Woke up this morning to go pee (surprise surprise) and was feeling really light-headed and woozy. Pulled away a good bit of bright red blood on the tp and got really worried. Hubby tried to reassure me that everything would be ok, and we were headed to the dr shortly anyway.
Got to the dr, and she did a physical exam, but saw no other spots of blood or clots. Went ahead to do an u/s and saw nothing concerning.
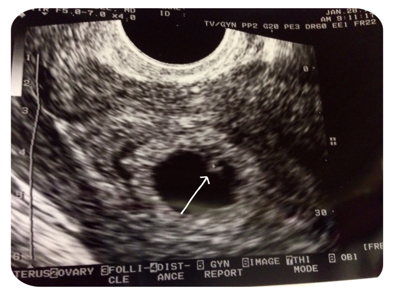
And then we got to see the tiny flickering little heartbeat on the monitor! I totally teared up and hubby squeezed my hand and smiled.
Measuring about a week behind my LMP date, but will get more confirmation when I transfer and go see my new OB next week (current dr is only GYN).
July Siggy Challenge: Summer Pool Fails
BFP: 01.07.14 | Due Date: 09.17.14
Re: Bit of a scare...
Sep14 February Siggy Challenge: Favorite Romantic Movie - A Knight's Tale
Happily welcomed healthy baby girl December 2011.
Excited to welcome a new addition September 2014!