February 2015 Moms

First Ultrasound!

edited July 2014 in February 2015 Moms
Hello Ladies!

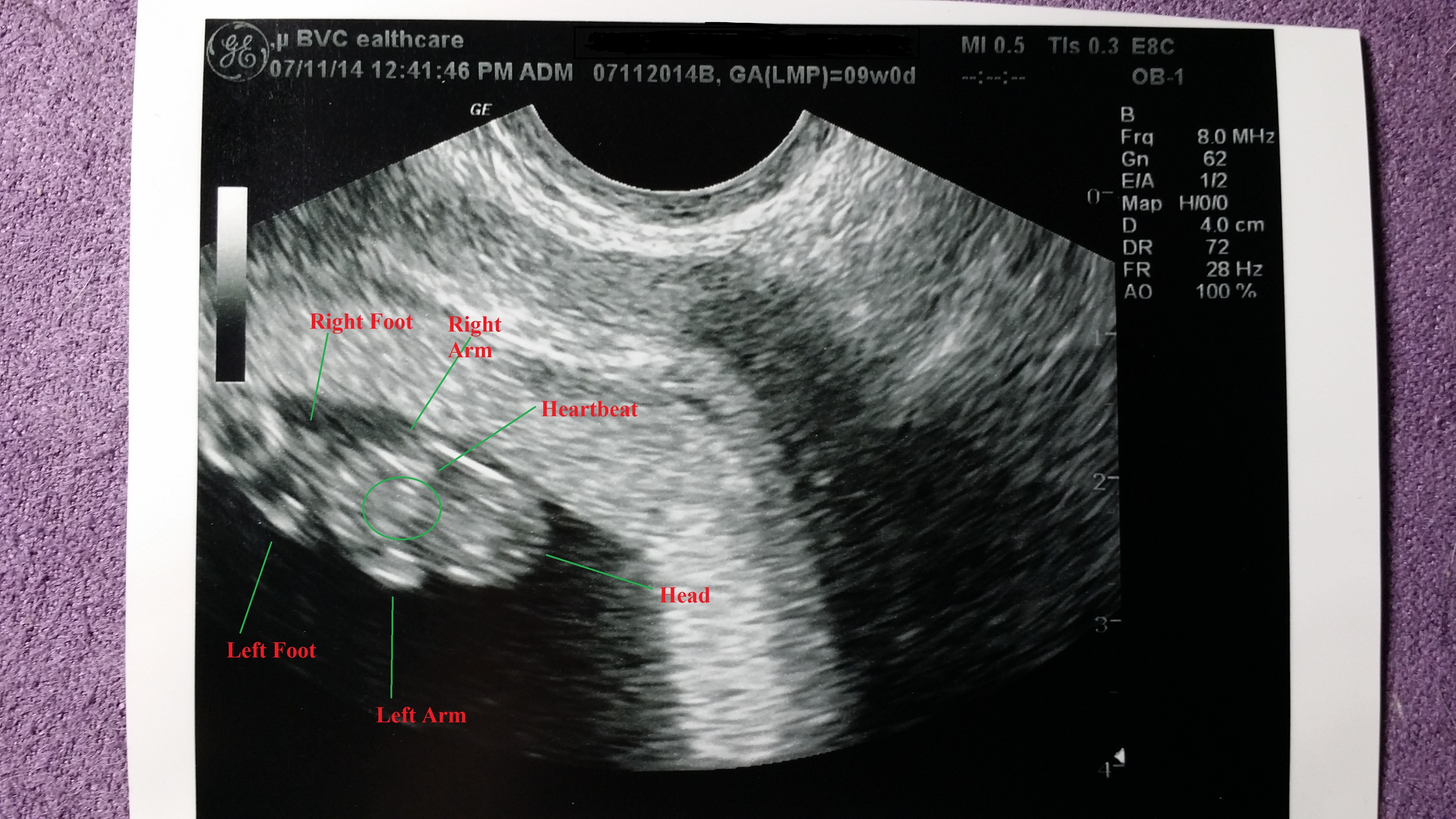
We had our first ultrasound this morning! Baby is healthy, measuring at just under 2cm, 8 weeks and 4 days, so not too far off from my 9 weeks mark! We have a strong heartbeat, unfortunately, we didn't get to hear it today. However, we saw the baby move during the ultrasound! It was absolutely amazing!

image
BabyFetus Ticker

Re: First Ultrasound!

  • Yay, congrats! Just a note: your pic has your full name--might want to edit that to be on the safe side. :)

    (Cute little kiddo you've got in there.)
    Awaiting our bundle of cute chaos.
    image

    BabyFruit Ticker

    F15 January Siggy Challenge: What You're Looking Forward to Most after Baby Arrives
    image
  • Loading the player...
  • How awesome that they labeled everything!!!

    ~~~~~~~~~Siggy Warning~~~~~~~~

    Me~28 DH~27 

     6-12-2010  Miscarriage. 
    3-16-2012 D&C/Miscarriage.
     Blocked Left Tube. 
    Diminished Ovarian Reserve   
    MFI - Sperm Morphology 2%.  
    MTHFR 
     Abnormal Antiphospholipid Antibodies
    April 2013 ~  1st IUI attempt - 100 mg Clomid- Canceled
    May 2013  ~ 2nd IUI attempt -100 mg Clomid- Canceled
    June 2013 ~ 3rd IUI attempt - 100 mg Clomid+ Trigger+ Progesterone~BFN
     IVF/ICSI #1 May 2014 ~ Freeze All ~ Due to OHSS
     5/1/2014 ~ 22 retrieved, 12 fertilized, 3 frozen
    5/28/2014 ~ FET#1 ~ Transferred 2 Hatching Blasts
      6/1/2014~ **BFP**
    6/9/2014 Beta #1 ~ 1022
    6/12/2014 Beta #2 ~ 3099
    6/16/2014 Beta #3 ~ >5000
    6/19/2014 First U/S ~ TWINS!!!  
    1/7/2015 Twins born @ 34 weeks

    image image Image and video hosting by TinyPic



  • izb87izb87 member
    So precious!!! Congrats!!!
  • Thank you! My hubby and I are on cloud 9 right now! :-)
    BabyFetus Ticker
  • So precious!!

    Really nice how they labeled everything. I go today for my first ultrasound so lets see how things go!! B-)

  • Congratulations!!! 
  • Congrats!!!
    imageimageimage
    As soon as I saw you, I knew an adventure was going to happen - Winnie the Pooh

    Married 8/22/09
    Pregnancy 1- EDD 11/21/10 NMC @ 6 weeks
    Pregnancy 2 - Rainbow DS born 1/15/11
    Pregnancy 3 - EDD 5/2/14 NMC @ 6 weeks 9/4/13
    Pregnancy 4 - EDD 6/11/14 BO @ 9 weeks D&C 11/8/13
     AF arrived 12/18/13
    BENCH IS BURNED 2/2014
    TTA until May/Jun
    WOW!!! I'm pregnant!!! BFP 6/8/14 Rainbow on the way EDD 2/14/15
    If there ever comes a day where we can't be together, keep me in your heart, I'll stay there forever -
    Winnie the Pooh

    image
    imageimage
    image
    BabyFruit Ticker



This discussion has been closed.
Choose Another Board
Search Boards
"
"