March 2017 Moms

Another quad update

ccook1211ccook1211 member
edited September 2016 in March 2017 Moms
Hi Everyone!

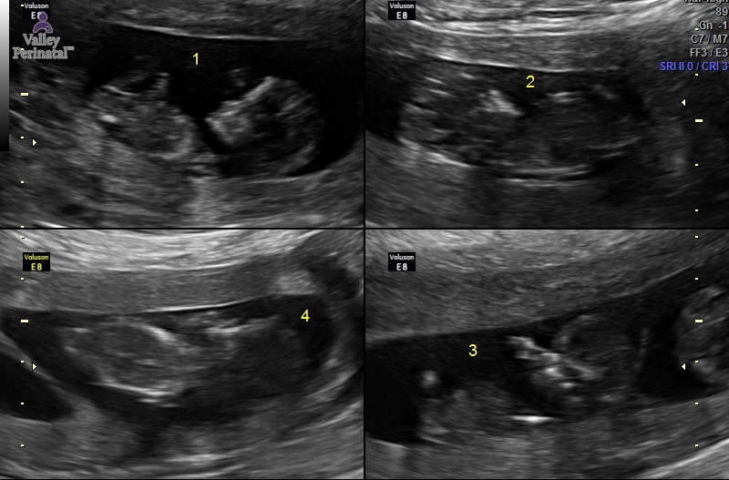
Sorry to be MIA these past few weeks, our big move from AZ to NH is next week so we've been crazy people lately! Today we had our NT scan with the specialist and everything went PERFECT. I was so worried so now that the appointment went well I feel like I can breath a little easier admist our crazy and hectic life we are currently living! Once we move things will be alot calmer and I'll be able to focus more on getting ready for these 4 babies! As usual I will include our most recent ultrasound from today. Baby C has earned the name of trouble maker due to not cooperating during the ultrasound and  taking up 45 minutes of the techs time trying to get he/she to move into the right position. The tech also thinks that baby A is a boy and baby B is a girl but I'm not sure if I fully believe her as I am only 12 weeks 3 days! Baby c and D weren't in the right position for her to make a guess of the gender.

Re: Another quad update

  • Hope your move goes well, i did a big move myself several months back, so i know how involved it gets
  • Loading the player...
  • Good luck with the move! I'll never get tired of those ultrasounds.. how amazing
  • So amazing! Thank you so much for continuing to share your unique journey with us! :)
    Me 29 I DH 28
    Married in April 2007
    One Furbaby - Adorable Pitt Mix
    15 Months TTC....2nd Cycle of Letrozole - Success!
    Expecting our first two little miracles - Boy/Girl Twins! - EDD March 3, 2017
    High Risk Pregnancy - Type 1 Diabetic; Hypothyroidism; Di/Di Twin Pregnancy

    Pregnancy Ticker

    Anniversary

  • Good luck! It's an amazing journey to watch!

    Image and video hosting by TinyPic

    Pregnancy Ticker
  • Eee so exciting. Good luck on the move!
  • This is so cool.  Congrats on your clear scan and good luck with the move! <3
  • Good luck with you move!!!  And yay on your NT scan!!!
    Me: 36  DH: 35.
    Married: 8/2005.
    BFP: 6/22/2016 EDD: 3/4/2017.
  • good luck on the move!!!!!!!!!!!! love the scans!!!! cant wait to hear from you again!


    SaveSave
  • Thank you for sharing and CONGRATS on the great appointment (I love how their personalities are already starting to show!)

    Wishing you a safe and stressfree move!!! 
  • Yaaaay!!!! Girl I wish this wasn't the big creepy internet. I just want to mail you help and love and treats to get you through. Go get some ores and pretend it's from us here at TB!
    Married DH 12/31/13
    BFP#1  1/21/14 ended in loss DNC 3/5/14
    BFP#2  7/2014 Baby Girl born 4/15/15
    BFP#3  2/10/2016 natural mc 2/27/2016
    BFP#4 6/25/2016 Due 3/2/2017
Sign In or Register to comment.
Choose Another Board
Search Boards
"
"