September 2013 Moms

3d U/S PIP.

Does anyone want to AW their ultrasounds? I saw some on another board and wanted to see more cute babies.

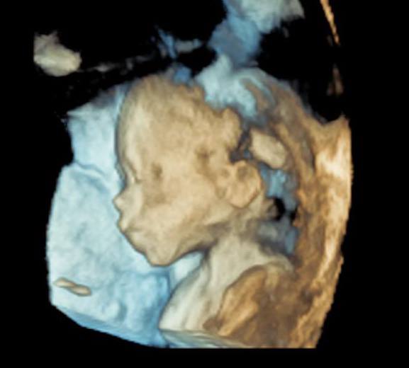
This is DS smiling, with his toes up by his face. He has mommy's nose.
image
image
VOTE on my Name List
Lilypie Pregnancy tickers
image
image

Re: 3d U/S PIP.

  • This is my favorite one of our boy.
    DS 10/19/09

    DD 3/14/11

    BFP 8/8/12 EDD 4/20/13 MMC @ 9+ wks D&C 9/27/12

    DS2 9/12/13

     
    Baby Birthday Ticker Ticker
    Lilypie Premature Baby tickers
  • Loading the player...
  • We didn't do one, but I love these!

    Jamie


    Lilypie Third Birthday tickers


     Lilypie First Birthday tickers

  • @jesnic89 She looks so serene in there! Haha that's what I thought when I saw my LO too though
    @blonde151188 Total cutie. Love his little button nose!
    image
    image
    VOTE on my Name List
    Lilypie Pregnancy tickers
    image
    image
  • Here's ours. She wasn't very cooperative and was trying to hide her face against me.
  • @Mikuuji Haha awww that's cute. Still a good pic of DD!
    image
    image
    VOTE on my Name List
    Lilypie Pregnancy tickers
    image
    image
  • msronzio said:

    @Mikuuji Haha awww that's cute. Still a good pic of DD!

    Thanks. =) The place we went to actually had us come back for a free rescan because they were having such a hard time trying to get good pictures, but she was even less cooperative the 2nd time!

  • @Mikuuji Omg! Hopefully that isn't an indicator of how stubborn she'll be when she's out! The first 3d we got my LO was making a grumpy face. I kept teasing DH that he takes after him already ;)

    @Heffafish Oh my gosh, I don't think I've seen an open eyes one yet. That is sooo cool!! And what is our LOs' fascination with their feet?! 
    image
    image
    VOTE on my Name List
    Lilypie Pregnancy tickers
    image
    image
  • Looks like they all say 4d. Whoops. I'm an idiot
    image
    image
    VOTE on my Name List
    Lilypie Pregnancy tickers
    image
    image
  • msronzio said:

    @Mikuuji Omg! Hopefully that isn't an indicator of how stubborn she'll be when she's out! The first 3d we got my LO was making a grumpy face. I kept teasing DH that he takes after him already ;)


    @Heffafish Oh my gosh, I don't think I've seen an open eyes one yet. That is sooo cool!! And what is our LOs' fascination with their feet?! 
    Oh I'm fairly certain she will be a stubborn child. My husband and I are both stubborn, so I think we're screwed, lol. I've been telling my hubby for a while that our daughter takes after him because she's always so active and he can never sit still either!
  • Heffafish said:
    We got to see our little girl open her eyes, poke out her tongue and she even started licking her foot!! Haha!!
    Wow those ultrasounds are super clear!
    <Baby Birthday Ticker Ticker>
  • Well if I have to... Hehe
  • This was at 29w1d ... I'm 37w3d now so I'm really looking forward to seeing her!
  • @msronzio it was the funniest thing to see her licking her feet on the ultrasound. She has unfortunately got my husbands BIG feet and I guess when they are all up in her face there isn't much else to do with them!! Haha!

    @amy11401 yer we did get some clear ones the second time around, but when we initially got them done we didn't really get any good ones, so they gave us another ultrasound for free so we could get better pics! :)
  • Oh I want to join in! I love seeing these! image Here's our baby girl, Sutton. One hand under her chin and the other up by her face. It's crazy how well you can see their features on these! I love her little lips and eyes :)
    image

    imageimage
           
            

  • Can't really see much....but this is our little man with his hands in front of his face. He hasn't ever let us see his face completely. This was at 27 weeks. He's got my lips and nose :-) I get another one on Friday so I can't wait to see how much he's changed!
    Pregnancy Ticker
  • @EmyB30 He is keeping you in suspense! Still, his little fingers are adorbs! Enjoy your next U/S, they're so exciting :D

    @MegStark I just have to say I looove the name you chose. And that's so cute how she's resting her chin, I'd love to see a pic when she comes out side-by-side in the same reclined position :)

    @Heffafish OMG the funny thing about my LO's toes... I have made fun of MH's toes since we started dating (in a playful way of course!) because they're so freaky looking hahaha and lo and behold, from the U/Ss we got it looks like my little man has them!!! It's been the running joke for a while now and MIL loves it. Obviously I'm gonna love my kids toes no matter what.. but giving DH a hard time in the process is a blast
    image
    image
    VOTE on my Name List
    Lilypie Pregnancy tickers
    image
    image
  • @msronzio yeah I love looking at his little fingers....I almost started to something to the tech when I only saw four fingers, and she's like don't panic he just has his thumb tucked in. And the funny thing is I use to make fists like that when I was a baby...
    Pregnancy Ticker
  • Oh I want to join in too! Love seeing those cute little faces! I hope I post the pic correctly. This is from our a/s so about 5 months(ish).

     

  • @msronzio... thanks!! Not everyone is a huge fan of the name, but we love it :)  And her hands are always up by her face somehow so I'm sure she'll be making this pose again when she's an "outside" baby!

    imageimage
           
            

  • Don't mind if I do. Here's little miss Adalyn at 26 weeks. She was smiling the whole time, such a happy baby. :)

    I can tell already that she has my lips. I can't wait how the rest of her traits look when she gets here. :)
This discussion has been closed.
Choose Another Board
Search Boards
"
"