October 2015 Moms

Baby Gender.. What do you think?

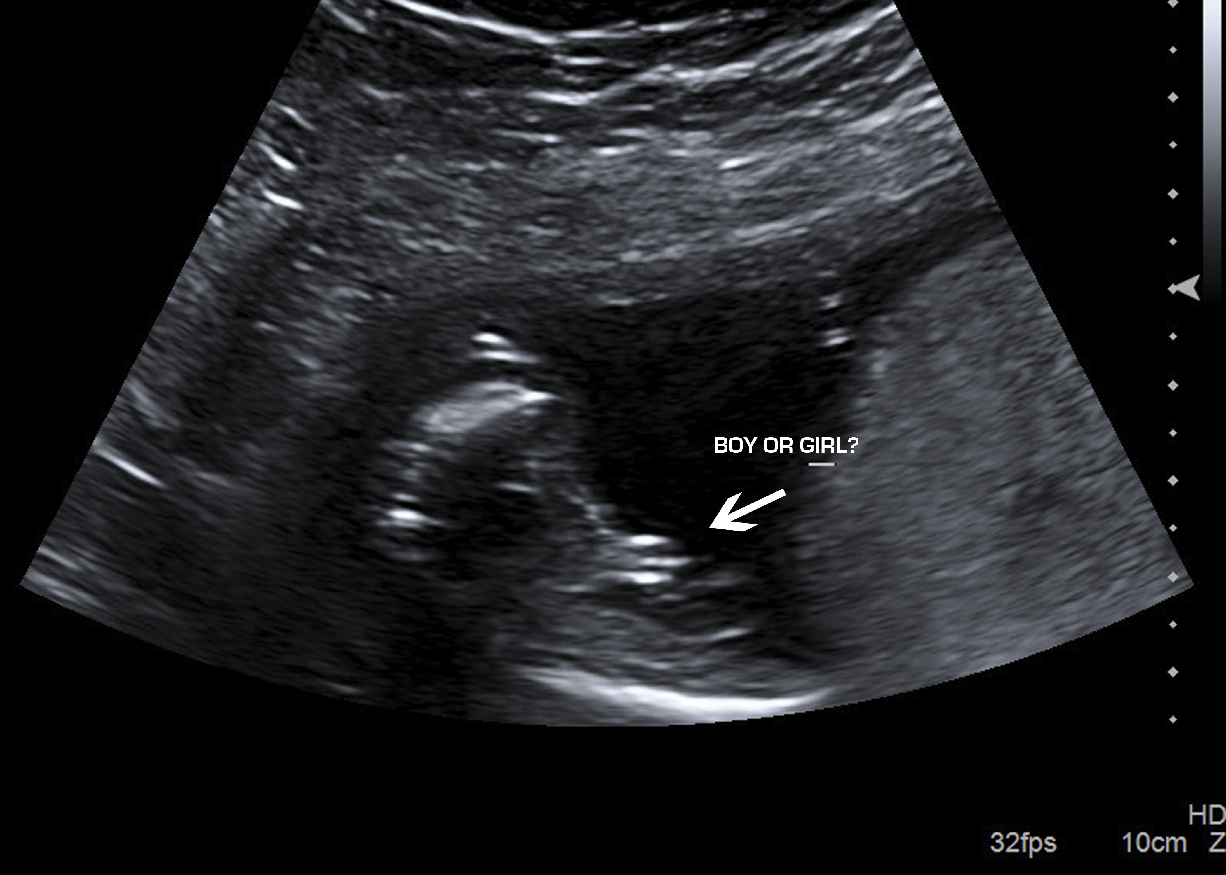
So we had out gender appointment today, and this is the ultrasound. I removed my info, and the words of what they wrote on it because Im very unsure if I believe the tech. (she was an intern and i know that sounds terrible to judge).. but what gender is this to you?

Re: Baby Gender.. What do you think?

  • nsaid4unsaid4u member
    3 lines is girl. I see 3 lines.
  • Loading the player...
  • I say girl
  • alf0318alf0318 member
    3 lines= girl is what I've been told.
  • kaza512kaza512 member

    They say if it looks like a hamburger, it's a girl. a turtle, it's a boy.  That looks like a hamburger... so girl!  So what did the tech say??

  • Definitely girl. I found out today I'm having a girl too!
  • bvan83bvan83 member
    I think boy.
  • we were told boy.. and im very annoyed considering I too have heard girl is 3 lines. We have to go back for follow up in 4 weeks because baby was very active, and they didnt get what they needed for other anatomy. it will be interesting but i just wanted to see what others thought and see if i was alone on the girl...
  • looks NOTHING like my first son, which is this one.. so i have a hard time believing boy this time
  • Looks like a girl to me... I would call and see if they can squeeze you in earlier for another ultrasound.
  • It actually looks very similar to my own ultrasound (that I had done Thursday), which is a boy. Since it sticks out, it definitely looks like a, you know, to me a little bit, but I haven't seen many ultrasounds in my life! I would just wait patiently for your next ultrasound. :) If everything else looked fine, then it's just a matter of patience! :) 
  • May first I thought girl because of the three lines but it also sticks out a little far in the middle, so I don't know!!
  • I want to say girl because the 3 lines, but a girls parts and not stuck out like that. So makes me think boy. Could be because the baby was active like you said...
  • csy2947csy2947 member

    May first I thought girl because of the three lines but it also sticks out a little far in the middle, so I don't know!!

    This was my thought exactly!
  • How many weeks were you in this sonogram?
  • It was today I am 19w 2days
  • My friend owns a 3d ultrasound business and I sent her that pic, she said it was inconclusive you would need more pictures and angles to tell. While 3 lines does mean girl, a boy who is still forming can have the same appearance. I would request another ultrasound!
  • It will be a long few weeks! Yes baby was super active, we got this one photo and then one of a hand which was also blurred from movement
  • So we had out gender appointment today, and this is the ultrasound. I removed my info, and the words of what they wrote on it because Im very unsure if I believe the tech. (she was an intern and i know that sounds terrible to judge).. but what gender is this to you?

    Do you mean the 20 week anatomy scan?
    This ultrasound is not meant to find out the SEX of the baby but important things like making sure baby and all of his/her organs are growing properly.
    Depending on whether or not baby is cooperative you may not find out the sex until birth.
  • I work at a 3d/4d ultrasound facility. Sometimes the umbilical cord can be inbetween the legs and the three vessels look like three lines for a girl.
    I agree with the previous posted that more angles need to be seen to determine the gender.
  • That really wasn't a great ultrasound photo. Ugh! Sorry that this happened. I'd be so frustrated!
    My first pregnancy we found out it was a boy and it looked like your son's , too. This second one doesn't tell me a thing.
  • It's super frustrating because I'm a huge planner! We have two separate cribs picked out depending on gender and now have to wait another month to order it, and that scares me. We are very busy/nonstop running people and will be moving in June as well.. Lots going on, and really wanted to get things done after finding out! .... Babies :)
  • My son's was more obvious than that (and he's just, ummm, "normal" sized). It could be a girl with an enlarged clitoris or a bad angle making the center line appear to stick out more. Sorry that you'll have to wait! Happy that everything else they were able to see looked good. Maybe next time you'll hit it during a sleep cycle!
  • 27alex27alex member

    Obviously yes it was the anatomy scan. Everything with baby looks good, and this post isn't about the other anatomy. I'm not a first time mom nor am I uneducated on what this scan is for.. Also well aware some don't know gender until birth, but our choice was to find out. That really had nothing to do with the point of my post. I'm simply asking for opinions as this is a very fine line between boy/girl.

    Ok, but your baby's sex organs determine what SEX they are. Not what their gender is...
  • How do you figure they are different? Gender and Sex are the same thing. Not sure why that comment was even found necessary.
  • Unless you're being absolutely, ridiculously literal and you are defining them as penis/vagina for sex and male/female for gender... which is just annoying.
  • How do you figure they are different? Gender and Sex are the same thing. Not sure why that comment was even found necessary.



    WRONG
  • The umbilical cord was in between the legs but I still say a girl for us
  • Oboii....nooooooooooooo not again this conversation again!!!!!!.......lolzz.....@katielynn75 I'm sorry your thread might just start this again...idk if you have looked at the gender anxiety thread but it turned into the diff btwn sex/gender......I hope it doesn't ....!!!!

    And I think your baby is a girl !





  • Oboii....nooooooooooooo not again this conversation again!!!!!!.......lolzz.....@katielynn75 I'm sorry your thread might just start this again...idk if you have looked at the gender anxiety thread but it turned into the diff btwn sex/gender......I hope it doesn't ....!!!!

    And I think your baby is a girl !

    I know right !
  • How do you figure they are different? Gender and Sex are the same thing. Not sure why that comment was even found necessary.

    They are not the same thing.  Sex is determined by how they pee and Gender is something you won't find out about your baby for a while

    Image result for bobs burger gifs



    httpdb88884558af2dd1308c-3341812d6775871652d58b599202ab3cr4cf1rackcdncomthebumpvanillaforumscomFileUploadeaa27518d817eb3a350c501028155427jpghttpdb88884558af2dd1308c-3341812d6775871652d58b599202ab3cr4cf1rackcdncomthebumpvanillaforumscomFileUpload6bbb16d010206d10646648f568faa060jpg

  • Yeah they are different. Look up the definitions. They are not synonyms.
    ~*~*~*~*~*~*~*~*~*~*~
    TTC #1 - Nov '14
    BFP 2/3/16  EDD 10/16/16
    DS born 10/18

    LFAF: Frankly Disturbing
  • Looks like a girl to me... I would call and see if they can squeeze you in earlier for another ultrasound.

    I'm usually just a lurker but I don't see a reason to call to get in earlier. There are other moms out there who may need those appointments for medical reasons and not because they didn't trust what the tech told them.
Sign In or Register to comment.
Choose Another Board
Search Boards
"
"