Multiples

Feed back on my ultra sound pic...twins?

I am only 8 weeks along and the machine at my OB office is prehistoric but does it look like twins to anyone? My OB wasn't sure so I am going to see a specialist with better equipment. I just can't wait. What's your take??

Re: Feed back on my ultra sound pic...twins?

  • LedoLedo member
    edited January 2014
    I think I see two little blips but man it really is a tough picture!  And congratulations!!
    Evelyn & Jocelyn   9/19/2013
  • Loading the player...
  • Playing with my iPhone apps...here is a darker image. It doesn't help that their screen was dirty!
  • Honestly to me is looks like the two sides of the embryo. My 8 w ultrasound of my latest singleton kind of has two parts to the body which that almost looks like it is on its back. But whatever it is, hope you get out of limbo soon and have a safe pregnancy of one or two babies! Good luck!
    Warning No formatter is installed for the format bbhtml
  • I can't tell but good luck at your follow up appt! Keep us updated.

     

    image

    9 angels in heaven-3 in my arms and 1 in the NICU                                                                                                                                    
    Mono/di twin girls: Josephine born to heaven and Evangeline born Earthside at 25w

    image

    image

  • whitehousemwhitehousem member
    edited January 2014
    Hmmm... Could be. What I see looks like a faint second "blob" in what looks like the same sac. Here is my first ultrasound pic of my mo/di twins at 8w 6d for comparison. When are you seeing the specialist? Hopefully soon?!? Did they find a heartbeat/s? Either way, congrats in your pregnancy and good luck! :)

    Eta: I guess it also looks like there could be a faint second sac off to the left? What exactly did your OB say?
  • Honestly to me is looks like the two sides of the embryo. My 8 w ultrasound of my latest singleton kind of has two parts to the body which that almost looks like it is on its back. But whatever it is, hope you get out of limbo soon and have a safe pregnancy of one or two babies! Good luck!

    My first ultrasound with DD had two circles (body and head) but they looked obviously connected. My first thought when I saw it was twins but it was just a different angel showing both parts.

  • It's funny that you mentioned that second sac because my OB did too. And in the other picture (that I don't have) the other potential sac was very prominent! But it looked empty?

    And it doesn't look to me like 1 only in the pic I posted because they don't look connected.
  • Which potential sac (I'm assuming gestational, not yolk) you are referencing? Gestational sacs are generally very easy to see on an u/s and the one in your picture is clear. It is possible for the "blobs" to look disconnected and actually be one baby. It's all about the angle and your OB/tech are pros at reading these, which is one reason why you will need to wait till your next u/s for a definitive answer. Based on other early u/s I've seen, it looks more like a singleton than twins to me.

    My honest take is to spend the time in limbo being excited about the baby you know about. Don't let the twins possibility get you so excited that you plan on it and start buying up two of everything. :) Either way, congrats and HH9.
    J13 May Siggy Challenge: People lacking in common sense raise my blood pressure.
    image

    imageimage
    DD 8/11 | DS1 7/13 | DS2 7/13
  • Thanks for all your feedback. I was able to push my appointment up to tomorrow! I will update when I get an answer. Either way, I am one happy mama, whether it's 1 or 2, it's a blessing!!
  • can't wait to hear. that's a crappy crappy u/s image
    Eat your food people. You are pregnant, not made of glass. ~PrimRoseMama
    The Benes Boys were born 9/3/13! woooo
    imageimage
  • Here's my 7w5d u/s and 8w6d two clear sacs and babies...didn't matter how he moved the probe. So I'm inclined to believe you only have one sac, I'm no expert though. Good luck.

    Lilypie Pregnancy tickers

    Baby Birthday Ticker Ticker

    Anniversary
  • Appt is today, right? I gotta know.
  • Gratz on the single bean!
  • Congrats on a healthy baby!

     

    image

    9 angels in heaven-3 in my arms and 1 in the NICU                                                                                                                                    
    Mono/di twin girls: Josephine born to heaven and Evangeline born Earthside at 25w

    image

    image

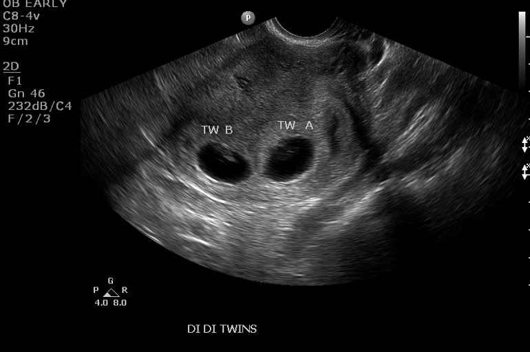
  • shanaynerzshanaynerz member
    edited January 2014
    Here's my pic of my twins at 7w. It was super obvious there were two in there (di/di). I know the beans are tiny, but they're there (the tech wasn't the greatest, so the pics we got weren't super clear). Even at the u/s, she was like "here's your baby" then I had to be like "umm, what's that other one?" and she said "that's the other one," so it was clear to me right away. I hope you get some clear answers soon though! Sucks not knowing for sure, but to me it looks like one.

    ETA: Of course I JUSt read the update the OP posted! Congrats on the healthy little bean! :)
    Lilypie First Birthday tickers

    Lilypie Second Birthday tickers Lilypie Angel and Memorial tickers Daisypath Anniversary tickers
This discussion has been closed.
Choose Another Board
Search Boards
"
"