Download the free app
Jack has handpicked his sibling up there
My blog about IF and loss ... Kate's IF Blog
BFP#2 2.5.11 (EDD 10.15.11) DS born 9.28.11
BFP#4 8.27.13 (EDD 5.6.14) DD born 4.23.14
My Recipe Blog~All AL'ers welcome~
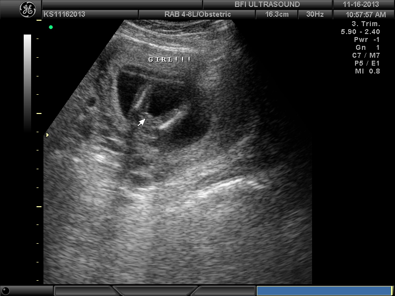
Re: 15 weeks and had an U/S for gender just want to get some second opinions!!!! What do you think
NTNP 2009-2012 TTC since 2012:
Jack has handpicked his sibling up there
My blog about IF and loss ... Kate's IF Blog
BFP#2 2.5.11 (EDD 10.15.11) DS born 9.28.11
BFP#4 8.27.13 (EDD 5.6.14) DD born 4.23.14
My Recipe Blog
~All AL'ers welcome~