I'm currently 16 weeks into my first pregnancy. I had an ultrasound at 4.5 weeks and another at exactly 7 weeks (because of ovarian cysts). I've also been to the ER several times because of pretty bad HG, so between that and the 2 OB visits, I have heard the heartbeat 6 times. Each time the heartbeat display on the doppler kept skipping back and forth between 2 numbers (about 10 numbers apart--can't remember the specific heart rate). Now, I can feel the top of my uterus less than half an inch below my belly button, which is higher than everything I'm finding as the average for 16 weeks.
All that being said, twins run pretty heavily in my family, and there's even been a set of triplets (all natural, no IVF or anything). Since the first two u/s were so early, could they have missed a second baby? With how high my uterus is and with how the doppler was skipping between numbers almost every time, I'm wondering if there could possibly be more than one baby. I am, of course, going to ask my OB about it when I see him, but that's not for another 2 weeks and I'm impatient. Anyone have any input?
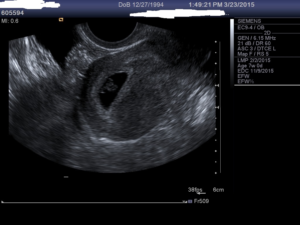
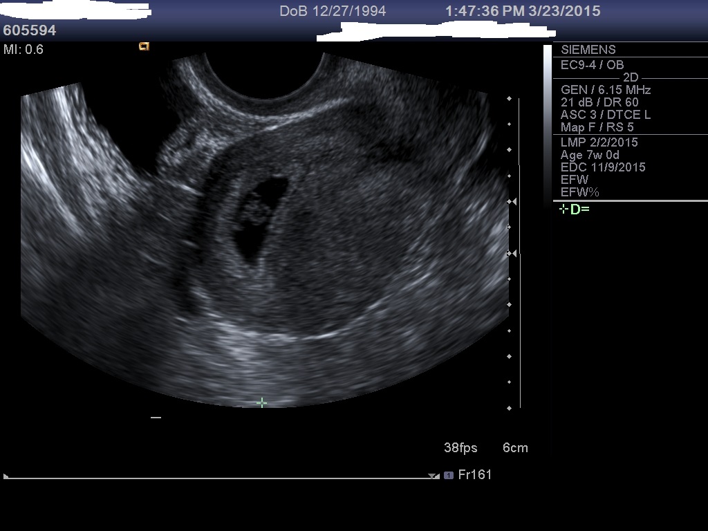
Two pics of the u/s at 7 weeks:
Re: Most likely a stupid question, but....(about twins)
Also remember everyone carries differently, so I wouldn't jump to twins based on that.
They'd make a great substitute for a Rorschach test.