1st Trimester

New mom paranoia

Hey all!
Very new here and to pregnancy.
I had an ectopic about 7 years ago, and have finally conceived and currently at 5 weeks and some change.
My first ghc levels at about 4weeks 1day was 1208. I asked for another test at 4weeks and 6 days and it shot up to 6,693.
My pee test at 4 weeks was very dark too, so I did feel better that this time I may actually have a baby I can hold.
My only concern currently, and I realize I may just be stressing and worried like any other new mom would be, worried if the baby is going to be able to make it full term.
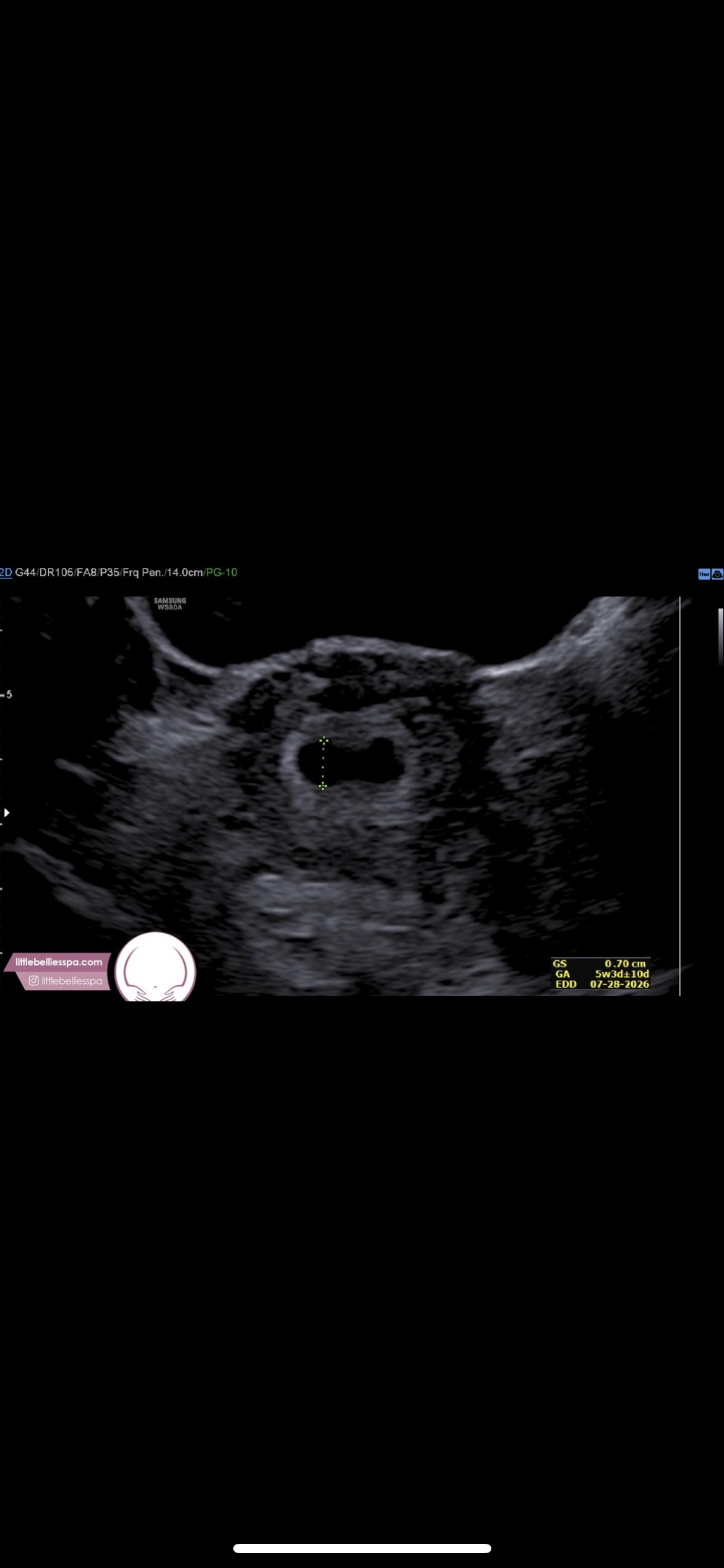
I did jump the gun on an ultrasound (not done through my regular doc office) and of course I knew just sac should be visible, but I am concerned at the shape or if it it’s too early to be worried about the sac shape because still so early.
But if someone could tel me if this looks normal, I would really appreciate it!!! Again, I know. Probably just paranoid.

<img src="https://us.v-cdn.net/5020794/uploads/editor/nl/p0yku4lodc89.jpeg" alt="" />

Re: New mom paranoia

  • Loading the player...
  • Your hCG rise looks strong and that is a good sign on its own. At around 5 weeks it is really common to only see a sac and for it to look a bit unclear or oddly shaped. Things change quickly from week to week, so an early scan is not great for judging much.

    Did the sonographer mention anything concerning at the time or did they say everything looked expected for how early you are? Most of the time if something looked off they would have pointed it out.

    Try to give yourself some space to breathe. You are still very early and everything you described fits with what many people see at this stage. xx 

  • I understand you very well, meditation will help me
Sign In or Register to comment.
Choose Another Board
Search Boards
"
"