Pregnant after a Loss

Freaking out! Need advice!

Hi ladies.

I had my second beta last week and it came back at 13,000, so my doctor called me in for an ultrasound. I went yesterday and the baby measures good at 5w6d and had a heartbeat. The tech didn't measure it yet, but we saw the flicker. Today I started to feel pressure down there and checked my cervix. I feel a bubble in the middle of my cervix and had some brown discharge. Has anyone ever felt this bubble in the opening of the cervix? I am freaking out!

Re: Freaking out! Need advice!

  • When I google it talks about a herniated amniotic sac and incompetent cervix, but wouldn't it be way too early for that?!
  • Loading the player...
  • I hope so! I cannot find anything about a bubble bulging through the cervical opening
  • I bled when they did my exam, so that's probably what you did to yourself. I wouldn't stick my fingers up there anymore, silly. Why don't you call on Monday and see if they can squeeze you in to investigate this bubble.
  • jacobsone2jacobsone2 member
    edited November 2015
    I was feeling the pressure and checking for the bubble. When I was pregnant last time (with the loss) I had this. I made an appt and my dr looked at me like I was crazy when I told her what I felt. She checked and it had gone back in. A few days later I had it again, so she never even saw it. It's so weird
  • I was just checked yesterday and the tech said everything looked good. I was so happy when I left my appt. for once there wasn't an empty sac and I saw a heartbeat. Now today I have this and I just can't even calm down
  • So you felt it, got checked but it was gone and the baby was fine, and now it's back?!
  • PlainJane8350PlainJane8350 member
    edited November 2015
    You're so early for pressure to be a concern, but I guess you never know. If you feel pressure, then I'd stay off of your feet and don't do anything that puts additional pressure on your cervix (squatting, etc). Try to stay hydrated, too. When you're dehydrated during pregnancy everything can get "irritable."

    Did you lose your first pregnancy to I.C? Are you seeing a specialist now?

    I really wouldn't worry about the blood, though, I really do believe that was from your manual exam. ☺
  • I had an ultrasound yesterday. I found the bubble with my last pregnancy and then had a mc. That's why I'm freaked this time. Yes I will definitely stay off my feet. I've been resting all day.
  • No I didn't lose it to ic
  • Did they do a transvaginal ultrasound? Mention anything about your cervix being dilated or anything?

    You've got me over here racking my brain as to what you could be feeling! I don't doubt that you feel pressure, though.

    Whatever it is, it's probably your body when you're pregnant..not your body having a miscarriage. Do you know what I mean? I lost my first pregnancy, too, so it's hard to compare when you haven't had a healthy pregnancy yet.

    Anyway, in addition to your cervix being hard and closed you've got a mucus plug and stuff between you and the baby. Since they saw the baby, I think they would have noticed if the baby were dangerously low and even if they didn't do a transvaginal ultrasound so should have noticed if your cervix were shortening and/or funneling. (Sigh.) I know how you feel, though! Don't you just love being pregnant?! If it's still there on Monday, then I'd try to get back in. Who cares if they think you're crazy? Do they know you had a loss? I saw a new doctor, but I let them know up front I'd be a crazy patient. ☺ No shame here.
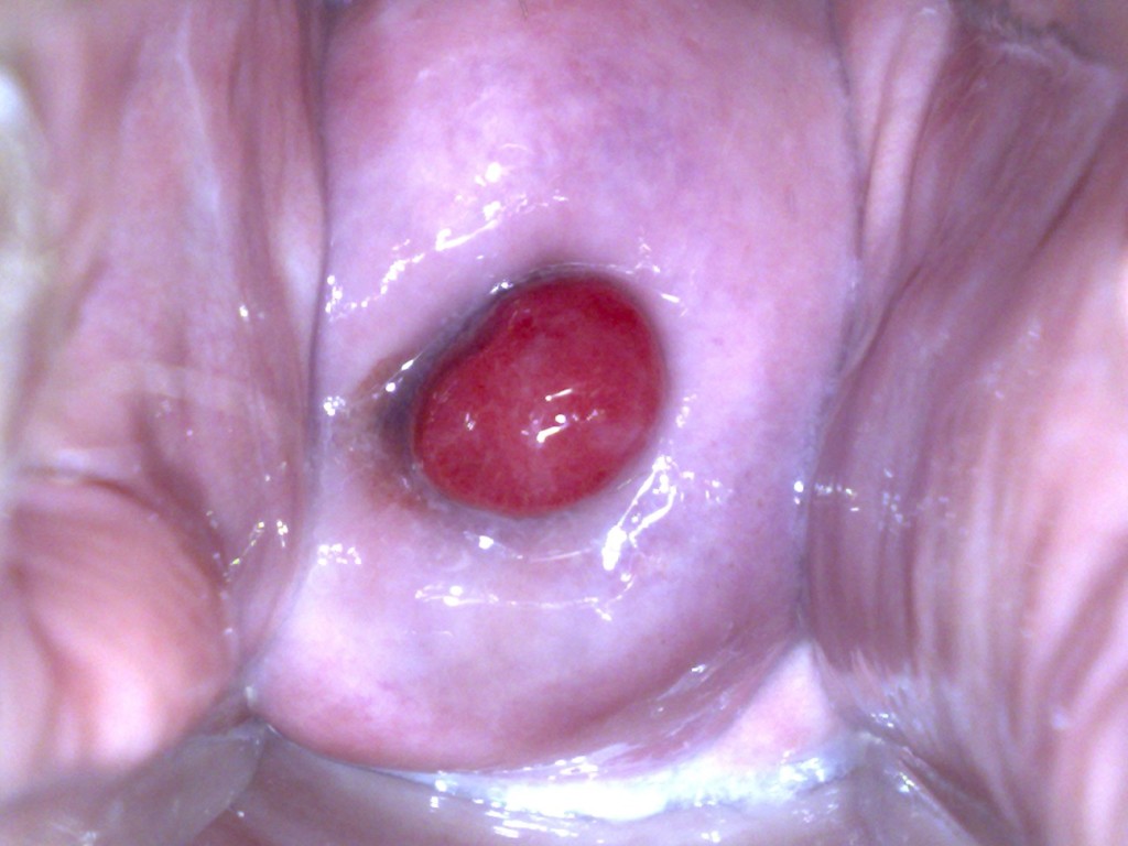
  • Haha! Yes I know how you feel. My doctor knows that I am crazy. I wish I had felt it yesterday so I could have asked her to check it, but she didn't say a word about funneling or anything. And then I thought maybe a polyp or something? I had an hsg after the loss and everything was fine though. I found this picture of a polyp online and this is what I feel. Like a bump in the middle of the cervix. In my crazy mind I'm thinking this is the sac starting to come out and I'm about to miscarry.
  • I hope it just goes away. I was so happy yesterday and now I'm just going to give myself a heart attack
  • PlainJane8350PlainJane8350 member
    edited November 2015
    If it were the sac 1) they would have noticed shortening and/or funneling and 2) you would have lost your mucus plug (because your cervix would be opening and that would have to move out of the way in order for you to feel anything).

    Listen, I got a hematoma from delivery and I told my mom that I thought I felt something about to come out of my vagina. I was too scared to say anything at my check-up so I just laid there and waited for him to say, "OMG, your bladder's falling out!" Nothing.

    I have no idea what happens to us, but seriously go back if you feel it again. Darn it, I've gotta know now! You have to update if a little Thanksgiving turkey flies out or something. But, on a serious note, unless it's microscopic (and you wouldn't have felt that), they would have seen anything in there. Like you said, they can see an old bleed so I think they would have noticed anything.
  • I will definitely update! Thank you so much
  • And from a medical providers stand point.... keep your fingers and objects outta there. Seriously. .... rest, drink lots of water... and leave your body alone.
    good Luck
Sign In or Register to comment.
Choose Another Board
Search Boards
"
"