1st Trimester

Early Scan... What to expect?

Hi all,
I'm 6 weeks pregnant and tonight I've experience some red bleeding that was heavier than spotting had previously, I've no cramps, clots etc so trying not to worry. I've booked in for an early scan with epu on Tuesday. Just wondering if anyone had similar experience, what to expect and how much they can tell you at 6wks?
Thanks

Re: Early Scan... What to expect?

  • It's difficult to see much before 7 weeks. You probably won't even see a heartbeat at 6 weeks.

    They may be able to tell you the source of the bleeding and they nay not. More than likely, they'll tell you how far along you look and that you have to come back in a few weeks to get a heartbeat and confirm viability.
  • Loading the player...
  • Great thankyou ladies, I guess I just wait till Tuesday and see what happens then! Fingers and toes crossed that all is ok
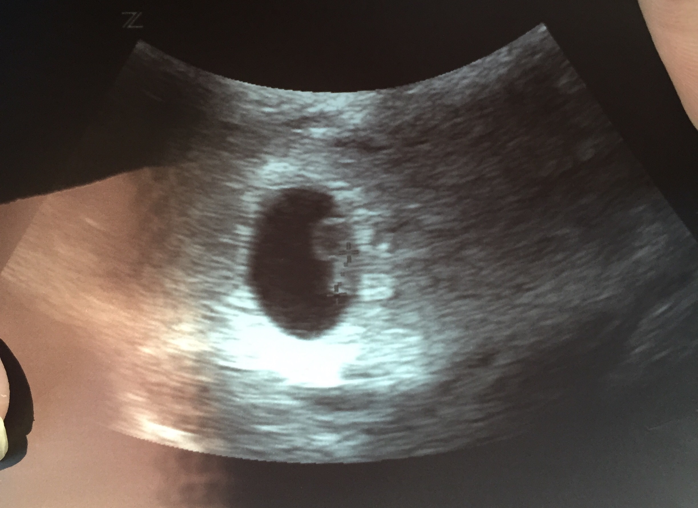
  • I had a scan last weekend. Thought I was 7 weeks 1 day (was certain, still am). The sonographer said 6 weeks 1 day & this is what we saw + a flickering heartbeat.
    Good luck love x image
  • I had a scan last weekend. Thought I was 7 weeks 1 day (was certain, still am). The sonographer said 6 weeks 1 day & this is what we saw + a flickering heartbeat.
    Good luck love x image

    I temp to confirm ovulation, and so I swore my due date was 3 days off...when I had my dating scan, I thought I was 7w5d but I measured 8w1d, so due date was based on 8w1d. But LO was born at 11:55pm, the day before her due date, so pretty much as close to the due date as possible without actually being on the due date. You'd be surprised at how accurate the dating scans can be if you have a good sonographer!
  • Wow that's awesome thanks so much for sharing that pic with me, I really hope I see something similar!
    I'm on countdown until Tuesday and just hoping I see that alls ok and who knows hopefully a tiny HB! I've had no more bleeding and no pain at all so maybe I'll just find I'm one of the 15-20% that bleeds during pregnancy and alls absolutely fine!x
  • Yes thanks for sharing the pic! I'm also 6 weeks and scheduled for my ultrasound soon, so excited can't wait my baby
  • I was 6w 1 day and saw baby and yolk sac. Also saw the flicker of the heartbeat and heard it too.
    I had a U.S. At 5w5d and only saw yolk sac. Everyone develops differently so don't worry if you don't see anything.
  • linny4linny4 member
    I recently had an us at 5+5 and only saw the sac. Going back in two weeks for an update. Don't worry if you don't see anything. You could just e earlier than you first thought.
    Me: 30 DH: 31
    Dating 02/04/2004 Married 08/11/2012
    TTC 08/2014 
    BFP 01/01/2015
    MMC 10 weeks 02/16/15
    BFP 06/18/2015 DS Born 02/28/2016 
  • Yeah hopefully so! It sounds daft but I'm trusting my body on this one and I definitely feel like all is ok, just a shock to see blood when not expecting it so instantly think the worst. I'd love to see a little heartbeat and that I'm further on than I thought, guess will just have to wait and see what happens though, very new and nervous to all this!
  • You could have a hematoma I was 6 wks 1 day and they found a huge hematoma in my uterus basically blood. Then yesterday 6 wks 3 days I started bleeding from it. It is common in pregnancy! Good luck
    TTC since 06/2010 HSG-clear,SA-good DX:Unexplained IUI#1-(May) 100mg of clomid +trigger + progerstrone supp=BFN IUlI#2-(June) 100mg of clomide+trigger+progesterone supp=BFN JuLy Break for vaca. IUI#3 (Aug) 100mg of clomid+trigger+progesterone=BFN IVF trial started in Oct-Nov ER-15 Retrieved, 13 mature, 11 fertilized. 5dt on 11-15-11 Beta #1 9dp 5dt= 107 Beta#2 331 Lilypie First Birthday tickers
  • Hi ladies, just an update! Been for my scan and I'm a fraction earlier than I thought so no heartbeat but a real clear yolk sac, had an internal but all was absolutely fine! I've a heammorage showing on one of the walls which explains the bleeding, they said they weren't worried it was just bruising or something similar. Have to go back two weeks today to check again that all looking good but here's the pic, great to see it!
Sign In or Register to comment.
Choose Another Board
Search Boards
"
"