I got one at 7w and then today at 12w.(surprise extra u/s since the doppler couldn't pick up the heartrate!) Our little baby has grown a lot in 5 weeks!
So jealous of that great photo! Our first and only ultrasound photo so far was right at 10 weeks but our photo is kind of blurry. 10 weeks is supposed to be the size of a prune and our baby definitely looks more like a prune than it does a baby in our ultrasound. Haha. Lets hope baby gets cuter with age.
I haven't gotten one since our initial u/s at 6 weeks. Next week I have an appt, but I don't think we get an ultrasound. I wanna see the little thing so badly though!!
I had mine yesterday! I thought I was 12w1d but the tech said the babe was measuring between 11-12 weeks. She doesn't think they will change my due date though! So surreal seeing it flip and jump around on the screen when I couldnt feel it!
I'm so jealous of all these beautiful little babies!!! We finally get to go in at 11.5 weeks and listen for baby's heartbeat. I can't wait to see the little body!
I'm so jealous of all these beautiful little babies!!! We finally get to go in at 11.5 weeks and listen for baby's heartbeat. I can't wait to see the little body!
Be sure to post your pic when you finally get a scan!! so exciting!!
@kimberlea_d Awe, thank you for thinking of me! I certainly will post pics and I must say I just love all the support from my September group! Have a great night ladies
@mrscaterosales... Thank you!! My husband thinks I'm having a transformer or something! Lol! It was the coolest experience tho, you are gonna love it!! So glad he/she finally laid still enuf for a decent pic, I have like 8 others that look kinda alien:)
I had my first ultrasound last Wednesday. I went in thinking I was 9weeks 6days (this was based off my last cycle) but after they measured the baby they said I was 10weeks 6 days. I can't stop looking at my baby. I'm a FTM also.
Congrats to you both @tinamarie1021 and @ashleylauriee ! My favorite part of this board is seeing all these beautiful babies. I can't wait to post one of my own soon!
Oh I'm so excited to post! Had a mini scare over the weekend and went in for a super quick scan yesterday to make sure everything was ok! It was Great actually! Heard the little ones heartbeat for the 1st time - AMAZING. Here (s)he is at 10 weeks 6 days.
@Mufflerlove what an adorable profile! So sweet Also, how did you get you photo to show up on the comment as opposed to the little box at the bottom of the comment?
Ladies, how are you posting the pics? I'm on my S4 unable to show my little gumball off!!! I click attach file , I click choose file and nothing happens.:(
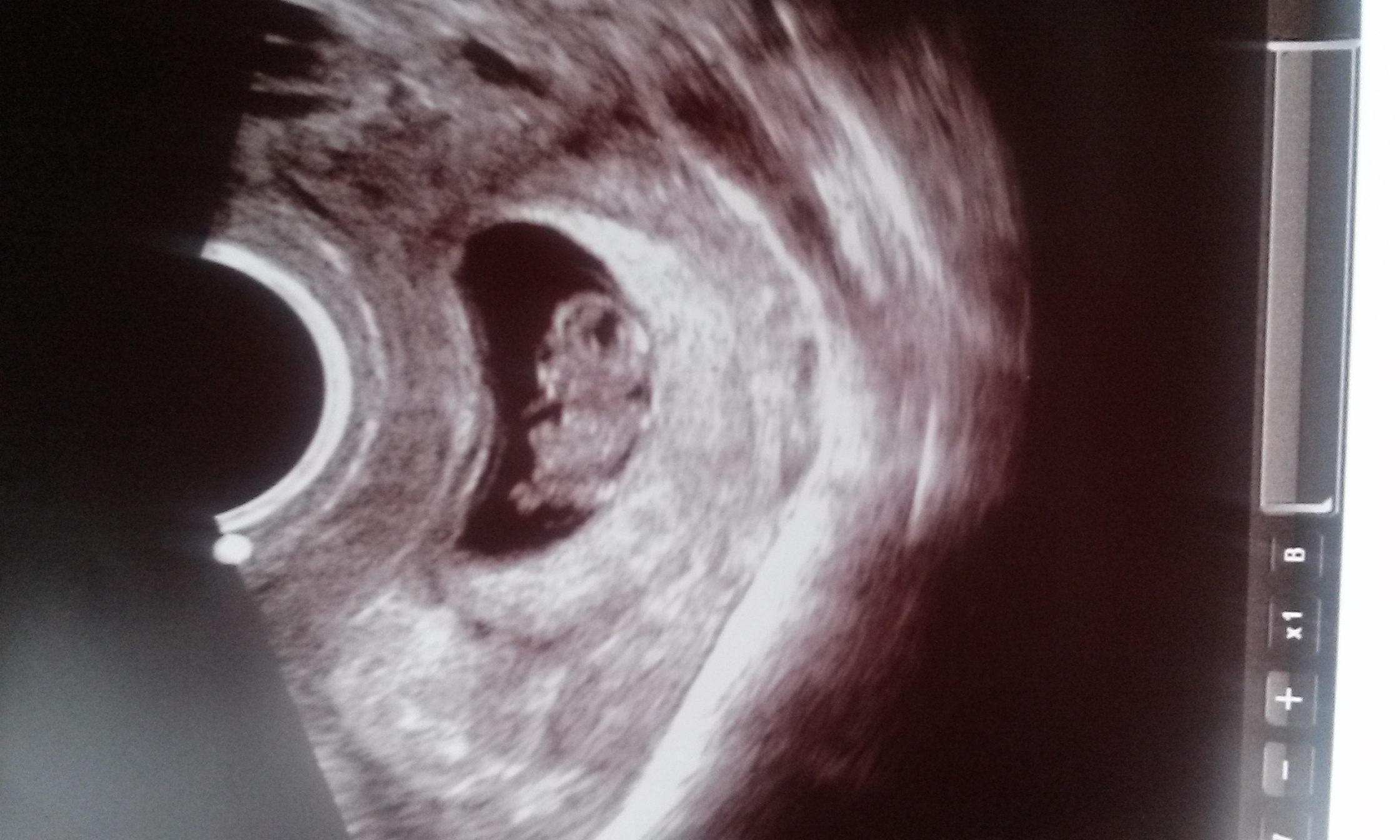
Quick scan done at 11weeks 3 days. FTM. Can't believe how big our baby has gotten from my 7week scan! (There were some concerns so I have gotten a couple of scans)
For the ladies having troubles posting pictures, I attached the file from my phone, waited a bit for the little box to appear and then clicked on the box and there was a drop down option for inserting the picture into the comment. Hope this helps.
Re: Share your U/S photos!!!
This was at 9w4d!! Congrats mamas!!
Here is our itty bitty at 8 weeks 5 days. Should have our next uktrasound March 9th, and we are so excited!
I'm 11w5d now. We find out the gender March 16th!! Can't wait!
Congrats to all the mamas!