Thank you @therealbitts I know all babies grow at different rates, so rationally it may be too early to worry, but waiting another week to see if the baby is still growing is extremely difficult. Praying we are just off to a slow start and everything is still progressing.
I am thinking if you both. I don’t want to offer out any false hope, but I think this is worth mentioning. I had an occurrence in one of my pregnancies where we should of seen a hb and didn’t. Less than a week later we saw the hb and the baby measured exactly where he should of. He’s four now. I spoke with my high risk doctor and he said that he does not scan anyone until eight weeks because of this very reason. They all develop at different rates. He said until after eight weeks there is really no reason to worry unless you’ve seen a hb and then didn’t. Good luck to you both.
I had my first OB appointment today and got my first picture of my “bat” baby. I call him/her my bat baby because s/he is chillin’ upside down 🤪 HR was strong at 171. I just love this little bat baby already 🥰
6 weeks, 4 days, and we saw his/her heartbeat!!!! 116 bpm, which doc said is on the slow side, but normal for having a brand new heart. Already in love, and praying we welcome this baby in February
First baby due February 21, 2019 Located in Columbia, SC
Well, we’ve got two! Heartbeats 115 and 118, NP is happy with those heart rates and says they typically like to see ~100 around 6 weeks. So if they're happy I’m happy I’m 6w5d.
Still kind of in shock about today! Measuring exactly what we thought (due Feb 7 or 8), heart rate was 171! What a relief this is to me. I think this is called a rainbow baby? So cool to see the heartbeat flickering and it moving around as I was bawling like a baby haha.
Measuring exactly what we thought it should be (7 weeks 6 days) and heartrate of 157 bpm. Definitely cried some happy tears seeing our little gummy bear. ❤ With my first pregnancy I MCd before we even got an ultrasound, so this was really my first experience seeing a baby on the monitor.
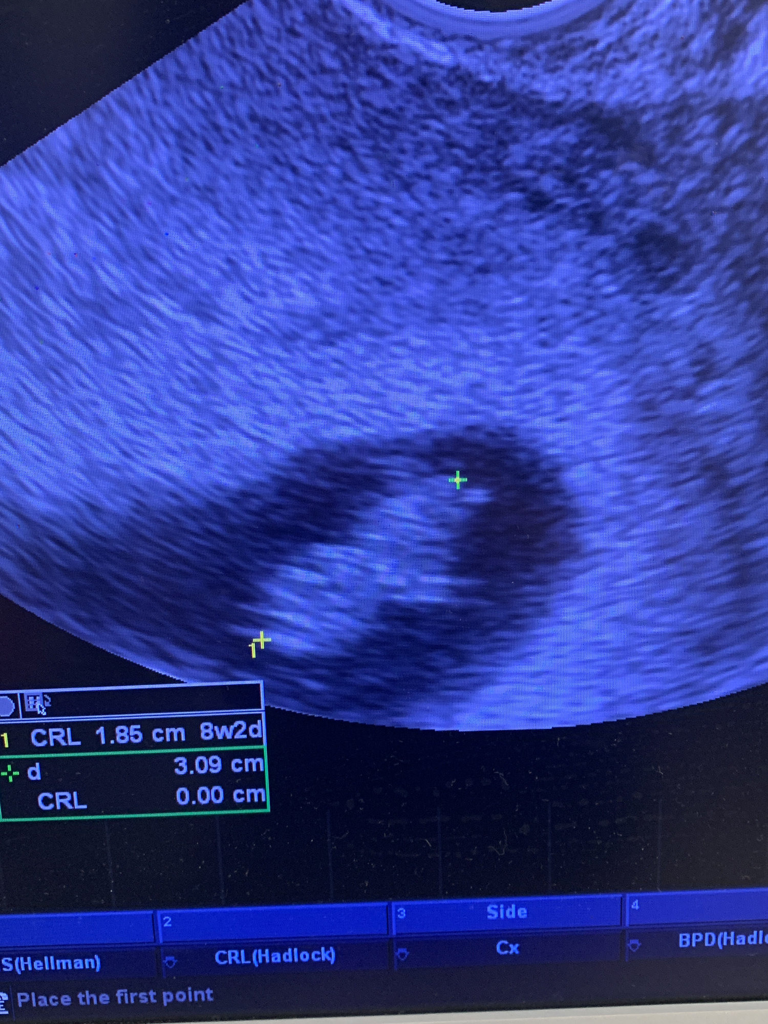
Baby had a heart rate of 155 measuring 7w4d but they said they were going to leave the due date as is so our due date is February 17th. And thank goodness there is just one lol
Terribile quality but this is my little penguin last week at 8w1d!
Me, 35, SO 35. Personal assistant to one 10 year-old fur baby (cat, pictured). Human baby #1 EDD Feb 11, 2020 BFP July 12, 2018 - CP BFP December 7, 2018 - CP
7w 6d! Little baby had a strong heart beat at 180 bpm. Hubby and i are over the moon. We’ve been trying for 2.5 years. Can’t wait to tell my 4 year old he’s going to be a big brother!
@blaidd_drwg87 A family friend has naturally conceived triplets When we triggered with four follicles they gave me the “selective reduction” talk Fortunately just the two for us...
Measuring 7w6d here (just a couple days off expected) with a HB of 162. Had a scan last week too because I have a couple SCH’s and can’t believe how much baby grew. Exactly 3 times the size in one week!
7 weeks exactly today! Due date is still on track for February 27th! We got to hear a heartbeat today and it was so emotional and exciting! 139 bpm. Nurse said it's exactly where it should be at this stage, so that was a sigh of relief. My 4 year old niece got to see the pictures today and she said it looks like a puddle! I have to agree with her, haha!
Finally got to see my baby today!!! Measuring about a week behind what I expected (7 weeks 1 day not 8 weeks 1 day!) New due days is 2/27/2020! Baby's heartrate was 150 and doc said everything looked good! I do have slightly high blood pressure, but we aren't sure if it's white coat syndrome or an ongoing issue but she gave me a prescription for a blood pressure cuff and said to check it daily and send her a log before the next appointment. I sent this photo to my husband and his response was "I'm not getting teary eyed, you're getting teary eyed!!" ❤
Got to see baby on Tuesday... measuring right on track at 8 w 3 d and heart rate of 165. I have no idea how they know what to look for because I just see a blob--a sweet, adorable blob.
Re: Post Ultrasound Pics Here!
Located in Columbia, SC
This mornings appointment. Baby is measuring one day ahead. Heart was beating happily.
Still kind of in shock about today! Measuring exactly what we thought (due Feb 7 or 8), heart rate was 171! What a relief this is to me. I think this is called a rainbow baby? So cool to see the heartbeat flickering and it moving around as I was bawling like a baby haha.
Abdominal ultrasound at 8 weeks! Baby’s heart is so strong! So in love! 🥰
Diagnosed with PCOS & Hashimoto's
Baby had a heart rate of 155 measuring 7w4d but they said they were going to leave the due date as is so our due date is February 17th. And thank goodness there is just one lol
Personal assistant to one 10 year-old fur baby (cat, pictured).
Human baby #1 EDD Feb 11, 2020
BFP July 12, 2018 - CP
BFP December 7, 2018 - CP
7w 6d! Little baby had a strong heart beat at 180 bpm. Hubby and i are over the moon. We’ve been trying for 2.5 years. Can’t wait to tell my 4 year old he’s going to be a big brother!
I am shook, y'all. 3 sacs.....3! And I conceived naturally. Only 2 heartbeats though, but it is still early.
Diagnosed with PCOS & Hashimoto's
DH: 34
Married: May 2011
TTC #1: May 2015
DS: 10/20/2016
TTC #2: June 2019
#2 EDD: 2/20/2020
Measuring 7w6d here (just a couple days off expected) with a HB of 162. Had a scan last week too because I have a couple SCH’s and can’t believe how much baby grew. Exactly 3 times the size in one week!
Measuring about a week behind what I expected (7 weeks 1 day not 8 weeks 1 day!) New due days is 2/27/2020!
Baby's heartrate was 150 and doc said everything looked good!
I do have slightly high blood pressure, but we aren't sure if it's white coat syndrome or an ongoing issue but she gave me a prescription for a blood pressure cuff and said to check it daily and send her a log before the next appointment.
I sent this photo to my husband and his response was "I'm not getting teary eyed, you're getting teary eyed!!" ❤