Second ultrasound! I’m 9 weeks today and baby is measuring 8wks 4 days. Within the margin so they’re keeping my 7/11 due date. Strong heartbeat at 178!
Went and saw baby again today, and learned that I am actually 10weeks1day not 9weeks4days. They are keeping my original due date since baby is growing. Next appointment will be with my OB to do the DNA testing
Me: 35 H: 35 Married: 4/5/13 "You know that place between sleep and awake, that place where you can still remember dreaming? That's where I will always love you. That's where I'll be waiting." ~Peter Pan
*TW*
BFP #1: 11/12/12 EDD 7/25/13 Baby boy: 7/27/13 BFP #2: 10/29/17 MMC dx @ 9 weeks BFP #3: 2/2/18 MC 2/7/18 BFP #4: 3/2/18 MC 3/9/18 RPL testing and hysteroscopy: all normal BFP #5: 4/1/18 MMC dx @ 14 weeks ----> genetically normal girl Hysteroscopy to remove scar tissue 9/28 BFP #6 11/5/18 EDD 7/20/19 Rainbow baby girl born 7/23/19 BFP #7 12/8/2021 EDD 8/22/2022
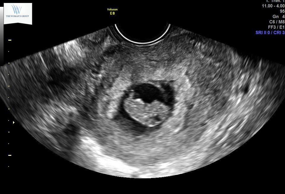
Hi everyone! My EDD is 7/1/2019, so I’m not sure if I’ll be here or in June. Here is our ultrasound photo from 8 weeks (transvaginal) a couple weeks ago. Heartbeat was 172bpm. Baby is the blob on the upper right, facing away.
@ameliabedelia-2 we had our first with them too! We see a group in Silver Spring/Germantown. The only sucky part is that I delivered at the Germantown hospital last time which I loved because it's brand new and pretty close to where we live but if I want to try for a VBAC, they're forcing me to deliver in Silver Spring which is an hour away from where I live.
Had another ultrasound Sunday at the ER I was 9w2d and I had pain and bleeding. They found a hemorrhage but baby was doing good HR was 170 and the baby even looks like they’re smiling!
what meds did they give you for the SCH @camilleanneh? I had a SCH last pregnancy and they basically told me there was nothing they did for it and that it would go away on its own.
@coco2787 OB gave me progesterones for 2 weeks 🙂 Will see this weekend if it works. We’re up for another scan to check if it’s clear already.
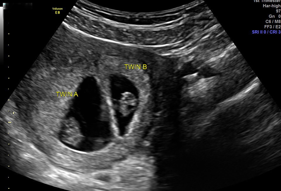
My 8 week ultrasound pic from last week - my husband and I found out we’re having twins! Di dizygotic twins, so they will most likely be fraternal but if they are the same sex we won’t know for sure if they are identical until they are born. Right now they are both looking healthy and have strong little heartbeats of 155 and 169 bpm. Can’t wait to continue watching them grow!
8 weeks 1 day, my calculations were spot on!!! Due to my family’s recent discovery of heart deformities (paternal grandfather, and father) my 12 week ultrasound will be level 2. Has anyone else had this occur?
I had my first US today! Baby is measuring at 10+2 via US and 10+4 by LMP, so looks like we’re right on track! Looks like my due date change to 7/7, so I wasn’t that far off. HR in the 160’s. Looking forward to seeing this munchkin more!
New here, but I got to see this little nugget a few days ago. Measured 7+4 which moved my due date from 8/15 to 7/26 (obviously what I thought was a period in November was not )
Me 30 Him 30 Married August 2015 DS born 5/23/2018 TTC #2 July 2020
This was at 7w3d, transvaginal US. Doctor did it in his office with his little old school machine, that's why it's so grainy lol! Saw heartbeat and baby wiggling! Due 7/21, this is my second pregnancy, first one ended in ectopic with rupture last June
8 weeks 1 day, my calculations were spot on!!! Due to my family’s recent discovery of heart deformities (paternal grandfather, and father) my 12 week ultrasound will be level 2. Has anyone else had this occur?
I have a fetal echo scheduled around 22 weeks to verify the heart formed properly because of my family history.
Ultrasound pic from this morning. Yolk sac and head are on the left and feet towards the right side of the picture. 9 weeks 1 day with a heartbeat of 171. This baby seemed chill compared to my last one who was flipping around like a little maniac during the first ultrasound.
Re: Post Ultrasound Pictures Here
Measured right on track at 8w and 4d! EDD July 13th!
8w6d little bean! 😍 heard a nice strong heartbeat
@hestia14 I'm in Northeast Ohio too!!
Had a follow up scan today. Baby is looking good. Measuring 2 days behind my dates but they said everything looks perfect. 160bpm
Married: 4/5/13
"You know that place between sleep and awake,
that place where you can still remember dreaming?
That's where I will always love you.
That's where I'll be waiting."
~Peter Pan
*TW*
BFP #2: 10/29/17 MMC dx @ 9 weeks
BFP #3: 2/2/18 MC 2/7/18
BFP #4: 3/2/18 MC 3/9/18
RPL testing and hysteroscopy: all normal
BFP #5: 4/1/18 MMC dx @ 14 weeks ----> genetically normal girl
Hysteroscopy to remove scar tissue 9/28
BFP #6 11/5/18 EDD 7/20/19
BFP #7 12/8/2021 EDD 8/22/2022
8w1d
Here is our ultrasound photo from 8 weeks (transvaginal) a couple weeks ago. Heartbeat was 172bpm. Baby is the blob on the upper right, facing away.
Married August 2015
DS born 5/23/2018
TTC #2 July 2020