October 2012 Moms

ultrasound update

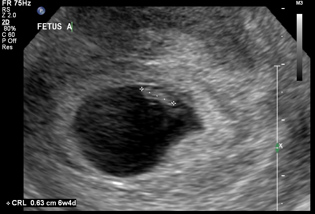
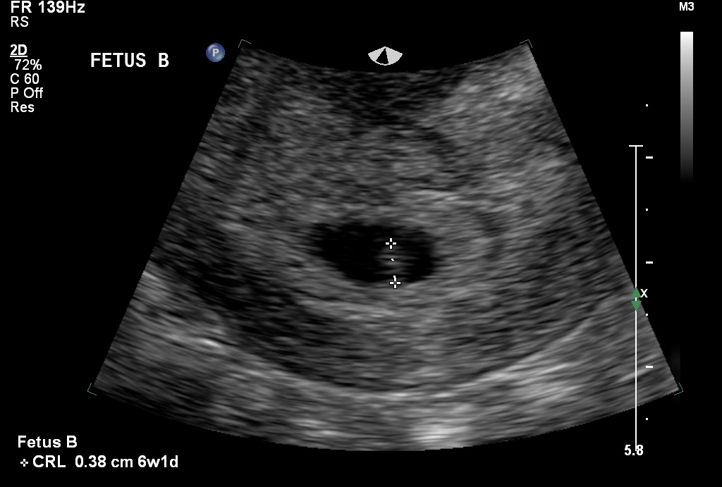
Everything looked good.  We got to see the heartbeats, but they were too small to hear.

imageimage
Lilypie - Personal picture    Lilypie First Birthday tickers


Lilypie Third Birthday tickers  Lilypie - Personal picture    

Re: ultrasound update

  • Loading the player...
  • Did we know about the twins already? Double Congrats!!!! Yay for heartbeats! This is so awesome!
    Ditto!

    ME: 31 PCOS - DH: 32 Perfect. 
    TTC #1 started 8.2010. 
    BFP #1 3.2.11Blighted ovum, missed m/c, 4.3.11-6.22.11 Provera

    BFP #2 Aug 2011 Clomid 50mg+Met missed m/c found 9w5d | cytotec 10.26.11 
    BFP #3 - CD36 - Jan. 2012 - 100mg Clomid + 2000met-  Baby Boy born 10.06.12 with 1 in a billion CHD. Perfect otherwise. 

    Image and video hosting by TinyPic 
    Open Heart Surgery @ 5 months old.Happy, healthy, and as normal as could be!  We thank God every day.EP/BF for 12.5 months

    TTC#2 - November 2012

    BFP #4:  O'd on CD25 (Aug. 2014).  DD May 6, 2015. RCS planned.
    Beta@14dpo: 184, 17dpo: 520.  44 hr. doubling time.  p4: 54U/S 8 weeks 1 day, 161 bpm
    image
  • Two babies!!! Congrats!! :)

    image
    image
    image




  • chricastchricast member
    edited March 2014
    That is awesome double trouble on the way! Congrats!
    image                 image
    Lilypie - (52Ft)


  • Very very exciting! Congratulations X2!
    image 
    Baby Birthday Ticker Ticker Anniversary
  • We didn't know. It had crossed my mind, but I thought for sure it wouldn't be twins because they don't run in our family. H about freaked out when she said there were 2 sacs. @mmnumber5‌ I didn't know that.
    Lilypie - Personal picture    Lilypie First Birthday tickers


    Lilypie Third Birthday tickers  Lilypie - Personal picture    
  • Omg, congrats!
  • Congratulations! How exciting! :)

                    
                   







  • Congrats on your twins...wow! You said your H is shocked. How are you feeling? This is so exciting!
  • Congrats. How amazing to add two more to your family. Enjoy the moment and worry about the rest later
    Hey I just met you, and you're my baby. This is your family, we're kind of crazy...Lilypie Kids Birthday tickersLilypie - (tl9S)Lilypie - (zrx8)imageimageimage
    image
  • I'm also in shock. I was just getting used to the idea of being pregnant, now I have to get used to the idea of twins. I was extremely nervous about this u/s because my gut was saying twins, but I didn't want to believe it. I think he almost started crying when he found out it was twins. I think he was happy to step out of the room for a few minutes when Alexis started to get fussy. Finding out we are having twins has thrown off our announcement plans. We had planned a cute way to announce, but when we found out it was twins we had to tell our families right away.
    Lilypie - Personal picture    Lilypie First Birthday tickers


    Lilypie Third Birthday tickers  Lilypie - Personal picture    
  • Congratulaions on the good double ultrasound!
    DD 9/15/12
  • mmnumber5 said:
    This is why you have greater risk of twins when nursing. I learned that too! Congrats on 2 beating hearts!!
    Wait... what?
    Baby Birthday Ticker Ticker
  • Congrats! Happy for the great ultrasound!
    Baby Birthday Ticker Ticker
  • mmnumber5 said:
    This is why you have greater risk of twins when nursing. I learned that too! Congrats on 2 beating hearts!!
    I had no idea and just did a quick pubmed search. 11% chance while BF vs 1% chance when not. Oh my gosh!

    Many congratulations, Morrkim!
    image
    imageimageimage

    Lilypie First Birthday tickersimage
  • Yaaay! I agree with duck, the multiples board is wonderful. Twins are so much fun, and get used to lots and LOTS of attention when you go in public! :)

     

  • Wow, so exciting!
    photo 9acca2d2-3800-4433-bb71-c445948b76cf_zpsd9667865.jpg

    Anniversary

    Baby Birthday Ticker Ticker
This discussion has been closed.
Choose Another Board
Search Boards
"
"