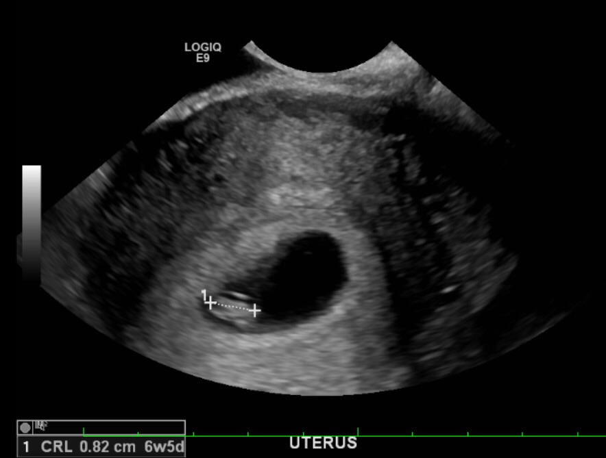
What about mine? this was at 6w6d. It was a transvaginal u/s. I'm 13 weeks now, so I'm not too far from finding out, but I am curious about this Ramzi thing. Thanks!
@RepeatPostPolice - that's interesting! I guess then everyone will be surprised! As long as my LO is healthy boy/girl doesn't matter to me at all . I am just over the moon excited about this LO !!
Re: RAMZI me please - just for fun
If Ramzi said you are having a girl the ultrasound might be wrong you never know...
Married: 7.23.11
DD:10.17.12
EDD #2!:1.17.16
Progress is being made ladies, slowly, but it's there!
And we all know you are having a boy...
Just sayin'
He is definitely a boy, no matter what Ramzi may have said.
Married: 7.23.11
DD:10.17.12
EDD #2!:1.17.16
Married: 7.23.11
DD:10.17.12
EDD #2!:1.17.16
Married: 7.23.11
DD:10.17.12
EDD #2!:1.17.16
Married: 7.23.11
DD:10.17.12
EDD #2!:1.17.16
Married: 7.23.11
DD:10.17.12
EDD #2!:1.17.16