1st U/S: 8/4/16 empty sac. 2nd U/S: 8/10/16 yolk sac appeared, everything stopped growing. Office D&C: 8/11/16, MC. FET #3: Baseline appt 12/28/16, Estrace/PIO shots: 1/17/17 ET, 1st beta 1/27/17: 146 BFP, 2nd beta 1/29/17: 336, 1st U/S: 2/16/17, 2 healthy twin babies measuring 7w0d. EDD: 10/5/17
@Worldtravler0522 TW my first pregnancy about 8 weeks I started bleeding really bad. Went to the er and she told me to accept that I was loosing the babies. Went to my OBG the next day devastated and I had a blood clot that had formed in my cervics that had popped. Hand in there. I'm thinking of you. Big hugs
Me: 33 DH: 39 Me: Endo, PCOS, DH: low life span and mobility Married and TTC since 12/2008 3 IUI's in 2012 IVF #1 BFN 08/2012 IVF #2 11/2012 Twin Girls born at 35wks 7/2013 ER 4/2016 Freeze all 11 embryo's FET #1 5/2016 Transfer 1 BFN FET #2 7/2016 Transfer 1 BFN FET #3 09/2016 Thawed 3 Transfered 1 CP FET #4 1/2017 Transfer 2 CP FET #5 April 24, 2017 Transfering 1 BFN FET #6 June 8, 2017 Transfer 2 Beta #1 721 Beta #2 1363 US on 7/5 1 baby found EDD 2/24/18
@emgem819 nothing to do but wait at this point. Too early for an ultrasound so we just wait for blood to see what's going on. It's almost impossible for me at this point not to give up hope. We've been here two time before just to be shot down.
Me 36 DH 34 - Married May 2010 DX: PCOS/Unexplained Infertility/MTHFR Mutation TTC since December 2014 Fresh Transfer: Gonal, Menopur, Cetrotide. ~ Chemical Pregnancy FET #1: 1st Beta- 3,792~ 2nd Beta- 4,227~ BFP ~ Miscarriage at 8 weeks FET #2: 1st Beta 207~2nd Beta 235~ BFP~ Miscarriage at 6 weeks FET #3: 1st Beta 18~ 2nd Beta 44~BFP~ Miscarriage 5 weeks FET #4: 1st Beta 50~ 2nd Beta 97.7~ Miscarriage 6 weeks 5 days FET#5: 1st Beta 29~ 2nd Beta 109~ 3rd Beta 227~ 4th Beta 661~ Miscarriage 5 weeks 3 days Miracle Natural BFP Estimated Due Date June 2019~ God is good 2 snow babies
@amanning2011 I think it's really cool that you're able to get your HCG measured so early. FX that it keeps increasing and you see a big jump tomorrow.
@Worldtravler0522 I'm so sorry you're going through this and really hope your next blood draw goes well. Are you still bleeding/spotting?
AFM, I've been intermittently brown spotting all week. Nothing heavy and never enough to need to change the panty liner (or necessarily need one in some cases), but I can't help but worry. I also found out yesterday that the lab forgot to measure my estrogen or progesterone at my 2nd beta last Sunday. Due to the screw up, they did a third blood draw this morning to check HCG, estrogen, and progesterone, so now I get to be anxious all over again. In other news, I had to give myself the PIO last night because DH decided to big time overindulge at our neighborhood dinner party and was no use to anyone--and definitely not to be trusted with a big needle. Needless to say, I'm not a happy camper this morning. Sorry for the venting.
fingers_crossed, that’s such great
news! I hope you have a wonderful beta!
JESSABER0414!! I’m sure your beta will
be great tomorrow.
ChocolateIsLife Yeah it has been
stressful but now I’m kind of excited to have another doctor do it….maybe it’s
the change we’ve been needing. No, I have not met her.
Well ladies, had my beta this morning and it was negative . We are devastated about the news! We only have one embryo left so our next fet will be our last try. I know as soon as I heard my RE's voice it was bad news, I could even hear her getting chocked up. So now I'll stop meds and wait for af. I'm also going to call and chat with my doctor tomorrow, since my mind wasn't thinking too straight when she called.
Anyone do a natural fet? Or anyone use vaginal viagra? Just trying to brainstorm some ideas...
@jodes727 I'm sorry to hear about your negative beta. Glad you're calling your RE to get more advice...I did that last time and it really made me feel like we had more of a plan for the next time. Glad you are able to go at it again with your last embryo. Hoping for the best for you for next time around.
Married to DH since 8/15
TTC since 5/15
PCOS, 35+, diagnosed with pre-diabetes TI for 4 cycles: 1 round of femara; 2 rounds femara/ injectables: all ended in BFN. 3 IUI Cycles: letrozole/Follistim with HCG Trigger,all resulted in BFN. FET #1: Baseline appt 4/28/16, Gonal-F/Menopur stims, Centrotide 5/4/16, ER 5/11/16; 6/8/16 ET, BFN FET #2: Baseline appt 6/22/16, Estrace/PIO shots: 7/12/16 ET, 1st beta 7/21/16: 83 BFP, 2nd beta 7/23/16: 315. 1st U/S: 8/4/16 empty sac. 2nd U/S: 8/10/16 yolk sac appeared, everything stopped growing. Office D&C: 8/11/16, MC. FET #3: Baseline appt 12/28/16, Estrace/PIO shots: 1/17/17 ET, 1st beta 1/27/17: 146 BFP, 2nd beta 1/29/17: 336, 1st U/S: 2/16/17, 2 healthy twin babies measuring 7w0d. EDD: 10/5/17
@daniella144 POAS today? It's day 5 and you said you might today. Positive, right?
Siggy Warning--------
CP #1- due April 2017 lost 5.5 weeks cp #2- due May 2017 lost at 4.5 weeks iUI #1- BFN IUI #2-BFN IVF#1- transfer 2- BFP! Due October 2017 c/p#3 lost at 3.5 weeks
I'm so sorry @jodes727 . Did your RE give any suggestions on what she thought may have happened? I think you said your lining was >8mm so not likely to be a lining issue (I've only heard of viagra being used to thicken the lining)
Trigger warning in signature...
Me: 33 DH: 37 Together since 2010, Married August 2014 TTC: Off and on since April 2015 Diagnosis: Severe MFI 1/15/2017: FET #1, successful. Baby boy delivered via c-section 9/30/17 1/2/2018: FET #2: BFN
Oh @jodes727 I am so sorry Big hugs to you. I think thats a great idea to see what your RE thinks are the next steps. I always feel better knowing that there is some sort of plan set out. FX for you for your next cycle.
Thinking of you ladies today and sending big hugs and positive energy to everyone.
Me: 31 DH:35 TTC #1: March 2011 Fur-children: 3 dogs + 2 cats (all rescued) dx: Endometriosis and Fibroids 2 Laps and 1 Abdominal Myomectomy 6 rounds of clomid 5 rounds of iui IVF #1 Gonal F, Menopur and Cetrotide ER 12/1/2016:Retrieved 22 eggs 12 fertilized, developed moderate OHSS 4/4 day 5 embryos were normal for PGS!!! 2 boys/2 girls FET 1/10/2017 Gallbladder surgery 1/10/2017 FET 2/2 BFP 2/7/17 Beta#1: 594!!! Beta#2 1630!!! Having a girl! EDD 10/21/17
Numbers look good, second beta was at 336 so I'm happy with that. We told the nurse at blood draw we'd like to come for u/s at 7 weeks because of our awful experience last time when I miscarried...we had my first u/s at 6 weeks, they couldn't see much, then had me come back at 7 weeks to basically confirm I was going to MC. We want to make sure I'm far enough along that they can actually see something, maybe even hear a heartbeat. So nurse said she'd recommend we come 5 weeks after transfer, which would make 7 weeks. But when the other nurse called to tell me my beta numbers, she scheduled me for Feb 17th for first u/s which I feel like is at 6 weeks, as it's 4 weeks after transfer. Just called them back to make sure. Just confused at what week mark I'm at now and want to prevent another situation from happening again. And feel like all the nurses might not be on the same page.
Married to DH since 8/15
TTC since 5/15
PCOS, 35+, diagnosed with pre-diabetes TI for 4 cycles: 1 round of femara; 2 rounds femara/ injectables: all ended in BFN. 3 IUI Cycles: letrozole/Follistim with HCG Trigger,all resulted in BFN. FET #1: Baseline appt 4/28/16, Gonal-F/Menopur stims, Centrotide 5/4/16, ER 5/11/16; 6/8/16 ET, BFN FET #2: Baseline appt 6/22/16, Estrace/PIO shots: 7/12/16 ET, 1st beta 7/21/16: 83 BFP, 2nd beta 7/23/16: 315. 1st U/S: 8/4/16 empty sac. 2nd U/S: 8/10/16 yolk sac appeared, everything stopped growing. Office D&C: 8/11/16, MC. FET #3: Baseline appt 12/28/16, Estrace/PIO shots: 1/17/17 ET, 1st beta 1/27/17: 146 BFP, 2nd beta 1/29/17: 336, 1st U/S: 2/16/17, 2 healthy twin babies measuring 7w0d. EDD: 10/5/17
@rainbowwishes5 Hi! How r u doing? How was your transfer? I wasn't sure if I would see u back here... I did test today and got the faintest positive on frer so I'm hesitant to say anything until I see what happens in a couple of days.
@daniella144 I knew it would be positive. My transfer failed as I said it would. I've lost them all.
Siggy Warning--------
CP #1- due April 2017 lost 5.5 weeks cp #2- due May 2017 lost at 4.5 weeks iUI #1- BFN IUI #2-BFN IVF#1- transfer 2- BFP! Due October 2017 c/p#3 lost at 3.5 weeks
@rainbowwishes5 I'm so sorry, I know there is nothing I can say, but I have been thinking of you and I wish u the very best in whatever u decide to do next.
@emgem819 that does sound quite confusing. I hope you get clarity from your clinic soon. The 17th will be here before we know it! I'm excited that your second beta was good!
Me: 31 DH:35 TTC #1: March 2011 Fur-children: 3 dogs + 2 cats (all rescued) dx: Endometriosis and Fibroids 2 Laps and 1 Abdominal Myomectomy 6 rounds of clomid 5 rounds of iui IVF #1 Gonal F, Menopur and Cetrotide ER 12/1/2016:Retrieved 22 eggs 12 fertilized, developed moderate OHSS 4/4 day 5 embryos were normal for PGS!!! 2 boys/2 girls FET 1/10/2017 Gallbladder surgery 1/10/2017 FET 2/2 BFP 2/7/17 Beta#1: 594!!! Beta#2 1630!!! Having a girl! EDD 10/21/17
@Worldtravler0522 I'm so sorry you are in Limbo fingers crossed @rainbowwishes5 I'm so sorry @emgem awesom your second beta looks great @jodes727 I'm so sorry hopefully next time will be a success I'm going through a natural FET transfer now. I transferred on 1/25 TWW
Worldtravler0522 That is a great 1st Beta! I am sorry to hear about the bleeding but some people have bleeding and it can be totally normal. Hopefully your 3rd beta will give you some good numbers to feel secure about! Make sure to ask them about SCH's...cause they can cause bleeding too!
SwtAnana I hear ya...its hard to trust it will all go well. My symptoms have kinda gone away the past 4 days and it makes me super nervous. I agree, this process is so unfair and I feel for all of those facing negatives.
lilmissslp Excited for you that your getting closer to transfer! Glad the PIO shot went well!
ChocolateIsLife haha like lube!! Chalky cottage cheese...and so much "water" leakage too! I am so glad you talked to the DR and that he seemed to address the situation. SO frustrating! Glad things are looking good for you though!
amanning2011 Yeah bad news if any of DH's absorbed some of the progesterone. Ick! 4.1 is a good beta for that early!! Good luck tomorrow
Me: 37 DH: 32 TTGP Since 2014 INFERTILITY INFO (Medicated, IUI's, IVF/FET) IN SPOILER
October 2014-April 2015: Without Medication or Doctor Guidance No Periods/No O BFN Medicated April-December 2015: Clomid (didn't work) and so we tried Femera/Letrozole. Progesterone Met 1000 Not diagnosed PCOS but treating the same. Anovulatory. TI No US No O BFN - TW - IUI"S January 2016-October 2016: Letrozole 2.5mg-7.5 mg, Pregyl or Ovideral Trigger Shot. 9 cycles of IUI (7 Cancelled due to no mature follicles) (2 attempted IUI's with mature follicles)
IUI # 2 June 2016 and July 2016: Met 1000, Estrogen (21 days), Progesterone (5 days) Femera 5m 6/28/16 Ultrasound CD14 = 25 follie. Pregnyl Trigger CD14 IUI 7/13 1stBeta (DPO 15): 7.6 (Surprise BFP...but Low #'s) 2ndBeta (DPO 17): 18 3rdBeta (DPO 19) 52.8 Progesterone Prescribed (spotting) 4thBeta (DPO 26) 6.9 Chemical Pregnancy BFN IVF and FET (diagnosed with PCOS) 204 pounds at start of IVF IVF # 1 October and November 2016: CCRM - Minneapolis 10/14 Consult and CD 3 testing, 10/14 started (OCP Antagonist - BCP) BCP, 10/21 1 day work up, Doxycycline 100mg 10 days, 10/24 stop bcp, Bloodwork US 10/29, 10/30-11/8 Stims 2 vials of Menopur, Dexamethasone, 225 of Gonal-F daily (dropped to 120). CCRM Vitamin Cocktail (like 20 of them), Monitoring (11/2, 11/4, 11/5, 11/6, 11/7, 11/8), Retrieval 11/10 (38 eggs, 30 mature, 16 fertilized ICSI), 11/16 8 Blasts 11/30CCS testing results 3 Normal 5aa's (2 boys and 1 girl) 1 Unknown 4 Abnormal (All girls)
Fet #1 January 2017: CCRM - Minneapolis bcp/lupron/suppository/p4 in oil QOD AF 12/7, 12/8 start meds. 1/3 lining and blood work check 14/15 mm, BW check 1/6. 1/9 transfer with acupuncture 1 CCS/PGS Normal 5aa hatching Progesterone around 26ish? Lower estrogen level 207 (wanted above 300 but over 200 was acceptable), started 1 estrace, progesterone in oil every other day, vivelle dot patches 4 every other day, 3x estrodiol daily, vitamin cocktail. POAS: - 4dp5dt and 5dp5dt, 6dp5dt frer very very very faint line. 7dp5dt and 8dp5dt + on Accuclear. 8dp5dt pregnant on a clear blue easy digital. 214 pounds at FET 1/18 #1 Beta 91.1 1/20 #2 Beta 215.9 2/3 6 week US 2 sacs? Twins? but only 1 heartbeat/pole good heartbeat Stopped taking baby asprin Added in DHEA Veg Vitamin (also got the report that they transferred a girl 5aa eggo) 2/10 7 week US 2 sacs (likely vanishing twin) only 1 heartbeat/pole etc good heartbeat 137 2/24 9 week US 1 eggo sac good heart beat 182 1 very small fluid sac (shrinking) 2/24 9 week 2 days start weening. Graduated from RE (CCRM is now starting weening as soon as 8.5 weeks) 3/7 10 Weeks 5 days weened completely of FET meds A1C 5.3% (Normal) 3/9 11 Weeks 1 day my progesterone level was 15 and my estrogen level was 881 (I freaked out!) 3/16 12 Weeks 1 day baby heard on doppler 164 HB 4/14 16 week 2 days Ultrasound baby is looking good with all good numbers sized 17 weeks. Also got to hear her on the doppler for a few mins too.
5/5 19 Weeks 2 days going in for "20" week anatomy ultrasound got measurements but need to come back as wasn't able to get all the measurements MEASUREMENTS BPD 4.6 cm 19 weeks 6 days* (78%) HC 17.0 cm 19 weeks 4 days* (70%) AC 14.5 cm 19 weeks 4 days* (69%) Femur 3.1 cm 19 weeks 6 days* (63%) Humerus 3.1 cm 20 weeks 2 days (84%) Cerebellum 2.0 cm 19 weeks 5 days CisternaMagna 6.2 mm Nuchal Fold 4.5 mm HC/AC 1.17 FL/AC 0.22 FL/BPD 0.68 EFW (Ac/Fl/Hc) 309 grams - 0 lbs 11 oz THE AVERAGE GESTATIONAL AGE is 19 weeks 5 days +/- 10 days. 6/9 24 Weeks 2 days Glucose Test 1 hour (Failed) 190 6/16 25 Weeks 2 days Ultrasound and 1st Baby Shower 6/20 25 Weeks 6 days Glucose Test 3 Hours (Failed) 95 (95), 183 (180), 213 (155), 198 (140) etc 6/21 26 Weeks Recommended to a perintologist 6/22 26 Weeks 1 day start monitoring blood sugar levels 6/30 27 Weeks 2 day A1 (blood sugar test ordered)
7/5 28 Weeks Echo and 3d Ultrasound AMNIOTIC FLUID Q1: 2.6 Q2: 3.2 Q3: 4.8 Q4: 5.6 AFI Total = 16.3 cm Amniotic Fluid: Normal MEASUREMENTS BPD 7.2 cm 28 weeks 5 days* (60%) HC 26.4 cm 28 weeks 4 days* (48%) AC 23.3 cm 27 weeks 4 days* (36%) Femur 5.2 cm 28 weeks 0 days* (36%) Humerus 4.8 cm 28 weeks 0 days (49%) HC/AC 1.13 FL/AC 0.23 FL/BPD 0.73 Ceph Index 0.77 EFW (Ac/Fl/Hc) 1142 grams - 2 lbs 8 oz (37%) THE AVERAGE GESTATIONAL AGE is 28 weeks 1 day +/- 14 days.
7/10 28 Weeks 5 days Dietitian Appt and Lactatcian Consultant and A1 blood draw 5.4% (normal) 218.5 pounds 7/20 30 Weeks GD consult. 6 Lantus at 7pm daily. Novolog 1 unit for every 15 gm carbohydrate if consumed more than 30 gm at brkfst or 60 gm at lunch or supper 215.6 pounds 7/20 30 Weeks Transferred care to OB due to high risk. 216 pounds
8/2 32 Weeks Ultrasound (not cooperative and still breech) and then weekly NST's MEASUREMENTS BPD 8.0 cm 32 weeks 2 days* (44%) HC 29.2 cm 31 weeks 6 days* (22%) AC 26.9 cm 31 weeks 0 days* (24%) Femur 6.3 cm 32 weeks 2 days* (57%) Humerus 5.7 cm 32 weeks 6 days (71%) HC/AC 1.08 FL/AC 0.23 FL/BPD 0.78 Ceph Index 0.78 EFW (Ac/Fl/Hc) 1808 grams - 3 lbs 15 oz (29%) THE AVERAGE GESTATIONAL AGE is 31 weeks 6 days +/- 18 days. AMNIOTIC FLUID Q1: 3.4 Q2: 2.9 Q3: 2.9 Q4: 4.4 AFI Total = 13.6 cm Amniotic Fluid: Normal
8/8 32w6d upped to 1:10 for dinner 8/11 Baby Shower 8/13 Baby Shower 8/16 34 weeks NST good reading Upped to 8 at bed for fasting and 1:7 for dinner 8/18 Dr Appt
8/24 35 weeks 1 day (was suppose to be scheduled for 36 weeks) Weeks Ultrasound/GD Dr Appt/OB Appt Frank Breech MEASUREMENTS BPD 8.9 cm 35 weeks 6 days* (67%) HC 31.7 cm 35 weeks 1 day * (35%) AC 30.2 cm 34 weeks 2 days* (33%) Femur 6.9 cm 34 weeks 6 days* (57%) Humerus 6.0 cm 34 weeks 6 days (64%) HC/AC 1.05 FL/AC 0.23 FL/BPD 0.78 Ceph Index 0.80 EFW (Ac/Fl/Hc) 2494 grams - 5 lbs 8 oz (39%) THE AVERAGE GESTATIONAL AGE is 35 weeks 1 day +/- 21 days. AMNIOTIC FLUID Q1: 3.3 Q2: 3.8 Q3: 2.4 Q4: 3.8 AFI Total = 13.4 cm Amniotic Fluid: Normal
8/31 36 Weeks 9/7 37 Weeks 9/10 Water broke...I got it tested at the emergency room it it showed it was negative. More water breaking and didn't go to the dr. 9/11 37 weeks 4 days Called the Dr and got retested for water breaking... 10:30pmish Baby Girl Born via Emergency C Section (Frank Breech Baby) 6lbs 3oz - 9/13 Dropped to 5 pounds 10oz and had jaundice 9/13 38 weeks
9/22 39 Weeks 2 days C Section Scheduled for 10am (arrive at 8am) Equinox/Solstice EDD 9/27
Thanks for the gl's for tomorrow. I'm nervouse. More nervous of it not working than both taking. We had 11 frozen and we are 4 FET'S deep and only 3 left. I can't imagine it not working this time especially transferring 2. DH is so anxious he works seconds. He made the comment today that I just don't get the anticipation he has cause some times we don't get the results till right before he goes to wrk. Really I don't get the anticipation?? Lol OMG. I've been pretty tired and I'm still feeling very full in the lower abdomin. My hips and lower back are soar but I think that's from the PIO but hopefully tonight's not the last night for those.
Me: 33 DH: 39 Me: Endo, PCOS, DH: low life span and mobility Married and TTC since 12/2008 3 IUI's in 2012 IVF #1 BFN 08/2012 IVF #2 11/2012 Twin Girls born at 35wks 7/2013 ER 4/2016 Freeze all 11 embryo's FET #1 5/2016 Transfer 1 BFN FET #2 7/2016 Transfer 1 BFN FET #3 09/2016 Thawed 3 Transfered 1 CP FET #4 1/2017 Transfer 2 CP FET #5 April 24, 2017 Transfering 1 BFN FET #6 June 8, 2017 Transfer 2 Beta #1 721 Beta #2 1363 US on 7/5 1 baby found EDD 2/24/18
@rainbowwishes5 I'm so sorry I hope you find peace in whatever decision you make
@emgem819 Congrats! I hope they get the US stuff ironed out. There are enough kinks in the infertility stuff as it is.
@jodes727 I'm sorry for the bad news I agree with everyone else that getting your doctor's opinion sounds like a good idea. I did a natural cycle this time around (as natural as I can when I don't ovulate on my own). Although from reading everyone elses's natural FET cycle mine is really weird compared to everyone's.
Met 2004, Married 2011, Trying since 2013. Info in spoiler:
Me: 30 Diagnosed with PCOS, later changed to unexplained anovulation due to high prolactin and normal testosterone levels Him: 31 High sperm count (yay!) but also super high fluid volume (boo!) First IUI, Clomid and Follistim: 11/29-BFN Second IUI, Femara and Follistim: 12/29-BFN Third IUI, Femara and Gonal-F (and Follistim): 1/28 BFN Fourth IUI, Femara and Gonal-F: 7/23 BFN IVF 1: Femara and Gonal-F: 1/23/2017 Beta Study: Beta #1: 1/28/2017 4.1 Beta #2: 1/30/2017 34 Beta #3: 2/1/2017 131 Beta #4: 2/3/2017 476 Ultrasound: 2/14/17-Twin Etopic Pregnancy, surgery to remove right fallopian tube on 2/17/2017 FET 2: Femara, Gonal-F, and Clomid: Cycle Canceled due to low progesterone FET 3: July 7, Femara, Gonal-F, Clomid-BFP!!!!!! Due March 2018
Me: 33 DH: 39 Me: Endo, PCOS, DH: low life span and mobility Married and TTC since 12/2008 3 IUI's in 2012 IVF #1 BFN 08/2012 IVF #2 11/2012 Twin Girls born at 35wks 7/2013 ER 4/2016 Freeze all 11 embryo's FET #1 5/2016 Transfer 1 BFN FET #2 7/2016 Transfer 1 BFN FET #3 09/2016 Thawed 3 Transfered 1 CP FET #4 1/2017 Transfer 2 CP FET #5 April 24, 2017 Transfering 1 BFN FET #6 June 8, 2017 Transfer 2 Beta #1 721 Beta #2 1363 US on 7/5 1 baby found EDD 2/24/18
Gosh, I always feel like I come back from the weekend and there is so much going on!
@Worldtravler0522 I am so sorry to hear that you are spotting and that you are worried about your cycle. I wish that at some point in IF we could just breathe without waiting on the other shoe to drop. Big hug to you girlie!!
@cherrybea keep you head up girlie, 4dp5dt is still very early!!
@jodes727 I am so sorry to hear about the BFN. I am praying that your RE can help come up with a good game plan for how to cycle next and find success!
@lilmissslp and @ChocolateIsLife EKKK! Good luck with your transfers on Thursday!! I am excited for ya'll and I'm right behind you. I have my Baseline US/BW on Wed and recheck on Fri for progestrone and then transfer 2/7! Can't believe it's almost here.
Me: 29 DH:38
First RE Consult 3/9/2016 IVF ER 5/5/2016 23 eggs retrieved; 15 mature; 8 developed to embryos; 6 frozen day 5; 2 frozen day 6 Transfer canceled OHSS FET #1 6/2/2016 transferred 2 embryos Beta #1 6/15/2016 BFN FET #2 8/1/2016 transferred last 2 embryos (lost 4 in the thaw) Beta #1 8/12/16 BFN IVF #2: Started stims 12/2 ER #2 12/14/2016; 16 follies retrieved, 8 fertilized to day 1, 4 frozen day 5, and 1 frozen day 6 Praying my frosties are strong through the next thaw FX FET # 3 2/07/2017 2 embabies thawed 2 embabies transferred 2/14/2017 *TW* First ever BFP Beta #1 2/20/2017 277 Beta #2 2/23/2017 8,945...did I hear you right! 3/10/2017 One beating heart HR 168!! So very happy 3/10/2017 Official graduate from Jones Institute for Reproductive Health!! Couldn't help but cry 6/8/2017 Anatomy Scan proves ITS A GIRL! 10/30/17 An angel was Born; Riley Charlize 7:50 AM my heart is so full
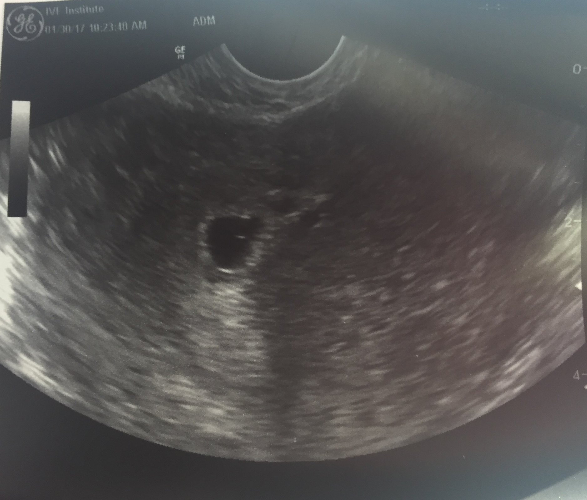
I'm 5W 3D and Just got out of Ultrasound #1 and there is 1 sac. so only 1 embie stuck. We go back on 2/10 to see the fetus and the heartbeat will be present by then! God is so good!
Me: 33 DH: 39 Me: Endo, PCOS, DH: low life span and mobility Married and TTC since 12/2008 3 IUI's in 2012 IVF #1 BFN 08/2012 IVF #2 11/2012 Twin Girls born at 35wks 7/2013 ER 4/2016 Freeze all 11 embryo's FET #1 5/2016 Transfer 1 BFN FET #2 7/2016 Transfer 1 BFN FET #3 09/2016 Thawed 3 Transfered 1 CP FET #4 1/2017 Transfer 2 CP FET #5 April 24, 2017 Transfering 1 BFN FET #6 June 8, 2017 Transfer 2 Beta #1 721 Beta #2 1363 US on 7/5 1 baby found EDD 2/24/18
krisnjoe Awesome to get to see your little eggo! I hope your doing ok about it being a singleton. What an awesome picture! Looking forward to your 2/10 us!!
Me: 37 DH: 32 TTGP Since 2014 INFERTILITY INFO (Medicated, IUI's, IVF/FET) IN SPOILER
October 2014-April 2015: Without Medication or Doctor Guidance No Periods/No O BFN Medicated April-December 2015: Clomid (didn't work) and so we tried Femera/Letrozole. Progesterone Met 1000 Not diagnosed PCOS but treating the same. Anovulatory. TI No US No O BFN - TW - IUI"S January 2016-October 2016: Letrozole 2.5mg-7.5 mg, Pregyl or Ovideral Trigger Shot. 9 cycles of IUI (7 Cancelled due to no mature follicles) (2 attempted IUI's with mature follicles)
IUI # 2 June 2016 and July 2016: Met 1000, Estrogen (21 days), Progesterone (5 days) Femera 5m 6/28/16 Ultrasound CD14 = 25 follie. Pregnyl Trigger CD14 IUI 7/13 1stBeta (DPO 15): 7.6 (Surprise BFP...but Low #'s) 2ndBeta (DPO 17): 18 3rdBeta (DPO 19) 52.8 Progesterone Prescribed (spotting) 4thBeta (DPO 26) 6.9 Chemical Pregnancy BFN IVF and FET (diagnosed with PCOS) 204 pounds at start of IVF IVF # 1 October and November 2016: CCRM - Minneapolis 10/14 Consult and CD 3 testing, 10/14 started (OCP Antagonist - BCP) BCP, 10/21 1 day work up, Doxycycline 100mg 10 days, 10/24 stop bcp, Bloodwork US 10/29, 10/30-11/8 Stims 2 vials of Menopur, Dexamethasone, 225 of Gonal-F daily (dropped to 120). CCRM Vitamin Cocktail (like 20 of them), Monitoring (11/2, 11/4, 11/5, 11/6, 11/7, 11/8), Retrieval 11/10 (38 eggs, 30 mature, 16 fertilized ICSI), 11/16 8 Blasts 11/30CCS testing results 3 Normal 5aa's (2 boys and 1 girl) 1 Unknown 4 Abnormal (All girls)
Fet #1 January 2017: CCRM - Minneapolis bcp/lupron/suppository/p4 in oil QOD AF 12/7, 12/8 start meds. 1/3 lining and blood work check 14/15 mm, BW check 1/6. 1/9 transfer with acupuncture 1 CCS/PGS Normal 5aa hatching Progesterone around 26ish? Lower estrogen level 207 (wanted above 300 but over 200 was acceptable), started 1 estrace, progesterone in oil every other day, vivelle dot patches 4 every other day, 3x estrodiol daily, vitamin cocktail. POAS: - 4dp5dt and 5dp5dt, 6dp5dt frer very very very faint line. 7dp5dt and 8dp5dt + on Accuclear. 8dp5dt pregnant on a clear blue easy digital. 214 pounds at FET 1/18 #1 Beta 91.1 1/20 #2 Beta 215.9 2/3 6 week US 2 sacs? Twins? but only 1 heartbeat/pole good heartbeat Stopped taking baby asprin Added in DHEA Veg Vitamin (also got the report that they transferred a girl 5aa eggo) 2/10 7 week US 2 sacs (likely vanishing twin) only 1 heartbeat/pole etc good heartbeat 137 2/24 9 week US 1 eggo sac good heart beat 182 1 very small fluid sac (shrinking) 2/24 9 week 2 days start weening. Graduated from RE (CCRM is now starting weening as soon as 8.5 weeks) 3/7 10 Weeks 5 days weened completely of FET meds A1C 5.3% (Normal) 3/9 11 Weeks 1 day my progesterone level was 15 and my estrogen level was 881 (I freaked out!) 3/16 12 Weeks 1 day baby heard on doppler 164 HB 4/14 16 week 2 days Ultrasound baby is looking good with all good numbers sized 17 weeks. Also got to hear her on the doppler for a few mins too.
5/5 19 Weeks 2 days going in for "20" week anatomy ultrasound got measurements but need to come back as wasn't able to get all the measurements MEASUREMENTS BPD 4.6 cm 19 weeks 6 days* (78%) HC 17.0 cm 19 weeks 4 days* (70%) AC 14.5 cm 19 weeks 4 days* (69%) Femur 3.1 cm 19 weeks 6 days* (63%) Humerus 3.1 cm 20 weeks 2 days (84%) Cerebellum 2.0 cm 19 weeks 5 days CisternaMagna 6.2 mm Nuchal Fold 4.5 mm HC/AC 1.17 FL/AC 0.22 FL/BPD 0.68 EFW (Ac/Fl/Hc) 309 grams - 0 lbs 11 oz THE AVERAGE GESTATIONAL AGE is 19 weeks 5 days +/- 10 days. 6/9 24 Weeks 2 days Glucose Test 1 hour (Failed) 190 6/16 25 Weeks 2 days Ultrasound and 1st Baby Shower 6/20 25 Weeks 6 days Glucose Test 3 Hours (Failed) 95 (95), 183 (180), 213 (155), 198 (140) etc 6/21 26 Weeks Recommended to a perintologist 6/22 26 Weeks 1 day start monitoring blood sugar levels 6/30 27 Weeks 2 day A1 (blood sugar test ordered)
7/5 28 Weeks Echo and 3d Ultrasound AMNIOTIC FLUID Q1: 2.6 Q2: 3.2 Q3: 4.8 Q4: 5.6 AFI Total = 16.3 cm Amniotic Fluid: Normal MEASUREMENTS BPD 7.2 cm 28 weeks 5 days* (60%) HC 26.4 cm 28 weeks 4 days* (48%) AC 23.3 cm 27 weeks 4 days* (36%) Femur 5.2 cm 28 weeks 0 days* (36%) Humerus 4.8 cm 28 weeks 0 days (49%) HC/AC 1.13 FL/AC 0.23 FL/BPD 0.73 Ceph Index 0.77 EFW (Ac/Fl/Hc) 1142 grams - 2 lbs 8 oz (37%) THE AVERAGE GESTATIONAL AGE is 28 weeks 1 day +/- 14 days.
7/10 28 Weeks 5 days Dietitian Appt and Lactatcian Consultant and A1 blood draw 5.4% (normal) 218.5 pounds 7/20 30 Weeks GD consult. 6 Lantus at 7pm daily. Novolog 1 unit for every 15 gm carbohydrate if consumed more than 30 gm at brkfst or 60 gm at lunch or supper 215.6 pounds 7/20 30 Weeks Transferred care to OB due to high risk. 216 pounds
8/2 32 Weeks Ultrasound (not cooperative and still breech) and then weekly NST's MEASUREMENTS BPD 8.0 cm 32 weeks 2 days* (44%) HC 29.2 cm 31 weeks 6 days* (22%) AC 26.9 cm 31 weeks 0 days* (24%) Femur 6.3 cm 32 weeks 2 days* (57%) Humerus 5.7 cm 32 weeks 6 days (71%) HC/AC 1.08 FL/AC 0.23 FL/BPD 0.78 Ceph Index 0.78 EFW (Ac/Fl/Hc) 1808 grams - 3 lbs 15 oz (29%) THE AVERAGE GESTATIONAL AGE is 31 weeks 6 days +/- 18 days. AMNIOTIC FLUID Q1: 3.4 Q2: 2.9 Q3: 2.9 Q4: 4.4 AFI Total = 13.6 cm Amniotic Fluid: Normal
8/8 32w6d upped to 1:10 for dinner 8/11 Baby Shower 8/13 Baby Shower 8/16 34 weeks NST good reading Upped to 8 at bed for fasting and 1:7 for dinner 8/18 Dr Appt
8/24 35 weeks 1 day (was suppose to be scheduled for 36 weeks) Weeks Ultrasound/GD Dr Appt/OB Appt Frank Breech MEASUREMENTS BPD 8.9 cm 35 weeks 6 days* (67%) HC 31.7 cm 35 weeks 1 day * (35%) AC 30.2 cm 34 weeks 2 days* (33%) Femur 6.9 cm 34 weeks 6 days* (57%) Humerus 6.0 cm 34 weeks 6 days (64%) HC/AC 1.05 FL/AC 0.23 FL/BPD 0.78 Ceph Index 0.80 EFW (Ac/Fl/Hc) 2494 grams - 5 lbs 8 oz (39%) THE AVERAGE GESTATIONAL AGE is 35 weeks 1 day +/- 21 days. AMNIOTIC FLUID Q1: 3.3 Q2: 3.8 Q3: 2.4 Q4: 3.8 AFI Total = 13.4 cm Amniotic Fluid: Normal
8/31 36 Weeks 9/7 37 Weeks 9/10 Water broke...I got it tested at the emergency room it it showed it was negative. More water breaking and didn't go to the dr. 9/11 37 weeks 4 days Called the Dr and got retested for water breaking... 10:30pmish Baby Girl Born via Emergency C Section (Frank Breech Baby) 6lbs 3oz - 9/13 Dropped to 5 pounds 10oz and had jaundice 9/13 38 weeks
9/22 39 Weeks 2 days C Section Scheduled for 10am (arrive at 8am) Equinox/Solstice EDD 9/27
Thanks everyone Blood draw went better today than it did on Saturday, so I'm hoping for less bruising this time lol. DH wants to hear the results with me, but he won't be home until 11pm!!!!! I hope I can have the will power to wait that long.
Met 2004, Married 2011, Trying since 2013. Info in spoiler:
Me: 30 Diagnosed with PCOS, later changed to unexplained anovulation due to high prolactin and normal testosterone levels Him: 31 High sperm count (yay!) but also super high fluid volume (boo!) First IUI, Clomid and Follistim: 11/29-BFN Second IUI, Femara and Follistim: 12/29-BFN Third IUI, Femara and Gonal-F (and Follistim): 1/28 BFN Fourth IUI, Femara and Gonal-F: 7/23 BFN IVF 1: Femara and Gonal-F: 1/23/2017 Beta Study: Beta #1: 1/28/2017 4.1 Beta #2: 1/30/2017 34 Beta #3: 2/1/2017 131 Beta #4: 2/3/2017 476 Ultrasound: 2/14/17-Twin Etopic Pregnancy, surgery to remove right fallopian tube on 2/17/2017 FET 2: Femara, Gonal-F, and Clomid: Cycle Canceled due to low progesterone FET 3: July 7, Femara, Gonal-F, Clomid-BFP!!!!!! Due March 2018
Re: JANUARY FET BUDDIES
Together since 2010, Married August 2014
TTC: Off and on since April 2015
Diagnosis: Severe MFI
1/15/2017: FET #1, successful. Baby boy delivered via c-section 9/30/17
1/2/2018: FET #2: BFN
AFM: My first beta was today, and it was a pretty low number 4.1. But as it is only 5dp5dt the nurse said a low number like that is to be expected and as long as it keeps increasing everything should be fine, so I am ever hopeful for a much higher number on Monday.
Diagnosed with PCOS, later changed to unexplained anovulation due to high prolactin and normal testosterone levels
Him: 31
High sperm count (yay!) but also super high fluid volume (boo!)
First IUI, Clomid and Follistim: 11/29-BFN
Second IUI, Femara and Follistim: 12/29-BFN
Third IUI, Femara and Gonal-F (and Follistim): 1/28 BFN
Fourth IUI, Femara and Gonal-F: 7/23 BFN
IVF 1: Femara and Gonal-F: 1/23/2017
Beta Study:
Beta #1: 1/28/2017 4.1
Beta #2: 1/30/2017 34
Beta #3: 2/1/2017 131
Beta #4: 2/3/2017 476
Ultrasound: 2/14/17-Twin Etopic Pregnancy, surgery to remove right fallopian tube on 2/17/2017
FET 2: Femara, Gonal-F, and Clomid: Cycle Canceled due to low progesterone
FET 3: July 7, Femara, Gonal-F, Clomid-BFP!!!!!! Due March 2018
DX: PCOS/Unexplained Infertility/MTHFR Mutation
TTC since December 2014
Fresh Transfer: Gonal, Menopur, Cetrotide. ~ Chemical Pregnancy
FET #1: 1st Beta- 3,792~ 2nd Beta- 4,227~ BFP ~ Miscarriage at 8 weeks
FET #2: 1st Beta 207~2nd Beta 235~ BFP~ Miscarriage at 6 weeks
FET #3: 1st Beta 18~ 2nd Beta 44~BFP~ Miscarriage 5 weeks
FET #4: 1st Beta 50~ 2nd Beta 97.7~ Miscarriage 6 weeks 5 days
FET#5: 1st Beta 29~ 2nd Beta 109~ 3rd Beta 227~ 4th Beta 661~ Miscarriage 5 weeks 3 days
Miracle Natural BFP Estimated Due Date June 2019~ God is good
2 snow babies
TI for 4 cycles: 1 round of femara; 2 rounds femara/ injectables: all ended in BFN.
3 IUI Cycles: letrozole/Follistim with HCG Trigger,all resulted in BFN.
FET #1: Baseline appt 4/28/16, Gonal-F/Menopur stims, Centrotide 5/4/16, ER 5/11/16; 6/8/16 ET, BFN
FET #2: Baseline appt 6/22/16, Estrace/PIO shots: 7/12/16 ET, 1st beta 7/21/16: 83 BFP, 2nd beta 7/23/16: 315. 1st U/S: 8/4/16 empty sac. 2nd U/S: 8/10/16 yolk sac appeared, everything stopped growing. Office D&C: 8/11/16, MC.
FET #3: Baseline appt 12/28/16, Estrace/PIO shots: 1/17/17 ET, 1st beta 1/27/17: 146 BFP, 2nd beta 1/29/17: 336, 1st U/S: 2/16/17, 2 healthy twin babies measuring 7w0d. EDD: 10/5/17
Me: Endo, PCOS,
DH: low life span and mobility
Married and TTC since 12/2008
3 IUI's in 2012
IVF #1 BFN 08/2012
IVF #2 11/2012 Twin Girls born at 35wks 7/2013
ER 4/2016 Freeze all 11 embryo's
FET #1 5/2016 Transfer 1 BFN
FET #2 7/2016 Transfer 1 BFN
FET #3 09/2016 Thawed 3 Transfered 1 CP
FET #4 1/2017 Transfer 2 CP
FET #5 April 24, 2017 Transfering 1 BFN
FET #6 June 8, 2017 Transfer 2 Beta #1 721 Beta #2 1363
US on 7/5 1 baby found EDD 2/24/18
DX: PCOS/Unexplained Infertility/MTHFR Mutation
TTC since December 2014
Fresh Transfer: Gonal, Menopur, Cetrotide. ~ Chemical Pregnancy
FET #1: 1st Beta- 3,792~ 2nd Beta- 4,227~ BFP ~ Miscarriage at 8 weeks
FET #2: 1st Beta 207~2nd Beta 235~ BFP~ Miscarriage at 6 weeks
FET #3: 1st Beta 18~ 2nd Beta 44~BFP~ Miscarriage 5 weeks
FET #4: 1st Beta 50~ 2nd Beta 97.7~ Miscarriage 6 weeks 5 days
FET#5: 1st Beta 29~ 2nd Beta 109~ 3rd Beta 227~ 4th Beta 661~ Miscarriage 5 weeks 3 days
Miracle Natural BFP Estimated Due Date June 2019~ God is good
2 snow babies
@Worldtravler0522 I'm so sorry you're going through this and really hope your next blood draw goes well. Are you still bleeding/spotting?
AFM, I've been intermittently brown spotting all week. Nothing heavy and never enough to need to change the panty liner (or necessarily need one in some cases), but I can't help but worry. I also found out yesterday that the lab forgot to measure my estrogen or progesterone at my 2nd beta last Sunday. Due to the screw up, they did a third blood draw this morning to check HCG, estrogen, and progesterone, so now I get to be anxious all over again. In other news, I had to give myself the PIO last night because DH decided to big time overindulge at our neighborhood dinner party and was no use to anyone--and definitely not to be trusted with a big needle. Needless to say, I'm not a happy camper this morning. Sorry for the venting.
DX: PCOS/Unexplained Infertility/MTHFR Mutation
TTC since December 2014
Fresh Transfer: Gonal, Menopur, Cetrotide. ~ Chemical Pregnancy
FET #1: 1st Beta- 3,792~ 2nd Beta- 4,227~ BFP ~ Miscarriage at 8 weeks
FET #2: 1st Beta 207~2nd Beta 235~ BFP~ Miscarriage at 6 weeks
FET #3: 1st Beta 18~ 2nd Beta 44~BFP~ Miscarriage 5 weeks
FET #4: 1st Beta 50~ 2nd Beta 97.7~ Miscarriage 6 weeks 5 days
FET#5: 1st Beta 29~ 2nd Beta 109~ 3rd Beta 227~ 4th Beta 661~ Miscarriage 5 weeks 3 days
Miracle Natural BFP Estimated Due Date June 2019~ God is good
2 snow babies
fingers_crossed, that’s such great news! I hope you have a wonderful beta!
JESSABER0414!! I’m sure your beta will be great tomorrow.
ChocolateIsLife Yeah it has been stressful but now I’m kind of excited to have another doctor do it….maybe it’s the change we’ve been needing. No, I have not met her.
amanning2011 I hope your next beta jumps way up!
Worldtravler0522 I’m so sorry you’re going through this and are stuck in limbo. I hope you get good news at your next beta!
Unexplained/ Endo
Medicated IUIs # 1-3 BFN
IVF #1- BFN
FET #1- BFP; Ectopic pregnancy found at 7wks
FET #2- February 2017 BFP Beta #1- 119 (8dp5dt) Beta #2- 475 (12dp5dt)
So now I'll stop meds and wait for af. I'm also going to call and chat with my doctor tomorrow, since my mind wasn't thinking too straight when she called.
Anyone do a natural fet? Or anyone use vaginal viagra? Just trying to brainstorm some ideas...
TI for 4 cycles: 1 round of femara; 2 rounds femara/ injectables: all ended in BFN.
3 IUI Cycles: letrozole/Follistim with HCG Trigger,all resulted in BFN.
FET #1: Baseline appt 4/28/16, Gonal-F/Menopur stims, Centrotide 5/4/16, ER 5/11/16; 6/8/16 ET, BFN
FET #2: Baseline appt 6/22/16, Estrace/PIO shots: 7/12/16 ET, 1st beta 7/21/16: 83 BFP, 2nd beta 7/23/16: 315. 1st U/S: 8/4/16 empty sac. 2nd U/S: 8/10/16 yolk sac appeared, everything stopped growing. Office D&C: 8/11/16, MC.
FET #3: Baseline appt 12/28/16, Estrace/PIO shots: 1/17/17 ET, 1st beta 1/27/17: 146 BFP, 2nd beta 1/29/17: 336, 1st U/S: 2/16/17, 2 healthy twin babies measuring 7w0d. EDD: 10/5/17
Unexplained/ Endo
Medicated IUIs # 1-3 BFN
IVF #1- BFN
FET #1- BFP; Ectopic pregnancy found at 7wks
FET #2- February 2017 BFP Beta #1- 119 (8dp5dt) Beta #2- 475 (12dp5dt)
DX: PCOS/Unexplained Infertility/MTHFR Mutation
TTC since December 2014
Fresh Transfer: Gonal, Menopur, Cetrotide. ~ Chemical Pregnancy
FET #1: 1st Beta- 3,792~ 2nd Beta- 4,227~ BFP ~ Miscarriage at 8 weeks
FET #2: 1st Beta 207~2nd Beta 235~ BFP~ Miscarriage at 6 weeks
FET #3: 1st Beta 18~ 2nd Beta 44~BFP~ Miscarriage 5 weeks
FET #4: 1st Beta 50~ 2nd Beta 97.7~ Miscarriage 6 weeks 5 days
FET#5: 1st Beta 29~ 2nd Beta 109~ 3rd Beta 227~ 4th Beta 661~ Miscarriage 5 weeks 3 days
Miracle Natural BFP Estimated Due Date June 2019~ God is good
2 snow babies
CP #1- due April 2017 lost 5.5 weeks
cp #2- due May 2017 lost at 4.5 weeks
iUI #1- BFN
IUI #2-BFN
IVF#1- transfer 2- BFP! Due October 2017 c/p#3 lost at 3.5 weeks
Together since 2010, Married August 2014
TTC: Off and on since April 2015
Diagnosis: Severe MFI
1/15/2017: FET #1, successful. Baby boy delivered via c-section 9/30/17
1/2/2018: FET #2: BFN
Thinking of you ladies today and sending big hugs and positive energy to everyone.
TTC #1: March 2011
Fur-children: 3 dogs + 2 cats (all rescued)
dx: Endometriosis and Fibroids
2 Laps and 1 Abdominal Myomectomy
6 rounds of clomid
5 rounds of iui
IVF #1 Gonal F, Menopur and Cetrotide
ER 12/1/2016:Retrieved 22 eggs 12 fertilized, developed moderate OHSS
4/4 day 5 embryos were normal for PGS!!! 2 boys/2 girls
FET 1/10/2017
Gallbladder surgery 1/10/2017
FET 2/2
BFP 2/7/17
Having a girl! EDD 10/21/17
**TW**
Numbers look good, second beta was at 336 so I'm happy with that. We told the nurse at blood draw we'd like to come for u/s at 7 weeks because of our awful experience last time when I miscarried...we had my first u/s at 6 weeks, they couldn't see much, then had me come back at 7 weeks to basically confirm I was going to MC. We want to make sure I'm far enough along that they can actually see something, maybe even hear a heartbeat. So nurse said she'd recommend we come 5 weeks after transfer, which would make 7 weeks. But when the other nurse called to tell me my beta numbers, she scheduled me for Feb 17th for first u/s which I feel like is at 6 weeks, as it's 4 weeks after transfer. Just called them back to make sure. Just confused at what week mark I'm at now and want to prevent another situation from happening again. And feel like all the nurses might not be on the same page.
TI for 4 cycles: 1 round of femara; 2 rounds femara/ injectables: all ended in BFN.
3 IUI Cycles: letrozole/Follistim with HCG Trigger,all resulted in BFN.
FET #1: Baseline appt 4/28/16, Gonal-F/Menopur stims, Centrotide 5/4/16, ER 5/11/16; 6/8/16 ET, BFN
FET #2: Baseline appt 6/22/16, Estrace/PIO shots: 7/12/16 ET, 1st beta 7/21/16: 83 BFP, 2nd beta 7/23/16: 315. 1st U/S: 8/4/16 empty sac. 2nd U/S: 8/10/16 yolk sac appeared, everything stopped growing. Office D&C: 8/11/16, MC.
FET #3: Baseline appt 12/28/16, Estrace/PIO shots: 1/17/17 ET, 1st beta 1/27/17: 146 BFP, 2nd beta 1/29/17: 336, 1st U/S: 2/16/17, 2 healthy twin babies measuring 7w0d. EDD: 10/5/17
I did test today and got the faintest positive on frer so I'm hesitant to say anything until I see what happens in a couple of days.
CP #1- due April 2017 lost 5.5 weeks
cp #2- due May 2017 lost at 4.5 weeks
iUI #1- BFN
IUI #2-BFN
IVF#1- transfer 2- BFP! Due October 2017 c/p#3 lost at 3.5 weeks
Unexplained/ Endo
Medicated IUIs # 1-3 BFN
IVF #1- BFN
FET #1- BFP; Ectopic pregnancy found at 7wks
FET #2- February 2017 BFP Beta #1- 119 (8dp5dt) Beta #2- 475 (12dp5dt)
TTC #1: March 2011
Fur-children: 3 dogs + 2 cats (all rescued)
dx: Endometriosis and Fibroids
2 Laps and 1 Abdominal Myomectomy
6 rounds of clomid
5 rounds of iui
IVF #1 Gonal F, Menopur and Cetrotide
ER 12/1/2016:Retrieved 22 eggs 12 fertilized, developed moderate OHSS
4/4 day 5 embryos were normal for PGS!!! 2 boys/2 girls
FET 1/10/2017
Gallbladder surgery 1/10/2017
FET 2/2
BFP 2/7/17
Having a girl! EDD 10/21/17
@rainbowwishes5 I'm so sorry
@emgem awesom your second beta looks great
@jodes727 I'm so sorry hopefully next time will be a success I'm going through a natural FET transfer now. I transferred on 1/25 TWW
@jodes727 I am so sorry!
Some ideas: Lining Scratch and/or antihistamine protocol
thucks I hope Monday brings you great Beta # news!!
JESSABER0414 SO glad you got a BFP!! Congrats!! Looking forward to hearing Beta # from tomorrow!
emgem819 Great 1st and 2nd beta ##'s!!!!
Worldtravler0522 That is a great 1st Beta! I am sorry to hear about the bleeding but some people have bleeding and it can be totally normal. Hopefully your 3rd beta will give you some good numbers to feel secure about! Make sure to ask them about SCH's...cause they can cause bleeding too!
SwtAnana I hear ya...its hard to trust it will all go well. My symptoms have kinda gone away the past 4 days and it makes me super nervous.
I agree, this process is so unfair and I feel for all of those facing negatives.
lilmissslp Excited for you that your getting closer to transfer! Glad the PIO shot went well!
ChocolateIsLife haha like lube!! Chalky cottage cheese...and so much "water" leakage too! I am so glad you talked to the DR and that he seemed to address the situation. SO frustrating! Glad things are looking good for you though!
amanning2011 Yeah bad news if any of DH's absorbed some of the progesterone. Ick!
fingers_crossed Glad you guys got your BFP!
@APM_SLP Its almost your US date!! How you doing?
Me: 37 DH: 32 TTGP Since 2014 INFERTILITY INFO (Medicated, IUI's, IVF/FET) IN SPOILERMedicated April-December 2015: Clomid (didn't work) and so we tried Femera/Letrozole. Progesterone Met 1000 Not diagnosed PCOS but treating the same. Anovulatory. TI No US No O BFN
- TW -
IUI"S
January 2016-October 2016: Letrozole 2.5mg-7.5 mg, Pregyl or Ovideral Trigger Shot.
9 cycles of IUI (7 Cancelled due to no mature follicles) (2 attempted IUI's with mature follicles)
IUI # 2 June 2016 and July 2016: Met 1000, Estrogen (21 days), Progesterone (5 days) Femera 5m 6/28/16 Ultrasound CD14 = 25 follie. Pregnyl Trigger CD14 IUI 7/13 1stBeta (DPO 15): 7.6 (Surprise BFP...but Low #'s) 2ndBeta (DPO 17): 18 3rdBeta (DPO 19) 52.8 Progesterone Prescribed (spotting) 4thBeta (DPO 26) 6.9 Chemical Pregnancy BFN
IVF and FET (diagnosed with PCOS) 204 pounds at start of IVF
IVF # 1 October and November 2016: CCRM - Minneapolis 10/14 Consult and CD 3 testing, 10/14 started (OCP Antagonist - BCP) BCP, 10/21 1 day work up, Doxycycline 100mg 10 days, 10/24 stop bcp, Bloodwork US 10/29, 10/30-11/8 Stims 2 vials of Menopur, Dexamethasone, 225 of Gonal-F daily (dropped to 120). CCRM Vitamin Cocktail (like 20 of them), Monitoring (11/2, 11/4, 11/5, 11/6, 11/7, 11/8), Retrieval 11/10 (38 eggs, 30 mature, 16 fertilized ICSI), 11/16 8 Blasts 11/30 CCS testing results 3 Normal 5aa's (2 boys and 1 girl) 1 Unknown 4 Abnormal (All girls)
Fet #1 January 2017: CCRM - Minneapolis bcp/lupron/suppository/p4 in oil QOD AF 12/7, 12/8 start meds. 1/3 lining and blood work check 14/15 mm, BW check 1/6. 1/9 transfer with acupuncture 1 CCS/PGS Normal 5aa hatching Progesterone around 26ish? Lower estrogen level 207 (wanted above 300 but over 200 was acceptable), started 1 estrace, progesterone in oil every other day, vivelle dot patches 4 every other day, 3x estrodiol daily, vitamin cocktail. POAS: - 4dp5dt and 5dp5dt, 6dp5dt frer very very very faint line. 7dp5dt and 8dp5dt + on Accuclear. 8dp5dt pregnant on a clear blue easy digital. 214 pounds at FET
1/18 #1 Beta 91.1
1/20 #2 Beta 215.9
2/3 6 week US 2 sacs? Twins? but only 1 heartbeat/pole good heartbeat Stopped taking baby asprin Added in DHEA Veg Vitamin (also got the report that they transferred a girl 5aa eggo)
2/10 7 week US 2 sacs (likely vanishing twin) only 1 heartbeat/pole etc good heartbeat 137
2/24 9 week US 1 eggo sac good heart beat 182 1 very small fluid sac (shrinking)
2/24 9 week 2 days start weening. Graduated from RE (CCRM is now starting weening as soon as 8.5 weeks)
3/7 10 Weeks 5 days weened completely of FET meds A1C 5.3% (Normal)
3/9 11 Weeks 1 day my progesterone level was 15 and my estrogen level was 881 (I freaked out!)
3/16 12 Weeks 1 day baby heard on doppler 164 HB
4/14 16 week 2 days Ultrasound baby is looking good with all good numbers sized 17 weeks. Also got to hear her on the doppler for a few mins too.
5/5 19 Weeks 2 days going in for "20" week anatomy ultrasound got measurements but need to come back as wasn't able to get all the measurements
MEASUREMENTS BPD 4.6 cm 19 weeks 6 days* (78%) HC 17.0 cm 19 weeks 4 days* (70%) AC 14.5 cm 19 weeks 4 days* (69%) Femur 3.1 cm 19 weeks 6 days* (63%) Humerus 3.1 cm 20 weeks 2 days (84%) Cerebellum 2.0 cm 19 weeks 5 days
CisternaMagna 6.2 mm Nuchal Fold 4.5 mm
HC/AC 1.17 FL/AC 0.22 FL/BPD 0.68 EFW (Ac/Fl/Hc) 309 grams - 0 lbs 11 oz
THE AVERAGE GESTATIONAL AGE is 19 weeks 5 days +/- 10 days.
6/9 24 Weeks 2 days Glucose Test 1 hour (Failed) 190
6/16 25 Weeks 2 days Ultrasound and 1st Baby Shower
6/20 25 Weeks 6 days Glucose Test 3 Hours (Failed) 95 (95), 183 (180), 213 (155), 198 (140) etc
6/21 26 Weeks Recommended to a perintologist
6/22 26 Weeks 1 day start monitoring blood sugar levels
6/30 27 Weeks 2 day A1 (blood sugar test ordered)
7/5 28 Weeks Echo and 3d Ultrasound
AMNIOTIC FLUID Q1: 2.6 Q2: 3.2 Q3: 4.8 Q4: 5.6 AFI Total = 16.3 cm Amniotic Fluid: Normal
MEASUREMENTS BPD 7.2 cm 28 weeks 5 days* (60%) HC 26.4 cm 28 weeks 4 days* (48%) AC 23.3 cm 27 weeks 4 days* (36%) Femur 5.2 cm 28 weeks 0 days* (36%) Humerus 4.8 cm 28 weeks 0 days (49%)
HC/AC 1.13 FL/AC 0.23 FL/BPD 0.73 Ceph Index 0.77 EFW (Ac/Fl/Hc) 1142 grams - 2 lbs 8 oz (37%)
THE AVERAGE GESTATIONAL AGE is 28 weeks 1 day +/- 14 days.
7/10 28 Weeks 5 days Dietitian Appt and Lactatcian Consultant and A1 blood draw 5.4% (normal) 218.5 pounds
7/20 30 Weeks GD consult. 6 Lantus at 7pm daily. Novolog 1 unit for every 15 gm carbohydrate if consumed more than 30 gm at brkfst or 60 gm at lunch or supper 215.6 pounds
7/20 30 Weeks Transferred care to OB due to high risk. 216 pounds
8/2 32 Weeks Ultrasound (not cooperative and still breech) and then weekly NST's
MEASUREMENTS BPD 8.0 cm 32 weeks 2 days* (44%) HC 29.2 cm 31 weeks 6 days* (22%) AC 26.9 cm 31 weeks 0 days* (24%) Femur 6.3 cm 32 weeks 2 days* (57%) Humerus 5.7 cm 32 weeks 6 days (71%)
HC/AC 1.08 FL/AC 0.23 FL/BPD 0.78 Ceph Index 0.78 EFW (Ac/Fl/Hc) 1808 grams - 3 lbs 15 oz (29%)
THE AVERAGE GESTATIONAL AGE is 31 weeks 6 days +/- 18 days.
AMNIOTIC FLUID Q1: 3.4 Q2: 2.9 Q3: 2.9 Q4: 4.4 AFI Total = 13.6 cm Amniotic Fluid: Normal
8/8 32w6d upped to 1:10 for dinner
8/11 Baby Shower
8/13 Baby Shower
8/16 34 weeks NST good reading Upped to 8 at bed for fasting and 1:7 for dinner
8/18 Dr Appt
8/24 35 weeks 1 day (was suppose to be scheduled for 36 weeks) Weeks Ultrasound/GD Dr Appt/OB Appt
Frank Breech
MEASUREMENTS BPD 8.9 cm 35 weeks 6 days* (67%) HC 31.7 cm 35 weeks 1 day * (35%) AC 30.2 cm 34 weeks 2 days* (33%) Femur 6.9 cm 34 weeks 6 days* (57%) Humerus 6.0 cm 34 weeks 6 days (64%)
HC/AC 1.05 FL/AC 0.23 FL/BPD 0.78 Ceph Index 0.80 EFW (Ac/Fl/Hc) 2494 grams - 5 lbs 8 oz (39%)
THE AVERAGE GESTATIONAL AGE is 35 weeks 1 day +/- 21 days.
AMNIOTIC FLUID Q1: 3.3 Q2: 3.8 Q3: 2.4 Q4: 3.8 AFI Total = 13.4 cm Amniotic Fluid: Normal
8/31 36 Weeks
9/7 37 Weeks
9/10 Water broke...I got it tested at the emergency room it it showed it was negative. More water breaking and didn't go to the dr.
9/11 37 weeks 4 days Called the Dr and got retested for water breaking...
10:30pmish Baby Girl Born via Emergency C Section (Frank Breech Baby) 6lbs 3oz -
9/13 Dropped to 5 pounds 10oz and had jaundice
9/13 38 weeks
9/22 39 Weeks 2 days C Section Scheduled for 10am (arrive at 8am) Equinox/Solstice
EDD 9/27
TI for 4 cycles: 1 round of femara; 2 rounds femara/ injectables: all ended in BFN.
3 IUI Cycles: letrozole/Follistim with HCG Trigger,all resulted in BFN.
FET #1: Baseline appt 4/28/16, Gonal-F/Menopur stims, Centrotide 5/4/16, ER 5/11/16; 6/8/16 ET, BFN
FET #2: Baseline appt 6/22/16, Estrace/PIO shots: 7/12/16 ET, 1st beta 7/21/16: 83 BFP, 2nd beta 7/23/16: 315. 1st U/S: 8/4/16 empty sac. 2nd U/S: 8/10/16 yolk sac appeared, everything stopped growing. Office D&C: 8/11/16, MC.
FET #3: Baseline appt 12/28/16, Estrace/PIO shots: 1/17/17 ET, 1st beta 1/27/17: 146 BFP, 2nd beta 1/29/17: 336, 1st U/S: 2/16/17, 2 healthy twin babies measuring 7w0d. EDD: 10/5/17
Unexplained/ Endo
Medicated IUIs # 1-3 BFN
IVF #1- BFN
FET #1- BFP; Ectopic pregnancy found at 7wks
FET #2- February 2017 BFP Beta #1- 119 (8dp5dt) Beta #2- 475 (12dp5dt)
I've been pretty tired and I'm still feeling very full in the lower abdomin. My hips and lower back are soar but I think that's from the PIO but hopefully tonight's not the last night for those.
Me: Endo, PCOS,
DH: low life span and mobility
Married and TTC since 12/2008
3 IUI's in 2012
IVF #1 BFN 08/2012
IVF #2 11/2012 Twin Girls born at 35wks 7/2013
ER 4/2016 Freeze all 11 embryo's
FET #1 5/2016 Transfer 1 BFN
FET #2 7/2016 Transfer 1 BFN
FET #3 09/2016 Thawed 3 Transfered 1 CP
FET #4 1/2017 Transfer 2 CP
FET #5 April 24, 2017 Transfering 1 BFN
FET #6 June 8, 2017 Transfer 2 Beta #1 721 Beta #2 1363
US on 7/5 1 baby found EDD 2/24/18
@emgem819 Congrats! I hope they get the US stuff ironed out. There are enough kinks in the infertility stuff as it is.
@jodes727 I'm sorry for the bad news
Diagnosed with PCOS, later changed to unexplained anovulation due to high prolactin and normal testosterone levels
Him: 31
High sperm count (yay!) but also super high fluid volume (boo!)
First IUI, Clomid and Follistim: 11/29-BFN
Second IUI, Femara and Follistim: 12/29-BFN
Third IUI, Femara and Gonal-F (and Follistim): 1/28 BFN
Fourth IUI, Femara and Gonal-F: 7/23 BFN
IVF 1: Femara and Gonal-F: 1/23/2017
Beta Study:
Beta #1: 1/28/2017 4.1
Beta #2: 1/30/2017 34
Beta #3: 2/1/2017 131
Beta #4: 2/3/2017 476
Ultrasound: 2/14/17-Twin Etopic Pregnancy, surgery to remove right fallopian tube on 2/17/2017
FET 2: Femara, Gonal-F, and Clomid: Cycle Canceled due to low progesterone
FET 3: July 7, Femara, Gonal-F, Clomid-BFP!!!!!! Due March 2018
Unexplained/ Endo
Medicated IUIs # 1-3 BFN
IVF #1- BFN
FET #1- BFP; Ectopic pregnancy found at 7wks
FET #2- February 2017 BFP Beta #1- 119 (8dp5dt) Beta #2- 475 (12dp5dt)
@jodes727 and @rainbowwishes5 I'm so sorry about the bad news.
Me: Endo, PCOS,
DH: low life span and mobility
Married and TTC since 12/2008
3 IUI's in 2012
IVF #1 BFN 08/2012
IVF #2 11/2012 Twin Girls born at 35wks 7/2013
ER 4/2016 Freeze all 11 embryo's
FET #1 5/2016 Transfer 1 BFN
FET #2 7/2016 Transfer 1 BFN
FET #3 09/2016 Thawed 3 Transfered 1 CP
FET #4 1/2017 Transfer 2 CP
FET #5 April 24, 2017 Transfering 1 BFN
FET #6 June 8, 2017 Transfer 2 Beta #1 721 Beta #2 1363
US on 7/5 1 baby found EDD 2/24/18
@Worldtravler0522 I am so sorry to hear that you are spotting and that you are worried about your cycle. I wish that at some point in IF we could just breathe without waiting on the other shoe to drop. Big hug to you girlie!!
@Thucks and @JESSABER0414 and @amanning2011 Good luck to all you ladies! I hope we have some good news rolling in from ya'll today!
@cherrybea keep you head up girlie, 4dp5dt is still very early!!
@jodes727 I am so sorry to hear about the BFN. I am praying that your RE can help come up with a good game plan for how to cycle next and find success!
@lilmissslp and @ChocolateIsLife EKKK! Good luck with your transfers on Thursday!! I am excited for ya'll and I'm right behind you. I have my Baseline US/BW on Wed and recheck on Fri for progestrone and then transfer 2/7! Can't believe it's almost here.
IVF ER 5/5/2016
23 eggs retrieved; 15 mature; 8 developed to embryos; 6 frozen day 5; 2 frozen day 6
Transfer canceled OHSS
FET #1 6/2/2016 transferred 2 embryos
Beta #1 6/15/2016 BFN
FET #2 8/1/2016 transferred last 2 embryos (lost 4 in the thaw)
Beta #1 8/12/16 BFN
IVF #2: Started stims 12/2
ER #2 12/14/2016; 16 follies retrieved, 8 fertilized to day 1, 4 frozen day 5, and 1 frozen day 6
Praying my frosties are strong through the next thaw FX
FET # 3 2/07/2017 2 embabies thawed 2 embabies transferred
2/14/2017 *TW* First ever BFP
Beta #1 2/20/2017 277 Beta #2 2/23/2017 8,945...did I hear you right!
3/10/2017 One beating heart HR 168!! So very happy
3/10/2017 Official graduate from Jones Institute for Reproductive Health!! Couldn't help but cry
6/8/2017 Anatomy Scan proves ITS A GIRL!
10/30/17 An angel was Born; Riley Charlize 7:50 AM my heart is so full
I'm 5W 3D and Just got out of Ultrasound #1 and there is 1 sac. so only 1 embie stuck. We go back on 2/10 to see the fetus and the heartbeat will be present by then!
Me: Endo, PCOS,
DH: low life span and mobility
Married and TTC since 12/2008
3 IUI's in 2012
IVF #1 BFN 08/2012
IVF #2 11/2012 Twin Girls born at 35wks 7/2013
ER 4/2016 Freeze all 11 embryo's
FET #1 5/2016 Transfer 1 BFN
FET #2 7/2016 Transfer 1 BFN
FET #3 09/2016 Thawed 3 Transfered 1 CP
FET #4 1/2017 Transfer 2 CP
FET #5 April 24, 2017 Transfering 1 BFN
FET #6 June 8, 2017 Transfer 2 Beta #1 721 Beta #2 1363
US on 7/5 1 baby found EDD 2/24/18
Me: 37 DH: 32 TTGP Since 2014 INFERTILITY INFO (Medicated, IUI's, IVF/FET) IN SPOILERMedicated April-December 2015: Clomid (didn't work) and so we tried Femera/Letrozole. Progesterone Met 1000 Not diagnosed PCOS but treating the same. Anovulatory. TI No US No O BFN
- TW -
IUI"S
January 2016-October 2016: Letrozole 2.5mg-7.5 mg, Pregyl or Ovideral Trigger Shot.
9 cycles of IUI (7 Cancelled due to no mature follicles) (2 attempted IUI's with mature follicles)
IUI # 2 June 2016 and July 2016: Met 1000, Estrogen (21 days), Progesterone (5 days) Femera 5m 6/28/16 Ultrasound CD14 = 25 follie. Pregnyl Trigger CD14 IUI 7/13 1stBeta (DPO 15): 7.6 (Surprise BFP...but Low #'s) 2ndBeta (DPO 17): 18 3rdBeta (DPO 19) 52.8 Progesterone Prescribed (spotting) 4thBeta (DPO 26) 6.9 Chemical Pregnancy BFN
IVF and FET (diagnosed with PCOS) 204 pounds at start of IVF
IVF # 1 October and November 2016: CCRM - Minneapolis 10/14 Consult and CD 3 testing, 10/14 started (OCP Antagonist - BCP) BCP, 10/21 1 day work up, Doxycycline 100mg 10 days, 10/24 stop bcp, Bloodwork US 10/29, 10/30-11/8 Stims 2 vials of Menopur, Dexamethasone, 225 of Gonal-F daily (dropped to 120). CCRM Vitamin Cocktail (like 20 of them), Monitoring (11/2, 11/4, 11/5, 11/6, 11/7, 11/8), Retrieval 11/10 (38 eggs, 30 mature, 16 fertilized ICSI), 11/16 8 Blasts 11/30 CCS testing results 3 Normal 5aa's (2 boys and 1 girl) 1 Unknown 4 Abnormal (All girls)
Fet #1 January 2017: CCRM - Minneapolis bcp/lupron/suppository/p4 in oil QOD AF 12/7, 12/8 start meds. 1/3 lining and blood work check 14/15 mm, BW check 1/6. 1/9 transfer with acupuncture 1 CCS/PGS Normal 5aa hatching Progesterone around 26ish? Lower estrogen level 207 (wanted above 300 but over 200 was acceptable), started 1 estrace, progesterone in oil every other day, vivelle dot patches 4 every other day, 3x estrodiol daily, vitamin cocktail. POAS: - 4dp5dt and 5dp5dt, 6dp5dt frer very very very faint line. 7dp5dt and 8dp5dt + on Accuclear. 8dp5dt pregnant on a clear blue easy digital. 214 pounds at FET
1/18 #1 Beta 91.1
1/20 #2 Beta 215.9
2/3 6 week US 2 sacs? Twins? but only 1 heartbeat/pole good heartbeat Stopped taking baby asprin Added in DHEA Veg Vitamin (also got the report that they transferred a girl 5aa eggo)
2/10 7 week US 2 sacs (likely vanishing twin) only 1 heartbeat/pole etc good heartbeat 137
2/24 9 week US 1 eggo sac good heart beat 182 1 very small fluid sac (shrinking)
2/24 9 week 2 days start weening. Graduated from RE (CCRM is now starting weening as soon as 8.5 weeks)
3/7 10 Weeks 5 days weened completely of FET meds A1C 5.3% (Normal)
3/9 11 Weeks 1 day my progesterone level was 15 and my estrogen level was 881 (I freaked out!)
3/16 12 Weeks 1 day baby heard on doppler 164 HB
4/14 16 week 2 days Ultrasound baby is looking good with all good numbers sized 17 weeks. Also got to hear her on the doppler for a few mins too.
5/5 19 Weeks 2 days going in for "20" week anatomy ultrasound got measurements but need to come back as wasn't able to get all the measurements
MEASUREMENTS BPD 4.6 cm 19 weeks 6 days* (78%) HC 17.0 cm 19 weeks 4 days* (70%) AC 14.5 cm 19 weeks 4 days* (69%) Femur 3.1 cm 19 weeks 6 days* (63%) Humerus 3.1 cm 20 weeks 2 days (84%) Cerebellum 2.0 cm 19 weeks 5 days
CisternaMagna 6.2 mm Nuchal Fold 4.5 mm
HC/AC 1.17 FL/AC 0.22 FL/BPD 0.68 EFW (Ac/Fl/Hc) 309 grams - 0 lbs 11 oz
THE AVERAGE GESTATIONAL AGE is 19 weeks 5 days +/- 10 days.
6/9 24 Weeks 2 days Glucose Test 1 hour (Failed) 190
6/16 25 Weeks 2 days Ultrasound and 1st Baby Shower
6/20 25 Weeks 6 days Glucose Test 3 Hours (Failed) 95 (95), 183 (180), 213 (155), 198 (140) etc
6/21 26 Weeks Recommended to a perintologist
6/22 26 Weeks 1 day start monitoring blood sugar levels
6/30 27 Weeks 2 day A1 (blood sugar test ordered)
7/5 28 Weeks Echo and 3d Ultrasound
AMNIOTIC FLUID Q1: 2.6 Q2: 3.2 Q3: 4.8 Q4: 5.6 AFI Total = 16.3 cm Amniotic Fluid: Normal
MEASUREMENTS BPD 7.2 cm 28 weeks 5 days* (60%) HC 26.4 cm 28 weeks 4 days* (48%) AC 23.3 cm 27 weeks 4 days* (36%) Femur 5.2 cm 28 weeks 0 days* (36%) Humerus 4.8 cm 28 weeks 0 days (49%)
HC/AC 1.13 FL/AC 0.23 FL/BPD 0.73 Ceph Index 0.77 EFW (Ac/Fl/Hc) 1142 grams - 2 lbs 8 oz (37%)
THE AVERAGE GESTATIONAL AGE is 28 weeks 1 day +/- 14 days.
7/10 28 Weeks 5 days Dietitian Appt and Lactatcian Consultant and A1 blood draw 5.4% (normal) 218.5 pounds
7/20 30 Weeks GD consult. 6 Lantus at 7pm daily. Novolog 1 unit for every 15 gm carbohydrate if consumed more than 30 gm at brkfst or 60 gm at lunch or supper 215.6 pounds
7/20 30 Weeks Transferred care to OB due to high risk. 216 pounds
8/2 32 Weeks Ultrasound (not cooperative and still breech) and then weekly NST's
MEASUREMENTS BPD 8.0 cm 32 weeks 2 days* (44%) HC 29.2 cm 31 weeks 6 days* (22%) AC 26.9 cm 31 weeks 0 days* (24%) Femur 6.3 cm 32 weeks 2 days* (57%) Humerus 5.7 cm 32 weeks 6 days (71%)
HC/AC 1.08 FL/AC 0.23 FL/BPD 0.78 Ceph Index 0.78 EFW (Ac/Fl/Hc) 1808 grams - 3 lbs 15 oz (29%)
THE AVERAGE GESTATIONAL AGE is 31 weeks 6 days +/- 18 days.
AMNIOTIC FLUID Q1: 3.4 Q2: 2.9 Q3: 2.9 Q4: 4.4 AFI Total = 13.6 cm Amniotic Fluid: Normal
8/8 32w6d upped to 1:10 for dinner
8/11 Baby Shower
8/13 Baby Shower
8/16 34 weeks NST good reading Upped to 8 at bed for fasting and 1:7 for dinner
8/18 Dr Appt
8/24 35 weeks 1 day (was suppose to be scheduled for 36 weeks) Weeks Ultrasound/GD Dr Appt/OB Appt
Frank Breech
MEASUREMENTS BPD 8.9 cm 35 weeks 6 days* (67%) HC 31.7 cm 35 weeks 1 day * (35%) AC 30.2 cm 34 weeks 2 days* (33%) Femur 6.9 cm 34 weeks 6 days* (57%) Humerus 6.0 cm 34 weeks 6 days (64%)
HC/AC 1.05 FL/AC 0.23 FL/BPD 0.78 Ceph Index 0.80 EFW (Ac/Fl/Hc) 2494 grams - 5 lbs 8 oz (39%)
THE AVERAGE GESTATIONAL AGE is 35 weeks 1 day +/- 21 days.
AMNIOTIC FLUID Q1: 3.3 Q2: 3.8 Q3: 2.4 Q4: 3.8 AFI Total = 13.4 cm Amniotic Fluid: Normal
8/31 36 Weeks
9/7 37 Weeks
9/10 Water broke...I got it tested at the emergency room it it showed it was negative. More water breaking and didn't go to the dr.
9/11 37 weeks 4 days Called the Dr and got retested for water breaking...
10:30pmish Baby Girl Born via Emergency C Section (Frank Breech Baby) 6lbs 3oz -
9/13 Dropped to 5 pounds 10oz and had jaundice
9/13 38 weeks
9/22 39 Weeks 2 days C Section Scheduled for 10am (arrive at 8am) Equinox/Solstice
EDD 9/27
Diagnosed with PCOS, later changed to unexplained anovulation due to high prolactin and normal testosterone levels
Him: 31
High sperm count (yay!) but also super high fluid volume (boo!)
First IUI, Clomid and Follistim: 11/29-BFN
Second IUI, Femara and Follistim: 12/29-BFN
Third IUI, Femara and Gonal-F (and Follistim): 1/28 BFN
Fourth IUI, Femara and Gonal-F: 7/23 BFN
IVF 1: Femara and Gonal-F: 1/23/2017
Beta Study:
Beta #1: 1/28/2017 4.1
Beta #2: 1/30/2017 34
Beta #3: 2/1/2017 131
Beta #4: 2/3/2017 476
Ultrasound: 2/14/17-Twin Etopic Pregnancy, surgery to remove right fallopian tube on 2/17/2017
FET 2: Femara, Gonal-F, and Clomid: Cycle Canceled due to low progesterone
FET 3: July 7, Femara, Gonal-F, Clomid-BFP!!!!!! Due March 2018
TI for 4 cycles: 1 round of femara; 2 rounds femara/ injectables: all ended in BFN.
3 IUI Cycles: letrozole/Follistim with HCG Trigger,all resulted in BFN.
FET #1: Baseline appt 4/28/16, Gonal-F/Menopur stims, Centrotide 5/4/16, ER 5/11/16; 6/8/16 ET, BFN
FET #2: Baseline appt 6/22/16, Estrace/PIO shots: 7/12/16 ET, 1st beta 7/21/16: 83 BFP, 2nd beta 7/23/16: 315. 1st U/S: 8/4/16 empty sac. 2nd U/S: 8/10/16 yolk sac appeared, everything stopped growing. Office D&C: 8/11/16, MC.
FET #3: Baseline appt 12/28/16, Estrace/PIO shots: 1/17/17 ET, 1st beta 1/27/17: 146 BFP, 2nd beta 1/29/17: 336, 1st U/S: 2/16/17, 2 healthy twin babies measuring 7w0d. EDD: 10/5/17