July 2015 Moms

Positive thoughts please UPDATE

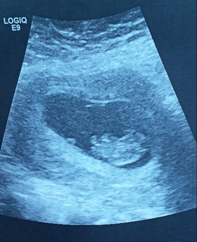
islandwaddleislandwaddle member
edited December 2014 in July 2015 Moms
FTM here and just threw up blood and had some spotting. On my way to the hospital in a few mins here. Please fingers crossed.
I'll update soon as I can.

Gotta love my hospital. SO fast!
We are both absolutely healthy. Measuring perfectly and happy healthy bouncing bean
Thank you to everyone for the thoughts. So much appreciated.
No idea why I threw up blood

Re: Positive thoughts please UPDATE

This discussion has been closed.
Choose Another Board
Search Boards
"
"