1st Trimester

Ramzi Method guesses!

Hey ladies,
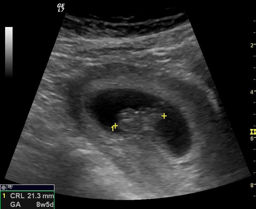
Just came home from today's ultrasound, I am 8/5 but baby is measuring bigger at 9/4! HR of 167! It was perfect! DH and I have decided not to find out the sex of the baby but are going to try out all the old wives tales and see how it weighs out for us and what we actually end up with! Of coarse we know none of them are guaranteed but the guessing is fun! I have attached an ultrasound photo, it was done abdominally so the image is mirrored. It looks pretty central to me so I'm hoping to get your opinion on it! Ramzi says right side=Boy and left=girl. Our next ultrasound won't be until around 20 weeks. Again, it's all in fun. Any opionions welcome!
Thanks!
Married:09/27/14 
Baby N-Born:10/29/15
Our Angel: EDD: 05/11/17. MC at 6 weeks
Baby #2- EDD: 07/18/17

Re: Ramzi Method guesses!

  • Ramzi method has been debunked


    LFAF Summer 2016 Awards:



    Lilypie First Birthday tickers

  • Loading the player...
  • Ramzi theory is like any other old wives tale. I wouldn't read to much into it. It's fun to share with your DH and family.
  • I'm just looking for the fun in it! Not as an actual predictor! Hanging a ring on a string over your belly doesn't really give you answers either but it's fun to do so why not?
    Married:09/27/14 
    Baby N-Born:10/29/15
    Our Angel: EDD: 05/11/17. MC at 6 weeks
    Baby #2- EDD: 07/18/17

  • I'm sorry but I don't find this fun. But that's definitely a baby so congratulations!!
  • I don't have any suggestions, but if you want to try different prediction methods then go for it and have fun!
  • What is the Ramzi method?
  • I'm just looking for the fun in it! Not as an actual predictor! Hanging a ring on a string over your belly doesn't really give you answers either but it's fun to do so why not?

    I think your missing everyone's point. It's fun for you to share with your family. Random internet strangers not so much.
  • Gotta love a bunch of grumpers. Good luck with your pregnancy and have all the fun you can!
  • Gotta love a bunch of grumpers. Good luck with your pregnancy and have all the fun you can!

    Nobody told her not to have fun. But have the fun with people who care and find this fun, like friends or family. Not random internet strangers. Bunch of "grumpers"......that's cute.
  • What is the Ramzi method?

    A theory of the baby's sex based on where the placenta is located. And as PPs mentioned, debunked "science".
  • Actually guys, the Ramzi method was studied for over 10 years and over 95% accurate!!!  So don't bash.   Just because you might fall within the 5%.  
    This is fun for expecting parents, and its great for educational purposes.  I actually looked into this, and a lot of people get it wrong because they don't know how to tell which is left or right.
     
    Anatomically medical professionals claim the right and left the opposite. I know because I took medical assisting for 3 years in college. 
    NEXT, transvaginal is often even more confused because its mirrored, causing it to be reversed than abdominal.
    (so if abdominal says placenta is on the left side, transvaginal will show it on the right)

    If you were to look at an ultrasound, and they said the placenta is on the left side, you will be looking at it on the right.  See what I am saying?  
                      


                     35 Weeks with Baby Boy #3 

    Jace Thomas- 2 years old and Zachary William 5 years old!

  • Personally, I'm going to go with the ladies at my practice that have MDs that I pay a lot of money to. The only way to tell the sex of a baby is when it's born. All other methods can be proven wrong.
    1/19/15 - Officially Team Blue! 
    image
    "Victory is paid for in sweat, courage, and preparation!"
    image
  • CatsAreShadyCatsAreShady member
    edited March 2015
    StaciaK44 said:

    Whoa. Sticking with the birth month board. They were right, it IS dramatic over here lol. So ridiculous to me that there are people (adults even) who take the time to bash someone's thread. Not your idea of "fun"? Keep scrolling. Debunked, load of crap? Keep scrolling. Oh, but wait, one must *never* pass up a chance to be unduly critical of another person, a stranger, a woman looking to share a thought on a MESSAGE BOARD! Can anyone say "self-righteous snob?". Keep scrolling.

    Well in that case, go back to your BMB. I always find it ridiculous when adults get on their soapboxes and feel like they have to chastise other adults simply for stating their opinions. Ta ta now, I'm sure you'll be missed here.

    Self righteous snob? Isn't that the pot calling the kettle......nevermind.
  • StaciaK44 said:

    Can anyone say "self-righteous snob?".

    I can even say it three times fast.  #Spechul.

    image

    image



  • CatsAreShady  - I <3 you and your gif! =D
    1/19/15 - Officially Team Blue! 
    image
    "Victory is paid for in sweat, courage, and preparation!"
    image
  • GSUDavis said:

    CatsAreShady  - I <3 you and your gif! =D

    Aww thanks! My DH sent it to me one day and I laughed for 10 minutes straight :D
  • Gotta love a bunch of grumpers. Good luck with your pregnancy and have all the fun you can!

    No one is grumpy. Just not up for this game that has no real point & isn't fun. But hey, if you like analyzing fetal skulls for giggles-- you can get down with your bad self.


    LFAF Summer 2016 Awards:



    Lilypie First Birthday tickers

  • StaciaK44 said:

    Whoa. Sticking with the birth month board. They were right, it IS dramatic over here lol. So ridiculous to me that there are people (adults even) who take the time to bash someone's thread. Not your idea of "fun"? Keep scrolling. Debunked, load of crap? Keep scrolling. Oh, but wait, one must *never* pass up a chance to be unduly critical of another person, a stranger, a woman looking to share a thought on a MESSAGE BOARD! Can anyone say "self-righteous snob?". Keep scrolling.

    Don't go into November birth month. They'll eat you alive, and those are the good ones. The other girls apparently shit rainbows, fart glitter, defy the laws of science and have a huge 4wk bump and will get you banned if you tell them it's just bloat.
    Ah the honeymoon period of the BMB. The crazies & the butthurts make for great reading. ;)


    LFAF Summer 2016 Awards:



    Lilypie First Birthday tickers

  • BMBS love ramzi! One had like 8+ pages of a lady doing ramzi guesses for everyone. I assume she was actually a pervert who was into US pics and used ramzi as a ploy to gather a bunch of pics for her collection.
    image

    image

  • i just understand the frustration of wanting to share to women who are going through the same journey as me and ppl being so callous. its irritating, we should be supporting each other not criticizing
  • chris1876 said:

    i just understand the frustration of wanting to share to women who are going through the same journey as me and ppl being so callous. its irritating, we should be supporting each other not criticizing


    Are you also criticizing with your "grow up" comment?
  • chris1876 said:

    i just understand the frustration of wanting to share to women who are going through the same journey as me and ppl being so callous. its irritating, we should be supporting each other not criticizing

    @chris1876 : how is calling anyone pathetic supportive?


    LFAF Summer 2016 Awards:



    Lilypie First Birthday tickers

  • @CatsAreShady, that was so perfectly said! I wish someone would come up to me in the maternity store, demanding I guess the sex of their baby. =))

    BabyGaga

  • For what it's worth, the Ramzi method was wrong for me :P

  • Well I think it's fun, personally, I'm going to be happy with either boy or girl, I just want healthy. But I do think all of the "old wives tales" make me smile and since this is a thread of discussing one of those tales, I'm in. I realize not everyone is but we DO have a choice as to whether or not we read or participate in a thread. 

    So, Ramzi's implied boy for me and most of the old tricks are saying like wise. Knowing me it will probably end up the opposite but it's exciting to try and guess, even if the tactics are hilariously weak and inaccurate! I just can't wait to know so I can start using a name and planning and imagining scenarios that will probably never even happen. It's so exciting!!!! 
  • StaciaK44 said:

    Whoa. Sticking with the birth month board. They were right, it IS dramatic over here lol. So ridiculous to me that there are people (adults even) who take the time to bash someone's thread. Not your idea of "fun"? Keep scrolling. Debunked, load of crap? Keep scrolling. Oh, but wait, one must *never* pass up a chance to be unduly critical of another person, a stranger, a woman looking to share a thought on a MESSAGE BOARD! Can anyone say "self-righteous snob?". Keep scrolling.

    Don't go into November birth month. They'll eat you alive, and those are the good ones. The other girls apparently shit rainbows, fart glitter, defy the laws of science and have a huge 4wk bump and will get you banned if you tell them it's just bloat.
    I'm still steaming that Bliss was banned.
  • StaciaK44 said:

    Whoa. Sticking with the birth month board. They were right, it IS dramatic over here lol. So ridiculous to me that there are people (adults even) who take the time to bash someone's thread. Not your idea of "fun"? Keep scrolling. Debunked, load of crap? Keep scrolling. Oh, but wait, one must *never* pass up a chance to be unduly critical of another person, a stranger, a woman looking to share a thought on a MESSAGE BOARD! Can anyone say "self-righteous snob?". Keep scrolling.

    Don't go into November birth month. They'll eat you alive, and those are the good ones. The other girls apparently shit rainbows, fart glitter, defy the laws of science and have a huge 4wk bump and will get you banned if you tell them it's just bloat.
    I'm still steaming that Bliss was banned.
    Don't worry, I think she's still here in spirit ;)
This discussion has been closed.
Choose Another Board
Search Boards
"
"