Got a great pic of our baby at 9w6d yesterday! Baby was verrrryy squirmy and was moving around. It was amazing to see baby active! Heart rate was 167 but she said that it was probably high because baby was moving so much! Due date February 24th.
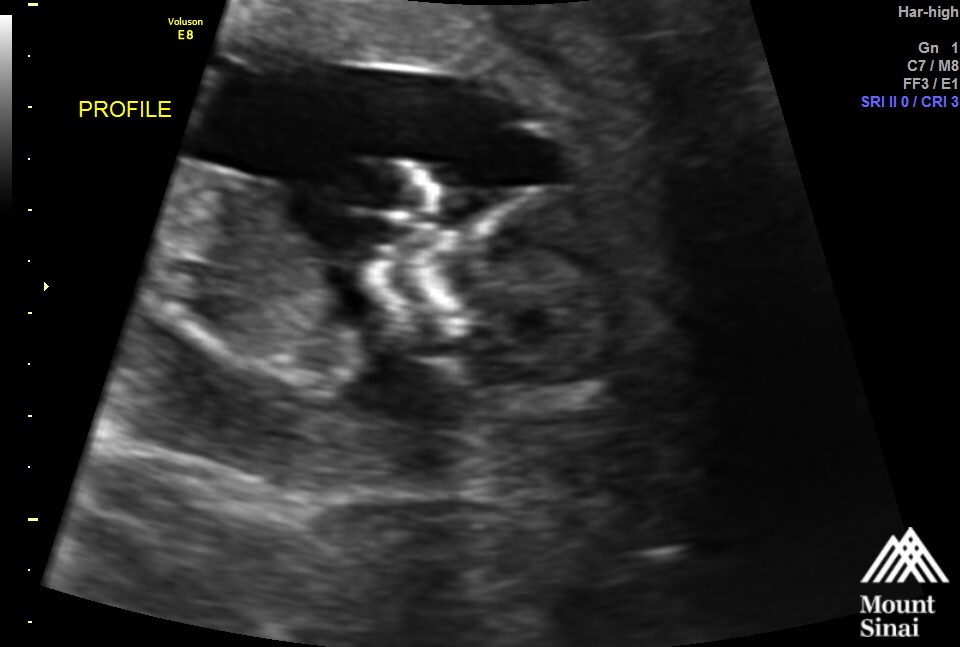
Our little one at 13 weeks 1 day! I didn't know you could have Braxton Hicks contractions this early - but apparently I was having one and it left baby a little squished and made it hard to get a good pic. Tech tried her best though! Loved seeing baby actually looking like a baby (instead of just a peanut) these days
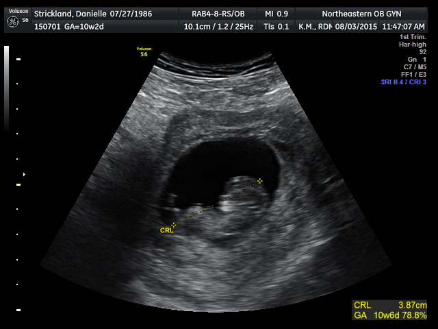
Went for 10wk check up today. Baby is right on schedule and her heart rate is 172 and decided to do a little dancing for the camera today. It was so amazing!
Had my first ultrasound today at 9w+6 it was pretty amazing to finally see! We couldn't hear the heartbeat but we could see it flickering and watched bubs tiny little arms wave too. The ultrasound just makes it look like a blurry jellybean!
@pdtoast, great photos!! Are you team green? just wondering b/c according to the nub theory, it is very much obvious the sex of your LO.
Nope, we'll find out. I'm not familiar with that theory, but the US tech said that her guess would be boy although she emphasized that it's too early to make a definitive statement about sex. Not sure if that's what you were thinking too.
@pdtoast, great photos!! Are you team green? just wondering b/c according to the nub theory, it is very much obvious the sex of your LO.
Nope, we'll find out. I'm not familiar with that theory, but the US tech said that her guess would be boy although she emphasized that it's too early to make a definitive statement about sex. Not sure if that's what you were thinking too.
Yeah... I would be shocked if it's not a boy.
BFP #1 4/23/11, EDD 1/4/12::No heartbeat @ 9 wks::D&C 6/1/11 Child #1 June 2012 Child #2 Feb 2014 Child #3 Feb 16 BFP 3/9/17
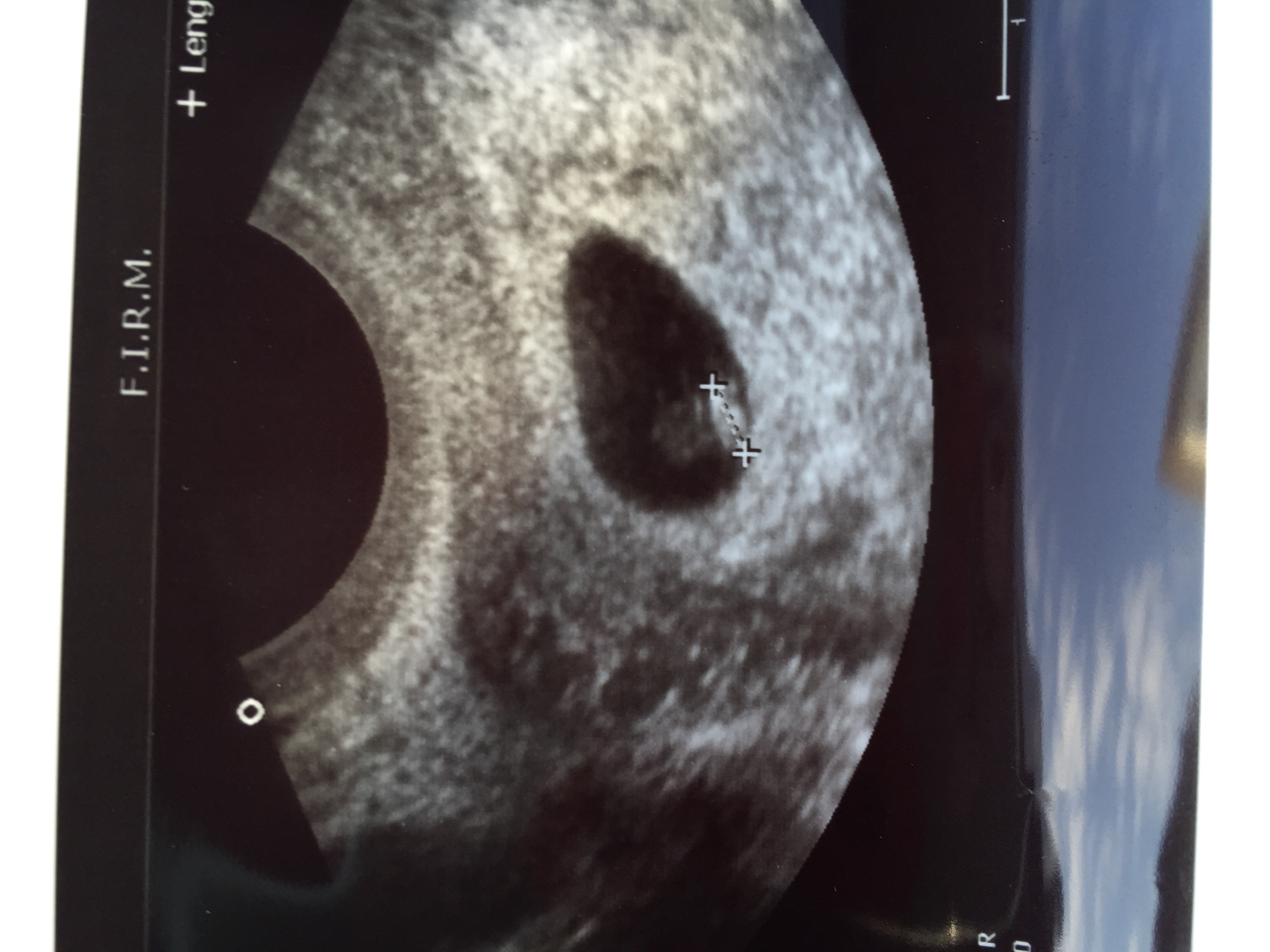
Congrats everyone ! Here's my little bean at 9 weeks got 12 week scan Wednesday very exited ! Does anyone look at their scans and think boy or girl?! Xxz
Yay! I was in the Jan club up until Friday when we got this U/S and found out we were only 6 wks, 3 d due 2/9. Here's our little "Spike" as my husband likes to call it. 134 bpm!
Also I totally did not prepare my hubs for the transvaginal u/s - did it rattle anyone else's partners? Haha!
Haha! I had an u/s at 6,7,and 9 weeks. 6 & 7 week u/s were transvaginal...I thought he was going to run out of the room
Ladies your babies are adorable!! No u/s for me yet but today DH and I went in for a heart rate and after the nurse trying for about 2 mins (which felt like forever), there it was! Around 160bpm! I cried immediately which was not the reaction I thought I'd have, but it was incredible. LO kept swimming away from the doppler but I know it's in there and doing well
10w2d today! Baby measuring a few days ahead, I blame that on his/her dad's giant self. FHR was 184, crazy to see how fast it was, but after my h/o MC, I'll definitely take a fast HR!
Re: Ultrasound Pictures *Post Here*
Child #1 June 2012
Child #2 Feb 2014
Child #3 Feb 16
BFP 3/9/17
We will find out the sex mid August when our MaterniTi21 results come back.
DS1 Jan 2012
DS2 July 2013
DS3 February 2016
Child #1 June 2012
Child #2 Feb 2014
Child #3 Feb 16
BFP 3/9/17
Here's my little bean at 9 weeks got 12 week scan Wednesday very exited ! Does anyone look at their scans and think boy or girl?! Xxz
9weeks 5days
(Phone won't let me post picture)
Isabella {09-02-05} & Savannah {03-02-07} & Bradley {02-06-10}
Heart rate 178